medigraphic.com
SPANISH

Acta Médica Grupo Ángeles

Órgano Oficial del Hospital Ángeles Health System
  • Contents
  • View Archive
  • Information
    • General Information        
    • Directory
  • Publish
    • Instructions for authors        
    • Manuscript submission
    • Policies
    • Names and affiliations of the Editorial Board
  • About us
    • Data sharing policy
    • Stated aims and scope
  • medigraphic.com
    • Home
    • Journals index            
    • Register / Login
  • Mi perfil

2025, Number 4

<< Back Next >>

Acta Med 2025; 23 (4)

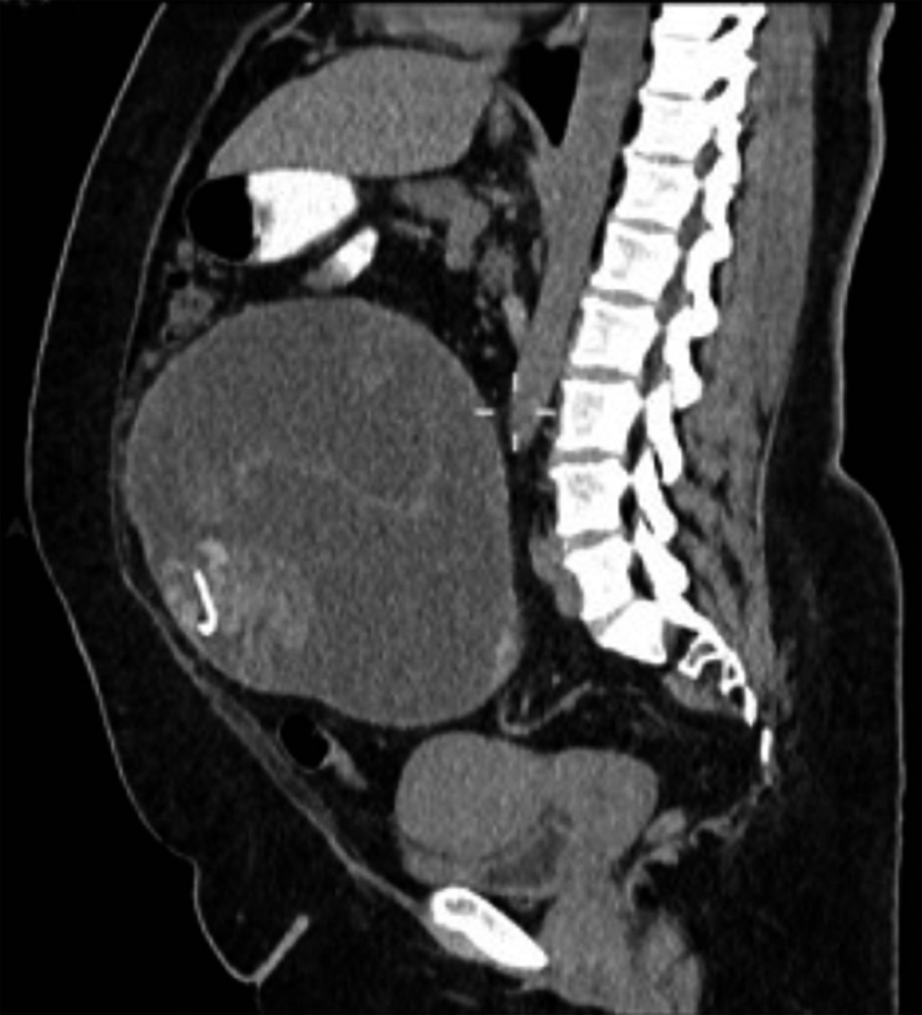
Intraabdominal textiloma: frequent entity but not documented of retained surgical material

Contreras AA, Urióstegui FR
Full text How to cite this article 10.35366/120520

DOI

DOI: 10.35366/120520
URL: https://dx.doi.org/10.35366/120520

Language: Spanish
References: 6
Page: 401-403
PDF size: 204.05 Kb.


Key words:

textiloma, laparotomy, gauze, compresses, retention.

ABSTRACT

It is estimated that retained surgical materials occur in 1:5,500 surgeries, with 50% diagnosed when the patient is discharged. Gauze pads are the most common cause of surgical retention (48-69%), and counting them is essential to prevent this problem. Although only 77% of counts are performed correctly, preventive protocols such as using surgical material impregnated with a radiopaque tracer and X-rays can minimize the damage. It is important to report and document these cases to improve the quality of medical care and reduce the risk of errors in future surgeries.


REFERENCES

  1. Gawande AA, Studdert DM, Orav EJ, Brennan TA, Zinner MJ. Risk factors for retained instruments and sponges after surgery. N Engl J Med. 2003; 348 (3): 229-235. doi: 10.1056/NEJMsa021721.

  2. Cima RR, Kollengode A, Garnatz J, Storsveen A, Weisbrod C, Deschamps C. Incidence and characteristics of potential and actual retained foreign object events in surgical patients. J Am Coll Surg. 2008; 207 (1): 80-87. doi: 10.1016/j.jamcollsurg.2007.12.047.

  3. Gibbs VC. Retained surgical items and minimally invasive surgery. World J Surg. 2011; 35 (7): 1532-1539. doi: 10.1007/s00268-011-1060-4.

  4. Moffatt-Bruce SD, Cook CH, Steinberg SM, Stawicki SP. Risk factors for retained surgical items: a meta-analysis and proposed risk stratification system. J Surg Res. 2014; 190 (2): 429-436. doi: 10.1016/j.jss.2014.05.044.

  5. De Gea Rico A, Krishna P, Devlin HL, Rohatgi A. Gossypiboma: a ghastly find. BMJ Case Rep. 2018; 2018: bcr2017221537. doi: 10.1136/bcr-2017-221537.

  6. Secretaría de Salud. Lista de verificación de la seguridad de la cirugía. Disponible en: https://www.gob.mx/cms/uploads/attachment/file/29526/seguridadPaciente_02.pdf




Figure 1
Figure 2
Figure 3

2020     |     www.medigraphic.com

Mi perfil

C?MO CITAR (Vancouver)

Acta Med. 2025;23