medigraphic.com
SPANISH

Acta Médica Grupo Ángeles

Órgano Oficial del Hospital Ángeles Health System
  • Contents
  • View Archive
  • Information
    • General Information        
    • Directory
  • Publish
    • Instructions for authors        
    • Manuscript submission
    • Policies
    • Names and affiliations of the Editorial Board
  • About us
    • Data sharing policy
    • Stated aims and scope
  • medigraphic.com
    • Home
    • Journals index            
    • Register / Login
  • Mi perfil

2024, Number 5

<< Back Next >>

Acta Med 2024; 22 (5)

Granulomatosis with polyangiitis

Xochihua ISA, Porras MCMV, Govea PS
Full text How to cite this article 10.35366/118819

DOI

DOI: 10.35366/118819
URL: https://dx.doi.org/10.35366/118819

Language: Spanish
References: 5
Page: 401-403
PDF size: 245.87 Kb.


Key words:

granulomatosis with polyangiitis, ANCA, pulmonary metastasis.

ABSTRACT

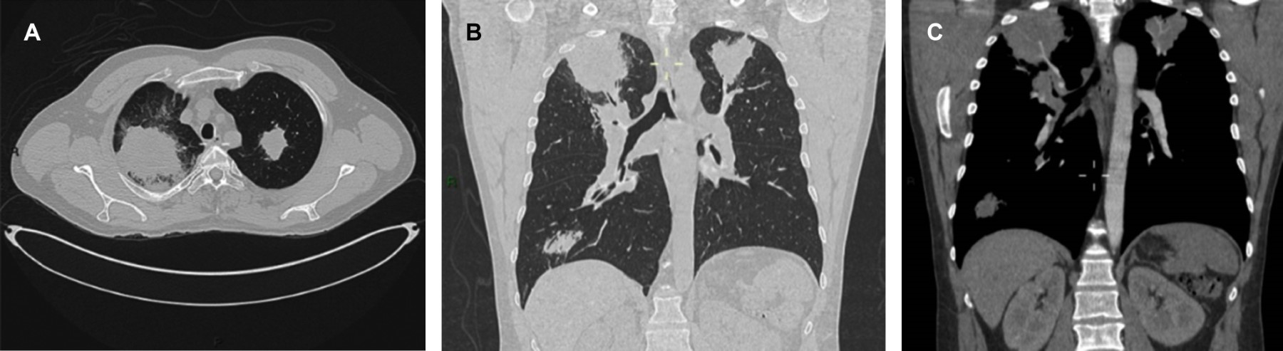
Granulomatosis with polyangiitis is the most common vasculitis associated with anti-neutrophil cytoplasmic antibodies, although it has a low incidence and prevalence. The diagnosis is confirmed by serology and histopathology of the affected organ or system; its manifestations may be heterogeneous when possible. Without the correct treatment, your estimated survival is five months after diagnosis. Below, we report the case of a 50-year-old man who was hospitalized due to weight loss, chronic sinusitis, and lung injuries.


REFERENCES

  1. Ntatsaki E, Watts RA, Scott DG. Epidemiology of ANCA-associated vasculitis. Rheum Dis Clin North Am. 2010; 36 (3): 447-461.

  2. Cervera H, Blanco F, Silva Y, Paredes G, Torres V. Vasculitis asociadas a ANCA en la zona metropolitana oriente de la Ciudad de México. Rev Med Inst Mex Seguro Soc. 2017; 55 (4): 430-440.

  3. Essien F, Evans J, Kyle A, Urisman A, Adams N. "Granulomatosis with polyangiitis after Pfizer vaccination": a case report. Ther Adv Rare Dis. 2022; 3: 26330040221130084.

  4. Yaseen K, Mandell BF. ANCA associated vasculitis (AAV): a review for internists. Postgrad Med. 2023; 135 (sup1): 3-13.

  5. Greco A, Marinelli C, Fusconi M, Macri GF, Gallo A, De Virgilio A, et al. Clinic manifestations in granulomatosis with polyangiitis. Int J Immunopathol Pharmacol. 2016; 29 (2): 151-159. doi: 10.1177/0394632015617063.




Figure 1
Figure 2
Figure 3

2020     |     www.medigraphic.com

Mi perfil

C?MO CITAR (Vancouver)

Acta Med. 2024;22