medigraphic.com
SPANISH

Revista Mexicana de Anestesiología

ISSN 3061-8142 (Electronic)
ISSN 0484-7903 (Print)
  • Contents
  • View Archive
  • Information
    • General Information        
    • Directory
  • Publish
    • Instructions for authors        
  • medigraphic.com
    • Home
    • Journals index            
    • Register / Login
  • Mi perfil

2025, Number 2

<< Back Next >>

Rev Mex Anest 2025; 48 (2)

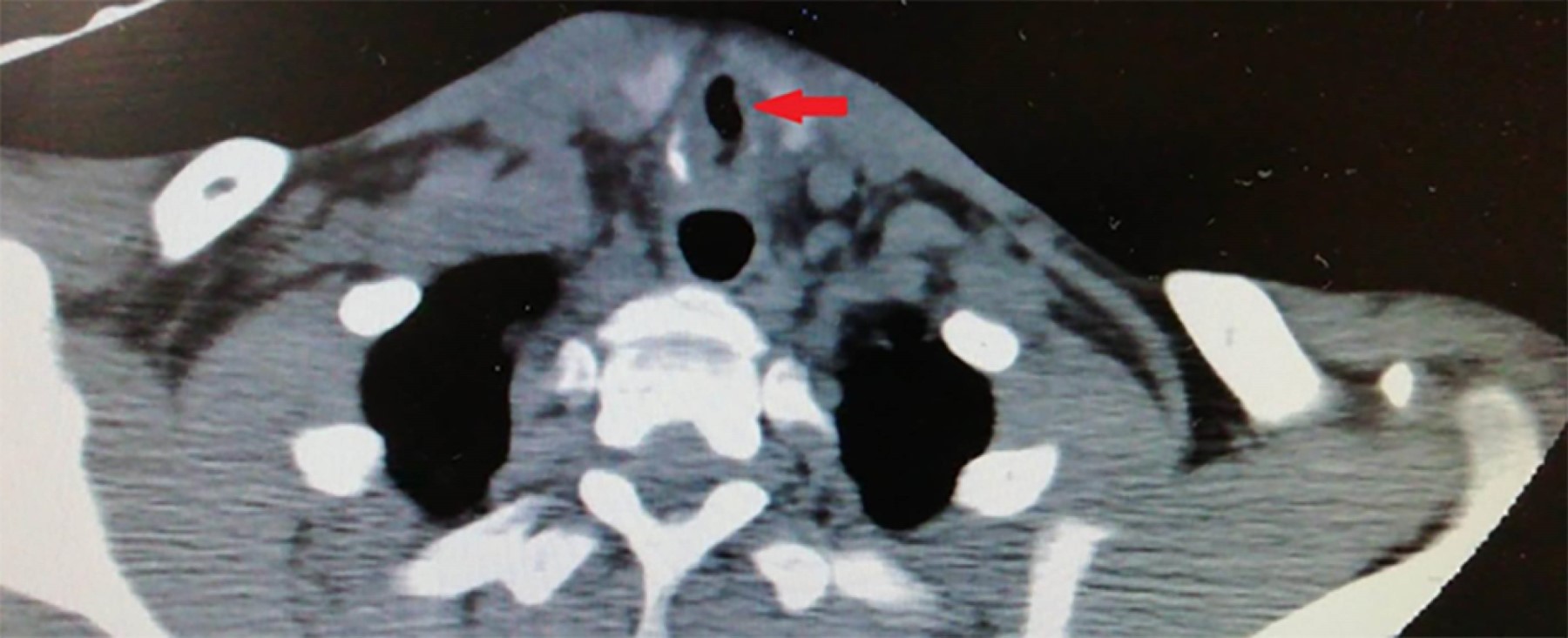
Post-intubation tracheal stenosis in patient with asymptomatic COVID-19

García-Regalado J, Aguirre-Rolón K, Contreras-Serna I
Full text How to cite this article 10.35366/119207

DOI

DOI: 10.35366/119207
URL: https://dx.doi.org/10.35366/119207

Language: Spanish
References: 20
Page: 115-119
PDF size: 379.47 Kb.


Key words:

tracheal stenoses, case reports, COVID-19.

ABSTRACT

Postintubation tracheal stenosis is a known complication of prolonged mechanical ventilation. It is a frequent cause of tracheostomy, resection, or reconstructive surgery of the trachea. Treatment of these patients is difficult, especially if their presentation jeopardizes the permeability of the airway. We present the case of a patient with acute respiratory acidosis due to tracheal stenosis and a concomitant asymptomatic infection of COVID-19. Medical record of 5 days of mechanical ventilation for a traumatic brain injury a month before. A tracheostomy was performed with a good clinical outcome.


REFERENCES

  1. Macewen W. Clinical observations on the introduction of tracheal tubes by the mouth, instead of performing tracheostomy and laryngectomy. Br Med J. 1880;2:163-165. doi: 10.1136/bjm.2.1022.163.

  2. Grillo HC, Donahue DM, Mathisen DJ, Wain JC, Wright CD. Postintubation tracheal stenosis. Treatment and results. J Thorac Cardiovasc Surg 1995;109:486-492.

  3. Ulusan A, Sanli M, Isik AF, Celik IA, Tuncozgur B, Elbeyli L, et al. Surgical treatment of postintubation tracheal stenosis: a retrospective 22- patient series from a single center. Asian J Surg. 2018;41:356-362.

  4. Ahn HY, Su Cho J, Kim YD, IH. Surgical outcomes of post- intubational or post tracheostomy tracheal stenosis: Report of 18 cases in single institution. Ann Thorac Cardiovasc Surg. 2015;21:14-17.

  5. Ezemba N, Echieh CP, Chime EN, Okorie CO, Okonna FG, Idoko FL, et al. Postintubation tracheal stenosis: Surgical management. Niger J Clin Pract. 2019;22:134-137.

  6. Farzanegan R, Feizabadi M, Ghorbani F, Movassaghi M, Vaziri E, Zangi M, et al. An overview of tracheal stenosis research trends and hot topics. Arch Iran Med. 2017;20:598-607.

  7. Ayten O, Iscanli IGE, Canoglu K, Ozdemir C, Saylan B, Caliskan T, et al. Tracheal stenosis after prolonged intubation due to COVID-19. J Cardiothorac Vasc Anesth. 2022;36:2948-2953.

  8. Ershadi R, Rafieian S, Sarbazzadeh J, Vahedi M. Tracheal stenosis following mild-to-moderate COVID-19 infection without history of tracheal intubation: a case report. Gen Thorac Cardiovasc Surg. 2022;70:303-307.

  9. Hashemzadeh S, Hashemzadeh K, Kakaei F, Aligholipour R, Ghabili K. Surgical treatment of postintubation tracheal stenosis: Iranian experience of effect of previous tracheostomy. Int J Gen Med. 2012;5:93-98.

  10. Wain JC Jr. Postintubation tracheal stenosis. Semin Thorac Cardiovasc Surg. 2009;21:284-289.

  11. Tintinago LF, Victoria W, Escobar Stein J, Gonzales LF, Fernandez MI, Candelo E. Laryngotracheal stenoses post-acute respiratory distress syndrome due to COVID-19: clinical presentation, histopathological findings and management. A series of 12 cases. Indian J Otolaryngol Head Neck Surg. 2022;74:3262-3267. doi: 10.1007/s12070-022-03076-3.

  12. Bradley BT, Maioli H, Johnston R, Chaudhry I, Fink SL, Xu H, et al. Histopathology and ultrastructural findings of fatal COVID-19 infections in Washington state: a case series. Lancet. 2020;396:320-332. doi: 10.1016/S0140- 6736(20)31305-2.

  13. Davis RJ, Hillel AT. Inflammatory pathways in the pathogenesis of iatrogenic laryngotracheal stenosis: what do we know? Transl Cancer Res. 2020;9:2108-2116. doi: 10.21037/tcr.2020.01.21.

  14. Stratakos G, Anagnostopoulos N, Alsaggaf R, Koukaki E, Bakiri K, Emmanouil P, et al. COVID-19 patients presenting with post-intubation upper airway complications: a parallel epidemic? J Clin Med. 2022;11:1719. doi: 10.3390/jcm11061719.

  15. Roncati L, Bergonzini G, Lusenti B, Nasillo V, Paolini A, Zanelli G, et al. High density of IgG4-secreting plasma cells in the fibrotic tissue from a surgically resected tracheal ring impaired by complex subglottic stenosis post-tracheostomy as immune expression of a Th2 response due to severe COVID-19. Ann Hematol. 2021;100:2659-2660. doi: 10.1007/s00277-020-04231-y.

  16. Fiacchini G, Trico D, Ribechini A, Forfori F, Brogi E, Lucchi M, et al. Evaluation of the Incidence and Potential Mechanisms of Tracheal Complications in Patients With COVID-19. JAMA Otolaryngol Head Neck Surg. 2021;147:70-76. doi: 10.1001/jamaoto.2020.4148.

  17. Piazza C, Filauro M, Dikkers FG, Nouraei SAR, Sandu K, Sittel C, et al. Long-term intubation and high rate of tracheostomy in COVID-19 patients might determine an unprecedented increase of airway stenoses: a call to action from the European Laryngological Society. Eur Arch Otorhinolaryngol. 2021;278:1-7. doi: 10.1007/s00405-020-06112-6.

  18. de Miguel Negro M, González Tallada A, de Nadal M, Biarnes Suñé A, Manrique Muñoz S, Campins Martí M, et al. Prevalencia preoperatoria de portadores asintomáticos de COVID-19 en hospitales de Cataluña durante la primera ola tras el reinicio de la actividad quirúrgica. Cir Esp. 2021;100:352-358. doi: 10.1016/j.ciresp.2021.01.014.

  19. American Thoracic Society; Infectious Diseases Society of America. Guidelines for the management of adults with hospital-acquired, ventilator-associated, and healthcare-associated pneumonia. Am J Respir Crit Care Med. 2005;171:388-416. doi: 10.1164/rccm.200405-644ST.

  20. Khan MU, Khokar R, Qureshi S, Al Zahrani T, Aqil M, Shiraz M. Measurement of endotracheal tube cuff pressure: Instrumental versus conventional method. Saudi J Anaesth. 2016;10:428-431.




Figure 1
Figure 2
Figure 3

2020     |     www.medigraphic.com

Mi perfil

C?MO CITAR (Vancouver)

Rev Mex Anest. 2025;48