medigraphic.com
SPANISH

Revista del Centro Dermatológico Pascua

ISSN 1405-1710 (Print)
  • Contents
  • View Archive
  • Information
    • General Information        
    • Directory
  • Publish
    • Instructions for authors        
  • medigraphic.com
    • Home
    • Journals index            
    • Register / Login
  • Mi perfil

2024, Number 3

Next >>

Rev Cent Dermatol Pascua 2024; 33 (3)

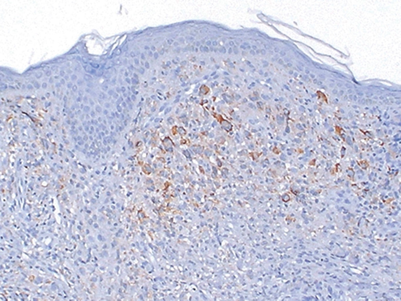
Benign cephalic histiocytosis: report of 8 cases in the dermatological center ''Dr. Ladislao de la Pascua''

Morales-Barrera ME, Franco-Guzmán AM, Navarrete-Franco G, González-González M, Jurado-Santa CF
Full text How to cite this article 10.35366/120949

DOI

DOI: 10.35366/120949
URL: https://dx.doi.org/10.35366/120949

Language: Spanish
References: 19
Page: 73-78
PDF size: 265.69 Kb.


Key words:

histiocytosis, cephalic benign histiocytosis, non-Langerhans cell histiocytosis.

ABSTRACT

Benign cephalic histiocytosis es a rare disease that come from non-Langerhans cells. It presents papular neoformations that affect head, neck and trunk; showing itself in early ages. Generally, it has a benign curse and presents a spontaneous remission. We present eight cases of benign cephalic histiocytosis.


REFERENCES

  1. Paller AS, Mancini AJ. Hurwitz dermatología pediátrica. Madrid: Marbán; 2014.

  2. Gelmetti C. Cutaneous Langerhans cell histiocytosis. In: Goldsmith LA, Katz SI, Gilchrest BA, Paller AS, Leffel DJ, Wolff K. Fitzpatrick's dermatology in general medicine. 8th ed. New York: McGraw-Hill Medical; 2012. pp. 1414-1424.

  3. Loayza E, Loayza M, Garcés JC, Uraga E. Histiocitosis cefálica benigna: reporte de un caso y su ubicación dentro de las histiocitosis. Dermatol Pediatr Lat. 2005; 3: 53-57.

  4. Favara BE, Feller AC, Pauli M, Jaffe ES, Weiss LM, Arico M et al. Contemporary classification of histiocytic disorders. The WHO committee on histiocytic/reticulum cell proliferations. Reclassification Working Group of the Histiocyte Society. Med Pediatr Oncol. 1997; 29: 157-166.

  5. Emile JF, Abla O, Fraitag S, Horne A, Haroche J, Donadieu J et al. Revised classification of histiocytoses and neoplasms of the macrophage-dendritic cell lineages. Blood. 2016; 127: 2672-2681.

  6. Gómez LV, Restrepo R, Buchely N. Histiocitosis, una visión práctica para el dermatólogo. Rev Asoc Colomb Dermatol. 2016; 24: 186-203.

  7. Weitzman S, Jaffe R. Uncommon histiocytic disorders: the non-Langerhans cell histiocytoses. Pediatr Blood Cancer. 2005; 45: 256-264.

  8. Gianotti F, Caputo R, Ermacora E, Gianni E. Benign cephalic histiocytosis. Arch Dermatol. 1986; 122: 1038-1043.

  9. Daye M, Dogan S, Mevlitoglu I, Toy H. Benign cephalic histiocytosis. Indian J Dermatol Venereol Leprol. 2013; 79: 713-714.

  10. Mallo S, Folgueras-Sánchez V, Santos-Juanes J. Asymptomatic facial papules. Actas Dermosifiliogr. 2009; 100: 149-150.

  11. Polat Ekinci A, Buyukbabani N, Baykal C. Novel clinical observations on benign cephalic histiocytosis in a large series. Pediatr Dermatol. 2017; 34: 392-397.

  12. Samson JF, Libu GK, Philip M, Simi PS. Benign cephalic histiocytosis. Indian Dermatol Online J. 2013; 4: 300-301.

  13. Cuesta L, Betlloch I. Pápulas amarillentas en la cara en un niño. Diagnóstico y comentario. Piel. 2010; 25: 589-593.

  14. Jih DM, Salcedo SL, Jaworsky C. Benign cephalic histiocytosis: A case report and review. J Am Acad Dermatol. 2002; 47: 908-913.

  15. Weston WL, Travers SH, Mierau GW, Heasley D, Fitzpatrick J. Benign cephalic histiocytosis with diabetes insipidus. Pediatr Dermatol. 2000; 17: 296-298.

  16. Saez-De-Ocariz M, Lopez-Corella E, Duran-McKinster C, Orozco-Covarrubias L, Ruiz-Maldonado R. Benign cephalic histiocytosis preceding the development of insulin-dependent diabetes mellitus. Pediatr Dermatol. 2006; 23: 101-102.

  17. Mut J, Trillo C, Medina A. Histiocitosis cefálica benigna: descripción de un caso. Dermatología CMQ. 2012; 10: 279-281.

  18. Goodman WT, Barret TL. Histiocytoses. In: Bolognia J, Lorizzo JL, Schaffer JV. Dermatology: [ExpertConsult]. 3rd ed. Edinburgh: Elsevier, Saunders; 2012. pp. 1529-1546.

  19. Tomaszewski MM, Lupton GP. Unusual expression of S-100 protein in histiocytic neoplasms. J Cutan Patho. 1998; 25: 129-135.




Figure 1
Figure 2
Table 1
Table 2
Table 3

2020     |     www.medigraphic.com

Mi perfil

C?MO CITAR (Vancouver)

Rev Cent Dermatol Pascua. 2024;33