medigraphic.com
SPANISH

Revista Mexicana de Cirugía Bucal y Maxilofacial

ISSN 2007-3178 (Print)
Asociación Mexicana de Cirugía Bucal y Maxilofacial, Colegio Mexicano de Cirugía Bucal y Maxilofacial, A.C.
  • Contents
  • View Archive
  • Information
    • General Information        
    • Directory
  • Publish
    • Instructions for authors        
    • Send manuscript
  • medigraphic.com
    • Home
    • Journals index            
    • Register / Login
  • Mi perfil

2024, Number 2

<< Back Next >>

Rev Mex Cir Bucal Maxilofac 2024; 20 (2)

Closed reduction of condylar fractures with the use of a bimaxillary interoclusal plate. Presentation of a case

Sánchez MCD, Panchi LJA, Gualán GWS, Rockenbach BM
Full text How to cite this article 10.35366/118066

DOI

DOI: 10.35366/118066
URL: https://dx.doi.org/10.35366/118066

Language: Spanish
References: 16
Page: 75-79
PDF size: 309.46 Kb.


Key words:

closed fracture reduction, condylar fractures, jaw fractures.

ABSTRACT

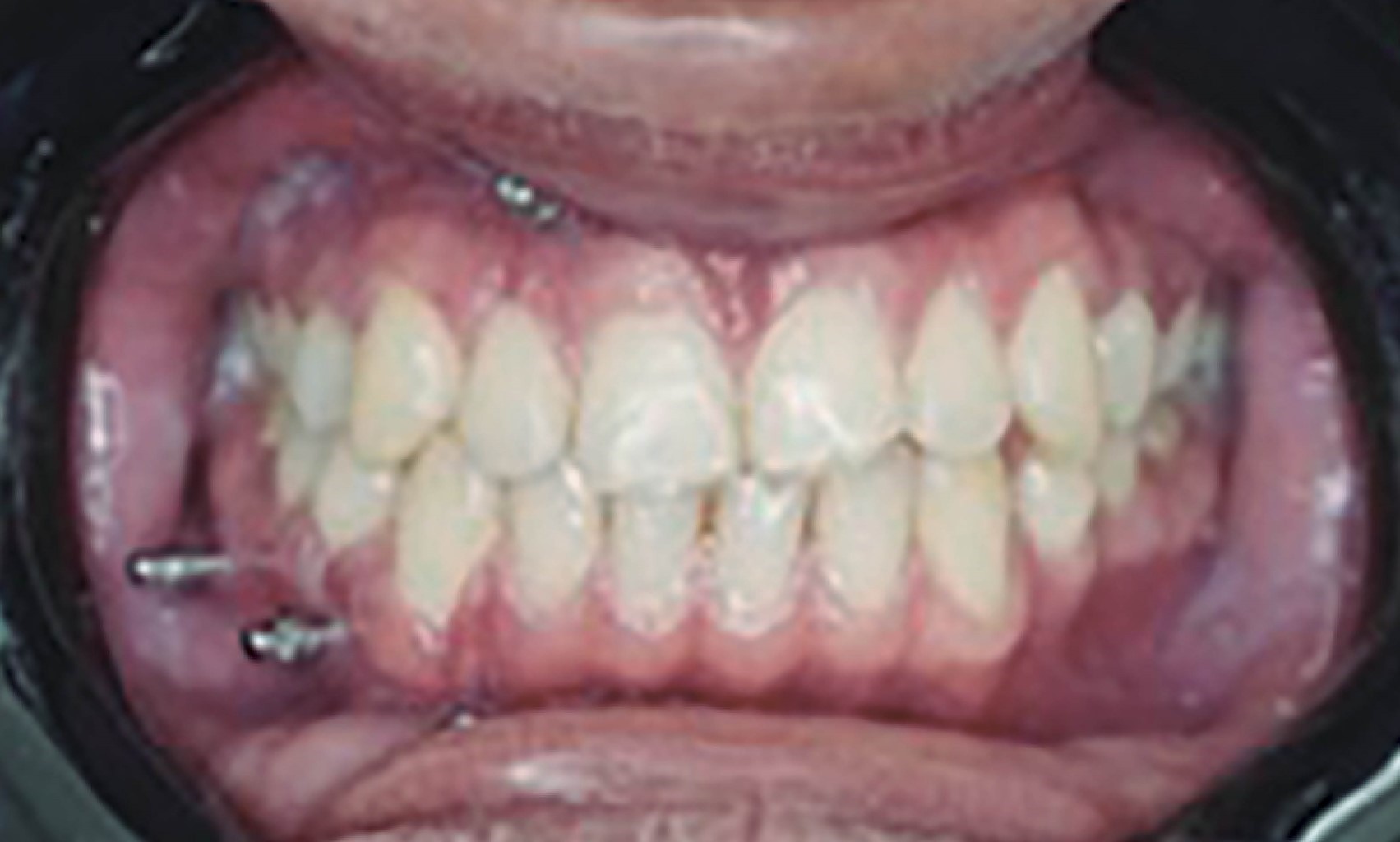
Surgical treatment of condylar fractures includes open reduction with fixation with osteosynthesis. Closed treatment can be treated with the use of arch bars, Ernst ligatures, intermaxillary fixation screws, accompanied by a soft diet and functional physio-kinesiotherapy of the temporomandibular joint (ATM), always keeping in mind that inadequate treatment can trigger problems. futures in ATM. Dorrit Nitzan describes a protocol for closed reduction of condylar fractures including general anesthesia or conscious sedation, placement of a lower and upper jaw splint to immobilize the mandible, palpation of the head of the condyle to determine the position of the fracture, application of a axial force on the jaw to reduce fracture and fixation of the jaw with an immobilization device to allow bone healing.


REFERENCES

  1. Khan TU, Rahat S, Khan ZA, Shahid L, Banouri SS, Muhammad N. Etiology and pattern of maxillofacial trauma. PLoS One. 2022; 17 (9): e0275515. doi: 10.1371/journal.pone.0275515.

  2. Mardones MM, Fernández MA, Bravo AR, Pedemonte TC, Ulloa MC. Traumatología máxilo facial: diagnóstico y tratamiento. Rev Med Clin Condes. 2011; 22 (5): 607-616. Disponible en: https://pesquisa.bvsalud.org/portal/resource/pt/lil-677265

  3. Mooney S, Gulati RD, Yusupov S, Butts SC. Mandibular condylar fractures. Facial Plast Surg Clin North Am. 2022; 30 (1): 85-98. doi: 10.1016/j.fsc.2021.08.007.

  4. Mannion CJ, Loukota RA. Endoscopically assisted treatment of condylar fractures--experiences following an educational course. Br J Oral Maxillofac Surg. 2010; 48 (6): 453-454. doi: 10.1016/j.bjoms.2009.08.022.

  5. Trost O, Kadlub N, Abu El-Naaj I, Danino A, Trouilloud P, Malka G. Surgical management of mandibular condylar fractures in adults in France, 2005. Rev Stomatol Chir Maxillofac. 2007; 108 (3): 183-188. French. doi: 10.1016/j.stomax.2006.09.004.

  6. Nitzan DW, Palla S. "Closed Reduction" principles can manage diverse conditions of temporomandibular joint vertical height loss: from displaced condylar fractures to idiopathic condylar resorption. J Oral Maxillofac Surg. 2017; 75 (6): 1163.e1-1163.e20. doi: 10.1016/j.joms.2017.01.037.

  7. Martínez TC, Núñez Vera MV, Povedano T, Rodríguez Ruiz JA. Tratamiento de las fracturas subcondíleas y de cuello de cóndilo mandibular mediante abordaje intraoral endoscópicamente asistido. Rev Esp Cir Oral Maxilofac. 2019; 41 (2): 75-79. Disponible en: https://dx.doi.org/10.20986/recom.2019.1033/2019

  8. Morales-Navarro D. Fractura condílea. Rev Cubana Estomatol [Internet]. 2018; 54 (4). Disponible en: https://revestomatologia.sld.cu/index.php/est/article/view/13579

  9. Tabatabaee A, Javanbakht A, Mohammadi Khah M, Shahsavari-Pour M, Dehabadi F. Comparison of therapeutic results of closed and open repair of mandibular condylar fractures. Int J Burns Trauma. 2021; 11 (5): 385-390.

  10. Zachariades N, Mezitis M, Rallis G, Papademetriou I. Fractures of the mandibular condyle: A review of 466 cases. Literature review, reflections on treatment and proposals. Journal of Cranio-Maxillofacial Surgery. 2006; 34, 421–432.

  11. Haug RH, Assael LA. Outcomes of open versus closed treatment of mandibular subcondylar fractures. J Oral Maxillofac Surg. 2001; 59 (4): 370-375; discussion 375-376.

  12. Eckelt U, Schneider M, Erasmus F, Gerlach KL, Kuhlisch E, Loukota R, et al. Open versus closed treatment of fractures of the mandibular condylar process: a prospective randomized multi-centre study. J Craniomaxillofac Surg. 2006; 34 (5): 306-14. doi: 10.1016/j.jcms.2006.03.003.

  13. Bertrand, S. Open Versus Closed Reduction of Mandible Fractures. Oral and Maxillofacial Surgery Clinics of North America. 1998; 10 (4): 541-565 https://doi.org/10.1016/S1042-3699(20)30299-5.

  14. Ellis E, Zide M. Surgical approaches to the facial skeleton. 3rd ed. Philadelphia: Wolters Kluwer Health; 2018.

  15. Kotrashetti SM, Lingaraj JB, Khurana V. A comparative study of closed versus open reduction and internal fixation (using retromandibular approach) in the management of subcondylar fracture. Oral Surgery, Oral Medicine, Oral Pathology and Oral Radiology. 2013 Apr; 115 (4): e7–11. doi: 10.1016/j.oooo.2011.10.027

  16. Thapa S, Wang J, Hu HT, Zhang FG, Ji P. Epidemiology of surgically managed mandibular condylar fractures at a tertiary referral hospital in urban southwest China. Open Dent J. 2017; 11: 294-300. doi: 10.2174/1874210601711010294.




Figure 1
Figure 2
Figure 3
Figure 4
Figure 5
Figure 6

2020     |     www.medigraphic.com

Mi perfil

C?MO CITAR (Vancouver)

Rev Mex Cir Bucal Maxilofac. 2024;20