medigraphic.com
SPANISH

Revista Mexicana de Cirugía Bucal y Maxilofacial

ISSN 2007-3178 (Print)
Asociación Mexicana de Cirugía Bucal y Maxilofacial, Colegio Mexicano de Cirugía Bucal y Maxilofacial, A.C.
  • Contents
  • View Archive
  • Information
    • General Information        
    • Directory
  • Publish
    • Instructions for authors        
    • Send manuscript
  • medigraphic.com
    • Home
    • Journals index            
    • Register / Login
  • Mi perfil

2024, Number 3

<< Back Next >>

Rev Mex Cir Bucal Maxilofac 2024; 20 (3)

Giant pilomatrixoma in the parotid region. Literature review and clinical case report

Rodríguez AMG, Reyes ME, Montañez SLG
Full text How to cite this article 10.35366/118186

DOI

DOI: 10.35366/118186
URL: https://dx.doi.org/10.35366/118186

Language: Spanish
References: 15
Page: 135-139
PDF size: 379.06 Kb.


Key words:

hair follicle, pilomatrixoma, parotid region, giant.

ABSTRACT

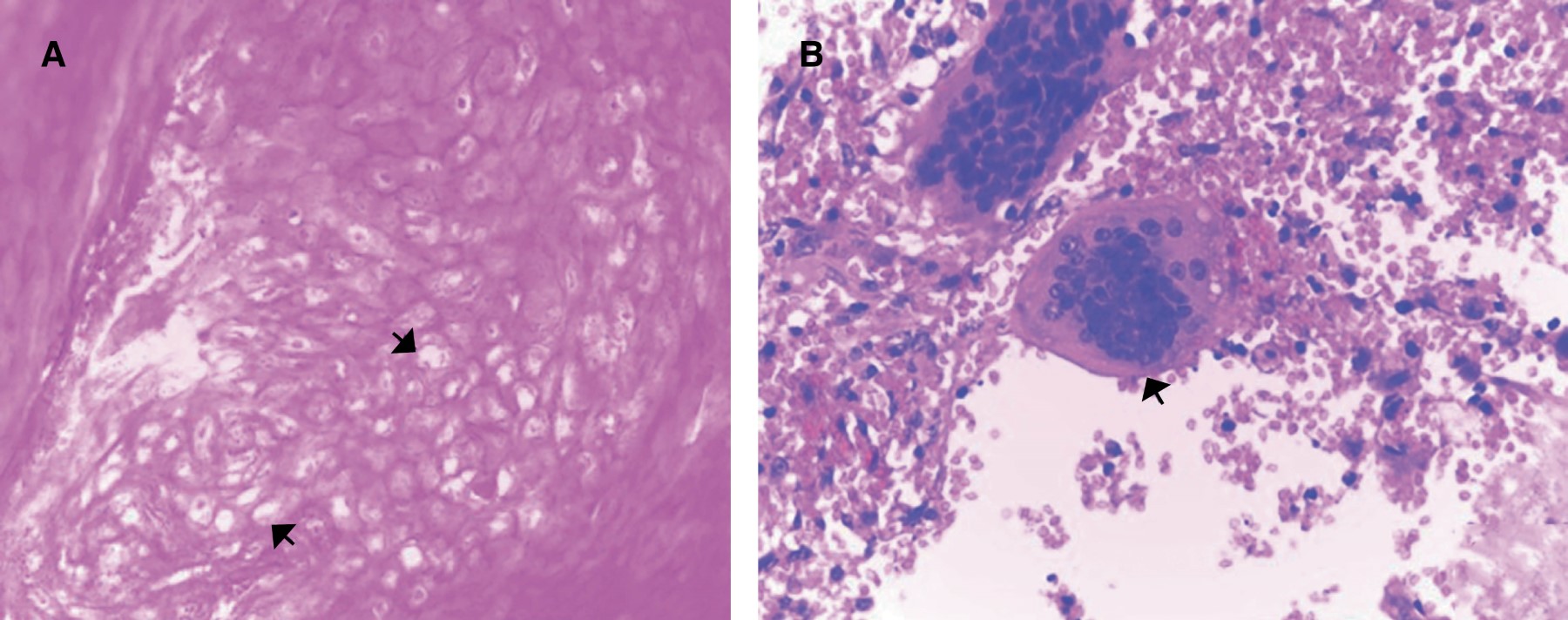
Pilomatrixoma is a slow-growing benign skin tumor described more than 130 years ago. Its name comes from the matrix of the hair follicle from which it derives, containing keratin, calcium and inflammatory tissue. The following is a clinical case of a 24-year-old male patient, with enlargement in the parotid region (a rare region) because it is located above the parotid gland, of nine years of evolution, with accelerated growth during the last year, becoming a giant pilomatrixoma, asymptomatic, with diagnosis and treatment for pilomatrixoma.


REFERENCES

  1. Vera PFJ, Mirabal RY, Candelario RA, Nieto SC, Chasipanta QJ, García GEA. Pilomatrixoma de Malherbe epicraneal gigante. Presentación de caso. Gaceta Médica Espirituana. 2012; 14 (1): 34-38. Disponible en: https://www.medigraphic.com/pdfs/espirituana/gme-2012/gme121h.pdf

  2. Gutiérrez R. ¿Cuál es su diagnóstico? Rev Hosp Niños (B. Aires). 2014; 57 (256): 51-66. Disponible en: http://revistapediatria.com.ar/wp-content/uploads/2015/04/Ninos-256-completo-WEB-52-67.pdf

  3. Venegas O, Nicola M, Martínez B, Olivos B & Tovar R. Pilomatrixoma en la región preauricular. Caso clínico. J Oral Res. 2013; 2 (1): 31-34. Disponible en: https://www.researchgate.net/publication/272925938_Pilomatrixoma_en_la_region_preauricular_Caso_clinico

  4. Valdés GJL, Solis CU, Valdés González EM, Peralta S. Manifestaciones clínicas de pilomatrixoma en un paciente pediátrico. Rev Cubana Pediatr. 2019; 91 (3): e552. Disponible en: http://scielo.sld.cu/scielo.php?script=sci_arttext&pid=S0034-75312019000300011

  5. Valdez-Arroyo NM, Gutiérrez-Gutiérrez PG. Pilomatrix carcinoma: reporte de un caso y revisión de la literatura. Rev Med Hered. 2018; 29 (1): 42-45. Disponible en: https://revistas.upch.edu.pe/index.php/RMH/article/view/3260/3365

  6. Castañeda R. Pilomatrixoma (epitelioma calcificante de Malherbe). Acta Med. 2011; 9 (3): 155-157. Disponible en: https://www.medigraphic.com/pdfs/actmed/am-2011/am113g.pdf

  7. Simon ML, Martínez RD. Pilomatrixoma. Importancia de tumor cutáneo benigno en medicina estética. Revista SEME. 2020; 64: 34-37. Disponible en: https://www.seme.org/site/docs/revistaweb/Revista-SEME-64_5-Simon-2020.pdf

  8. Garnica RJ, Miranda VJE, Flores GRA, Rodríguez PMA. Epitelioma calcificante de Malherbe (pilomatrixoma) en mejilla. Reporte de un caso clínico. Rev Mex Cir Bucal Maxilofac. 2009; 5 (1): 32-37. Disponible en: https://www.medigraphic.com/pdfs/cirugiabucal/cb-2009/cb091g.pdf

  9. Peña-Ruelas Cl, Páez-Moreno S, De la Rosa-Vélez EE, Sánchez-Arbea PC. Pilomatricoma submandibular. An Orl Mex. 2016; 61 (3): 237-241. Disponible en: https://www.medigraphic.com/pdfs/anaotomex/aom-2016/aom163h.pdf

  10. Laffargue JA, Stefano PC, Vivoda JL, Yarza ML, Bellelli AG, Castro MN et al. Pilomatrixomas in children: Report of 149 cases. A retrospective study at two children's hospitals. Arch Argent Pediatr. 2019; 117 (5): 340-343. Available from: https://www.sap.org.ar/uploads/archivos/general/files_cb_laffargue_eng_pdf_1563478219

  11. Nadershah M, Alshadwi A, Salama A. Recurrent giant pilomatrixoma of the face: a case report and review of the literature. Case Rep Dent. 2012; 2012: 197273. Available from: https://doi.org/10.1155/2012/197273

  12. Wortsman X, Wortsman J, Arellano J, Oroz J, Giugliano C, Benavides MI et al. Pilomatrixomas presenting as vascular tumors on color doppler ultrasound. Journal of Pediatric Surgery. 2010; 45 (10): 2094-2098. Available in: https://www.sciencedirect.com/science/article/abs/pii/S0022346810005646

  13. Ajao H, Carter L, Chengot P. Unusual case of Pilomatrixomas with myotonic dystrophy. Oral Surgery. 2017; 11 (2): 144-146. Available in: https://onlinelibrary.wiley.com/doi/10.1111/ors.12319

  14. Pinheiro TN, Fayad FT, Arantes P, Benetti F, Guimarães G, Cintra LTA. A new case of the pilomatrixoma rare in the preauricular region and review of series of cases. Oral Maxillofac Surg. 2018; 22 (4): 483-488. Available in: https://doi.org/10.1007/s10006-018-0724-8

  15. Fernández AR, Álvarez GN, González RY, Siles HA, Rihuete HMA, Elías PJ. El diagnóstico del pilomatrixoma infantil no es tan fácil como parece: revisión de 126 casos / The diagnosis of pilomatrixoma in children is not as easy as it may seem. A review of 126 cases. Cir Pediatr. 2017; 30: 46-49. Disponible en: https://www.secipe.org/coldata/upload/revista/2017_30-1_46-49.pdf




Figure 1
Figure 2
Figure 3
Figure 4
Figure 5

2020     |     www.medigraphic.com

Mi perfil

C?MO CITAR (Vancouver)

Rev Mex Cir Bucal Maxilofac. 2024;20