medigraphic.com
SPANISH

Acta Médica Grupo Ángeles

Órgano Oficial del Hospital Ángeles Health System
  • Contents
  • View Archive
  • Information
    • General Information        
    • Directory
  • Publish
    • Instructions for authors        
    • Manuscript submission
    • Policies
    • Names and affiliations of the Editorial Board
  • About us
    • Data sharing policy
    • Stated aims and scope
  • medigraphic.com
    • Home
    • Journals index            
    • Register / Login
  • Mi perfil

2025, Number 3

<< Back Next >>

Acta Med 2025; 23 (3)

Evaluation by mammography and ultrasound of breast implants and their complications

Rodríguez OCV, González VC
Full text How to cite this article 10.35366/119949

DOI

DOI: 10.35366/119949
URL: https://dx.doi.org/10.35366/119949

Language: Spanish
References: 15
Page: 238-244
PDF size: 685.27 Kb.


Key words:

breast implants, intracapsular rupture, extracapsular rupture, fibrous capsule, placement time.

ABSTRACT

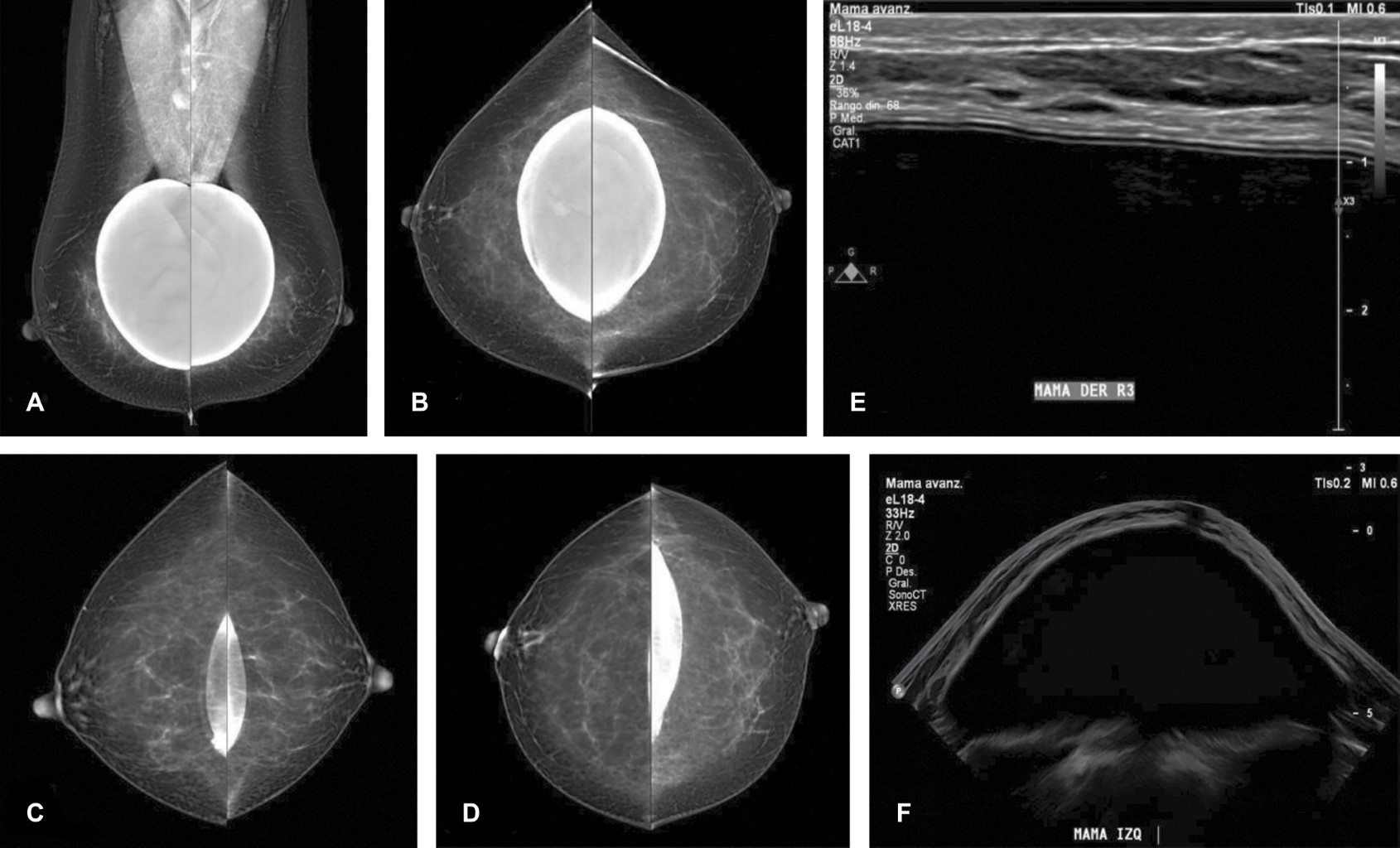
Introduction: due to the increase in breast surgeries for aesthetic purposes and device development, radiological evaluation of breast implants constitutes an important part of daily activity for an imaging specialist. Objectives: describe the radiological findings of breast implants, pathologies, and cartographic assessment of the fibrous capsule, creating a scale that defines the main findings. Material and methods: a retrospective study was carried out to evaluate patients with aesthetic breast implants who underwent bilateral mammography and breast ultrasound, studying the age, placement, most common pathology, and mammographic description of the fibrous capsule by grade. Results: a total of 140 patients with an average age of 51.16 years were analyzed; the plane of placement of the prosthesis was sub glandular in 64.3%. The primary pathology associated with the implants was intracapsular rupture in 5.7% of the total sample, which had an average placement time of 14.7 years. The main finding in the fibrous capsule was capsular thickening. Conclusion: the evaluation of breast implants should be carried out with conventional diagnostic methods, and the prevalence of pathology is low. The fibrous capsule's evolution degrees can be assessed by mammography and associated with the average implant placement time.


REFERENCES

  1. Perry D, Frame JD. The history and development of breast implants. Ann R Coll Surg Engl. 2020; 102 (7): 478-482. doi: 10.1308/rcsann.2020.0003.

  2. Santanelli--di Pompeo F, Paolini G, Firmani G, Sorotos M. History of breast implants: back to the future. JPRAS Open. 2022; 32: 166-177. doi: 10.1016/j.jpra.2022.02.004.

  3. Kaoutzanis C, Winocour J, Unger J, Gabriel A, Maxwell GP. The evolution of breast implants. Semin Plast Surg. 2019; 33 (4): 217-223. doi: 10.1055/s-0039-1696985.

  4. Guridi GR, Arriagada SJ. Cirugía de aumento mamario. Rev médica Clín Las Condes. 2010; 21 (1): 107-112. doi: 10.1016/s0716-8640(10)70512-5.

  5. International Society of Aesthetic Plastic Surgery. International Survey on Aesthetic/Cosmetic procedures. 2021. Recuperado de https://www.isaps.org/media/vdpdanke/isaps-global-survey_2021.pdf

  6. Park J, Ko EY, Han BK, Ko ES, Choi JS, Kim H. Appropriate screening mammography method for patients with breast implants. Sci Rep. 2023; 13 (1): 1811. doi: 10.1038/s41598-023-28399-1.

  7. Secretaría de Salud. 2002. Manual control de calidad en mastografía. Recuperado de https://www.gob.mx/salud/documentos/manual-control-de-calidad-en-mastografia

  8. Rukanskien? D, Bytautait? G, Cesnauskait? A, Pilipaityt? L, Astrauskas T, Jonaitien? E. The value of ultrasound in the evaluation of the integrity of silicone breast implants. Medicina (Kaunas). 2021; 57 (5): 440. doi: 10.3390/medicina57050440.

  9. Aldoury RS. 2022. Breast implant imaging by ultrasound and MRI (Magnetic Resonance imaging). Internat J Res Engin Innovation 2022; 6 (2): 117-131. DOI:10.36037/IJREI.2022.6205

  10. Juanpere S, Perez E, Huc O, Motos N, Pont J, Pedraza S. Imaging of breast implants-a pictorial review. Insights Imaging. 2011; 2 (6): 653-670. doi: 10.1007/s13244-011-0122-3.

  11. Bayston R. Capsule formation around breast implants. JPRAS Open. 2021; 31: 123-128. doi: 10.1016/j.jpra.2021.11.004.

  12. Swezey E, Shikhman R, Moufarrege R. Breast Implant Rupture. 2023. In: StatPearls. Treasure Island (FL): StatPearls Publishing; 2024.

  13. Schmitt W, Coelho JM, Lopes J, Marques JC. The role of Radiology in detecting prosthetic breast implant-related complications. Acta Radiológica Portuguesa. 2018; 30 (1): 23-34.

  14. Noreña-Rengifo BD, Sanín-Ramírez MP, Adrada BE, Luengas AB, Martínez de Vega V, Guirguis MS et al. MRI for evaluation of complications of breast augmentation. Radiographics. 2022; 42 (4): 929-946. doi: 10.1148/rg.210096.

  15. Tamayo CAM, Manrique TAF, Guardo VCA, Cuastumal FDK. Caracterización de las pacientes con contractura capsular operadas de mastoplastia de aumento con implante. Rev Acta Médica. 2020; 21 (3): 1-20.




Figure 1
Figure 2
Figure 3
Table 1
Table 2

2020     |     www.medigraphic.com

Mi perfil

C?MO CITAR (Vancouver)

Acta Med. 2025;23