medigraphic.com
SPANISH

Acta Médica Grupo Ángeles

Órgano Oficial del Hospital Ángeles Health System
  • Contents
  • View Archive
  • Information
    • General Information        
    • Directory
  • Publish
    • Instructions for authors        
    • Manuscript submission
    • Policies
    • Names and affiliations of the Editorial Board
  • About us
    • Data sharing policy
    • Stated aims and scope
  • medigraphic.com
    • Home
    • Journals index            
    • Register / Login
  • Mi perfil

2024, Number 5

<< Back Next >>

Acta Med 2024; 22 (5)

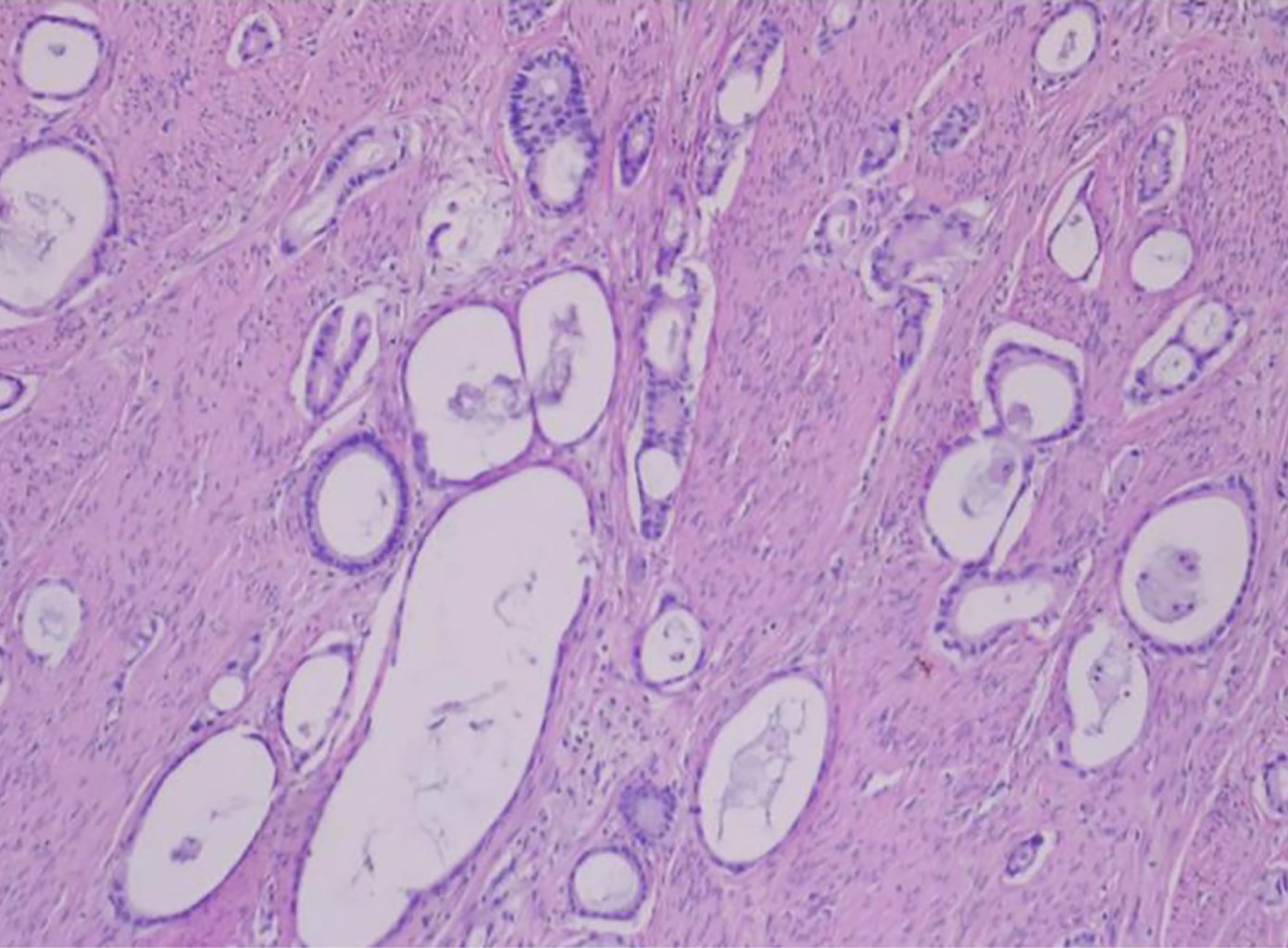
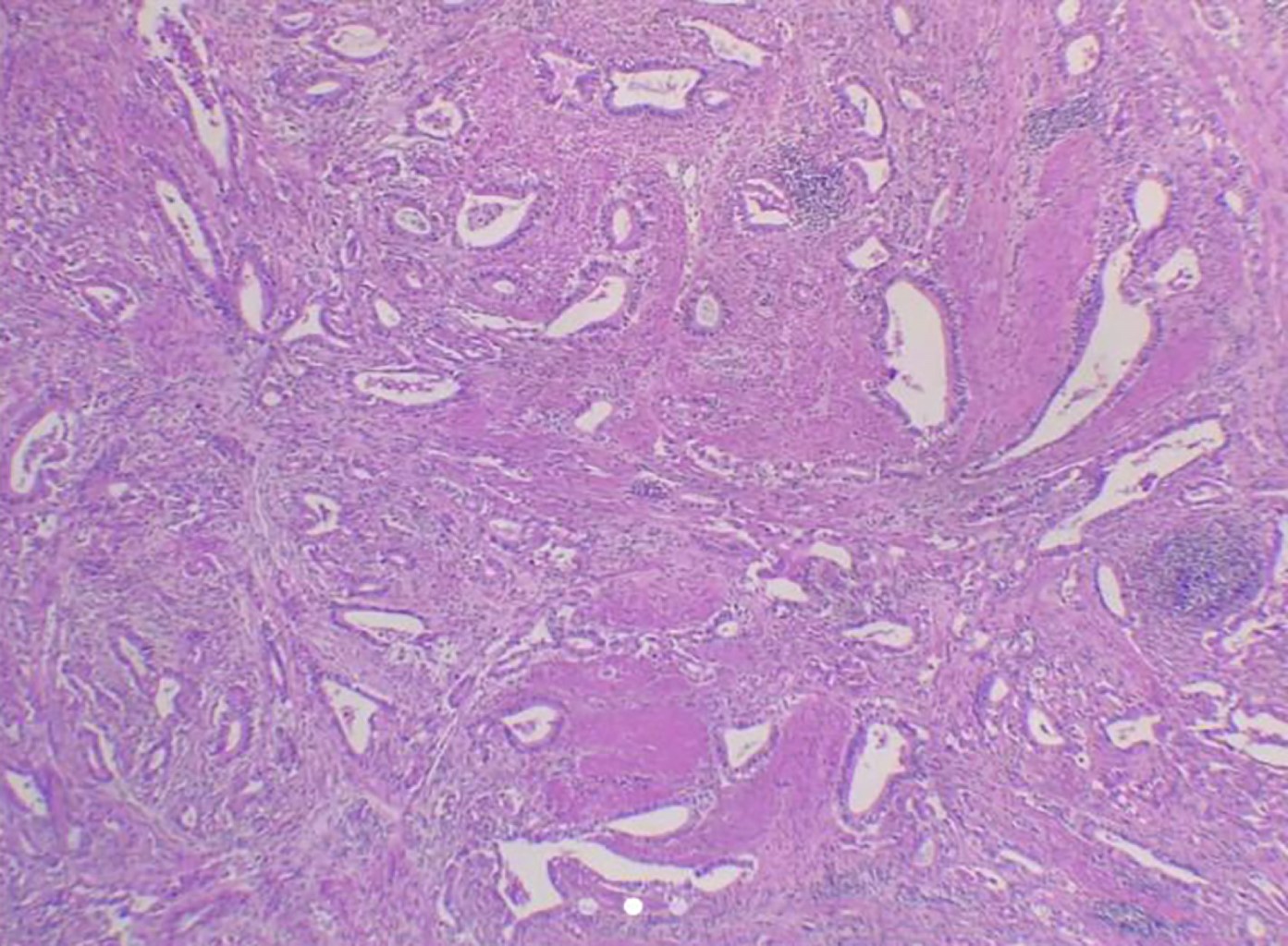
Recurrent gastric adenocarcinoma with metastasis to the rectum

Gallardo NE, García RFM, Abella RMF, Herrera CS, Mancera SC
Full text How to cite this article 10.35366/118823

DOI

DOI: 10.35366/118823
URL: https://dx.doi.org/10.35366/118823

Language: Spanish
References: 5
Page: 413-415
PDF size: 216.65 Kb.


Key words:

gastric adenocarcinoma, metastasis, rectum, anemia, neoplasia.

ABSTRACT

Introduction: the most common sites of gastric adenocarcinoma metastases are the liver, peritoneum, and lungs, with reports in the colon and rectum being rare. Clinical case: we describe a patient in remission of an intestinal gastric adenocarcinoma with resection and chemoradiation about three years before presenting a rectal recurrence with uterine involvement compatible with metastatic gastric adenocarcinoma. Conclusion: the latency theory is proposed as a possible cause of metastasis, especially in patients with a history of cancer, due to the time elapsed between the initial appearance and the final metastasis to the rectum.


REFERENCES

  1. American Cancer Society. Key statistics about stomach cancer. Website. [Updated 2022. Accessed 2023] Available in: https://www.cancer.org/cancer/types/stomach-cancer/about/key-statistics.html

  2. Riihimaki M, Hemminki A, Sundquist K, Sundquist J, Hemminki K. Metastatic spread in patients with gastric cancer. Oncotarget. 2016; 7 (32): 52307-52316. doi: 10.18632/oncotarget.10740.

  3. Kumagai K, Sano T. Revised points and disputed matters in the eighth edition of the TNM staging system for gastric cancer. Jpn J Clin Oncol. 2021; 51: 1024-1027.

  4. Bolliet M, Green M, Damadi A. Gastric adenocarcinoma metastasis to the rectum causing complete obstruction, a case report. J Surg Case Rep. 2023; 2023 (10): rjad560. doi: 10.1093/jscr/rjad560.

  5. Then EO, Grantham T, Deda X, Ramachandran R, Gaduputi V. Metastatic gastric cancer to the colon. World J Oncol. 2021; 12: 127-131.




Figure 1
Figure 2
Figure 3

2020     |     www.medigraphic.com

Mi perfil

C?MO CITAR (Vancouver)

Acta Med. 2024;22