medigraphic.com
SPANISH

Revista Latinoamericana de Infectología Pediátrica

ISSN 2683-1678 (Print)
Órgano Oficial de la Sociedad
Latinoamericana de lnfectología Pediátrica.
Órgano de la Asociación Mexicana de
Infectología Pediátrica, A.C.
Órgano difusor de la Sociedad Española
de lnfectología
  • Contents
  • View Archive
  • Information
    • General Information        
    • Directory
  • Publish
    • Instructions for authors        
  • medigraphic.com
    • Home
    • Journals index            
    • Register / Login
  • Mi perfil

2024, Number 3

<< Back Next >>

Rev Latin Infect Pediatr 2024; 37 (3)

Leptospirosis with multiorgan involvement in a 14-year-old adolescent in Barranquilla-Colombia: case report and literature review

Sánchez ARA, Acosta BC, Mendoza CAM
Full text How to cite this article 10.35366/118340

DOI

DOI: 10.35366/118340
URL: https://dx.doi.org/10.35366/118340

Language: Spanish
References: 14
Page: 129-134
PDF size: 376.63 Kb.


Key words:

leptospirosis, pleural effusion, myocarditis, fever, epidemiology.

ABSTRACT

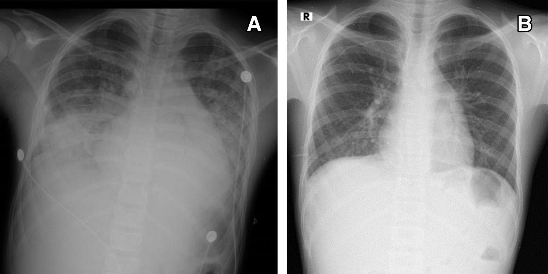
Leptospirosis is an infectious disease caused by spirochetes of the genus Leptospira; in Colombia, considered as an event of mandatory and individual notification to the National Surveillance System (SIVIGILA). It is an important cause of febrile syndrome that most frequently affects tropical areas. Its main reservoir is rodents, it is related to factors of poverty, health deficit, recreational activities and contact with the urine of infected animals, contaminated water or soil. The case of a 14-year-old male adolescent, who presents with febrile syndrome that progresses to cardiovascular involvement due to findings of moderate secondary mitral insufficiency and systolic dysfunction of the left ventricle, pulmonary involvement due to pneumonia complicated with bilateral pleural effusion, compromised kidney and liver; given risk factors and clinical suspicion of leptospirosis, IgM serology is performed on paired samples that are positive; directed management is installed with satisfactory clinical evolution.


REFERENCES

  1. Villarreal-Julio R, Murillo E, Ramírez-Garcia R, Peláez-Sanchez R, López JÁ, Ruiz-López F, et al . Brotes emergentes de leptospirosis del Amazonas colombiano. Rev Cubana Med Trop. 2019; 71(1). Disponible en: http://scielo.sld.cu/scielo.php?script=sci_arttext&pid=S0375-07602019000100011&lng=es. Epub 30-Jun-2019.

  2. Instituto Nacional de Salud (INS). Boletín Epidemiológico Semana: Leptospirosis. INS. 2020; 1-29.

  3. Organización Mundial de la Salud. Informe de la Primera Reunión del Grupo de Referencia de Epidemiología de Carga de Leptospirosis. Geneva 2021 [Internet] [Fecha de consulta: 06/01/2022]. Disponible en: https://apps.who.int/iris/bitstream/handle/10665/4 4382/9789241599894_eng.pdf; sequence=1

  4. Schneider MC, Leonel DG, Hamrick PN, de Caldas EP, Velásquez RT, Mendigaña PFA, et al. Leptospirosis in Latin America: exploring the first set of regional data. Rev Panam Salud Publica. 2017; 41: e81. doi: 10.26633/RPSP.2017.81.

  5. Colombia. Instituto Nacional de Salud. Protocolo de Vigilancia enSalud Pública de Leptospirosis. versión 1. [Internet] 2022. https://doi.org/10.33610/infoeventos.48

  6. In: Kasper DL, Joseph L, Fauci AS, Hauser SL, Longo DL, Larry JJ. Leptospirosis, Eds. Harrison principios de la medicina interna. Vol 2. 19ª ed. México: McGraw-Hill; 2016, 1140-1145.

  7. Haake DA, Levett PN. 239. Leptospira species (leptospirosis). In: Bennett JE, Dolin R, Blaser MJ, eds. Mandell, Douglas, and Bennett's principles and practice of infectious diseases. Elsevier Inc. Elsevier. Vol. 2; Nineth ed. 2019, pp. 2898-2905.e2

  8. Carranza ZAJ, Chang FD, Gutierrez LY. Leptospirosis y enfermedad de Weil. Rev Méd Sinerg. 2020; 5 (3): e346. Disponible en: https://revistamedicasinergia.com/index.php/rms/article/view/346

  9. Aranzazu CAD, Apraez HL, Ortiz MDC. Leptospirosis en pediatría, un diagnóstico a tener en cuenta. Rev Chil Infectol. 2020; 37 (6): 728-738. Disponible en: https://dx.doi.org/10.4067/S0716-10182020000600728

  10. Secretaría de Salud. Lineamientos para la vigilancia por laboratorio de la leptospirosis. Instituto de Diagnóstico y Referencia Epidemiológicos "Dr. Manuel Martínez Báez". versión 1. México, 2018.

  11. Field-Cortazares J, Coria-Lorenzo JJ, Domingo-Martínez D. Leptospirosis en una adolescente de 13 años de edad: informe de un caso y revisión de la literatura. Rev Enferm Infecc Pediatr 2021; 33 (136): 1878-1881.

  12. Tullu MS, Karande S. Leptospirosis in children: a review for family physicians. Indian J Med Sci. 2009; 63 (8): 368-378. doi: 10.4103/0019-5359.55893.

  13. Velasco-Castrejón O, Rivas-Sánchez B, Soriano-Rosas J, Rivera-Reyes HH. Daño miocárdico grave por leptospirosis. Informe de un caso fatal en México. Arch Cardiologia Mexico. 2009; 79 (4): 28-273.

  14. Pérez-García J, Arboleda M, Agudelo-Flórez P. Childhood leptospirosis in patients with febrile syndrome in the region of Urabá, Colombia. Rev Peru Med Exp Salud Publica. 2016; 33 (4): 745-750. doi: 10.17843/rpmesp.2016.334.2561.




Figure 1
Figure 2
Table 1

2020     |     www.medigraphic.com

Mi perfil

C?MO CITAR (Vancouver)

Rev Latin Infect Pediatr. 2024;37