medigraphic.com
SPANISH

Cirugía de Columna

ISSN 2992-7749 (Electronic)
ISSN 2992-7897 (Print)
Órgano Oficial de difusión científica de la Asociación Mexicana de Cirujanos de Columna A. C. y de la Sociedad Iberolatinoamericana de Columna. SILACO.

Indizada en:

Scielo
  • Contents
  • View Archive
  • Information
    • General Information        
    • Directory
  • Publish
    • Instructions for authors        
    • Send manuscript
  • Políticas
    • Políticas éticas
    • Políticas de acceso abierto
    • Políticas de revisión de manuscritos
    • Políticas editoriales generales
  • medigraphic.com
    • Home
    • Journals index            
    • Register / Login
  • Mi perfil

2024, Number 4

<< Back Next >>

Cir Columna 2024; 2 (4)

Segmental fracture of the thoracic spine: case report and review of literature

Reyes-Fernández PM, García-Quiroz HE, Hulse-Villa JR, Martínez-Gutiérrez OA, Peña-Martínez VM
Full text How to cite this article 10.35366/118100

DOI

DOI: 10.35366/118100
URL: https://dx.doi.org/10.35366/118100

Language: Spanish
References: 20
Page: 256-260
PDF size: 441.25 Kb.


Key words:

fracture dislocation, spinal instability, thoracic fracture, spinal cord injury.

ABSTRACT

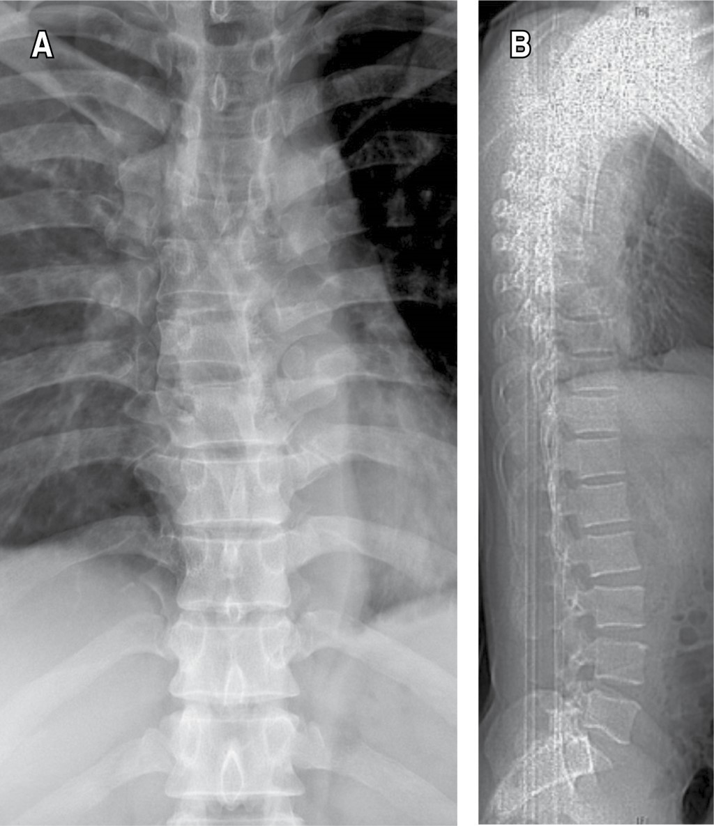
Introduction: the term segmental fracture implies that at least two fracture lines isolate a bone segment, typically associated with high-energy trauma and considerable damage to nearby soft tissue. Noncontiguous, double three-column lesions are defined as those separated by three or more intact vertebrae. Most of these patients have associated injuries that compromise life, dying at the site of the injury without receiving any medical attention, which is why we explain the low reported prevalence of these injuries in the literature. Due to the few cases reported in the literature the management of these lesions is not well established yet, so the treatment may vary depending on the center in which the patient is being treated or the surgeon's experience. Case presentation: a 35-year-old male presented to the emergency department after having participated in a car accident. Neurological examination of the lower extremities revealed grade 0/0 muscle strength bilaterally with flaccid paralysis with absence of anal tone as well as a bulbocavernosus reflex, classifying the patient as ASIA A with a neurological level in T5. Fixation was performed via a posterior approach with laminectomy and instrumentation of two levels above and two below with a unilateral screw in the floating segment. Conclusions: this type of fracture poses challenges in identifying a specific injury pattern. It underscores the importance of comprehensive and timely management, emphasizing swift and thorough assessment and a multidisciplinary approach to achieve optimal outcomes. The necessity for personalized care is emphasized, as these injuries may defy conventional classifications. Despite the absence of a standardized therapeutic approach and limited documentation, existing literature suggests favorable outcomes with a posterior surgical approach. The presence of traumatic spinal column injuries that deviate from current classifications is highlighted, presenting a surgical challenge for spine surgeons.


REFERENCES

  1. Denis F. The three columns spine and its significance in the classification of acute thoracolumbar spinal injuries. Spine (Phila Pa 1976). 1983; 8: 817-831.

  2. Panjabi MM, White AA 3rd. Basic biomechanics of the spine. Neurosurgery. 1980; 7: 76-93.

  3. Panjabi MM, Oxland TR, Kifune M, Arand M, Wen L, Chen A. Validity of the three-column theory of thoracolumbar fractures. A biomechanic investigation. Spine (Phila Pa 1976). 1995; 20: 1122-1127.

  4. Iencean SM. Double noncontiguous cervical spinal injuries. Acta Neurochir (Wien). 2002; 144: 695-701.

  5. Cho SK, Lenke LG, Hanson D. Traumatic noncontiguous double fracture-dislocation of the lumbosacral spine. Spine J. 2006; 6: 534-538.

  6. Pellise F, Bago J, Villanueva C. Double-level spinal injury resulting in "en bloc" dislocation of the lumbar spine. A case report. Acta Orthop Belg. 1992; 58: 349-352.

  7. Katsuura Y, Osborn JM, Cason GW. The epidemiology of thoracolumbar trauma: A meta-analysis. J Orthop. 2016; 13: 383-388.

  8. Akay KM, Baysefer A, Kayali H, Beduk A, Timurkaynak E. Fracture and lateral dislocation of the T12-L1 vertebrae without neurological deficit--case report. Neurol Med Chir (Tokyo). 2003; 43: 267-270.

  9. Csókay A, Pentelényi T, Tator CH, Barros TE, El Masry WS, Ramani PS. Treatment of severe double spinal cord injuries. Spinal Cord. 2001; 39: 492-497.

  10. American College of Surgeons. Advanced trauma life support: student course manual. 10th ed. American College of Surgeons; 2018.

  11. Vialle R, Court C. Traumatic lateral lumbosacral dislocation: one case and review of literature. J Spinal Disord Tech. 2005; 18: 286-289.

  12. O'hEireamhoin S, Devitt B, Baker J, Kiely P, Synnott K. Segmental fracture of the lumbar spine. Spine (Phila Pa 1976). 2010; 35: E1141-E1143.

  13. Salehani AA, Baum GR, Howard BM, Holland CM, Ahmad FU. Floating thoracic spine after double, noncontiguous three-column spinal fractures. World Neurosurg. 2016; 91: 670.e7-670.e11.

  14. Iyer RD, Sarkar B, Azam MQ, Kandwal P. Floating thoracic spine due to noncontiguous fracture-dislocations of the thoracolumbar spine. Cureus. 2022; 14: e22955.

  15. Expert Panel on Neurological Imaging and Musculoskeletal Imaging; Beckmann NM, West OC, Nunez D Jr, Kirsch CFE, Aulino JM, Broder JS, et al. ACR appropriateness Criteria® suspected spine trauma. J Am Coll Radiol. 2019; 16: S264-S285.

  16. Deokate P, Bhise S, Chandanwale AS, Shintre SS, Mathesul A. A new fracture pattern of noncontiguous fracture of dorsal spine: a case report. Int J Sci Stud. 2017; 4: 262-264.

  17. Tearse DS, Keene JS, Drummond DS. Management of non-contiguous vertebral fractures. Paraplegia. 1987; 25: 100-105.

  18. Takami M, Okada M, Enyo Y, Iwasaki H, Yamada H, Yoshida M. Noncontiguous double-level unstable spinal injuries. Eur J Orthop Surg Traumatol. 2017; 27: 79-86.

  19. Bernstein MP, Young MG, Baxter AB. Imaging of spine trauma. Radiol Clin North Am. 2019; 57: 767-785.

  20. Izzo R, Al Qassab S, Popolizio T, Balzano RF, Perri M, Cassar-Pullicino V, et al. Imaging of thoracolumbar spine traumas. Eur J Radiol. 2022; 154: 110343.




Figure 1
Figure 2
Figure 3
Figure 4

2020     |     www.medigraphic.com

Mi perfil

C?MO CITAR (Vancouver)

Cir Columna. 2024;2