medigraphic.com
SPANISH

Acta Médica Grupo Ángeles

Órgano Oficial del Hospital Ángeles Health System
  • Contents
  • View Archive
  • Information
    • General Information        
    • Directory
  • Publish
    • Instructions for authors        
    • Manuscript submission
    • Policies
    • Names and affiliations of the Editorial Board
  • About us
    • Data sharing policy
    • Stated aims and scope
  • medigraphic.com
    • Home
    • Journals index            
    • Register / Login
  • Mi perfil

2025, Number 1

<< Back Next >>

Acta Med 2025; 23 (1)

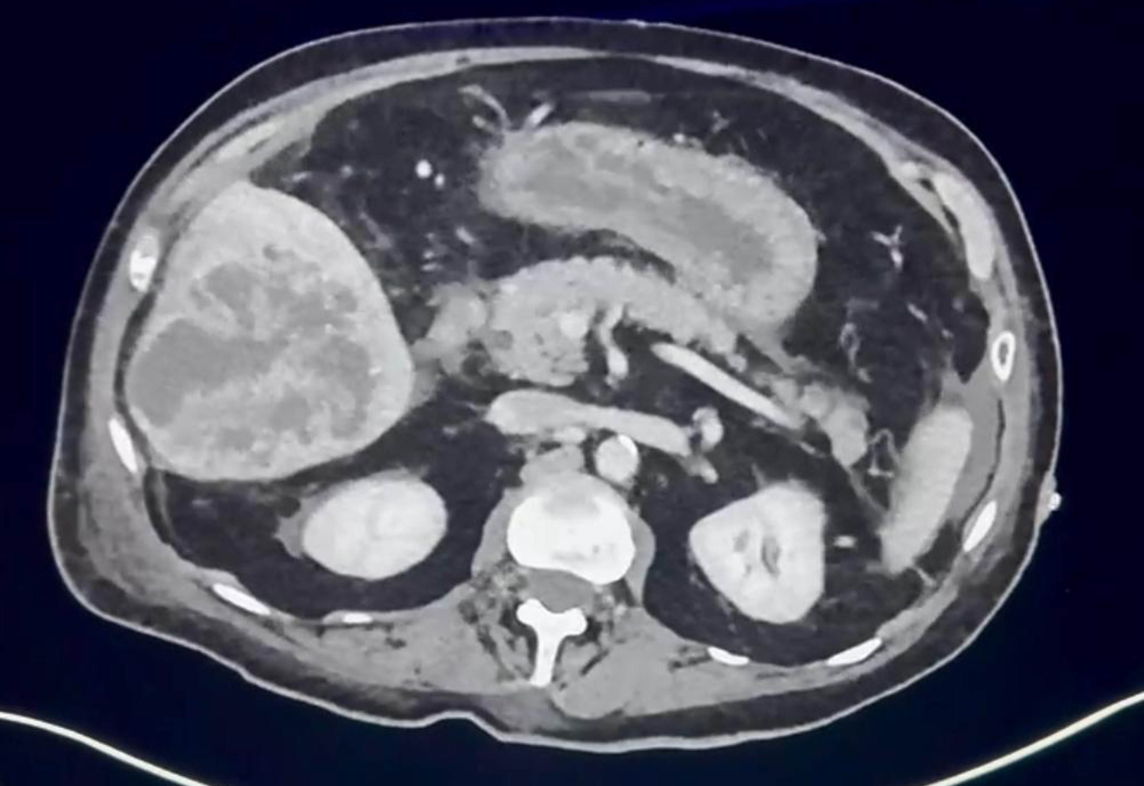
Pyogenic liver abscess caused by hypermucoid Klebsiella pneumoniae

Ceballos VTBG, Gómez GB
Full text How to cite this article 10.35366/119349

DOI

DOI: 10.35366/119349
URL: https://dx.doi.org/10.35366/119349

Language: Spanish
References: 4
Page: 81-83
PDF size: 244.53 Kb.


Key words:

liver abscess, hypermucoid Klebsiella pneumonia, invasive infections.

ABSTRACT

Introduction: pyogenic liver abscess is a collection of pus in the liver caused by invasive bacteria, mainly Klebsiella pneumoniae, including its hypermucoid variant. Case report: an 80-year-old female patient presented with abdominal pain, fever, and general symptoms. The diagnosis was confirmed with imaging tests and laboratory analysis. Treatment included antibiotics and surgical drainage, leading to complete resolution. Conclusion: these abscesses require appropriate management with antibiotics such as cephalosporins or fluoroquinolones and may recur in specific cases. Hypermucoid Klebsiella pneumonia represents a significant epidemiological threat.


REFERENCES

  1. Roediger R, Lisker-Melman M. Pyogenic and amebic infections of the liver. Gastroenterol Clin North Am. 2020; 49 (2): 361-377.

  2. Dey T, Chakrabortty A, Kapoor A, Warrier A, Nag VL, Sivashanmugam K et al. Unusual hypermucoviscous clinical isolate of Klebsiella pneumoniae with No known determinants of hypermucoviscosity. Microbiol Spectr. 2022; 10 (3): e0039322.

  3. Molton JS, Chan M, Kalimuddin S, Oon J, Young BE, Low JG et al. Oral vs intravenous antibiotics for patients with Klebsiella pneumoniae liver abscess: a randomized, controlled noninferiority study. Clin Infect Dis. 2020; 71 (4): 952-959.

  4. Hagiya H, Watanabe N, Maki M, Murase T, Otsuka F. Clinical utility of string test as a screening method for hypermucoviscosity-phenotype Klebsiella pneumoniae. Acute Med Surg. 2014; 1 (4): 245-246.




Figure 1
Figure 2
Table 1

2020     |     www.medigraphic.com

Mi perfil

C?MO CITAR (Vancouver)

Acta Med. 2025;23