medigraphic.com
SPANISH

Cirugía Cardiaca en México

ISSN 2448-5640 (Print)
Diario Oficial de la Sociedad Mexicana de Cirugía Cardiaca, A.C., y del Colegio Mexicano de Cirugía Cardiovascular y Torácica, A.C.
  • Contents
  • View Archive
  • Information
    • General Information        
    • Directory
  • Publish
    • Instructions for authors        
    • Send manuscript
  • medigraphic.com
    • Home
    • Journals index            
    • Register / Login
  • Mi perfil

2024, Number 4

<< Back

Cir Card Mex 2024; 9 (4)

Pericardial histoplasmosis

Carmona-Delgado, Víctor M1; Chacón-Martell, Dalia1; Magallanes-Quintana, Rebeca1; Olvera-Lozano, Jorge T1; Riera-Kinkel, Carlos1
Full text How to cite this article 10.35366/117838

DOI

DOI: 10.35366/117838
URL: https://dx.doi.org/10.35366/117838

Language: English
References: 9
Page: 147-150
PDF size: 340.93 Kb.


Key words:

antifungal therapy, histoplasmosis, pericarditis, pericardium.

ABSTRACT

In Mexico, histoplasmosis is the systemic mycosis with the highest prevalence, both in its endemic and epidemic forms. We show here the case of a 65-year-old male patient who presented dyspnea as the main symptom. In the imaging radiological study, an image compatible with pericardial tumor was observed. Surgical resection was performed, with pericardial histoplasmosis as histopathological result. Specific treatment was administered and at 6-months of follow-up, the patient remains free from systemic complications.

Histoplasmosis is a disease caused by a fungus called Histoplasma capsulatum, which can lead to various health issues such as pulmonary, gastrointestinal, hepatic, splenic, and lymphatic diseases, and in some rare cases, chronic pericarditis.1 This fungus is typically found in the soil of subtropical and temperate regions and is usually contracted through the inhalation of mycelia. Once inside the body, the fungus transforms into a yeast form to avoid triggering an immune response. In regions where histoplasmosis is common, more than half of the population may be carriers of the fungus, but only a small percentage develop symptoms. Symptoms of the disease include fever, chills, headache, muscle pain, loss of appetite, chest pain, respiratory issues, and in severe cases, death.2

Diagnosis of histoplasmosis involves various methods such as cultures, fungal stains, antigen detection, and serologic tests for antibodies. Cultures, particularly from different bodily fluids and tissues, are crucial for definitive diagnosis, although they may take several weeks to yield results.3 Treatment for acute infections typically involves the use of itraconazole, while constrictive pericarditis, which is an inflammatory response to the fungus, is mainly managed with anti-inflammatory medications as antifungal therapy may not significantly impact the disease's progression. In cases of localized histoplasmosis, treatment is recommended for patients with moderate to severe symptoms that do not improve with observation. Itraconazole is commonly prescribed for a period of three months in such cases, as patients usually respond well to anti-inflammatory therapy, and the use of antifungal medication may not drastically alter the clinical outcome.4



CASE DESCRIPTION

Male, 65 years old, without chronic-degenerative history, with a history of intestinal metaplasia and atrial fibrillation with a moderate ventricular response. During cardiology follow-up, he reported moderate dyspnea, leading to an magnetic resonance imaging (MRI) and a transthoracic echocardiogram.

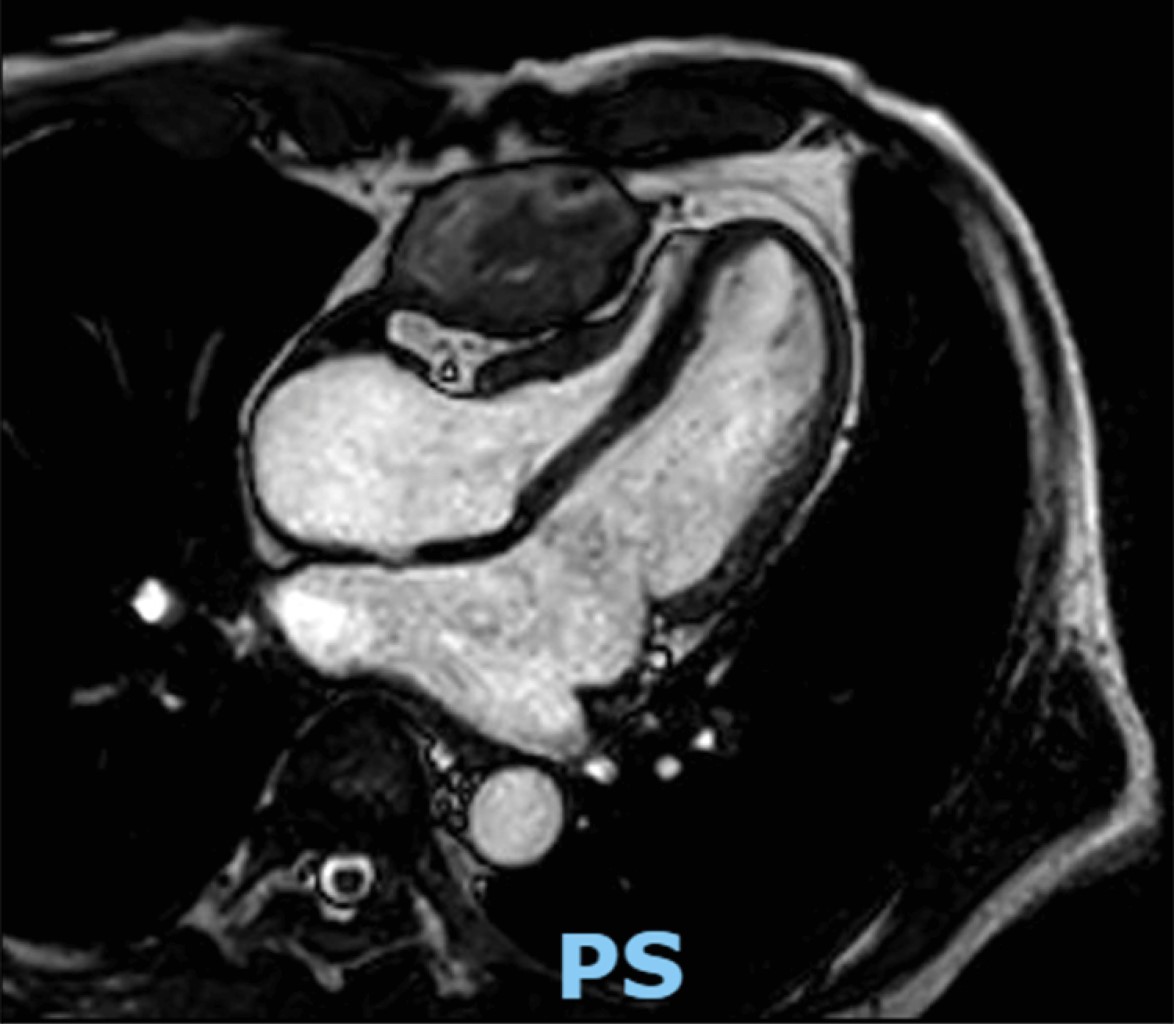
The MRI showed an intrapericardial lesion measuring 58.1 by 6.7 mm with irregular margins, heterogeneous in all sequences, predominantly hypointense. There was no contrast enhancement observed, and it showed compression of the right ventricle, restricting diastolic filling and limiting contractility (Figure 1).

The transthoracic echocardiogram demonstrated significant left atrial dilation, normal valves, with a systolic displacement of the tricuspid annular plane of 5, a left ventricular ejection fraction of 55%, a pulmonary artery systolic pressure of 46 mmHg, a right ventricle of normal diameter, with a fractional area change of 35%. A mass dependent on the pericardium causing extrinsic compression of the right heart chambers was evident.

The patient was discussed in an internal committee at our hospital and accepted for pericardial tumor resection. A surgical procedure was scheduled with a median sternotomy approach, performing an interphrenic pericardiectomy without cardiopulmonary bypass. Findings included a thickened pericardium of 2 cm with severe calcification infiltrating the anterior wall of the right ventricle, pulmonary hilum, right atrium, and both venae cavae (Figure 2). There was a chronic-appearing hematoma of approximately 20 cc on the anterior wall of the right ventricle (Figure 3). There were no complications during the intervention, and the patient evolved favorably during his stay in intensive care.

The pericardium was resected, and part of the tumor was sent to pathology, which reported multifocal calcified granulomatous chronic pericarditis secondary to microconidia of Histoplasma spp. In the tissue sent to pathology after mass resection, not only inflammatory tissue but also microorganisms reaching the pericardium were found, which led to initiating antifungal treatment.5

The patient was treated with itraconazole without complications. Complementary studies for human immunodeficiency virus, hepatitis B, and C were negative. The patient was discharged to continue outpatient treatment.

In this patient without associated symptoms, the decision to perform surgery was based on the finding of constrictive pericarditis found in the MRI and the alteration of the functional class. The image of the unidentified mass on the anterior wall of the right ventricle, along with the calcified pericardium, reduced right ventricular filling, consistent with the diagnosis.

Two months later, an MRI revealed surgical changes associated with a remnant lesion that restricted the right ventricle with preserved ejection (49%) (Figure 4). Three months later, a follow-up echocardiogram showed a hypoechoic image dependent on the parietal pericardium compromising right ventricular filling, with decreased systolic function with a fractional area change of 52%. It also reported a thickened and calcified pericardium on the lateral and diaphragmatic walls of 13 mm.

In the MRI and echocardiogram during follow-up, there were no signs of disease progression. The finding of external compression of the right ventricle persists, consistent with the partial pericardial resection due to infiltration into the anterior ventricular wall, without impact on its systolic function, without deterioration in functional class according to the NYHA.

For now, the decision is to continue close follow-up, as, despite the persistence of external compression of the right ventricle seen in imaging studies, the patient remains clinically asymptomatic without signs of pulmonary congestion or lower limb edema.



COMMENT

Histoplasmosis is an endemic disease in many regions of the United States of America. In Mexico, systemic mycoses are not mandatory reportable diseases, so their incidence is unknown. However, Ashraf et al. report that between 112 and 325 cases are reported annually. In the last century, the infection mainly affected miners in the central states of the Mexican Republic, with a history of malnutrition, alcoholism, and association with tuberculosis.6 Since the 1980's, many cases of histoplasmosis have been reported in patients with acquired immunodeficiency syndrome and associated with other immunosuppressive factors such as autoimmune diseases, prolonged use of high-potency steroids, use of next-generation immunosuppressants known as "biologicals", transplants, etc. Our patient has a history of gastrointestinal metaplasia.

According to data collected by the Mycology Laboratory of the National Autonomous University of Mexico (UNAM), in Mexico, the systemic form of the disease is the most prevalent presentation.7 In Mexico, it is the most prevalent systemic mycosis, both in its endemic and epidemic forms.8 However, there are no cases in Mexico of histoplasmosis causing pericardial pathology, as in the case we present.9 It is of utmost importance that physicians recognize the clinical syndromes and utilize epidemiological clues to diagnose pericarditis secondary to histoplasmosis, as the latter is a rare entity. However, we are in a region of Mexico where, as previously reported in the literature, histoplasmosis is endemic. Therefore, greater attention should be paid to its diagnosis.



CONCLUSIONS

In recent years, the diverse manifestations of histoplasmosis have been increasingly highlighted. Although heart involvement is rarely reported, Histoplasma capsulatum can invade the endocardium, myocardium, or pericardium, as we reviewed. Histoplasma can also cause constrictive pericarditis. We chose to describe our case for two reasons: first, to report a relatively rare manifestation of histoplasmosis, and second, to show the importance of considering this fungus in every instance of pericardial disease.


REFERENCES

  1. Alamri M, Albarrag AM, Khogeer H, Alburaiki J, Halim M, Almaghrabi RS. Disseminated histoplasmosis in a heart transplant recipient from Saudi Arabia: a case report. J Infect Public Health. 2021;14(8):1013-1017. doi: 10.1016/j.jiph.2021.05.012.

  2. Sansom S, Shah A, Hussain S, Walloch J, Kumar S. Histoplasma capsulatum: an unusual case of pericardial effusion and coarctation of the aorta. J Clin Med Res. 2016;8(3):254-256. doi:10.14740/jocmr2455w.

  3. Boyd N, Thomason J, Pohlman L, Anselmi C. Mediastinal histoplasmosis with cardiac involvement in a cat. J Vet Cardiol. 2020;31:15-22. doi: 10.1016/j.jvc.2020.07.002.

  4. Depboylu BC, Mootoosamy P, Vistarini N, Testuz A, El-Hamamsy I, Cikirikcioglu M. Surgical treatment of constrictive pericarditis. Tex Heart Inst J. 2017;44(2):101-106. doi: 10.14503/THIJ-16-5772.

  5. Sevestre J, Hasseine L. Disseminated Histoplasmosis. N Engl J Med. 2019;380(11):e13. doi: 10.1056/NEJMicm1809792.

  6. Welch TD. Constrictive pericarditis: diagnosis, management and clinical outcomes. Heart. 2018;104(9):725-731. doi: 10.1136/heartjnl-2017-311683.

  7. Wang JJ, Reimold SC. Chest pain resulting from histoplasmosis pericarditis: a brief report and review of the literature. Cardiol Rev. 2006;14(5):223-226. doi: 10.1097/01.crd.0000204751.21288.20.

  8. Méndez-Tovar LJ, Rangel-Delgado PM, Hernández-Hernández F, et al. Primer reporte de endocarditis infecciosa por Histoplasma capsulatum en México. Rev Med Inst Mex Seguro Soc. 2019;57(3):181-186.

  9. Vaca-Marín MA, Martínez-Rivera MA, Flores-Estrada JJ. Histoplasmosis en México, aspectos históricos y epidemiológicos. Rev Inst Nal Enf Resp Mex 1998;11:208-215.



AFFILIATIONS

1 Department of Cardiothoracic Surgery, High Specialty Medical Unit, Cardiology Hospital, Centro Médico Nacional Siglo XXI. Instituto Mexicano del Seguro Social. Mexico City, Mexico.



CORRESPONDENCE

Dra. Dalia Chacón-Martell. E-mail: ailad2216@gmail.com




Received: 04-15-2024. Accepted: 10-25-2024.

Figure 1
Figure 2
Figure 3
Figure 4

2020     |     www.medigraphic.com

Mi perfil

C?MO CITAR (Vancouver)

Cir Card Mex. 2024;9