medigraphic.com
SPANISH

Cirugía de Columna

ISSN 2992-7749 (Electronic)
ISSN 2992-7897 (Print)
Órgano Oficial de difusión científica de la Asociación Mexicana de Cirujanos de Columna A. C. y de la Sociedad Iberolatinoamericana de Columna. SILACO.

Indizada en:

Scielo
  • Contents
  • View Archive
  • Information
    • General Information        
    • Directory
  • Publish
    • Instructions for authors        
    • Send manuscript
  • Políticas
    • Políticas éticas
    • Políticas de acceso abierto
    • Políticas de revisión de manuscritos
    • Políticas editoriales generales
  • medigraphic.com
    • Home
    • Journals index            
    • Register / Login
  • Mi perfil

2025, Number 2

<< Back Next >>

Cir Columna 2025; 3 (2)

Calcification of the ligament flavum causing stenosis and lumbar radiculopathy: case report and literature review

Chávez LJA, Hernández BJL, Chávez CRD
Full text How to cite this article 10.35366/119622

DOI

DOI: 10.35366/119622
URL: https://dx.doi.org/10.35366/119622

Language: Spanish
References: 20
Page: 121-125
PDF size: 261.01 Kb.


Key words:

radiculopathy, calcification, ligament flavum, cauda equina syndrome, bladder dysfunction.

ABSTRACT

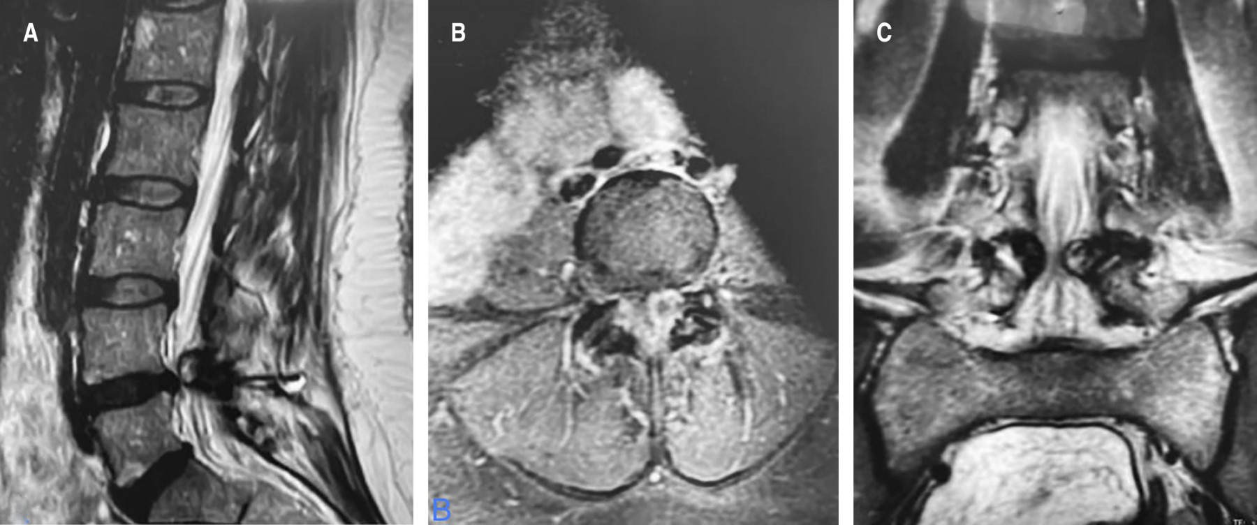
Calcification of the ligamentum flavum is a rare disease that affects mainly elderly women. This calcification is a rare condition in the lumbar spine, different studies conclude that it is more likely to occur in the lower thoracic spine in the first place and in the cervical spine in the second place. The mechanisms of ligament calcification in the lumbar spine are associated with high mechanical stress in this segment, it has been demonstrated that humoral and genetic factors also play an important role for ligament calcification, this suggests that ligamentum flavum calcification is related to alterations in bone metabolism associated with intrinsic factors such as mechanical factors. There are few cases reported in the literature of radicular presentation associated with calcification of the ligamentum flavum in the lumbar spine. In young patients, it may clinically manifest as lumbar myeloradiculopathy. The cauda equina syndrome resulting from compression of the nerve roots consists of lumbar pain, uni or bilateral radicular pain, sensory disorders and alterations in the sexual and/or sphincteric sphere. The most common cause of this syndrome is an extruded disc herniation; however, any lesion that causes compression of the nerve roots distal to the conus medullaris, whether due to tumors, trauma, calcification or ossification of ligament structures and post-surgical complications will result in cauda equina syndrome. We present the case of a 35-year-old female patient with calcification of the ligamentum flavum in the lumbar spine presenting radiculopathy, alterations in sensibility and urinary incontinence. Magnetic resonance imaging showed compression of the cauda equina at L4-L5 on the left side. Decompressive laminectomy of L4 and L5 with resection of the calcified ligamentum flavum was performed. Histopathological findings showed acellular hyaline changes and dystrophic calcifications of the ligamentum flavum. Alterations in sensation and urinary incontinence improved after surgery. The understanding of the external factors, the pathogenesis and the clinical presentation supported by imaging studies guide us to the diagnosis of this rare condition.


REFERENCES

  1. Ando K, Imagama S, Ito Z, Kobayashi K, Ukai J, Muramoto A, et al. Progressive relapse of ligamentum flavum ossification following decompressive surgery. Asian Spine J. 2014; 8: 835-839. doi: 10.4184/asj.2014.8.6.835.

  2. Yamada T, Torigoe I, Sakai K, Okawa A, Arai Y. Contiguous multilevel thoracic ossification of ligamentum flavum in a young adult spine. Case Rep Orthop. 2019; 2019: 1640485. doi: 10.1155/2019/1640485.

  3. Hirabayashi S. Ossification of the ligamentum flavum. Spine Surg Relat Res. 2017; 1: 158-163. doi: 10.22603/ssrr.1.2016-0031.

  4. Ono K, Yonenobu K, Miyamoto S, Okada K. Pathology of ossification of the posterior longitudinal ligament and ligamentum flavum. Clin Orthop Relat Res. 1999; 359: 18-26. doi: 10.1097/00003086-199902000-00003.

  5. Hirai T, Korogi Y, Takahashi M, Shimomura O. Ossification of the posterior longitudinal ligament and ligamentum flavum: imaging features. Semin Musculoskelet Radiol. 2001; 5: 83-88. doi: 10.1055/s-2001-15657.

  6. Xu Y, Zhang Y, Luo Y, Qiu G, Liu Y, Zhao W, et al. Thoracic ossification of the ligamentum flavum causing Brown-Séquard syndrome: a case report and literature review. J Int Med Res. 2022; 50: 3000605221110069. doi: 10.1177/03000605221110069.

  7. Ren L, Hu H, Sun X, Li F, Zhou JJ, Wang YM. The roles of inflammatory cytokines in the pathogenesis of ossification of ligamentum flavum. Am J Transl Res. 2013; 5: 582-585.

  8. Kagi S, Ciurea A, Micheroli R. Ossification of the ligamentum flavum. Rheumatology (Oxford). 2020; 59: 1616. doi: 10.1093/rheumatology/kez581.

  9. Nishikawa M, Yoshimura M, Naito K, Yamagata T, Goto H, Hara M, et al. The symptomatic calcification and ossification of the ligamentum flavum in the spine: our experience and review of the literature. J Clin Med. 2023; 13: 105. doi: 10.3390/jcm13010105.

  10. Takahashi T, Hanakita J, Minami M. Pathophysiology of calcification and ossification of the ligamentum flavum in the cervical spine. Neurosurg Clin N Am. 2018; 29: 47-54. doi: 10.1016/j.nec.2017.09.016.

  11. Zhao Y, Xiang Q, Jiang S, Wang L, Lin J, Sun C, et al. Prevalence, diagnosis, and impact on clinical outcomes of dural ossification in the thoracic ossification of the ligamentum flavum: a systematic review. Eur Spine J. 2023; 32: 1245-1253. doi: 10.1007/s00586-023-07625-4.

  12. Feng FB, Sun CG, Chen ZQ. Progress on clinical characteristics and identification of location of thoracic ossification of the ligamentum flavum. Orthop Surg. 2015; 7: 87-96. doi: 10.1111/os.12165.

  13. Rahimizadeh A, Asgari N, Soufiani H, Rahimizadeh S. Ossification of the cervical ligamentum flavum and case report with myelopathy. Surg Neurol Int. 2018; 9: 263. doi: 10.4103/sni.sni_308_18.

  14. Muthukumar N. Dural ossification in ossification of the ligamentum flavum: a preliminary report. Spine (Phila Pa 1976). 2009; 34: 2654-2661. doi: 10.1097/BRS.0b013e3181b541c9.

  15. Sun J, Du P, Shen Y. Risk factors for poor outcomes of thoracic ossification of ligamentum flavum after laminectomy. Med Sci Monit. 2022; 28: e935711. doi: 10.12659/MSM.935711.

  16. Kanno H, Takahashi T, Aizawa T, Hashimoto K, Itoi E, Ozawa H. Recurrence of ossification of ligamentum flavum at the same intervertebral level in the thoracic spine: a report of two cases and review of the literature. Eur Spine J. 2017; 27: 359-367. doi: 10.1007/s00586-017-5281-6.

  17. Wang W, Kong L. Ossification of ligamentum. J Neurosurg Spine. 2007; 6: 96. doi: 10.3171/spi.2007.6.1.96.

  18. Nakabachi K, Endo T, Takahata M, Fujita R, Koike Y, Suzuki R, et al. Lumbar ossification of the ligamentum flavum reflects a strong ossification tendency of the entire spinal ligament. Sci Rep. 2023; 13: 638. doi: 10.1038/s41598-023-27650-z.

  19. Fujimoto K, Kanchiku T, Imajo Y, Suzuki H, Yoshida Y, Nishida N, et al. Neurologic findings caused by ossification of ligamentum flavum at the thoracolumbar junction. J Spinal Cord Med. 2015; 40: 316-320. doi: 10.1080/10790268.2015.1118185.

  20. Ahn DK, Lee S, Moon SH, Boo KH, Chang BK, Lee JI. Ossification of the ligamentum flavum. Asian Spine J. 2014; 8: 89-96. doi: 10.4184/asj.2014.8.1.89.




Figure 1
Figure 2
Figure 3

2020     |     www.medigraphic.com

Mi perfil

C?MO CITAR (Vancouver)

Cir Columna. 2025;3