medigraphic.com
SPANISH

Cirugía Plástica

ISSN 2992-8559 (Electronic)
ISSN 1405-0625 (Print)
  • Contents
  • View Archive
  • Information
    • General Information        
    • Directory
  • Publish
    • Instructions for authors        
    • Send manuscript
  • Policies
    • Políticas éticas
    • Políticas de acceso abierto
    • Políticas de revisión de manuscritos
    • Políticas editoriales generales
  • medigraphic.com
    • Home
    • Journals index            
    • Register / Login
  • Mi perfil

2024, Number 4

<< Back Next >>

Cir Plast 2024; 34 (4)

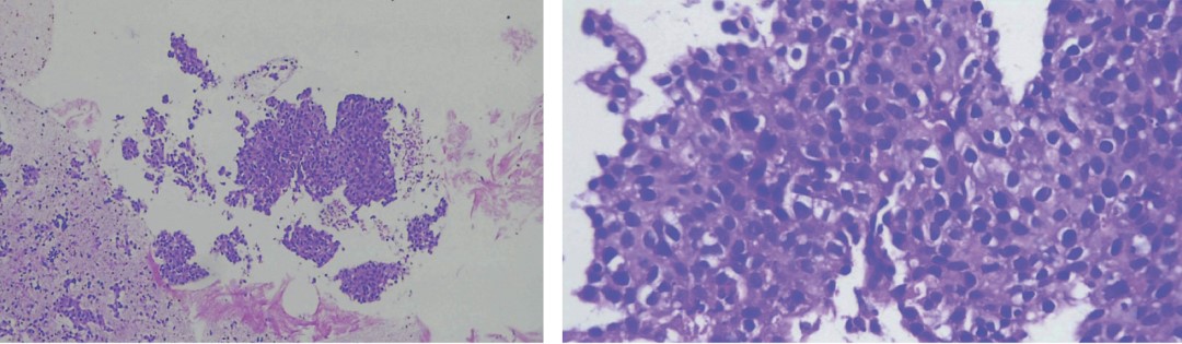
Vulvar reconstruction with pedicled and pudendal anterolateral thigh flap, secondary to mammary-type vulvar adenocarcinoma associated with Paget's disease

De PML, Beyuma-Mora HE, Morales-González JC
Full text How to cite this article 10.35366/119429

DOI

DOI: 10.35366/119429
URL: https://dx.doi.org/10.35366/119429

Language: Spanish
References: 12
Page: 153-157
PDF size: 2540.79 Kb.


Key words:

Paget´s vulva, breast-type adenocarcinoma, pedicled anterolateral thigh flap, Singapore flap, pudendal flap.

ABSTRACT

Vulvar Paget's disease is the most common extramammary form and represents 1-2% of vaginal neoplasms. It is included within the primary adenocarcinomas of the vulva, which are rare malignant neoplasms, together with carcinomas of sweat glands and vulvar mammary-like glands. The treatment is multidisciplinary; and, in advanced cases, a surgical resection with wide margins is necessary. Reconstruction of the vulvar area is complex, due to its anatomical location and the available reconstructive resources, especially in extensive lesions, presenting a challenge for the reconstructive surgeon. We describe the case of a 51-year-old patient, who after the diagnosis of mammary-type adenocarcinoma associated with an extensive vulvar "extramammary Paget's" tumor, not a candidate for conservative management, underwent wide resection of the neoplasia, associated with bilateral inguinal lymph node dissection. A vulvoperineal reconstruction was necessary, combined with an anterolateral pedicled thigh flap, associated with a double pudendal flap (Singapore). The postoperative results at one and six months, demonstrate complete integration of the flaps, with adequate aesthetic and functional results.


REFERENCES

  1. Caruso G, Barcellini A, Mazzeo R, Gallo R, Vitale MG, Passarelli A et al. Vulvar Paget's disease: a systematic review of the MITO rare cancer group. Cancers (Basel) 2023; 15 (6): 1803.

  2. Abbott JJ, Ahmed I. Adenocarcinoma of mammary-like glands of the vulva: report of a case and review of the literature. Am J Dermatopathol [Internet] 2006; 28 (2): 127-133.

  3. Delport ES. Extramammary Paget's disease of the vulva: an annotated review of the current literature. Australas J Dermatol 2013; 54: 9-21.

  4. Edey KA, Allan E, Murdoch JB, Cooper S, Bryant A. Interventions for the treatment of Paget's disease of the vulva. Cochrane Database Syst Rev 2019; 6 (6): CD009245.

  5. Song YG, Chen GZ, Song YL. The free thigh flap: a new free flap concept based on the septocutaneous artery. Br J Plast Surg 1984; 37 (2): 149-159.

  6. Mardini S, Tsai FC, Wei FC. The thigh as a model for free style free flaps. Clin Plast Surg 2003; 30 (3): 473-480.

  7. Schoeller T, Huemer GM, Shafighi M et al. Free anteromedial thigh flap: clinical application and review of literature. Microsurgery 2004; 24 (1): 43-48.

  8. Xu DC, Zhong SZ, Kong JM et al. Applied anatomy of the anterolateral femoral flap. Plast Reconstr Surg 1988; 82 (2): 305-310.

  9. Gravvanis AI, Tsoutsos DA, Karakitsos D et al. Application of the pedicled anterolateral thigh flap to defects from the pelvis to the knee. Microsurgery 2006; 26 (6): 432-438.

  10. Hallock GG. The proximal pedicled anterolateral thigh flap for lower limb coverage. Ann Plast Surg 2005; 55 (5): 466-469.

  11. Tham NLY, Pan WR, Rozen WM, Carey MP, Taylor GI, Corlett RJ et al. The pudendal thigh flap for vaginal reconstruction: optimizing flap survival. J Plast Reconstr Aesthet Surg 2010; 63 (5): 826-831.

  12. Wee JT, Joseph VT. A new technique of vaginal reconstruction using neurovascular pudendal-thigh flaps: a preliminary report. Plast Reconstr Surg 1989; 83 (4): 701-709.




Figure 1
Figure 2
Figure 3
Figure 4
Figure 5

2020     |     www.medigraphic.com

Mi perfil

C?MO CITAR (Vancouver)

Cir Plast. 2024;34