medigraphic.com
SPANISH

Cirujano General

ISSN 2594-1518 (Electronic)
ISSN 1405-0099 (Print)
  • Contents
  • View Archive
  • Information
    • General Information        
    • Directory
  • Publish
    • Instructions for authors        
    • Send manuscript
  • medigraphic.com
    • Home
    • Journals index            
    • Register / Login
  • Mi perfil

2024, Number 1

<< Back

Cir Gen 2024; 46 (1)

Choledochal cyst type IVA based on Todani's classification

Ocampo González, Saúl1; Martínez Partida, José Iván2; Pozo, Sergio Rodrigo3; Ocampo Barro, Salvador Alejandro4; Rea Vázquez, Ivana Alexa5; Cuevas Sánchez, María Teresa5
Full text How to cite this article 10.35366/117372

DOI

DOI: 10.35366/117372
URL: https://dx.doi.org/10.35366/117372

Language: English/Spanish [Versi?n en espa?ol]
References: 12
Page: 73-80
PDF size: 498.01 Kb.


Key words:

choledochal cyst, Todani\'s classification, cholangioresonance, Roux-en-Y biliary reconstruction.

ABSTRACT

Common bile duct cystic dilations are a rare congenital anomaly that allow bile reflux, causing dilation of the bile ducts in various ways. In the last five years (2018-2022), the general surgery service of the Fray Antonio Alcalde Civil Hospital of Guadalajara treated a total of 5,886 patients, among whom only two cases of choledochal cyst (premalignant lesions) were found, with a rate of incidence of 0.03%, presenting a low frequency of this pathology in our region in comparison with Western nations, and an even lower incidence in relation to the Asian population. The case is of a 36-year-old female from the state of Hidalgo with a biliary cystic lesion, which was staged as IVa according to the modified classification of Todani with a magnetic resonance cholangiography study. After complete preoperative evaluation, the cystic lesion was resected and the bile duct was reconstructed with jejunal loops in a Roux Y; evolving successfully and being discharged on the eighth postoperative day, and seen in the outpatient clinic with liver function tests and new MRI cholangio resonance reported to be completely normal and with good biliary drainage.



INTRODUCTION

The first description of cystic dilatation of the biliary tree was attributed to Vater in 1720. Subsequently, several reports have referred to cases of patients with the triad of jaundice, pain, and abdominal mass suggestive of cystic lesions of the biliary tract.1

Choledochal cysts have an incidence in Western countries of 1:13,500 and in Asian populations of 1:1,000, with type IV being the most frequent in adults.2 In addition, it is suggested that the prevalence in both Western and Eastern women is 4:1.1

According to the literature, the most accepted theory regarding etiology is the presence of an anomalous pancreaticobiliary junction that allows reflux and a consequent increase in pressure that causes dilatation, inflammation due to activation of pancreatic enzymes, biliary cholestasis, and epithelial damage.3

Clinical manifestations vary between adults and infants, and although most cases of common bile duct cysts are diagnosed during childhood, 25% are discovered in adulthood. Abdominal pain, palpable abdominal mass, and jaundice, also known as the classic triad of common bile duct cysts, are found in only 20% of cases. Adults often present with nonspecific symptomatology, such as right upper quadrant abdominal pain, jaundice, nausea, vomiting, and fever.4

Diagnosis is based on studies, including blood cytology, electrolytes, liver function tests, International Normalized Ratio (INR), and tumor markers. In addition, abdominal ultrasound (USG) allows visualization of hepatic and pancreatic structures. However, endoscopic retrograde cholangiopancreatography (ERCP) and magnetic cholangioresonance (M-CR) have become the gold standard for proper diagnosis and classification.5,6

In 1959, Alonso-LEJ and collaborators attributed the term common bile duct cyst. They classified them into three types, among which the following stand out: congenital cystic dilatations, congenital diverticulum of the common hepatic (CH) duct, and congenital choledochococele.5

Later, in 1977, Todani and associates added two more types and several subtypes to the classification, being updated by the same authors in 1997 and 2003.7,8 The most recent Todani classification subdivides type I being the most frequent (> 90%); variation IA involves dilatation of the entire extrahepatic bile duct, unlike type IB which includes dilatation of a segment of the common bile duct below the cystic implantation and type IC comprises a fusiform or cylindrical dilatation of the entire extrahepatic common bile duct.7,8 Finally, subtype ID was proposed and added to the Todani classification modified in 2008 by Calvo-Ponce and colleagues, which is a segmental dilatation above the cystic and bifurcation of the hepatic ducts (Figure 1).9

In type II, there are diverticula throughout the extrahepatic duct. Type III is a choledochocele, and type IVA has the presence of multiple cysts in the intrahepatic and extrahepatic bile duct. In type IVB, multiple cystic dilatations of the extrahepatic bile duct are present. Type V (Caroli's disease) involves dilatation of one or several segments of the intrahepatic ducts (Figure 2).5,10

In 2004, Visser and associates proposed a modification and distinguished the following designations: common bile duct cyst, diverticulum, and Caroli's disease.

In 2011, Michaelides and collaborators reported and proposed a new variant called type ID; in this new variant, in addition to the dilatation of the HC, there is a dilatation of the central portion of the cystic duct, giving a bicornuate configuration to the cyst.2

The treatment of choice is surgical resection, avoiding drainage of the cyst or incomplete resection, especially of the mucosa of the affected segment of the bile duct to prevent dysplasia and postoperative malignant degeneration,11 since common bile duct cysts are precancerous lesions with a malignancy rate that ranges from 2.5 to 28%, increasing with age.2



PRESENTATION OF THE CASE

A 36-year-old woman, originally from the state of Hidalgo, Mexico, underwent surgery at the general surgery service of the Hospital Civil de Guadalajara "Fray Antonio Alcalde" (HCGFAA) in Jalisco, Mexico, on November 28, 2022, due to the presence of a common bile duct cyst type IVA according to the modified Todani classification (QC-IVA-Todani-modified). She had an evolution of two months characterized by epigastric abdominal pain, early satiety, and anorexia without nausea, vomiting, fever, or jaundice.

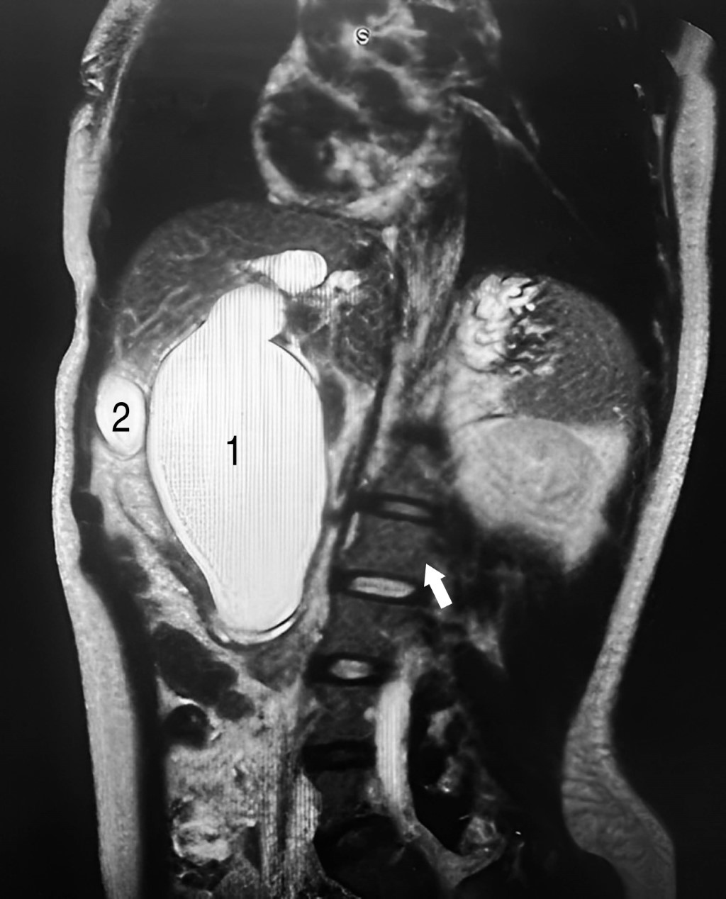
In her home, a hepatic and biliary tract ultrasound (HBVUS) was performed to interpret the presence of a hepatic cyst. Later, an M-RC was performed in Pachuca, Hidalgo, which confirmed the general surgeon's diagnosis of a common bile duct cyst. Due to a lack of resources, the surgeon referred her to the HCGFAA. Laboratory tests were performed (Table 1), and a new CR-M was performed (Figures 3 and 4), which showed a modified QC-IVA-Todani cyst (Figure 2).

Findings: an atrophic gallbladder without the presence of gallstones, a 7.6 mm cyst in the cystic duct, saccular dilatation of the intrahepatic and extrahepatic bile duct with a diameter of 18 mm in the right hepatic, 15 mm in the left hepatic duct and a confluence zone of 33 mm (carina) was seen. A maximum dilatation of the common bile duct of 70 mm, distal common bile duct of 23 mm, and the duct of Wirsung with normal dimensions were observed.

Elective resection was scheduled laparoscopically (Figure 5) after completing a thorough preoperative protocol. Intraoperative findings evidenced a QC-IVA-Todani-modified, with an atrophic gallbladder. Dissection of the cyst capsule was initiated by attempting to separate it from the vascular structures (portal vein and hepatic artery). It was decided to open the cyst to facilitate its dissection. However, due to its strong adhesion and vascularization, with scarce but continuous bleeding, it was converted to open surgery through a Kocher-type incision.

Dissection of the cyst was continued by separating it from the portal vein without damaging it. A Bakes dilator was introduced through the cyst opening to identify and canalize the dilated right and left hepatic ducts. Then, the removal of the common bile duct cyst was performed from the bifurcation of both intrahepatic ducts to the duodenal border, where a continuous suture with polydioxanone was performed, including the last centimeter of the common bile duct, thus performing a complete removal of the cyst, including the gallbladder. Finally, a Roux-en-Y biliodigestive bypass was performed, with a jejunal loop of 50 cm from the Treitz angle and a biliary drainage loop of 50 cm, using a 60 mm linear stapler in the hepatic-jejunal anastomosis.

The jejunum-jejunal anastomosis was performed manually with a continuous suture of Vicryl® 4-0, leaving an anastomotic diameter of 30 mm. Hemostasis was verified; a gauze count was performed, and a closed drain of 19 Fr was installed. A bleeding of 800 cc was recorded, so a globular package was transfused during the trans-operative period. The patient was given antibiotic therapy with ceftriaxone 1 g every/12 hours and metronidazole 500 every 8 hours. On the following postoperative day, she started on a liquid diet and ambulation, and on the third postoperative day, she was given a mixed diet.

The cyst was sent to pathology evaluation with the following findings: a cyst wall composed of dense fibroconnective tissue lined by simple columnar epithelium accompanied by acute and chronic inflammatory infiltrate. A lamina propria with vasodilatation and acute and chronic infiltrate extending to the cyst wall was seen. Focal papillary hyperplasia of the mucosa, areas of focal ulceration, and a secondary lymphoid follicle formation (Figure 6) were shown.

The patient had a good clinical evolution and was discharged on postoperative day 8 with no evidence of early surgical complications. Laboratory studies continue to be performed.

There were six-month follow-up appointments with laboratory tests, including blood cytology, blood chemistry, and liver profile, which found the patient clinically stable and physical examination without jaundice, cardiopulmonary problems, and abdomen with good surgical healing process. The patient will continue to be followed up with a CT scan with intravenous water-soluble contrast and determination of tumor markers: carcinoembryonic antigen (CEA) and CA 19-9 at 12 months post-surgery.



DISCUSSION

In the last five years, the general surgery service of the HCGFAA attended 5,886 patients, of which only two cases of common bile duct cysts were found in adults. The incidence of this pathology in HCGFAA was 0.03%, low compared to Western countries and even lower concerning the Asian population. Choledochal cysts are more commonly found in Eastern countries, with a prevalence of 1:1,000 persons, with type IV being the most frequent in adults.2 The sex ratio is reported to be more frequent in women in both Eastern and Western countries, 4:1.1

Due to the inherent pathophysiology of common bile duct cysts, the scientific literature mentions a malignancy rate that varies between 2.5 and 28%, which increases with age.

The variety of common bile duct cysts leads us to divide their management according to their classification; surgical resection for type I and IV cysts is the therapeutic option of choice, either by laparoscopic, robotic, or open surgery. The use of the laparoscopic and robotic routes entails a considerably lower risk of both immediate and late complications, according to Miron et al.2 Among the most common surgical complications are bleeding and dehiscence of the anastomosis, which could result in the appearance of leaks leading to local or generalized sepsis of the abdominal cavity. This situation requires immediate treatment according to the current protocols for managing the dehiscence in biliodigestive anastomoses. For type II cysts, diverticulectomy plus primary closure of the common bile duct can be chosen. If necessary, management can be limited to transduodenal excision for type III cysts by endoscopic management with respective sphincterotomy and sphincteroplasty.

However, due to the firm adhesion of the posterior wall of the cyst to the vascular structures, mainly to the portal vein, laparoscopic resection was not possible, and it became an open surgery through a Kocher-type incision. In this way, its total extirpation was achieved, leaving a remnant of the duct in the intrapancreatic portion of about 5 mm. The literature indicates that this remnant can be the cause of dysplasia.11,12 However, we do not fully agree with this statement because the physiopathology of the cyst is modified when most of the cystic lesion is removed, thus eliminating the increase of pressure in the biliary tract.

Zheng and colleagues debated whether VATS cysts in adults require additional hepatic resection because of concomitant intrahepatic dilatation; in this case, hepatic resection is unfeasible since the reported dilatations involve the initial portion of both hepatic ducts. Therefore, resection should be limited to specific segments that do not increase the morbimortality of the patient due to extensive hepatic resection. This situation is replicated in pediatric patients since they have a much milder inflammatory evolution and less malignant transformation than adults, less lithiasis formation, and a lower risk of cholangiocarcinoma in general.10

In the present case, the patient was followed up for 10 months. Her evolution will continue to be monitored by CT scan with water-soluble intravenous contrast and determination of tumor markers: carcinoembryonic antigen (CEA) and CA 19-9 every six months until five years postoperatively, to ensure the non-recurrence or malignant transformation of the unresected cystic remnant.



CONCLUSIONS

Giant common bile duct cyst, a rare condition worldwide, may present with nonspecific symptoms, leading to its diagnosis going unnoticed, highlighting the importance of resorting to imaging techniques such as ERCP or M-CR for timely evaluation and staging. In addition, long-term postoperative monitoring is required to prevent complications, particularly malignant transformation. The latter can affect the bile ducts, gallbladder, and even the pancreas in advanced stages, decades after the initial intervention.


REFERENCES

  1. Calvo-Ponce JA, Reyes-Richa RV, Rodríguez Zentner HA. Cyst of the common hepatic duct: treatment and proposal for a modification of Todani's classification. Ann Hepatol. 2008; 7: 80-82.

  2. Miron A, Popa LG, Toma EA, Calu V, Parvuletu RF, Enciu O. The curious case of the choledochal cyst-revisiting the Todani classification: case report and review of the literature. Diagnostics (Basel). 2023; 13: 1059. Available from: https://www.mdpi.com/2075-4418/13/6/1059

  3. Babbitt DP. Congenital choledochal cysts: new etiological concept based on anomalous relationships of the common bile duct and pancreatic bulb. Ann Radiol (Paris). 1969; 12: 231-240.

  4. Cazares J, Koga H, Yamataka A. Choledochal cyst. Pediatr Surg Int. 2023; 39. doi: 10.1007/s00383-023-05483-1.

  5. Jablonska B. Biliary cysts: etiology, diagnosis and management. World J Gastroenterol. 2012; 18: 4801-4810. doi: 10.3748/wjg.v18.i35.4801.

  6. Sikhondze MM, Cabrera-Dreque C, Tayebwa E, Tumubugane G, Odongo CN, Ogwang E. Giant choledochal cyst in an adult at a teaching hospital in south-western Uganda: a case report. Int Med Case Rep J. 2021; 14: 789-795. doi: 10.2147/IMCRJ.S340751.

  7. Olbourne NA. Choledochal cysts. A review of the cystic anomalies of the biliary tree. Ann R Coll Surg Engl. 1975; 56: 26-32.

  8. Todani T, Watanabe Y, Narusue M, Tabuchi K, Okajima K. Congenital bile duct cysts: classification, operative procedures, and review of thirty-seven cases including cancer arising from choledochal cyst. Am J Surg. 1977; 134: 263-269. doi: 10.1016/0002-9610(77)90359-2.

  9. Todani T, Watanabe Y, Toki A, Morotomi Y. Classification of congenital biliary cystic disease: special reference to type Ic and IVA cysts with primary ductal stricture. J Hepatobiliary Pancreat Surg. 2003; 10: 340-344. doi: 10.1007/s00534-002-0733-7.

  10. Zheng X, Gu W, Xia H, Huang X, Liang B, Yang T, et al. Surgical treatment of type IV-A choledochal cyst in a single institution: children vs. adults. J Pediatr Surg. 2013; 48: 2061-2066. doi: 10.1016/j.jpedsurg.2013.05.022.

  11. Biswas J, Nath S, Ray S, Dhali A, Karpha K, Dhali GK. Giant choledochal cyst: the largest reported! Clin Case Rep. 2023; 11: e6907. doi: 10.1002/ccr3.6907.

  12. Giha S, Redondo Y, Quintero G. Quiste de colédoco: diagnóstico y manejo intraoperatorio. Pediatría. 2016; 49: 64-67. doi: 10.1016/j.rcpe.2016.04.004.



AFFILIATIONS

1 Doctorate in Health Sciences.

2 4th year general surgery resident at Hospital Civil de Guadalajara Fray Antonio Alcalde.

3 Third-year general surgery resident at Hospital Civil de Guadalajara Fray Antonio Alcalde.

4 Undergraduate Medical Intern at Hospital Civil de Guadalajara Fray Antonio Alcalde.

5 Undergraduate student of Surgeon and Midwife University of Guadalajara.



CORRESPONDENCE

Saúl Ocampo-González, MD. E-mail: saul.ocampo@hotmail.com




Received: 08/03/2023. Accepted: 07/22/2024.

Figure 1
Figure 2
Figure 3
Figure 4
Figure 5
Figure 6
Table 1

2020     |     www.medigraphic.com

Mi perfil

C?MO CITAR (Vancouver)

Cir Gen. 2024;46