medigraphic.com
SPANISH

Acta Médica Grupo Ángeles

Órgano Oficial del Hospital Ángeles Health System
  • Contents
  • View Archive
  • Information
    • General Information        
    • Directory
  • Publish
    • Instructions for authors        
    • Manuscript submission
    • Policies
    • Names and affiliations of the Editorial Board
  • About us
    • Data sharing policy
    • Stated aims and scope
  • medigraphic.com
    • Home
    • Journals index            
    • Register / Login
  • Mi perfil

2025, Number 3

<< Back Next >>

Acta Med 2025; 23 (3)

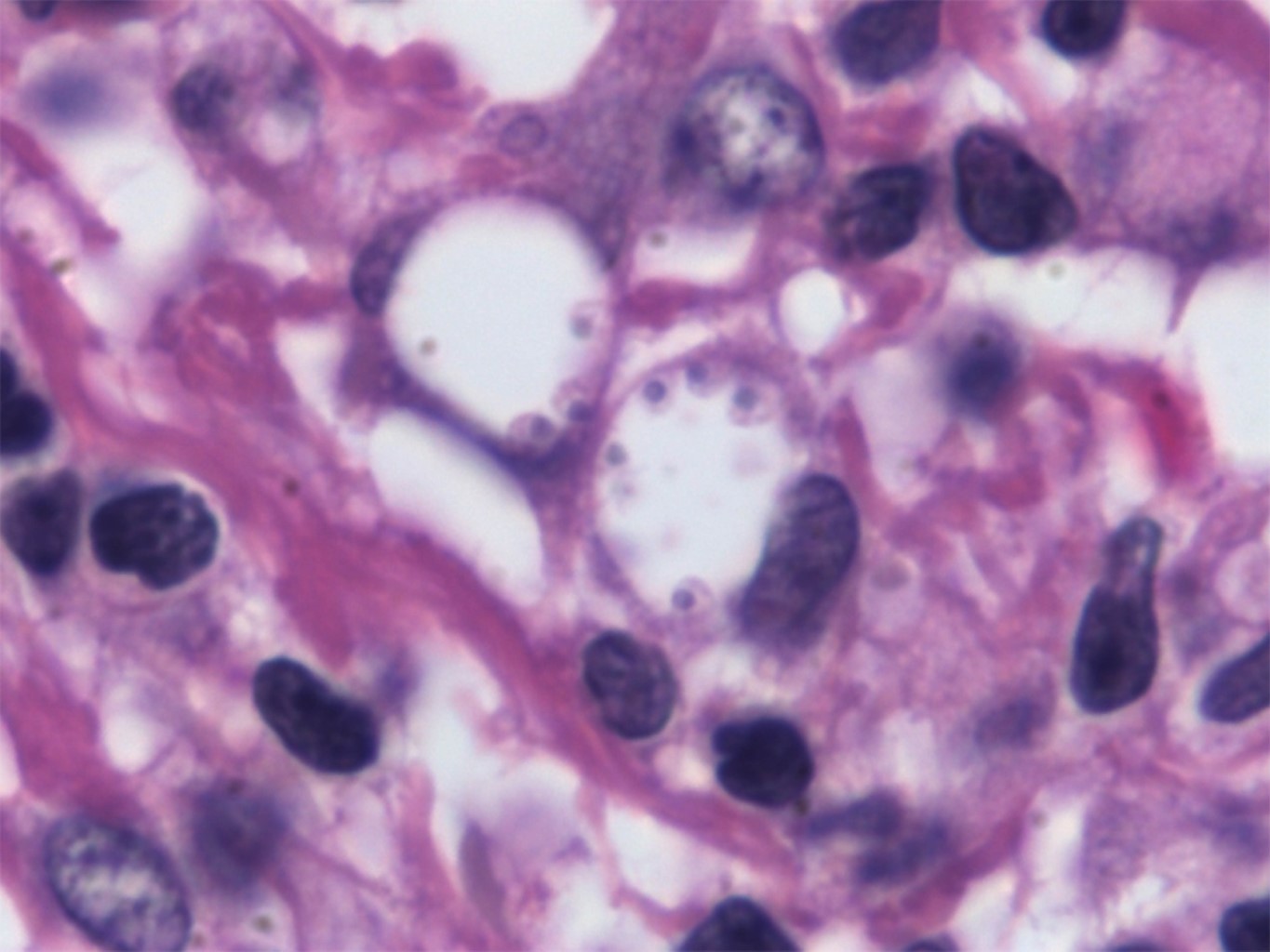
Cutaneous localized leishmaniasis: a case report

Ceballos VTBG, Garfias AP
Full text How to cite this article 10.35366/119961

DOI

DOI: 10.35366/119961
URL: https://dx.doi.org/10.35366/119961

Language: Spanish
References: 6
Page: 289-291
PDF size: 207.24 Kb.


Key words:

leishmaniasis, endemic, vector.

ABSTRACT

Introduction: leishmaniasis, a tropical disease caused by Leishmania parasites, is transmitted by Lutzomyia and Phlebotomus vectors. In Mexico, it affects skin, mucous membranes and organs, especially in Quintana Roo, Tabasco, Campeche and Yucatan. Case report: 62-year-old man with a history of residence in Campeche, Tabasco and Veracruz, living in Puerto Morelos, Quintana Roo. He developed a dermal lesion on the left arm after being bitten, which later evolved into a painless ulcer with multiple lesions. Confirmed diagnosis of cutaneous leishmaniasis. Intralesional treatment with meglumine antimoniate was effective. Conclusion: cutaneous leishmaniasis is endemic in Mexico and its variability makes diagnosis difficult. Early detection is crucial given its impact on public health.


REFERENCES

  1. Vera-Izaguirre DS, Vega-Memije E, Quintanilla-Cedillo MR, Arenas R. Leishmaniasis. A review. Dermatología Cosmética, Médica Y Quirúrgica. 2006; 4 (4): 252-260.

  2. Arenas GR. Capítulo 90: Leishmaniasis. 2023 Dermatología. Atlas, diagnóstico y tratamiento, 8e. McGraw Hill. Disponible en: https://accessmedicina.mhmedical.com/content.aspx?bookid=3430§ionid=284754387

  3. Secretaría de Salud. (2022). Anuarios de Morbilidad 1984 a 2022. Gob.mx. Disponible en: https://www.gob.mx/salud/acciones-y-programas/anuarios-de-morbilidad-1984-a-2022

  4. Leishmaniasis, Cutaneous | CDC Yellow Book 2024. (2024). Cdc.gov; CDC.gov. Available in: https://wwwnc.cdc.gov/travel/yellowbook/2024/infections-diseases/leishmaniasis-cutaneous

  5. De Vries HJC, Schallig HD. Cutaneous leishmaniasis: a 2022 updated narrative review into diagnosis and management developments. Am J Clin Dermatol. 2022; 23 (6): 823-840.

  6. Madusanka RK, Silva H, Karunaweera ND. Treatment of cutaneous leishmaniasis and insights into species-specific responses: a narrative review. Infect Dis Ther. 2022; 11 (2): 695-711.




Figure 1
Figure 2
Figure 3

2020     |     www.medigraphic.com

Mi perfil

C?MO CITAR (Vancouver)

Acta Med. 2025;23