medigraphic.com
SPANISH

Cirujano General

ISSN 2594-1518 (Electronic)
ISSN 1405-0099 (Print)
  • Contents
  • View Archive
  • Information
    • General Information        
    • Directory
  • Publish
    • Instructions for authors        
    • Send manuscript
  • medigraphic.com
    • Home
    • Journals index            
    • Register / Login
  • Mi perfil

2024, Number 1

<< Back Next >>

Cir Gen 2024; 46 (1)

Idiopathic giant pancreatic pseudocyst

García-Cabra, Damaris Areli1,2; López-Díaz, Jorge Ernesto1,3; Valerdi-Cadena, Mauricio Javier1,3; Caballero-Castro, Fernando1,3
Full text How to cite this article 10.35366/117371

DOI

DOI: 10.35366/117371
URL: https://dx.doi.org/10.35366/117371

Language: English/Spanish [Versi?n en espa?ol]
References: 13
Page: 67-72
PDF size: 602.09 Kb.


Key words:

pancreas, pancreatic pseudocyst, pancreatitis, neoplasms, laparoscopy.

ABSTRACT

Pancreatic cystic lesions are classified in inflammatory collections of pancreatic fluid, true cysts, and cystic pancreatic neoplasms. Its characterization is crucial in determining the approach. Pancreatic pseudocyst is a frequent complication of pancreatitis and requires a comprehensive evaluation to determine its origin. It is female patient, with previous diagnosis of pancreatic pseudocyst without a history of pancreatitis. It presents epigastric tumor and imaging studies compatible with this pathology. Pancreas with two ovoid lesions with well-defined lobulated edges, tumor markers in normal ranges. Laparoscopic cystogastroanastomosis is performed. The idiopathic giant pancreatic pseudocyst is a poorly documented complication. In this case we rule out true cysts and pancreatic cystic neoplasms prior to definitive treatment.



INTRODUCTION

Pancreatic cystic lesions can be pathologically classified into inflammatory pancreatic fluid collections, non-neoplastic pancreatic cysts, and neoplasms. Accurate characterization of the pancreatic cystic lesion is crucial because it determines the approach strategy. Acute inflammatory pancreatic lesions represent a frequent local complication of pancreatitis.1

A pancreatic pseudocyst (PP) is a collection of encapsulated fluid formed by digestive enzymes, pancreatic juice, and hematic content. The pseudocyst may be surrounded by a non-epithelialized wall formed by granulation tissue and fibrosis in the pancreatic tissue; 90% of it is usually unique. It is mainly a complication of pancreatitis or pancreatic trauma and is rarely idiopathic. The size of a PP varies from small (< 2 cm), medium (2-6 cm), and large (> 6 cm) size, and a PP with a diameter ≥ 10 cm is called giant.2-4

The incidence of PP is reported to be one per 100,000 adults per year, with a prevalence of 6-18.5%. In 20-40% of cases, it occurs after chronic pancreatitis; in 70-78%, it is associated with acute alcoholic pancreatitis; in 6-16% with chronic idiopathic pancreatitis; and 6-8% with chronic pancreatitis of biliary origin.4-7

Multiple complications have been described with PP, such as rupture in the peritoneal cavity, infection, hemorrhage, fistula with a nearby organ, and compression of the biliary tract or adjacent organs.8,9

Diagnosing PP requires a comprehensive evaluation, with direct questioning, physical examination, imaging studies, and laboratory tests to determine the origin of the PP. Biochemical parameters are of limited value because they are nonspecific, and most patients have elevated amylase and lipase concentrations. On the other hand, common symptoms are usually pain and a feeling of fullness or early satiety, indicating the need for surgical treatment because of its direct proportional relationship with the dimensions of the PP and the compression exerted on adjacent organs.4,5

Most PPs do not require drainage; however, surgery is currently the best alternative for PPs with a diameter > 6 cm, who do not show changes in their dimensions for more than eight weeks, or in whom there is complication or persistence of symptoms. The procedures include percutaneous drainage, cystogastroanastomosis, cystojejunoanastomosis, and open or laparoscopic pancreatectomies. Cystogastroanastomosis provides continuous drainage of the PP into the gastric cavity, which avoids compression of adjacent structures and possible complications.4

Few cases of idiopathic giant pancreatic pseudocysts (IGPP) have been reported in the literature; even with radiological imaging, the diagnostic approach is challenging due to the absence of a history of pancreatitis, pancreatic disease or trauma, specific signs or symptoms.2,10

This paper aims to describe the case of a woman with a giant pancreatic pseudocyst without evidence of pancreatitis or pancreatic trauma, its diagnostic approach, and subsequent evolution after surgical treatment.



PRESENTATION OF THE CASE

We present the case of a female patient, 40 years old, native and resident of Mexico City, with no chronic degenerative history, with a surgical history of cesarean section in 2020 due to dystocia and bilateral tubal obliteration in the same surgical time without complications. Alcohol consumption, smoking, and illicit drug addictions were denied. She denied a history of pancreatitis, biliary colic, or abdominal trauma. Her current condition began six months ago when she noticed a palpable tumor covering the epigastrium and mesogastrium, which progressively increased in volume, adding postprandial fullness, hyporexia, and unintentional weight loss of 10 kg, so she started a study protocol. Imaging studies revealed pancreatic pseudocyst. Subsequently, the patient was admitted to the Emergency Department with symptoms characterized by colicky pain in the epigastric region, with a VAS (visual analog scale) 10/10, and irradiation to the right scapular region, without extenuating or aggravating factors, accompanied by nausea and vomiting of gastrobiliary contents on eight occasions. The patient was seen on physical examination with a nasogastric tube connected to derivation and gastrobiliary output. The abdomen was distended at the expense of abdominal mass in the epigastric region that was denoted indurated, non-fluctuant, measuring 18 × 15 cm in its longitudinal and transverse axes, normal peristalsis, without data of peritoneal irritation, with no other alteration to report (Figure 1).

Laboratory studies on admission with a white blood cell count of 10.35 K/µl, neutrophils 9.34 K/µl, lymphocytes 0.65 K/µl, hemoglobin 9.5 g/dl, hematocrit 33.2%, platelets 474 K/µl, glucose 147 mg/dl, creatinine 0.51 mg/dl, urea 29.9 mg/dl, amylase 309 U/l, total cholesterol 143.7 mg/dl, triglycerides 110.4 mg/dl, very-low-density lipoprotein (VLDL) cholesterol 22.08 mg/dl, high-density lipoprotein (HDL) cholesterol 43 mg/dl, low-density lipoprotein (LDL) cholesterol 78.62 mg/dl, and serum electrolytes in normal ranges.

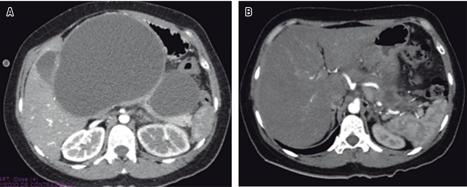
An abdominal CT scan with intravenous contrast was performed with a report of an enlarged pancreas with ovoid lesions on the head and body, measuring 229 × 137 × 182 mm with an approximate volume of 2,899 cm3 and a second lesion measuring 100 × 57 × 82 mm with an approximate volume of 238 cm3, with homogeneous density, thin walls, compatible with cystic lesions. The gallbladder measured 80 × 43 × 35 mm and had a thin wall with heterogeneous content due to a liquid-liquid level of biliary sediment (Figure 2).

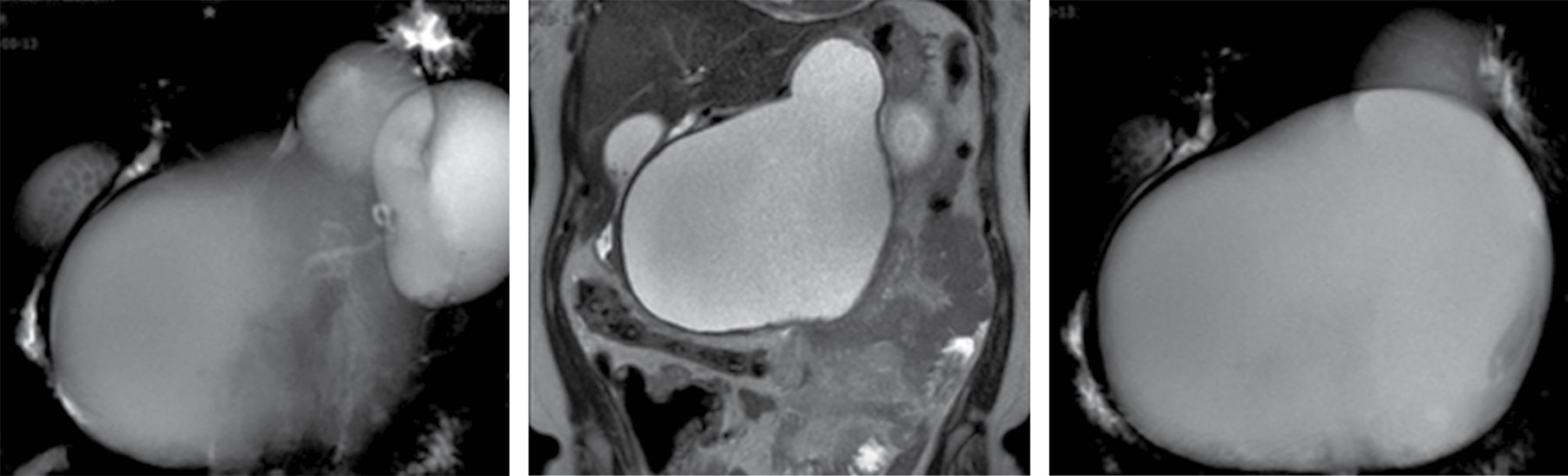
A magnetic resonance cholangiography was performed during her hospitalization. As a preoperative diagnostic approach, the following was found: a non-dilated intrahepatic biliary tract, a choledochal duct measuring 5.9 mm, a gallbladder of usual size with heterogeneous content due to the presence of multiple polyhedral images concerning biliary stones, and an extrahepatic tract displaced laterally by a lesion compatible with pancreatic pseudocysts. The pancreas had an altered morphology at the expense of two ovoid lesions, with well-defined lobulated borders, homogeneous hyperintense content in the T2 sequence, and a volume effect conditioning the opening of the duodenal arcade with lateral displacement of the stomach, limiting gastric distension. The largest lesion measured 178 × 179 × 155 mm with an approximate volume of 2,089 cm3, and the smallest lesion measured 56 × 76 × 95 mm in its principal axes with an approximate volume of 213 cm3. Before the surgical procedure, serum tumor markers showed an alpha-fetoprotein (AFP) 0.79 ng/mL, CEA 1.16 ng/mL, human chorionic gonadotropin (HCG) < 0.10 mIU/ml, CA-125 17.37 U/ml, CA15-3 16.2 U/ml and CA19-9 8.25 U/ml (Figure 3).

After informed consent, a laparoscopy was performed. The stomach was bulging and displaced by a retro gastric tumor (pseudocyst) of approximately 200 × 180 × 170 mm and a Parkland 2 gallbladder; macroscopically, the liver was normal, and the rest showed no alterations. We proceeded to perform cystogastroanastomosis with an endo GIA stapler, obtaining abundant liquid with a rusty appearance. The aspirated liquid from the pancreatic pseudocyst was approximately 2,000 cm3. The pseudocyst cavity was checked, and scarce necrotic tissue was found; blunt debridement of necrotic tissue was performed with gauze, the liquid was drained from the small pseudocyst, and approximately 200 cm3 of liquid was obtained. An anterior gastrostomy was closed in two planes, and leaks were verified. Subsequently, laparoscopic cholecystectomy was performed conventionally; Penrose-type drains were placed towards the vesicular bed and proximal to the gastrostomy (Figure 4).

The cystic wall was sent to pathology, as well as the pseudocyst fluid to cytochemistry, obtaining amylase 2,261 IU/ml, albumin 2.6 mg/dl, glucose 49.6 mg/dl, creatinine 0.51 mg/dl, blood urea nitrogen (BUN) 13.6 mg/dl, urea 29.1 mg/dl, lactate dehydrogenase (LDH) 587 mg/dl, CEA 3.27 ng/ml, CA-125 4.67 U/ml, CA-19.9 631.9 U/ml, CA-15.3 12.86 U/ml. Culture showed no bacterial growth, the cytology study was negative for neoplastic cells, and the pathology analysis was compatible with a histology characteristic of pancreatic pseudocyst.

Due to successful postoperative evolution, the patient was discharged eight days after the surgical procedure. Drains were removed, and she tolerated the oral route without pain; the bowel movements and uresis were normal. A control CT scan was performed one month after surgery, which reported post-surgical changes and a residual collection of 5 cm3, and the rest without alterations.



DISCUSSION

The clinical case presented describes a type of giant bilobed PP without evidence of pancreatitis or pancreatic trauma. PPs are the most common pancreatic cystic lesions (75%) and should be differentiated from true cysts and cystic pancreatic neoplasms. Most acute PPs resolve spontaneously within 4-6 weeks; those that persist may require drainage or percutaneous endoscopic or surgical resection if they increase in size, are symptomatic, or have complications.2,11,12

PPs are commonly associated with a history of pancreatitis; in this case, the patient did not report a history of pancreatitis, biliary colic, or abdominal trauma. To achieve an adequate diagnostic approach, we used imaging tests that reported imaging characteristics of pancreatic pseudocyst and serum laboratory parameters that did not report amylase elevation or suggest an obstructive biliary pattern.

Giant PP, in the absence of evidence of acute pancreatitis or trauma, is a poorly documented complication; being rare, we consider a diagnostic approach in search of other types of pancreatic collections, ruling out true cysts and cystic pancreatic neoplasms. Cystic fluid amylase is usually elevated in PPs, serous cystadenomas, and mucinous neoplasms. On the other hand, a low amylase in cyst fluid (< 250 IU/L) reports a sensitivity of 98% to exclude a PP. Carcinoembryonic antigen (CEA) is low in pseudocysts and elevated (> 400 ng/mL) in cystadenomas; this elevation has a sensitivity of 65% for mucinous neoplasms (mucinous cystadenoma and intraductal papillary mucinous neoplasm) from non-mucinous neoplasms; however, CEA is not helpful to differentiate malignant from benign true pancreatic cysts. In our patient, cytology of the cyst fluid showed no cellular malignancy, and cystic fluid amylase was elevated (> 2,000 IU/l), confirming the pseudocyst diagnosis.13

In the context of its treatment, cystogastroanastomosis is a technique that offers minimal modification of the digestive tract anatomy and lower morbidity, and mortality compared to pancreatic resection.



CONCLUSIONS

Giant idiopathic PP is a poorly documented complication. In this case, we ruled out true cysts and cystic pancreatic neoplasms before definitive treatment.


REFERENCES

  1. Umapathy C, Gajendran M, Mann R, et al. Pancreatic fluid collections: Clinical manifestations, diagnostic evaluation and management. Dis Mon. 2020; 66: 100986. doi: 10.1016/j.disamonth.2020.100986.

  2. Evola G, Ferrara F, Scravaglieri M, Trusso Zirna E, Sarva S, Piazza L. Idiopathic giant pancreatic pseudocyst presenting in emergency with abdominal compartment syndrome and intestinal occlusion: Case report and review of the literature. Int J Surg Case Rep. 2021; 81: 105812. doi: 10.1016/j.ijscr.2021.105812.

  3. Igwe PO, Ray-Offor E, Karibi EN, Okeke UF, Ugwa OC, Jebbin NJ. Giant pseudocyst of the pancreas: A report of three cases. Int J Surg Case Rep. 2020; 77: 284-297. doi: 10.1016/j.ijscr.2020.10.110.

  4. Guardado-Bermúdez F, Azuara-Turrubiates AJ, Ardisson-Zamora FJ, Guerrero-Silva LA, Villanueva-Rodríguez E, Gómez-de Leija NA. Pseudoquiste pancreático. Revisión y reporte de caso. Cir Cir. 2014; 82: 425-431.

  5. Khanna AK, Tiwary SK, Kumar P. Pancreatic pseudocyst: therapeutic dilemma. Int J Inflam. 2012; 21: 279476. doi: 10.1155/2012/279476.

  6. Limas-Solano LM, Barreto-Noratto CP. Drenaje de pseudoquiste pancreático gigante mediante cistogastrostomía endoscópica: reporte de caso. Rev Colomb Gastro. 2022; 37: 210-213.

  7. Liu Y, Wang D, Hao L, et al. Risk factors analysis and nomogram development for pancreatic pseudocyst in idiopathic chronic pancreatitis. Pancreas. 2020; 49: 967-974. doi: 10.1097/MPA.0000000000001610.

  8. Moori P, Nevins EJ, Wright T, Bromley C, Rado Y. A case of a chronic pancreatic pseudocyst causing atraumatic splenic rupture without evidence of acute pancreatitis. Case Rep Surg. 2016; 2016: 2192943. doi: 10.1155/2016/2192943.

  9. Zhao X, Feng T, Ji W. Endoscopic versus surgical treatment for pancreatic pseudocyst. Dig Endosc. 2016; 28: 83-91. doi: 10.1111/den.12542.

  10. Shah SA, Abdullah MT, Kakar AH, Zubair M. Giant pancreatic pseudocyst. J Coll Physicians Surg Pak. 2012; 22: 325-327.

  11. Rabie ME, El Hakeem I, Al Skaini MS, et al. Pancreatic pseudocyst or a cystic tumor of the pancreas? Chin J Cancer. 2014; 33: 87-95. doi: 10.5732/cjc.012.10296.

  12. Souto Nacif L, Ferrer Fábrega J, García Pérez R, García-Valdecasas JC. Giant symptomatic pancreatic cyst mimicking a malignant tumor. Rev Esp Enferm Dig. 2016; 108: 813-815.

  13. Saxena P, Lalchandani A, Sutrave T, Bhardwaj S. An atypical presentation of a multiloculated giant pseudocyst of pancreas. Int Surg J. 2021; 8: 3180-3184.



AFFILIATIONS

1 General Surgery Service, General Hospital "Dr. Gaudencio González Garza", Centro Médico Nacional La Raza. Mexico City, Mexico.

2 First-year resident physician.

3 General surgeon assigned to the service.



CORRESPONDENCE

Damaris Areli García-Cabra. E-mail: damarisgc9@gmail.com




Received: 10/01/2023. Accepted: 04/02/2024.

Figure 1
Figure 2
Figure 3
Figure 4

2020     |     www.medigraphic.com

Mi perfil

C?MO CITAR (Vancouver)

Cir Gen. 2024;46