medigraphic.com
SPANISH

Acta Ortopédica Mexicana

ISSN 2992-8036 (Electronic)
ISSN 2306-4102 (Print)
Órgano Oficial del Colegio Mexicano de Ortopedia y Traumatología
  • Contents
  • View Archive
  • Information
    • General Information        
    • Directory
  • Publish
    • Instructions for authors        
  • medigraphic.com
    • Home
    • Journals index            
    • Register / Login
  • Mi perfil

2024, Number 5

<< Back Next >>

Acta Ortop Mex 2024; 38 (5)

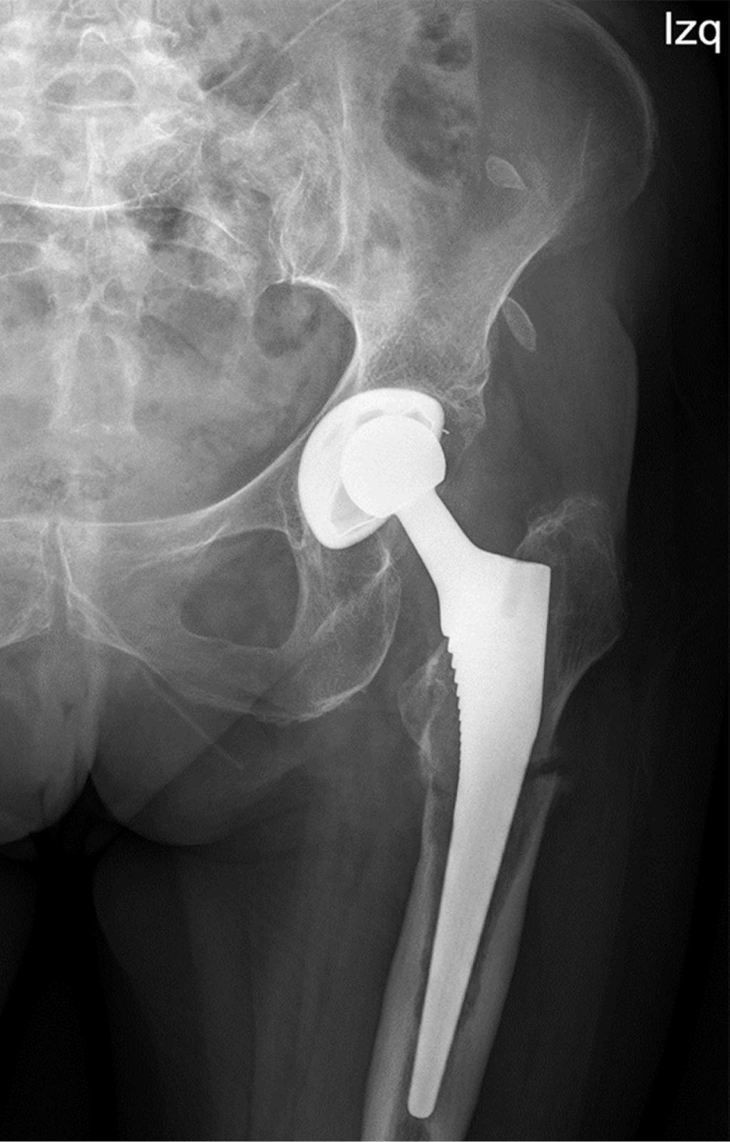
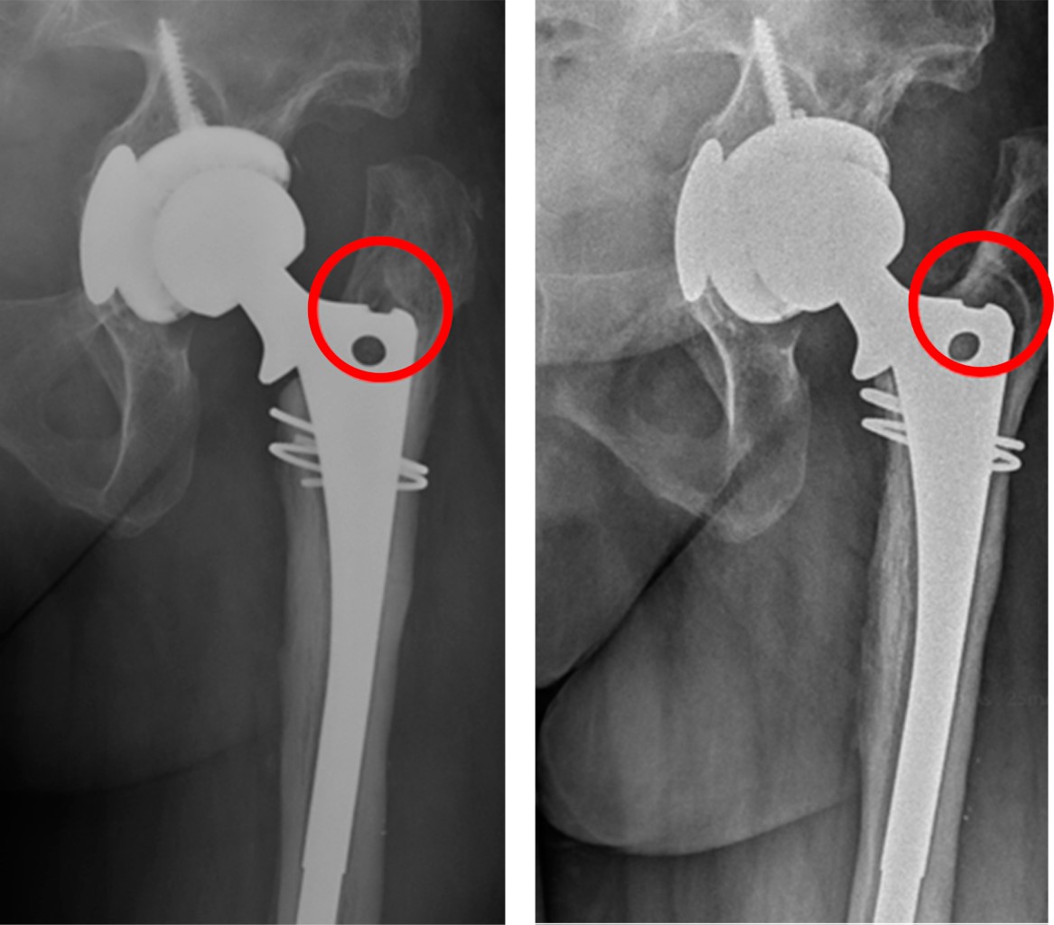
Minimizing risk: evaluation of the relationship between femoral stem loosening and the risk of presenting with peri-prosthetic hip fracture

Flores-Gallardo J, Sánchez-Pérez C, Vaquero J
Full text How to cite this article 10.35366/117377

DOI

DOI: 10.35366/117377
URL: https://dx.doi.org/10.35366/117377

Language: Spanish
References: 22
Page: 291-297
PDF size: 253.05 Kb.


Key words:

aseptic loosening, periprosthetic fracture, hip replacement, revision arthroplasty.

ABSTRACT

Introduction: evaluation of predictors of periprosthetic fracture in loosened femoral stems. Material and methods: retrospective case-control study comparing aseptic loosened stems in two groups: cases: patients who experienced periprosthetic femoral fracture before replacement could be performed (n = 9). Controls: experienced prosthetic replacement without fracture (n = 19). Results: pain intensity (VAS) was the most important aspect (p = 0.01), predominating in the controls. The simple radiological parameters did not show statistically significant findings predictive of peri-prosthetic fracture (number of Gruen zones, sum of them in mm, stress shielding, pedestal, polyethylene wear, stem subsidence). The role of complementary tests (CT and scintigraphy) for the definitive diagnosis of loosening was relevant, but not significant. The type of implant showed no differences. Overall implant survival was higher in cases than in controls (p = 0.016). This difference continues when comparing each loosened stem until fracture or replacement (p = 0.024). Conclusion: the main factor protecting against fracture is the replacement of a stem with clinical and radiological diagnosis of loosening. Adequate follow-up of the patient plays a determining role in this, especially when considering the greater intensity of pain in the controls, which used to guide surgeons to perform replacements before the fracture occurred. This is reinforced if we take into account that up to one third of the cases did not have regular check-ups, and therefore did not have the opportunity for replacement prior to the fracture. The role of complementary tests (CT and scintigraphy) is also very important, taking into account the low diagnostic yield obtained from simple X-rays.


REFERENCES

  1. Franklin J, Malchau H. Risk factors for periprosthetic femoral fracture. Injury. 2007; 38(6): 655-60.

  2. Tsiridis E, Haddad FS, Gie GA. The management of periprosthetic femoral fractures around hip replacements. Injury. 2003; 34(2): 95-105.

  3. Deng Y, Kieser D, Wyatt M, Stringer M, Frampton C, Hooper G. Risk factors for periprosthetic femoral fractures around total hip arthroplasty: a systematic review and meta-analysis. ANZ J Surg. 2020; 90(4): 441-7.

  4. Harris B, Owen JR, Wayne JS, Jiranek WA. Does femoral component loosening predispose to femoral fracture?: an in vitro comparison of cemented hips. Clin Orthop Relat Res. 2010; 468(2): 497-503.

  5. Davis KW, Blakenbaker DG, ed. ExpertDDx: musculoskeletal. Salt Lake City, UT: Elsevier; 2018. pp. 866-71.

  6. Weerakkody Y. Aseptic loosening of hip joint replacements. In: Radiopaedia.org. Radiopaedia.org; 2014.

  7. Kannan A, Owen JR, Wayne JS, Jiranek WA. Loosely implanted cementless stems may become rotationally stable after loading. Clin Orthop Relat Res. 2014; 472(7): 2231-6.

  8. Hirakawa K, Jacobs JJ, Urban R, Saito T. Mechanisms of failure of total hip replacements: lessons learned from retrieval studies. Clin Orthop Relat Res. 2004; (420): 10-7.

  9. Konow T, Baetz J, Melsheimer O, Grimberg A, Morlock M. Factors influencing periprosthetic femoral fracture risk. Bone Joint J. 2021; 103-B(4): 6508.

  10. Robbins GM, Masri BA, Garbuz DS, Duncan CP. Evaluation of pain in patients with apparently solidly fixed total hip arthroplasty components. J Am Acad Orthop Surg. 2002; 10(2): 86-94.

  11. Anil U, Singh V, Schwarzkopf R. Diagnosis and detection of subtle aseptic loosening in total hip arthroplasty. J Arthroplasty. 2022; 37(8): 1494-500.

  12. Bugbee WD, Culpepper WJ 2nd, Engh CA Jr, Engh CA Sr. Long-term clinical consequences of stress-shielding after total hip arthroplasty without cement. J Bone Joint Surg Am. 1997; 79(7): 1007-12.

  13. Mulcahy H, Chew FS. Current concepts of hip arthroplasty for radiologists: part 1, features and radiographic assessment. AJR Am J Roentgenol. 2012; 199(3): 559-69.

  14. Ollivere B, Wimhurst JA, Clark IM, Donell ST. Current concepts in osteolysis. J Bone Joint Surg Br. 2012; 94(1): 10-5.

  15. Miller AJ, Stimac JD, Smith LS, Feher AW, Yakkanti MR, Malkani AL. Results of cemented vs cementless primary total knee arthroplasty using the same implant design. J Arthroplasty. 2018; 33(4): 1089-93.

  16. Helm AT, Kerin C, Ghalayini SR, McLauchlan GJ. Preliminary results of an uncemented trabecular metal tibial component in total knee arthroplasty. J Arthroplasty. 2009; 24(6): 941-4.

  17. Sinha RK, Dungy DS, Yeon HB. Primary total hip arthroplasty with a proximally porous-coated femoral stem. J Bone Joint Surg Am. 2004; 86(6): 1254-61.

  18. Peng Z, Jia Y, Li J, Wang G. Diagnostic performance of single-photon emission computed tomography/computed tomography in aseptic loosening: a systematic review and meta-analysis. J Arthroplasty. 2021; 36(12): 4003-12.e3.

  19. Thejeel B, Endo Y. Imaging of total hip arthroplasty: part II - imaging of component dislocation, loosening, infection, and soft tissue injury. Clin Imaging. 2022; 92: 72-82.

  20. Thomsen MN, Jakubowitz E, Seeger JB, Lee C, Kretzer JP, Clarius M. Fracture load for periprosthetic femoral fractures in cemented versus uncemented hip stems: an experimental in vitro study. Orthopedics. 2008; 31(7): 653.

  21. Sershon RA, McDonald JF 3rd, Ho H, Hamilton WG. Periprosthetic femur fracture risk: influenced by stem choice, not surgical approach. J Arthroplasty. 2021; 36(7S): S363-6.

  22. Lygrisse KA, Gaukhman GD, Teo G, Schwarzkopf R, Long WJ, Aggarwal VK. Is surgical approach for primary total hip arthroplasty associated with timing, incidence, and characteristics of periprosthetic femur fractures? J Arthroplasty. 2021; 36(9): 3305-11.



EVIDENCE LEVEL

III




Figure 1
Figure 2
Figure 3
Figure 4
Figure 5
Figure 6
Figure 7
Figure 8

2020     |     www.medigraphic.com

Mi perfil

C?MO CITAR (Vancouver)

Acta Ortop Mex. 2024 Sep-Oct;38