medigraphic.com
SPANISH

Revista Mexicana de Trasplantes

ISSN 3122-3893 (Electronic)
  • Contents
  • View Archive
  • Information
    • General Information        
    • Directory
  • Publish
    • Instructions for authors        
    • Send manuscript
  • Policies
  • medigraphic.com
    • Home
    • Journals index            
    • Register / Login
  • Mi perfil

2024, Number 4

<< Back Next >>

Rev Mex Traspl 2024; 13 (4)

Arterial anastomosis rupture as an early complication secondary to invasive infection of the kidney graft by Candida albicans

Mondragón-Salgado C, Carrillo-Vidales J, González-García I, Martínez-Cabrera C, Vilatobá M, Laparra-Escareño H, Santos-Chávez E, Navarro-Iñiguez J, Barragán-Galindo L, Morales-Guillén M, García-Sánchez C, Morales-Buenrostro L, Uribe-Uribe N, Burbano-Rodríguez S, Jiménez-Hernández M, Rivera-Salazar M, Cruz-Martínez R
Full text How to cite this article 10.35366/119297

DOI

DOI: 10.35366/119297
URL: https://dx.doi.org/10.35366/119297

Language: Spanish
References: 7
Page: 178-183
PDF size: 467.01 Kb.


Key words:

anastomotic rupture, kidney graft loss, Candida albicans, invasive fungal infection, fungal pseudoaneurysms.

ABSTRACT

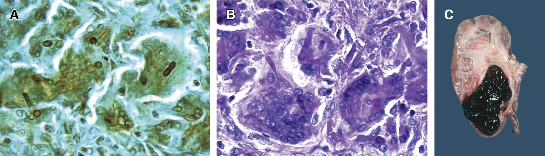
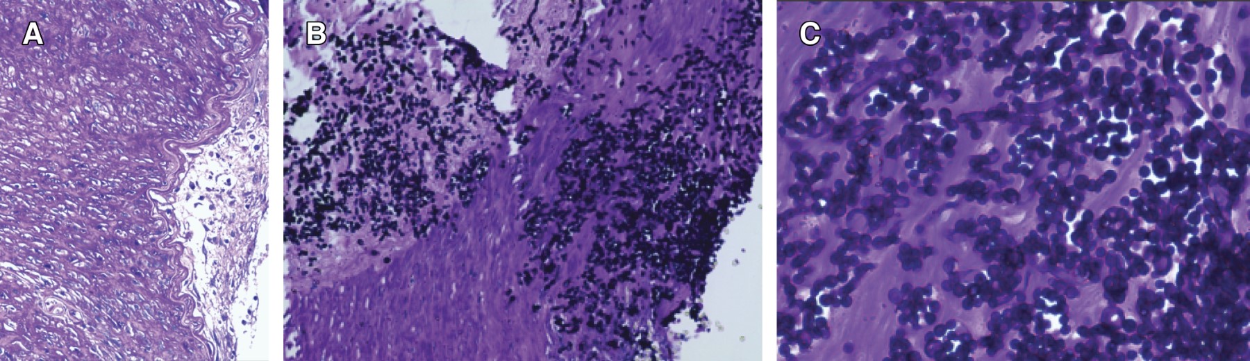
Introduction: graft function and survival in postransplant recipients are compromised in cases of invasive Candida sp. infection due to abrupt presentation and nonspecific symptoms. Approximately 1.3% of recipients will develop invasive fungal infection, 49% secondary to Candida albicans, followed by C. glabrata and parapsilosis. It is transmitted from donor to recipient in 0.001% of cases, only 65.4% receive antifungal treatment in the presence of positive perfusion fluid cultures. The incidence of invasive candidiasis is 0.001%, independent risk factors for C. albicans infection have not yet been identified. There are few reported cases of persistent infection and failure of vascular reconstruction after graft nephrectomy. Case report: 24-year-old female patient, diagnosed with lupus nephropathy, received a cadaveric donor kidney transplant without complications. Pre-transplant urine culture was positive for C. albicans, interpreted as contamination. The donor (21 years old, KDRI 0.66/KDPI 13%) presented pyelocaliceal dilatation due to probable ureteral stenosis, repaired during bank surgery. At 14 days he suddenly presented hypovolemic shock, the surgical exploration reported complete dehiscence of the arterial anastomosis with extension to the renal hilum. Graft nephrectomy and vascular reconstruction of the external iliac artery with PTFE patch was performed. The pathology of the graft reported hydronephrosis and acute/chronic granulomatous pyelonephritis associated with filamentous fungus, suggestive of Candida sp. Nine days later she presented sudden hypovolemic shock and cardio-respiratory arrest, open vascular exploration was performed, reporting PTFE patch dehiscence, external iliac artery resection was performed and distal vascular reconstruction with PTFE femoro-femoral bridge (banded, 10 mm), confirming Candida albicans invasion by histopathology and cultures. He started anidulafungin, was adjusted to Fluconazole, completing six weeks of treatment. Two months of follow-up without recurrence. Discussion: invasive infection by Candida sp. frequently presents unfavorable outcomes with any type of treatment in terms of graft and patient survival. Few cases require additional interventions due to persistence of the infection. Trans-surgical macroscopic assessment does not correlate with the degree of infection, so it is difficult to determine the extent of resection. Even with the risk of contamination of the synthetic vascular material, adequate short-term success rates have been reported. Conclusion: aggressive surgical treatment could improve patient survival outcomes. Performing native vessel resection and distal revascularization initially could be a valid option in selected cases. We should not underestimate the impact of positive pretransplant cultures, even in the absence of symptoms. It is recommended to send native tissue samples to rule out residual candidiasis. Close follow-up is required when using synthetic materials for vascular reconstruction. A consensus has yet to be reached to determine the best management for cases of invasive candidiasis and thus improve outcomes in terms of graft function, due to the high rate of nephrectomies performed.


REFERENCES

  1. Bracale UM, Santangelo M, Carbone F, Del Guercio L, Maurea S, Porcellini M et al. Anastomotic pseudoaneurysm complicating renal transplantation: treatment options. Eur J Vasc Endovasc Surg. 2010; 39 (5): 565-568.

  2. Tan J, Wild A, Reid G, Shantier M. Management of early graft candidiasis in a kidney transplant recipient. BMJ Case Rep. 2022; 15 (11): e250890.

  3. Stern S, Bezinover D, Rath PM, Paul A, Saner FH. Candida contamination in kidney and liver organ preservation solution: does it matter? J Clin Med. 2021; 10 (9): 2022.

  4. Albano L, Bretagne S, Mamzer-Bruneel MF, Kacso I, Desnos-Ollivier M, Guerrini P et al. Evidence that graft-site candidiasis after kidney transplantation is acquired during organ recovery: a multicenter study in France. Clin Infect Dis. 2009; 48 (2): 194-202.

  5. Aslam S, Rotstein C, AST Infectious Disease Community of Practice. Candida infections in solid organ transplantation: guidelines from the American Society of Transplantation Infectious Diseases Community of Practice. Clin Transplant. 2019; 33 (9): e13623.

  6. Gavalda J, Meije Y, Fortún J, Roilides E, Saliba F, Lortholary O et al. Invasive fungal infections in solid organ transplant recipients. Clin Microbiol Infect. 2014; 20 Suppl 7: 27-48.

  7. Pennington KM, Martin MJ, Murad MH, Sanborn D, Saddoughi SA, Gerberi D et al. Risk factors for early fungal disease in solid organ transplant recipients: a systematic review and meta-analysis. Transplantation. 2024; 108 (4): 970-984.




Figure 1
Figure 2
Figure 3

2020     |     www.medigraphic.com

Mi perfil

C?MO CITAR (Vancouver)

Rev Mex Traspl. 2024;13