medigraphic.com
SPANISH

Revista Latinoamericana de Infectología Pediátrica

ISSN 2683-1678 (Print)
Órgano Oficial de la Sociedad
Latinoamericana de lnfectología Pediátrica.
Órgano de la Asociación Mexicana de
Infectología Pediátrica, A.C.
Órgano difusor de la Sociedad Española
de lnfectología
  • Contents
  • View Archive
  • Information
    • General Information        
    • Directory
  • Publish
    • Instructions for authors        
  • medigraphic.com
    • Home
    • Journals index            
    • Register / Login
  • Mi perfil

2024, Number 3

<< Back Next >>

Rev Latin Infect Pediatr 2024; 37 (3)

Malaria and co-infection with dengue and SARS-CoV-2: report of three clinical cases

Hincapié GPA, Mandegari E
Full text How to cite this article 10.35366/118341

DOI

DOI: 10.35366/118341
URL: https://dx.doi.org/10.35366/118341

Language: Spanish
References: 15
Page: 135-142
PDF size: 308.85 Kb.


Key words:

dengue, respiratory distress, fever, malaria, SARS-CoV-2.

ABSTRACT

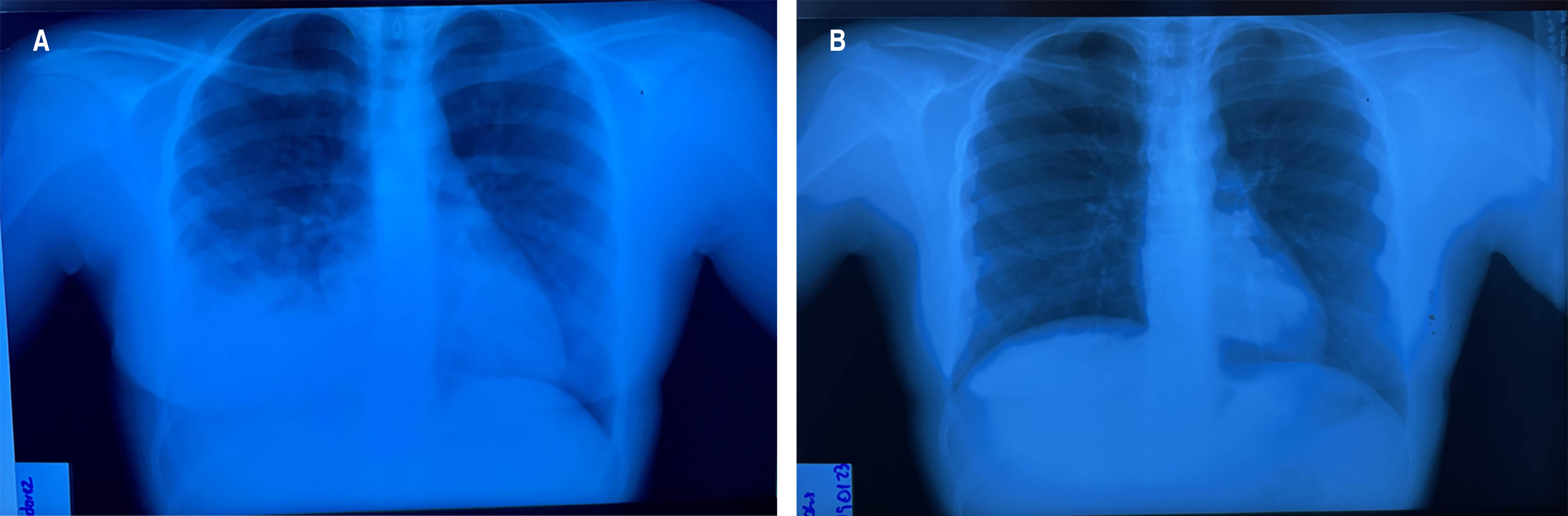
Introduction: in Honduras, an endemic country for dengue and malaria, co-infections are underreported but present potentially more severe clinical pictures than individual infections. In 2019, SARS-CoV-2 joined the picture, sharing similar symptoms with Malaria, such as fever and respiratory distress. This can lead to misdiagnosis, especially when they occur simultaneously in a patient, challenging their medical management. Dengue, also endemic, shares febrile symptoms and can lead to serious complications. This clinical similarity makes differential diagnosis difficult. Clinical cases: Case #1: a 12-year-old patient presented to the Roatan Hospital with a fever of four days of evolution, accompanied by diaphoresis, general malaise, chills and an episode of vomiting. Case #2: A nine-year-old female patient from Roatán, Bay Islands, Honduras, presented to the Hospital de Roatán with a fever of five days of evolution, accompanied by diaphoresis, general malaise, chills, headache and four episodes of vomiting. Case #3: An 11-year-old patient presented to the Roatan Hospital with a three-day history of fever, daily presentation, general malaise, hyporexia, headache, nausea, and two episodes of vomiting. Conclusion: malaria, dengue and SARS-CoV-2 highlight the importance of early diagnosis to improve prognosis, given the potential severity of these diseases. Effective management requires diverse approaches due to associated complications. This report underscores the need for expanded clinical suspicion and appropriate diagnostic testing to differentiate these infectious diseases.


REFERENCES

  1. Norma Nacional y Protocolo De Atención Integral a la Malaria en Honduras, Secretaria de Salud de Honduras (Honduras, agosto 2018).

  2. Talapko J, Skrlec I, Alebic T, Jukic M, Vcec A. Malaria: the past and the present. Microorganisms. 2019; 7 (6): 179. Disponible en: https://www.mdpi.com/2076-2607/7/6/179

  3. Araya-Calvo P, Polanco-Méndez D. Malaria: revisión bibliográfica. Revista Ciencia y Salud Integrando Conocimientos. 2020; 4 (4): 162-175. doi: 10.34192/cienciaysalud.v4i4.193.

  4. WHO Guidelines for the treatment of malaria. Disponible en: http://www.who.int/malaria/docs/TreatmentGuidelines2006.pdf.

  5. Roy SK, Bhattacharjee S. Dengue virus: epidemiology, biology, and disease aetiology. Can J Microbiol. 2021; 67 (10): 687-702. doi: 10.1139/cjm-2020-0572.

  6. Lineamientos para el Manejo Clínico de Pacientes con Dengue, Secretaria de Salud de Honduras. 2019. Disponible en: https://epidemiologia.unah.edu.hn/assets/Libros-MEPI/Lineamientos-de-Dengue-LN25.pdf

  7. Pérez-Abreu MR, Gómez-Tejeda JJ, Dieguez-Guach RA. Características clínico-epidemiológicas de la COVID-19. Rev Haban Cienc Méd. 2020; 19 (2): e_3254. Disponible en: http://www.revhabanera.sld.cu/index.php/rhab/article/view/3254/2505.

  8. SARS-CoV-2: estructura, replicación y mecanismos fisiopatológicos relacionados con COVID-19. Gac Med Bol Cochabamba. 2020; 43 (2): 170-178. Disponible en: http://www.scielo.org.bo/scielo.php?script=sci_arttext&pid=S1012-29662020000200009&lng=es

  9. Taylor WRJ, Hanson J, Turner GDH, White NJ, Dondorp AM. Respiratory manifestations of malaria. Chest. 2012; 142 (2): 492-505.

  10. Konozy EHE, Osman MEM, Ghartey-Kwansah G, Abushama HM. The striking mimics between COVID-19 and malaria: A review. Front immunol. 2022; 13: 957913. doi: 10.3389/fimmu.2022.957913.

  11. Gutman JR, Lucchi NW, Cantey PT, Steinhardt LC, Samuels AM, Kamb ML et al. Malaria and parasitic neglected tropical diseases: potential syndemics with COVID-19? Am J Trop Med Hyg. 2020; 103 (2): 572-577.

  12. García J, Alger J, Padgett D, Rodríguez C, Soto S. Descripción de casos de coinfección dengue y malaria, hospital escuela universitario, Tegucigalpa, Honduras, 2010-2014. Rev Med Hondur. 2016; 84: 18-25.

  13. Queb-Pech NM, Núñez-Oreza LA, Estrada-Méndez A, Tamay-Segovia P, Collí-Heredia JP, Blum-Domínguez SC. Unusual co-infection of severe malaria by Plasmodium vivax and dengue virus in Mexico. Trop Biomed. 2022; 39 (4): 575-578. doi: 10.47665/tb.39.4.014.

  14. Cohee LM, Laufer MK. Malaria in Children. Pediatr Clin North Am. 2017 Aug;64(4):851-866. doi: 10.1016/j.pcl.2017.03.004.

  15. Rojas-Rivera L, Ortega-González LM, Marrero-Martínez O, Valdespino-González MI, Pomier-Suárez O, Trujillo-Machado C. Evolución satisfactoria de un paciente adulto con malaria grave y complicada por Plasmodium falciparum. Rev Cubana Med Trop. 2022; 74 (3): 917. Disponible en: http://scielo.sld.cu/scielo.php?script=sci_arttext&pid=S0375-07602022000300021&lng=es&tlng=es




Figure 1

2020     |     www.medigraphic.com

Mi perfil

C?MO CITAR (Vancouver)

Rev Latin Infect Pediatr. 2024;37