medigraphic.com
SPANISH

Revista Mexicana de Anestesiología

ISSN 3061-8142 (Electronic)
ISSN 0484-7903 (Print)
  • Contents
  • View Archive
  • Information
    • General Information        
    • Directory
  • Publish
    • Instructions for authors        
  • medigraphic.com
    • Home
    • Journals index            
    • Register / Login
  • Mi perfil

2025, Number 2

<< Back Next >>

Rev Mex Anest 2025; 48 (2)

Successful prehospital airway management in a patient with severe tracheal stenosis using a supraglottic device

Perez-Ajami, Daniel1; Viscasillas-Navarro, Elisa2; Arrando-Barbera, Hugo3; Diaz-Such, Elena2; Ruiz-de Assin, Andres4; Perez-Ajami, Rasha5
Full text How to cite this article 10.35366/119209

DOI

DOI: 10.35366/119209
URL: https://dx.doi.org/10.35366/119209

Language: English
References: 5
Page: 126-128
PDF size: 345.37 Kb.


Key words:

tracheal stenosis, prehospital intubation, laryngeal mask airway, difficult airway, tracheal tumor.

ABSTRACT

This case report presents airway management in a prehospital setting for a 47-year-old male patient with previously undiagnosed tracheal stenosis due to a tracheal tumor. Emergency intubation following traumatic brain injury from a fall down the stairs was deemed impossible, necessitating alternative airway devices. We discuss in detail the failure of conventional endotracheal intubation attempts and the subsequent successful use of a second-generation laryngeal mask airway (LMA). Additionally, we provide a comprehensive discussion on the importance and advantages of supraglottic devices in emergency situations, emphasizing their application in patients with tracheal stenosis and similar conditions.



INTRODUCTION

Tracheal stenosis presents a significant challenge in emergency airway management, particularly in cases where the condition is unrecognized prior to intervention. The critical situation of securing an airway in emergency patients, coupled with the potential complications of failed endotracheal intubation, necessitates a comprehensive understanding of alternative airway management techniques. Laryngeal mask airways (LMAs) have emerged as a valuable tool in these situations, offering a viable alternative when traditional intubation methods are unsuccessful.

The case report discusses the management of a patient with undiagnosed tracheal stenosis who required urgent airway intervention following a traumatic brain injury. The successful use of a second-generation LMA highlights its role in ensuring adequate ventilation in scenarios where endotracheal intubation is not feasible. The implications of this case underscore the importance of being prepared with alternative airway devices and techniques, especially in the prehospital setting, where immediate access to other advanced tools is limited.



CASE REPORT

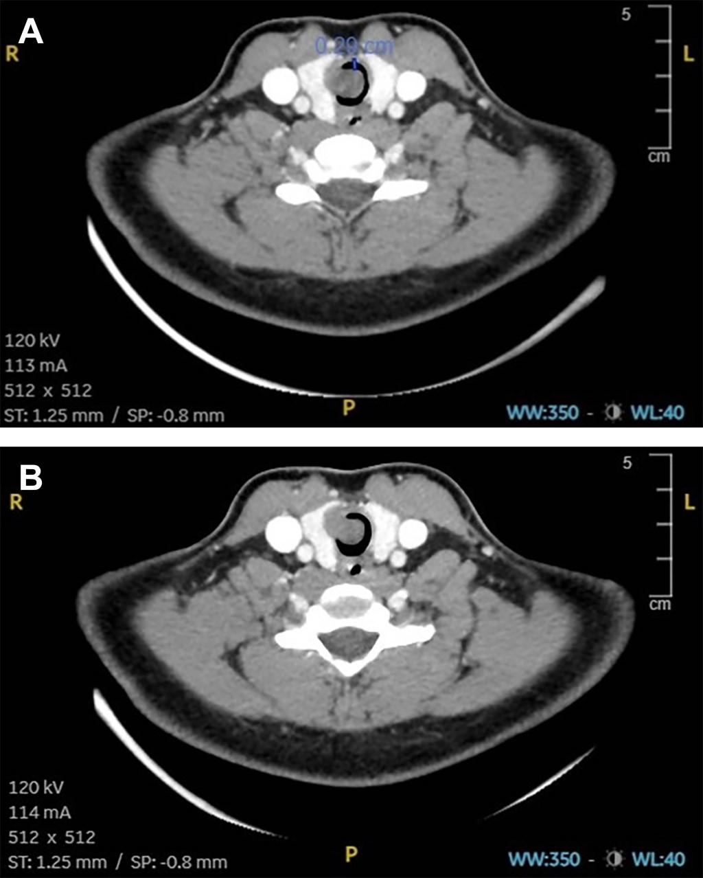
A 47-year-old male patient, with no significant medical history, aside from smoking 10 cigarettes daily, was found by prehospital emergency medical services on the stairs of his apartment after an unwitnessed fall. He exhibited signs of traumatic brain injury with an open wound on his forehead and obtundation, with a Glasgow Coma Scale score of 7 on collection. To secure the airway, rapid sequence induction orotracheal intubation was performed due to the patient's unknown fasting status. Two attempts were made using endotracheal tubes of different sizes (7.5 mm internal diameter and 6.5 mm internal diameter) without success, even despite a Cormack-Lehane grade IIa view. Despite multiple maneuvers and adjustments, the tubes could not advance beyond the glottis due to narrowing of the airway secondary to previously unrecognized tracheal stenosis due to a tracheal tumor (Figure 1).

Given the impossibility of achieving a secure airway via endotracheal intubation, an alternative approach was pursued by inserting a second-generation laryngeal mask airway (LMA). A size 4 LMA was selected, and its insertion was successful on the first attempt. The correct position of the mask was confirmed by lung auscultation and capnography, achieving adequate patient ventilation.

Subsequently, the patient was transferred to the intensive care unit at Hospital La Fe for comprehensive management of his condition, including evaluation and treatment of the cause of his underlying tracheal stenosis.



DISCUSSION

The importance of this case lies in several aspects. Firstly, it highlights the necessity of considering the possibility of tracheal stenosis in situations where advancing the endotracheal tube past the glottis is not feasible. Secondly, the resolution of this critical situation using a laryngeal mask airway (LMA) underscores the importance of having access to and experience with alternative devices to be prepared for unforeseen circumstances.

Tracheal stenosis is a medical condition that can pose significant challenges in airway management during emergency situations. In the presented case, preexisting tracheal stenosis complicated and rendered conventional endotracheal intubation impossible, underscoring the importance of having access to alternative options to ensure a safe and effective airway(1).

Second-generation laryngeal mask airways have proven to be a tremendously valuable option in airway management during emergency situations, especially in prehospital settings and in patients with difficult anatomy(2). Their anatomical design, simplicity, and high success rate in insertion and ventilation with a very rapid learning curve make them a useful tool for providing adequate ventilation in cases where endotracheal intubation is difficult or impossible(1,3). In particular, second-generation laryngeal mask airways have shown more effective sealing and a lower incidence of complications, such as gastric content aspiration, compared to first-generation devices(2).

Another study by Bosch et al. specifically examined the use of laryngeal masks in patients with difficult airways in prehospital settings. The results showed that laryngeal masks were effective in airway management in this group of patients, with high rates of successful insertion and adequate ventilation. Moreover, their use was associated with significantly higher rates of success on the first insertion compared to endotracheal intubation(4,5). Additionally, a lower incidence of complications, such as airway trauma and hypoxemia, was observed with the use of laryngeal masks compared to tracheal intubation. Their benefits may be attributed to its significantly shorter learning curve compared to direct laryngoscopy, and the ease of insertion is even more remarkable in such challenging and stressful environments.

In conclusion, this case highlights the importance of considering the use of second-generation laryngeal mask airways as a viable tool in airway management during emergency situations, especially in patients with tracheal stenosis or other anatomical conditions that make conventional endotracheal intubation difficult. Training in the use of these devices and their availability in clinical and prehospital settings may be crucial for improving outcomes in the management of critically ill patients.


REFERENCES

  1. Frerk C, Mitchell VS, McNarry AF, Mendonca C, Bhagrath R, Patel A, et al. Difficult Airway Society 2015 guidelines for management of unanticipated difficult intubation in adults. Br J Anaesth. 2015;115:827-848.

  2. Cook TM, Kelly FE. Time to abandon the "vintage" laryngeal mask airway and adopt second-generation supraglottic airway devices as first choice. Br J Anaesth. 2015;115:497-499.

  3. Russo SG, Nickel EA, Leissner KB, Spelten O. Prehospital airway management with the i-gel® in trauma patients with a predicted difficult airway: a prospective, observational, cohort study. Emerg Med J. 2016;33:573-577.

  4. Bosch J, de Nooij J, de Visser M, Cannegieter SC, Terpstra NJ, Heringhaus C, et al. Prehospital use in emergency patients of a laryngeal mask airway by ambulance paramedics is a safe and effective alternative for endotracheal intubation. Emerg Med J. 2014;31:750-753. doi:10.1136/emermed-2012-202283

  5. Combes X, Jabre P, Margenet A, Merle JC, Leroux B, Dru M, et al. Unanticipated difficult airway management in the prehospital emergency setting: prospective validation of an algorithm. Anesthesiology. 2011;114:105-110. doi: 10.1097/ALN.0b013e318201c42e.



AFFILIATIONS

1 Anesthesiology and critical care in Hospital La Fe. Valencia, Spain. ORCID: 0000-0003-0136-0246

2 MD, Anesthesiology and critical care in Hospital La Ribera. Alzira, Spain.

3 MD, Intensive care in Hospital La Fe. Valencia, Spain.

4 MD, Endocrinologist in Hospital General. Albacete, Spain.

5 MD, Pediatric neumologist in Hospital Miguel Servet. Zaragoza, Spain.



CORRESPONDENCE

Daniel Perez-Ajami. E-mail: daniajami1995@gmail.com


Figure 1

2020     |     www.medigraphic.com

Mi perfil

C?MO CITAR (Vancouver)

Rev Mex Anest. 2025;48