medigraphic.com
SPANISH

Revista ADM Órgano Oficial de la Asociación Dental Mexicana

ISSN 0001-0944 (Print)
Órgano Oficial de la Asociación Dental Mexicana
  • Contents
  • View Archive
  • Information
    • General Information        
    • Directory
  • Publish
    • Instructions for authors        
    • Send manuscript
  • medigraphic.com
    • Home
    • Journals index            
    • Register / Login
  • Mi perfil

2025, Number 3

<< Back Next >>

Rev ADM 2025; 82 (3)

Calcifying odontogenic cyst (COC/Gorlin´s cyst): a case report and review of the literature.

Carrasco RCA, Vinitzky BI, Nicolás BP, Aldape BBC
Full text How to cite this article 10.35366/120441

DOI

DOI: 10.35366/120441
URL: https://dx.doi.org/10.35366/120441

Language: Spanish
References: 14
Page: 171-175
PDF size: 2549.19 Kb.


Key words:

calcifying odontogenic cyst, ghost cells, enucleation.

ABSTRACT

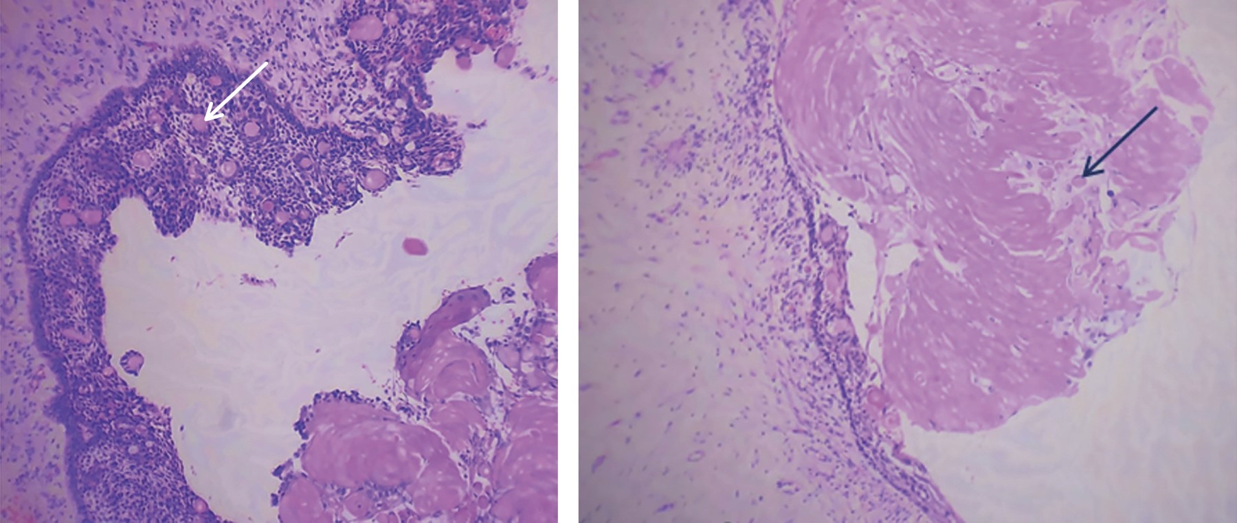
The calcifying odontogenic cyst is defined as a cystic lesion of benign origin originating from epithelial remains during odontogenesis, it presents as an asymptomatic and slow growthing lesion, which affects the anterior region of the mandible and the maxilla, it is frequent in young adults of the third to the fourth decade, without predilection for gender. It is rare, constituting only 0.37% to 2.1% of all odontogenic cysts and tumors. 65% occur in the incisor region of both jaws and approximately 20% are associated with an odontoma. Histologically, its generally composed of a cystic cavity with a fibrous capsule lined with odontogenic epithelium. The typical microscopic feature of this lesion is the presence, in varying numbers, of aberrant anucleated epithelial cells, called "ghost cells". The treatment is enucleation. We present the case of a 20-year-old male with a diagnosis of Gorlin's cyst in the left maxillary sinus and surgical treatment that consisted of enucleation of the lesion


REFERENCES

  1. Rosende RO, Rosales CA, Pavón Zarza PN, Krupp S. Quiste odontogénico epitelial calcificante en adolescente. reporte de caso clínico. Rev Fac Odontol UNNE. 2020; 13 (2): 39.

  2. Martínez López M J, Cruz Jimenez T. Tumores odontógenos. [Internet] Diciembre 2006 [citado Febrero 2010].

  3. Menditti D, D'Amato S, Laino L, Mezzogiorno A, Menditti VS, Guglielmotti M et al. Quiste odontogénico calcificante de la cavidad oral: un caso clínico y actualizaciones actuales sobre la etiopatogenia. Abra J Stomatol. 2020; 10 (09): 250-257. León VA.

  4. Villacís AL, Mora RD, Herrera OM. Quiste odontogénico calcificante de amplia dimensión: Reporte de caso con 8 meses de acompañamiento. Odontología. 2019; 21 (1): 69-79.

  5. Utumi ER, Pedron IG, da Silva LPN, Machado GG, Rocha AC. Different manifestations of calcifying cystic odontogenic tumor. Einstein (Sao Paulo). 2012; 10 (3): 366-370.

  6. Villarroel CP, Fariña SR, Espinoza SI. Quiste de Gorlin asociado a Odontoma: reporte de un caso con su tratamiento quirúrgico. Rev Esp Cir Oral Maxilofac. 2005; 27 (6): 360-367.

  7. Cruz LJE, Miranda VJE, Medécigo CD, Valera ICE, Rodríguez RD. Quiste odontogénico calcificante asociado a odontoma compuesto. Reporte de caso clínico y revisión de la literatura. Rev Mex Cir Bucal Maxilofac. 2021; 17 (1): 34-38.

  8. Gallana AS, Mayorga JF, Torres GFJ, Avellá VFJ, Salazar FC. Quiste odontogénico calcificante asociado con odontoma complejo: Presentación de un caso y revisión bibliográfica. Med Oral Patol Oral Cir Bucal (Ed.impr.) 2005; 10 (3): 243-246.

  9. Trejo BM, Bello LC. Quiste odontogénico calcificante (quiste de Gorlin). Reporte de un caso y su seguimiento. Revisión de la literatura. Rev ADM. 1999; 56 (2): 83-87.

  10. Lopes DS, Alves PM, Vasconcelos OGQ, Matos PG, Nunes dos Santos J, Sampaio QC. Tumor odontogenico cístico calcificante associado a odontoma. Revista Cubana de Estomatología. 2014; 51 (1): 121-129.

  11. Sonawane K, Singaraju M, Gupta I, Singaraju S. Histopathologic diversity of Gorlin's cyst: a study of four cases and review of literature. J Contemp Dent Pract. 2011; 12 (5): 392-397.

  12. Gadipelly, S., Reddy, VB, Sudheer, M., Kumar, NV y Harsha, G., Quiste odontogénico calcificante bilateral: una entidad rara. Revista de cirugía oral y maxilofacial 2015, 14 (3), 826–831.

  13. Reyes CJA, Liceaga ECJ. Tumor odontogénico quístico calcificante (Quiste odontogénico calcificante). Reporte clínico patológico de dos casos. Rev Odont Mex. 2009; 13 (2): 109-114.

  14. Lagarde X, Sturque J, Fenelon M, Marteau JM, Fricain JC, Catros S. Quiste odontogénico calcificante: informe de dos casos clínicos. J Oral Med Oral Surg. 2019; 25 (4): 36.




Figure 1
Figure 2
Figure 3
Figure 4
Table 1
Table 2
Table 3

2020     |     www.medigraphic.com

Mi perfil

C?MO CITAR (Vancouver)

Rev ADM. 2025;82