medigraphic.com
SPANISH

Revista Latinoamericana de Infectología Pediátrica

ISSN 2683-1678 (Print)
Órgano Oficial de la Sociedad
Latinoamericana de lnfectología Pediátrica.
Órgano de la Asociación Mexicana de
Infectología Pediátrica, A.C.
Órgano difusor de la Sociedad Española
de lnfectología
  • Contents
  • View Archive
  • Information
    • General Information        
    • Directory
  • Publish
    • Instructions for authors        
  • medigraphic.com
    • Home
    • Journals index            
    • Register / Login
  • Mi perfil

2024, Number 4

<< Back Next >>

Rev Latin Infect Pediatr 2024; 37 (4)

Diagnostic enigma in pediatric gastrointestinal pathology: from allergy to occult infection, case report

Minero HMÁ, Alfaro BJE, Partida JI, Ubillo SJM, Cano PRY
Full text How to cite this article 10.35366/118317

DOI

DOI: 10.35366/118317
URL: https://dx.doi.org/10.35366/118317

Language: Spanish
References: 0
Page: 166-169
PDF size: 323.45 Kb.


Key words:

No keywords







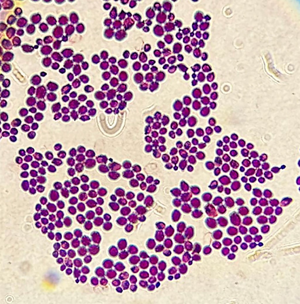
Figure 1
Figure 2
Figure 3
Figure 4

2020     |     www.medigraphic.com

Mi perfil

C?MO CITAR (Vancouver)

Rev Latin Infect Pediatr. 2024;37