medigraphic.com
SPANISH

Acta Ortopédica Mexicana

ISSN 2992-8036 (Electronic)
ISSN 2306-4102 (Print)
Órgano Oficial del Colegio Mexicano de Ortopedia y Traumatología
  • Contents
  • View Archive
  • Information
    • General Information        
    • Directory
  • Publish
    • Instructions for authors        
  • medigraphic.com
    • Home
    • Journals index            
    • Register / Login
  • Mi perfil

2025, Number 3

<< Back Next >>

Acta Ortop Mex 2025; 39 (3)

Trapezius and hamate body fractures. Case report of a rare association

Graça, NNJ1; Duarte, ML2
Full text How to cite this article 10.35366/119912

DOI

DOI: 10.35366/119912
URL: https://dx.doi.org/10.35366/119912

Language: English
References: 9
Page: 169-172
PDF size: 219.95 Kb.


Key words:

trapezium bone, hamate bone, case report, tomography, X-ray computed.

ABSTRACT

The trapezium is the most radial and mobile bone in the distal row of the carpus, establishing a proximal joint with the scaphoid and a distal one with the first metacarpal. Isolated trapezium fractures are uncommon, accounting for only 1 to 5% of all carpal fractures. Fractures are often associated with other injuries, including the rare hamate body fracture. At initial presentation, diagnosing those fractures can be challenging as clinical findings are often minimal, without obvious deformities. Crushing injuries are frequently associated with trapezium tuberosity fractures while hamate body fractures are commonly caused by direct impacts. We report the case of a 19-year-old man presenting significant pain in his left hand following a motorcycle accident 30 minutes ago. Physical examination shows swelling, local hematoma and inability to move the hand. Radiography shows no detectable fracture lines. CT scan reveals a hamate bone fracture without apparent misalignment and a type I trapezium tuberosity base fracture. He made a conservative treatment with analgesic medication and immobilization with a forearm-palmar immobilization for one month followed by two months of physiotherapy. At the end of the two-month treatment, the patient exhibits normal mobility and pain-free, returning to usual activities.



INTRODUCTION

The trapezium is the most radial and mobile bone in the distal row of the carpus, establishing a proximal joint with the scaphoid and a distal one with the first metacarpal. Isolated trapezium fractures are uncommon, accounting for only 1 to 5% of all carpal fractures; however, they rank as the third most prevalent carpal fracture.1,2

The primary injury mechanisms for thumb carpometacarpal (CMC) joint dislocations and trapezium fractures typically involve indirect axial overload or direct dorsoradial impact. Due to its effective vascularization, the trapezium is notably uncommon as a site of nonunion, unlike scaphoid fractures, which lie proximal to the perforating vessels. Subsequent complications from trapezium fractures may include CM joint stiffness, first CMC joint contracture, nonunion, carpal tunnel syndrome, flexor radial carpi tendinopathy with late rupture, as well as painful loss of pinch strength and mobility.2

Misalignment in intra-articular fractures can lead to post-traumatic osteoarthritis in both the CMC and scaphotrapezial joints. Fractures are often associated with other injuries, including the rare hamate body fracture presented in our case, not documented by any other study to date. Clinical presentation may be subtle, with no obvious deformity, and nearly complete wrist and finger range of motion. A potential indicator of fractures is the presence of pain.3,4,5

This article aims to report a case of the association of trapezium tuberosity and hamate body fractures. We did not find literature describing this fractures association.



CLINICAL CASE

A 19-year-old man presenting significant pain in his left hand following a motorcycle accident 30 minutes ago. He has significant swelling, local hematoma and inability to move the hand. Denies prior surgeries. Palpation reveals pain at the base of the thumb and palm. Left hand radiography shows no detectable fracture lines.

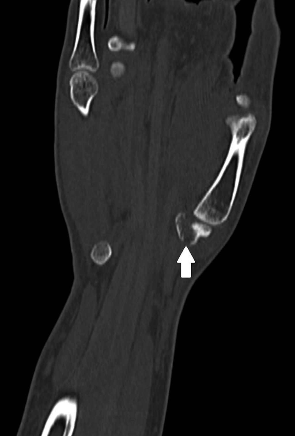
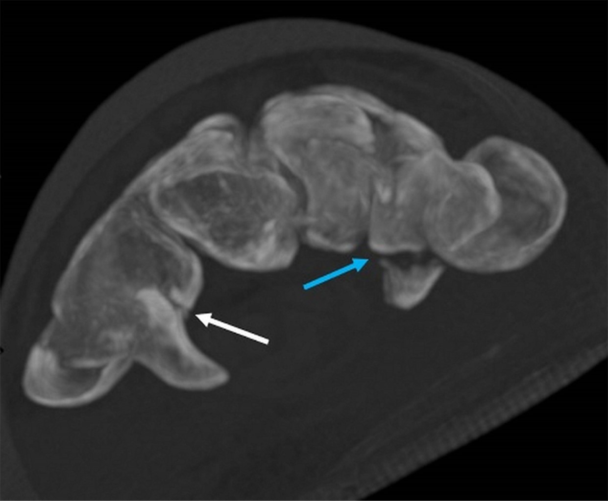
Computed tomography (CT) scan reveals a hamate bone fracture without apparent misalignment (Figure 1) and a type I trapezium tuberosity base fracture (according to Walker's classification) with a 0.2 cm fragment distance, without significant misalignment [ICD 10-S62] (Figures 2 and 3).

The patient received analgesic medication and immobilization with a forearm-palmar immobilization for one month followed by two months of physiotherapy. At the end of the four-month treatment, the patient exhibits normal mobility and pain-free, returning to usual activities. The patient's course is summarized in Figure 4.



DISCUSSION

At initial presentation, diagnosing trapezium fractures can be challenging as clinical findings are often minimal, without obvious deformities. Shadows from adjacent carpal bones can obscure the fracture line on routine wrist radiographs. Additionally, these fractures are prone to being overlooked in the emergency room due to their rarity. However, delayed diagnosis can result in degeneration of the trapeziometacarpal joint. Specific trapezium bone fractures most frequently occur in association with thumb metacarpal fractures or other carpal bones.3,4,5,6

Trapezium tuberosity fractures have been classified into two main types: type 1, located at the tuberosity base where there is direct trauma to the base, as in the described case, and type 2, located at the tuberosity tip where there is avulsion of the carpal transverse ligament from the tip.1,2 Type 2 fractures are reported to have a higher risk of nonunion and may be associated with hamate hook fractures. Both fractures occur with the hand extended.1 Crushing injuries are frequently associated with trapezium tuberosity fractures, while hamate body fractures are commonly caused by direct impacts, such as those from tennis racket handles, golf clubs, and baseball bats.7

Gvozdenovic et al. report a patient involved in a motorcycle accident. Plain radiographs revealed a comminuted trapezium bone fracture while CT confirmed the severity of the fracture and showed a dorsal hamate avulsion fracture. The author describes that injurious forces simultaneously induce dorsal dislocation of all CMC joints and counterclockwise rotation around the first CMC joint, culminating in Rolando's fracture occurrence. The axial transmission of forces, predominantly on the radial side of the hand, is presumably responsible for the trauma. During extension, forces are transferred from the palmar to the dorsal side of the hand, resulting in dorsal displacement of all metacarpals and causing a dorsal hamate avulsion fracture.1,7,8

The described case is notably rare as the patient presents a trapezium tuberosity fracture; a condition sparsely documented in medical literature. The particularity of the case, further distinguishing it, is the simultaneous presence of a hamate body fracture. In medical literature, the most common associations are trapezium body and hamate hook fractures. The case we present stands out as the sole instance evidencing the association between a trapezium tuberosity fracture (type 1) and a hamate body fracture with resolution in two months of conservative treatment. Specific projection radiography is the preferred choice for fracture diagnosis.

An anteroposterior incidence performed with the hand in full pronation allows visualization of the trapezium and the base of the first metacarpal. CT, the gold standard for fractures, and bone scintigraphy are used to assess displacement and fragment size, especially in fractures not evident on plain radiographs. MRI is effective in identifying radiographically occult radiocarpal fractures.7,8

Trapezium fractures can be managed conservatively or surgically. Trapezium tuberosity fractures can be treated with thumb spica cast immobilization for four to six weeks. Type 2 fractures have a smaller avulsion fragment with rupture of the anterior oblique ligament (AOL) and a higher incidence of symptomatic nonunion. For these cases, there is the possibility of early operative excision of symptomatic Type 2 lesions.2,4 When there is a hamate body fracture, surgical intervention is necessary for significant, unstable displacement or fractures compromising carpometacarpal joints. The surgical goal is to restore a stable joint, with special attention to the 4th and 5th carpometacarpal joints. Closed reduction and percutaneous Kirschner wire fixation can be effective for selected hamate body fractures with minimal comminution or to maintain alignment of unstable hamatometacarpal joints.9 As a limitation of our study, MRI was not performed since the diagnosis was already made by CT.



CONCLUSION

The presented clinical case is highly unusual, as the patient has a trapezium tuberosity and hamate body fracture. This is noteworthy as there are no similar records in medical literature. Unlike what is typically observed, this situation challenges conventional ideas about fractures in this specific area, highlighting the uniqueness of the case.


REFERENCES

  1. Gibney B, Murphy MC, Ahern DP, Hynes D, MacMahon PJ. Trapezium fracture: a common clinical mimic of scaphoid fracture. Emerg Radiol. 2019; 26(5): 531-40.

  2. Beekhuizen SR, Quispel CR, Jasper J, Deijkers RLM. The uncommon trapezium fracture: a case series. J Wrist Surg. 2020; 9(1): 63-70. doi: 10.1055/s-0039-1683846.

  3. Panigrahi R, Biswal MR, Palo N, Panigrahi N. Isolated coronal fracture of trapezium - A case report with review of literature. J Orthop Case Rep. 2015; 5(3): 29-31. doi: 10.13107/jocr.2250-0685.300.

  4. Suresh S. Isolated coronal split fracture of the trapezium. Indian J Orthop. 2012; 46(1): 99-101. doi: 10.4103/0019-5413.91643.

  5. Arabzadeh A, Vosoughi F. Isolated comminuted trapezium fracture: a case report and literature review. Int J Surg Case Rep. 2021; 78: 363-68. doi: 10.1016/j.ijscr.2020.12.072.

  6. Samson D, Jones M, Mahon A. Non-union of the trapezium: rare consequence of a rare injury. J Surg Case Rep. 2018; 2018 (4): rjy076. doi: 10.1093/jscr/rjy076.

  7. Jensen BV, Christensen C. An unusual combination of simultaneous fracture of the tuberosity of the trapezium and the hook of the hamate. J Hand Surg Am. 1990; 15(2): 285-7. doi: 10.1016/0363-5023(90)90110-d.

  8. Gvozdenovic R, Soelberg Vadstrup L. Total carpometacarpal joint dislocation combined with trapezium fracture, trapezoid dislocation and hamate fracture. Chir Main. 2015; 34(5): 264-8. doi: 10.1016/j.main.2015.06.003.

  9. Price MB, Vanorny D, Mitchell S, Wu C. Hamate body fractures: a comprehensive review of the literature. Curr Rev Musculoskelet Med. 2021; 14(6): 475-84. doi: 10.1007/s12178-021-09731-6.



AFFILIATIONS

1 Universidade do Oeste Paulista Campus Guarujá, Guarujá, Sao Paulo, Brazil.

2 Universidade de Ribeirao Preto Campus Guarujá, Guarujá, Sao Paulo, Brazil.



Patient´s consent: \"A full and detailed consent from the patient/guardian has been taken. The patient\'s identity has been adequately anonymized. If anything related to the patient\'s identity is shown, adequate consent has been taken from the patient/relative/guardian. The journal will not be responsible for any medico-legal issues arising out of issues related to patient\'s identity or any other issues arising from the public display of the video\".

Conflicts of interest: authors declare no conflict of interest regarding the present study.

Ethical statement: full consent was obtained from the patient for the case report publication.

All authors were essential in the realization of this article. All had an important role in patient care, the research, and the writing of this article.



CORRESPONDENCE

Natã Nascimento de Jesus Graça. E-mail: natannascimento1601@gmail.com




Received: 07-10-2024. Accepted: 08-29-2024.

Figure 1
Figure 2
Figure 3
Figure 4

2020     |     www.medigraphic.com

Mi perfil

C?MO CITAR (Vancouver)

Acta Ortop Mex. 2025 May-Jun;39