medigraphic.com
SPANISH

Acta Ortopédica Mexicana

ISSN 2992-8036 (Electronic)
ISSN 2306-4102 (Print)
Órgano Oficial del Colegio Mexicano de Ortopedia y Traumatología
  • Contents
  • View Archive
  • Information
    • General Information        
    • Directory
  • Publish
    • Instructions for authors        
  • medigraphic.com
    • Home
    • Journals index            
    • Register / Login
  • Mi perfil

2024, Number 5

<< Back Next >>

Acta Ortop Mex 2024; 38 (5)

Conversions from failed unicompartmental prostheses to total knee replacement

Olivetto R
Full text How to cite this article 10.35366/117379

DOI

DOI: 10.35366/117379
URL: https://dx.doi.org/10.35366/117379

Language: Spanish
References: 44
Page: 307-320
PDF size: 619.51 Kb.


Key words:

total knee arthroplasty, unicompartmental prosthesis, revision.

ABSTRACT

The evolution and challenges of unicompartmental knee prostheses (UNIS) are addressed, highlighting their use since the 1970s as an alternative to osteotomies. Over the years, these prostheses have gained popularity, although they initially faced criticism due to higher revision rates compared to total knee arthroplasties (TKA). Multicenter studies, such as that of Heck et al., revealed an increase in failures associated with body mass index and female sex. Despite this, recent reviews, such as that of Vasso et al., have shown a positive evolution in the results of UNIS, although with a higher percentage of revisions than TKA. The importance of adequate patient selection, meticulous surgical technique, and avoidance of overcorrection for surgical success is also emphasized. It is mentioned that external UNIS, although representing a small percentage of total prosthetic knees, have shown favorable results in terms of long-term survival. In addition, technical aspects such as minimal bone resection and polyethylene wear, which are crucial for the performance of prostheses, are discussed. In conclusion, the need for further research and improvement of techniques to optimize the results of unicompartmental arthroplasties is highlighted.


REFERENCES

  1. Insall JN, Dorr LD, Scott RD, Scott WN. Rationale of the Knee Society clinical rating system. Clin Orthop Relat Res. 1989; 248: 13-4.

  2. Insall J, Walker P. Unicondylar knee replacement. Clin Orthop Relat Res. 1976; 120: 83-5.

  3. Cartier P, Sanouiller JL, Grelsamer RP. Unicompartmental knee arthroplastysurgery 10-year minimum follow-up period. J Arthroplasty. 1996; 11(7): 782-8.

  4. Padgett DE, Stern SH, Insall JN. Revision total knee arthroplasty for failed unicompartmental replacement. J Bone Joint Surg Am. 1991; 73(2): 186-90.

  5. Price AJ, Webb J, Topf H, Dodd CA, Goodfellow JW, Murray DW, et al. Rapid recovery after oxford unicompartmental arthroplasty through a short incision. J Arthroplasty. 2001; 16(8): 970-6.

  6. Repicci JA. Mini-invasive knee unicompartmental arthroplasty: bone-sparing technique. Surg Technol Int. 2003; 11: 282-6.

  7. Salman LA, Abudalou A, Khatkar H, Ahmed G, Dakin SG, Kendrick B, et al. Impact of age on unicompartmental knee arthroplasty outcomes: a systematic review and meta-analysis. Knee Surg Sports Traumatol Arthrosc. 2023; 31(3): 986-97.

  8. Squire MW, Callaghan JJ, Goetz DD, Sullivan PM, Johnston RC. Unicompartmental knee replacement a minimum 15 year Follow up study. Clin Orthop. 1999; 367: 61.

  9. Murray DW, Goodfellow JW, O'Connor JJ. The Oxford medial unicompartmental arthroplasty. Bone Joint Surg Br. 1998; 80(6): 983-9.

  10. Callahan CM, Drake BG, Heck DA, Dittus RS. Patient outcomes following unicompartmental or bicompartmental knee arthroplasty. A meta-analysis. J Arthroplasty. 1995; 10(2): 141-50.

  11. Laurencin CT, Zelicof SB, Scott RD, Ewald FC. Unicompartmental versus total knee arthroplasty in the same patient. A comparative study. Clin Orthop Relat Res. 1991; 273: 151-6.

  12. Chesnut WJ. Preoperative diagnostic protocol to predict candidates far unicompartmental arthroplasty. Clin Orthop Relat Res. 1991; 273: 146-50.

  13. D'Ambrosi R, Ursino C, Mariani I, Corona K, Dahmen J, Sciarretta FV, et al. No difference in return to amateur sports after medial and lateral unicompartmental knee arthroplasty in patients younger than 65 years. Knee Surg Sports Traumatol Arthrosc. 2022; 30(3): 1050-6.

  14. Heck DA, Marmor L, Gibson A, Rougraff BT. Unicompartmental knee arthroplasty a multicenter investigation with long term follow-up evaluation. Clin Orthop Relat Res. 1993; 286: 154-9.

  15. Du G, Qiu H, Zhu J, Wang H, Xiao Q, Zhang Z, et al. No difference unicompartmental knee arthroplasty for medial knee osteoarthritis with or without anterior cruciate ligament deficiency: a systematic review and meta-analysis. J Arthroplasty. 2023; 38(3): 586-93.e1. doi: 10.1016/j.arth.2022.10.018

  16. Pascual-Leone N, Minutillo GT, Headen AC, Sheth NP. Early outcome trends of unicompartmental knee arthroplasty in patients with morbid obesity: a potential for outpatient surgery. J Arthroplasty. 2022; 37(10): 2009-13.e3.

  17. Therbo M, Petersen MM, Varmarken JE, Olsen CA, Lund B. Influence of pre-operative bone mineral content of the proximal tibia on revision rate after uncemented knee arthroplasty. J Bone Joint Surg Br. 2003; 85(7): 975-9.

  18. Plancher KD, Brite JE, Briggs KK, Petterson SC. Pre-arthritic/kinematic alignment in fixed-bearing medial unicompartmental knee arthroplasty results in return to activity at mean 10-year follow-up. J Bone Joint Surg Am. 2022; 104(12): 1081-9.

  19. Plancher KD, Briggs KK, Chinnakkannu K, Dotterweich KA, Commaroto SA, Wang KH, et al. Isolated lateral tibiofemoral compartment osteoarthritis: survivorship and patient acceptable symptom state after lateral fixed-bearing unicompartmental knee arthroplasty at mean 10-year follow-up. J Bone Joint Surg Am. 2022; 104(18): 1621-8.

  20. McAuley JP, Engh GA, Ammeen DJ. Revision of failed unicompartmental knee arthroplasty. Clin Orthop Relat Res. 2001; 392: 279-82.

  21. Hamilton WG, Collier MB, Tarabee E, McAuley JP, Engh CA Jr, Engh GA. Incidence and reasons for reoperation after minimally invasive unicompartmental knee arthroplasty. J Arthroplasty. 2006; 21(6 Suppl 2): 98-107.

  22. Levine WN, Ozuna RM, Scott RO, Thornhill TS. Conversion of failed modern unicompartmental arthroplasty to total knee arthroplasty. J Arthroplasty. 1996; 11: 797-801.

  23. Morra EA, Greenwald AS. Effects of walking gait on ultra-high molecular weight polyethylene damage in unicompartmental knee systems. A finite element study. J Bone Joint Surg Am. 2003; 85-A Suppl 4: 111-4.

  24. Aleto TJ, Berend ME, Ritter MA, Faris PM, Meneghini RM. Early failure of unicompartmental knee arthroplasty leading to revision. J Arthroplasty. 2008; 23(2): 159-63.

  25. Seeger JB, Haas D, Jager S, Rohner E, Tohtz S, Clarius M. Extended sagittal saw cut significantly reduces fracture load in cementless unicompartmental knee arthroplasty compared to cemented tibia plateaus: an experimental cadaver study. Knee Surg Sports Traumatol Arthrosc. 2012; 20(6): 1087-91. doi: 10.1007/s00167-011-1698-3.

  26. Springer BD, Scott RD, Thornhill TS. Conversion of failed unicompartmental knee arthroplasty to TKA. Clin Orthop Relat Res. 2006; 446: 214-20.

  27. Chiu FY, Lin CF. Antibiotic-impregnated cement in revision total knee arthroplasty. A prospective cohort study of one hundred and eighty-three knees. J Bone Joint Surg Am. 2009; 91(3): 628-33.

  28. Bohm I, Landsiedl F. Revision surgery after failed unicompartmental knee arthroplasty a study of 35 cases. J Arthroplasty. 2000; 15(8): 982-9.

  29. Lewis PL, Davidson DC, Graves SE, de Steiger RN, Donnelly W, Cuthbert A. Unicompartmental knee arthroplasty revision to TKA: are tibial stems and augments associated with improved survivorship? Clin Orthop Relat Res. 2018; 476(4): 854-862. doi: 10.1007/s11999.0000000000000179.

  30. Berger RA, Meneghini RM, Jacobs JJ, Sheinkop MB, Della Valle CJ, Rosenberg AG, et al. Results of unicompartmental knee arthroplasty ata minimum of ten years of follow-up. J Bone Joint Surg Am. 2005; 87(5): 999-1006.

  31. Laskin RS. Unicompartmental tibiofemoral resurfacing arthroplasty. J Bone Joint Surg Am. 1978; 60(2): 182-5.

  32. Saleh KJ, Dykes DC, Tweedie RL, Mohamed K, Ravichandran A, Saleh RM, et al. Functional outcome after total knee arthroplasty revision a meta-analysis. J Arthroplasty. 2002; 17(8): 967-77.

  33. Barrett WP, Scott RD. Revision of failed unicondylar unicompartmental knee arthroplasty. J Bone Joint Surg Am. 1987; 69(9): 1328-35.

  34. Marmor L. Unicompartmental knee arthroplasty ten to 13-year follow-up study. Clin Orthop Relat Res. 1988; 226: 14-20.

  35. Pandit H, Hamilton TW, Jenkins C, Mellon SJ, Dodd CA, Murray DW. The clinical outcome of minimally invasive Phase 3 Oxford unicompartmental knee arthroplasty: a 15-year follow-up of 1,000 UKAs. Bone Joint J. 2015; 97-B(11): 1493-500.

  36. Epinette JA, Brunschweiler B, Mertl P, Mole D, Cazenave A; French Society for Hip and Knee. Unicompartmental knee arthroplasty modes of failure: wear is not the main reason for failure: a multicentre study of 418 failed knees. Orthop Traumatol Surg Res. 2012; 98(6 Suppl): S124-30.

  37. Kim SJ, Postigo R, Koo S, Kim JH. Causes of revision followingüxford phase 3 unicompartimental knee arthroplasty. Knee Surg Sports Traumatol Arthrosc. 2014; 22(8): 1895-901.

  38. Peersman G, Stuyts B, Vandenlangenbergh T, Cartier P, Fennema P. Fixed- versus mobile-bearing UKA: a systematic review and meta-analysis. Knee Surg Sports Traumatol Arthrosc. 2015; 23(11): 3296-305.

  39. Ko YB, Gujarathi MR, Oh KJ. Outcome of unicompartmental knee arthroplasty: a systematic review of comparative studies between fixed and mobile bearings focusing on complications. Knee Surg Relat Res. 2015; 27(3): 141-8.

  40. Sierra RJ, Kassel CA, Wetters NG, Berend KR, Della Valle CJ, Lombardi AV. Revision of unicompartimental arthroplasty to total knee arthroplasty not always a slam dunk. J Arthroplasty. 2013; 28(8 Suppl): 128-32.

  41. Lunebourg A, Parratte S, Ollivier M. Abdel MP, Argenson JN. Are revision of unicompartimental knee arthroplasties more like primary or revision TKA? J Arthroplasty. 2015; 30(11): 1985-9.

  42. Schwarzkopf R, Mikhael B, Li L, Josephs L, Scott RD. Effect of initial tibial resection thickness on outcomes of revision UKA. Orthopedics. 2013; 36(4): e409-14.

  43. Cankaya D, Della Valle CJ. Blood loss and transfusion rates in the revision of unicompartimental knee arthroplasty to total knee arthroplasty. Are similar ti those of primary total knee arthroplasty but are lower compared with the revision total knee arthroplasty. J Arthroplasty. 2016; 31(1): 339-41.

  44. Robertsson O, W-Dahl A. The risk of revision after TKA is affected by previous HTO or UKA. Clin Orthop Relat Res. 2015; 473(1): 90-3.




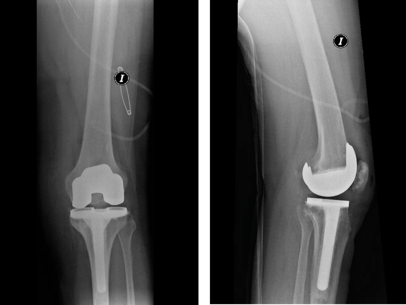
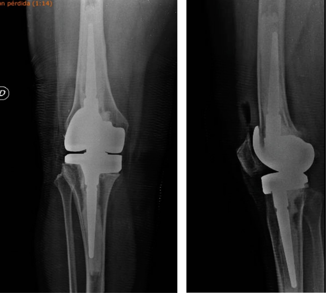
Figure 1
Figure 2
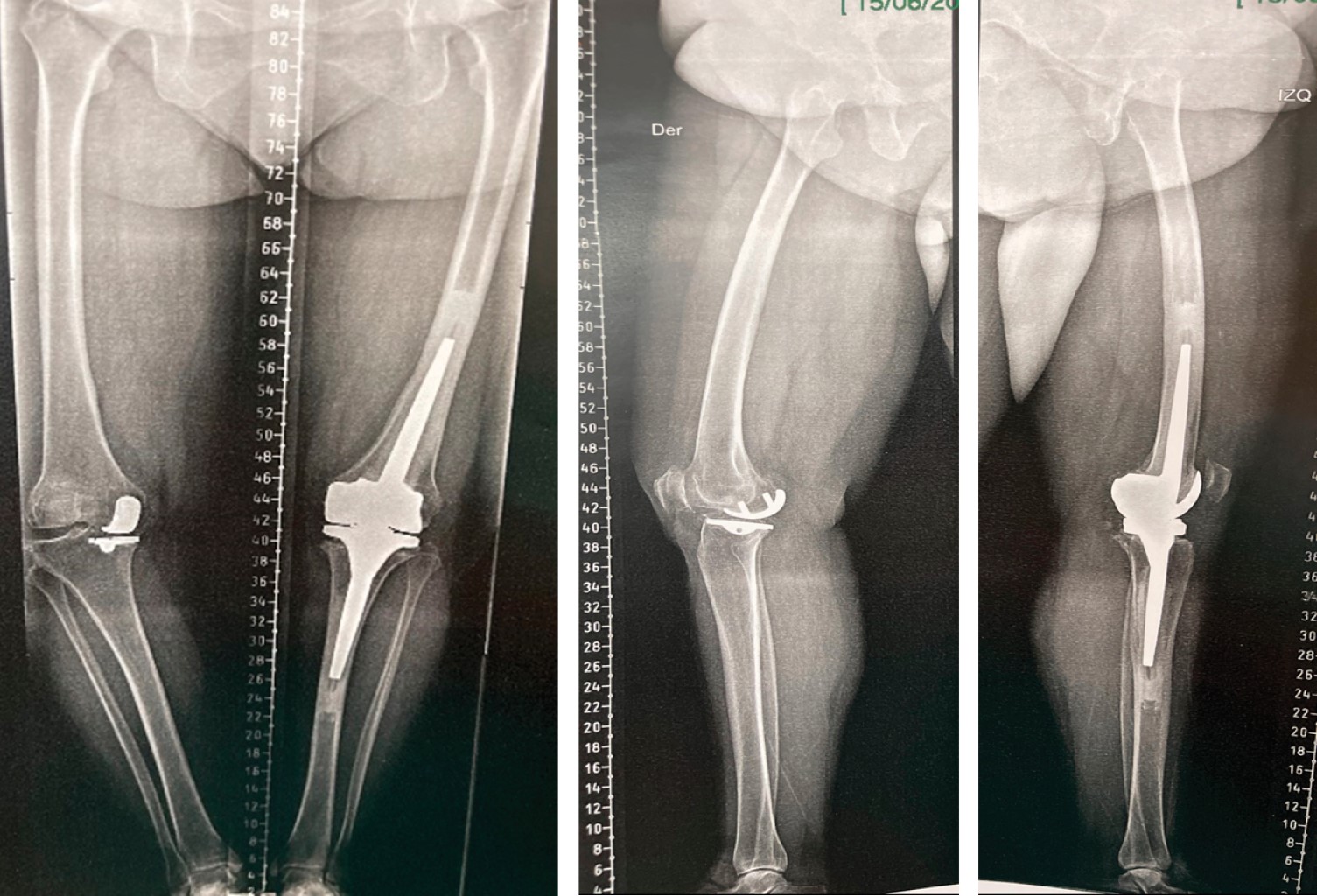
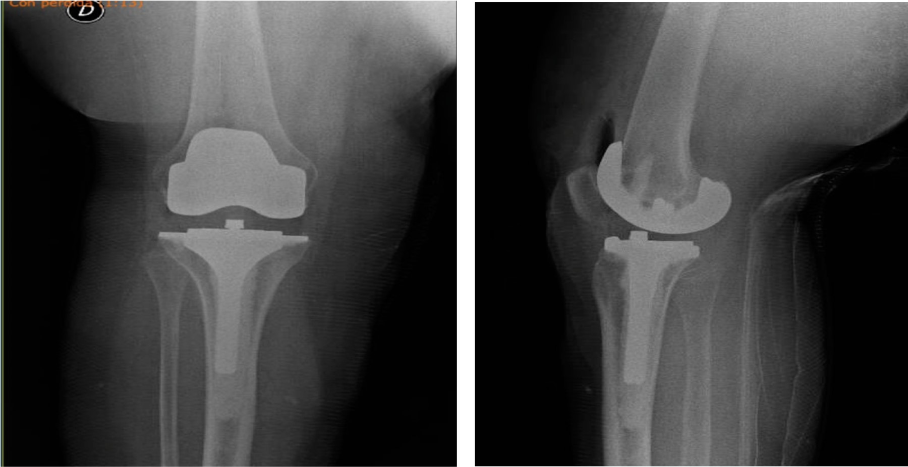
Figure 3
Figure 4
Figure 5
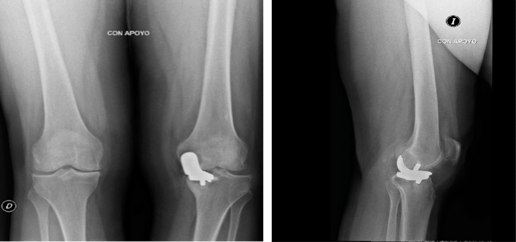
Figure 6
Figure 7
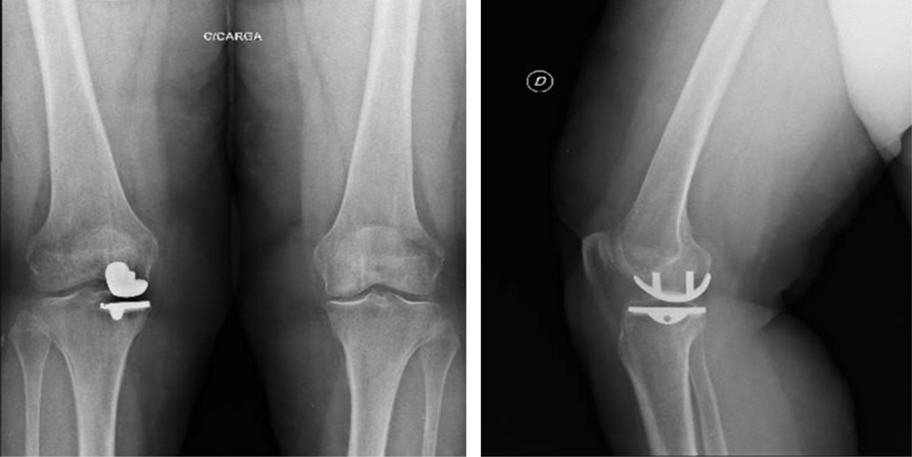
Figure 8
Figure 9
Figure 10
Figure 11
Figure 12
Figure 13
Figure 14
Figure 15
Figure 16
Figure 17
Figure 18
Figure 19

2020     |     www.medigraphic.com

Mi perfil

C?MO CITAR (Vancouver)

Acta Ortop Mex. 2024 Sep-Oct;38