medigraphic.com
SPANISH

Acta Ortopédica Mexicana

ISSN 2992-8036 (Electronic)
ISSN 2306-4102 (Print)
Órgano Oficial del Colegio Mexicano de Ortopedia y Traumatología
  • Contents
  • View Archive
  • Information
    • General Information        
    • Directory
  • Publish
    • Instructions for authors        
  • medigraphic.com
    • Home
    • Journals index            
    • Register / Login
  • Mi perfil

2025, Number 6

<< Back Next >>

Acta Ortop Mex 2025; 39 (6)

Bilateral atypical femoral fractures caused by long-term use of bisphosphonate treatment in postmenopausal osteoporosis

Jasqui-Remba, S1,2; Grobeisen-Levin, S3; Jasqui-Romano, S4; Rodríguez-Rejón, G1
Full text How to cite this article 10.35366/121820

DOI

DOI: 10.35366/121820
URL: https://dx.doi.org/10.35366/121820

Language: Portugu?s
References: 15
Page: 401-404
PDF size: 1234.05 Kb.


Key words:

osteoporosis, bisphosphonates, atypical femoral fracture, osteoporotic fracture, intramedullary nailing.

ABSTRACT

This paper presents two cases of bilateral atypical femoral fractures in postmenopausal women who underwent prolonged bisphosphonate therapy for osteoporosis. Both patients, aged 83 and 76, experienced fractures after long-term bisphosphonate treatment, highlighting concerns about suppressed bone turnover. Each case was treated with intramedullary nailing, and bisphosphonates were discontinued in favor of alternative therapies. These cases underscore the risks of atypical femoral fractures linked to extended bisphosphonate use, emphasizing the need for careful patient monitoring and further research to optimize osteoporosis treatment strategies and prevent such complications.



INTRODUCTION

Osteoporosis has been defined as low bone mass that slowly affects the healthy architecture of the bone, increasing its fragility and making it more susceptible to fragility fractures.1

For the assessment of bone quality, Bone Mineral Density (BMD) has been the most valuable tool; according to the World Health Organization (WHO), osteoporosis is diagnosed with a BMD score that is 2.5 standard deviations (SD) or more below compared to the average score for healthy women. Another diagnostic criterion is the presence of fragility fractures without other diseases predisposing to bone fragility.2,3

One of the most common treatments for osteoporosis is bisphosphonates (BISPHs), derivatives of inorganic pyrophosphate which inhibit bone resorption by targeting osteoclasts, leading to increased bone mineral accretion and reduced bone turnover.4,5 However, concerns have arisen regarding the remodeling processes, essential for bone growth, as they may cause bone deformity or disrupt the normal mineralization process.6 These mechanisms impair the healing of naturally occurring bone microcracks and elevate the risk of fractures.7

In the literature, there is a strong correlation between BISPHs treatment duration and Atypical Femoral Fractures. The incidence in the first year of alendronate use is 2 per 100,000 patients per year of treatment, increasing to 25 per 100,000 patients per year after 3-5 years of treatment and to 130 per 100,000 patient-years with more than eight years of treatment.8

Typical hip fractures often occur in the femoral neck and intertrochanteric regions, and fractures resulting from suppressed bone turnover have been described as atypical and affect primarily the subtrochanteric femur, infrequently affected by osteoporotic fractures.9

The purpose of this paper is to present two cases of bilateral atypical femoral fractures in postmenopausal women treated for osteoporosis with bisphosphonates and discuss their treatment.



CASE PRESENTATION



CASE1

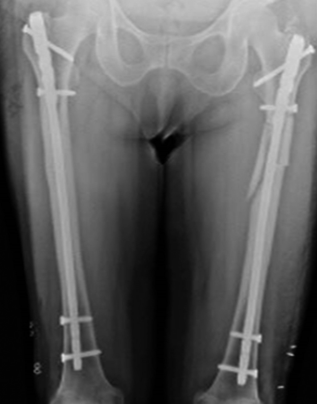
An 83-year-old female with a 10-year history of bisphosphonate treatment for osteoporosis (alendronic acid, 70 mg presentation), came to the orthopedic consult after feeling leg pain. Normal movement, with limitation and instability, while standing up. An X-ray and CT scan of the pelvis were obtained. Figure 1 shows the thickening of the bone cortex, with the presence of atypical incomplete bilateral fractures in the subtrochanteric femur. After a complete assessment, the patient underwent surgical treatment with intramedullary nailing (Figure 2), and thromboprophylaxis with Apixaban 2.5 mg every 12 hours for 28 days was indicated.

After the procedure, bisphosphonate therapy was suspended and replaced with romosozumab, vitamin D, and calcium supplementation. Physical rehabilitation was also prescribed, aiming for gait rehabilitation and full range of motion.



CASE 2

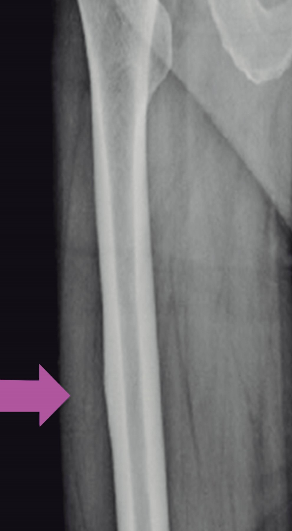
A 76-year-old female patient used alendronate for four consecutive years, switching afterward to zoledronic acid and using it for five more years, making it a total of nine years of BISPH use. She arrived at the emergency room after experiencing a spontaneous fracture of the left femur while taking a walk (Figure 3), leading to a fall from her height. The clinical examination and radiographs demonstrated a left Atypical Femur Fracture (AFF). Upon further observation, an incomplete fracture was found in the right femur (Figure 4). She underwent a first surgical intervention, and two days later, a second one; intramedullary nailing was performed in both femurs (Figure 5). A lumbar spine dual-energy X-ray absorptiometry (DEXA) was performed, which reported a T Score of −0.9, spine TBS of 1.382, left femoral neck T-score of −1.5, and right femoral neck T-score of −1.7, leading to an osteopenia diagnosis.

The patient progressed favorably; she was prescribed physical therapy and began using a walker. BISPH therapy was immediately suspended and replaced with Teriparatide, calcium supplements, and vitamin D. Due to clinical improvement, the patient was discharged from the Orthopedics Unit.



DISCUSSION

There is an ongoing discussion regarding the long-term effects of the BISPHs-based therapy in osteoporotic patients. Oral and intravenous (IV) BISPHs have maintained their position as the most commonly used anti-resorptive agents. Prolonged use of these agents may lead to several adverse effects, such as AFF and jaw osteonecrosis.10 Clarita V et al., suggest that BISPH treatment in a clinical environment is responsible for a condition known as severely suppressed bone turnover, which is one of the most notable risk factors for osteoporotic fractures.11 In the cases presented in this report, both patients presented a long-term treatment with BISPHs.

The main concern among physicians nowadays is the presence of AFF, initially characterized by cortical thickening, cortical deformity, and microcracks caused by high levels of collagen cross-linking that reduces bone toughness and its ability to absorb energy.12 Transverse fractures are due to low-energy events or even atraumatic events, as in the case of both patients presented.13

As performed in both cases, various studies recommend intramedullary nailing as the first-line treatment for complete fractures. Hwang S et al., in their literature review, affirm that intramedullary nails are favored because they can be helpful in difficult-to-heal fractures by allowing the formation of an endochondral callus.8 Also, they should be offered as a prophylactic treatment to patients with intractable pain and routinary radiographic imaging should be obtained aiming for the recognition of asymptomatic fractures.14

The use of Teriparatide has been suggested since these patients presented AFF due to long-term BISPHs-based therapy. A systemic review and meta-analysis by Nayak and Greenspan concluded that a discontinuation of the BISPHs is recommended in women that has not presented low hip BMD scores after three to five years of treatment, but for the ones that show low hip BMD, the continuation of the treatment may be beneficial. We acknowledge that a treatment washout is an appropriate approach to avoid complications, BMD does not equate to bone quality.

Prolonged use of BISPHs has proven to be a risk factor in AFF incidence.15

After considering many aspects of the literature about atypical femoral fractures due to prolonged use of BISPHs, we suggest that further investigation is needed to better understand which treatment should be offered to osteoporotic patients. Also, a screening tool that predicts the outcome of patients with BISPHs treatment could be helpful to avoid atypical fractures and prevent their progression.

In conclusion, atypical femoral fractures represent a risk of complete subtrochanteric fracture in osteoporotic women, a full assessment of the patient on BISPH treatment should be performed, and in the pertinent cases, it should be discontinued.


REFERENCES

  1. Eastell R, O'Neill TW, Hofbauer LC, Langdahl B, Reid IR, Gold DT, et al. Postmenopausal osteoporosis. Nat Rev Dis Primers. 2016; 2: 16069. doi: 10.1038/nrdp.2016.69.

  2. Kanis JA on behalf of the World Health Organization Scientific Group (2007). Assessment of osteoporosis at the primary health-care level. Technical Report. World Health Organization Collaborating Centre for Metabolic Bone Diseases, University of Sheffield, UK; 2007: Printed by the University of Sheffield.

  3. Camacho PM, Petak SM, Binkley N, Diab DL, Eldeiry LS, Farooki A, et al. American Association of Clinical Endocrinologists/American College of Endocrinology Clinical Practice Guidelines for the Diagnosis and Treatment of Postmenopausal Osteoporosis – 2020 Update. Endocr Pract. 2020; 26(Suppl 1): 1-46. doi: 10.4158/GL-2020-0524.

  4. Rogers MJ, Monkkonen J, Munoz MA. Molecular mechanisms of action of bisphosphonates and new insights into their effects outside the skeleton. Bone. 2020; 139: 115493. doi: 10.1016/j.bone.2020.115493.

  5. Drake MT, Clarke BL, Khosla S. Bisphosphonates: mechanism of action and role in clinical practice. Mayo Clin Proc. 2008; 83(9): 1032-45. doi: 10.4065/83.9.1032.

  6. Allgrove J. Bisphosphonates. Arch Dis Child. 1997; 76(1): 73-5. doi: 10.1136/adc.76.1.73.

  7. Schilcher J, Koeppen V, Aspenberg P, Michaelsson K. Risk of atypical femoral fracture during and after bisphosphonate use. Acta Orthop. 2015; 86(1): 100-7. doi: 10.3109/17453674.2015.1004149.

  8. Hwang S, Seo M, Lim D, Choi MS, Park JW, Nam K. Bilateral atypical femoral fractures after bisphosphonate treatment for osteoporosis: a literature review. J Clin Med. 2023; 12(3): 1038. doi: 10.3390/jcm12031038.

  9. Sellmeyer DE. Atypical fractures as a potential complication of long-term bisphosphonate therapy. JAMA. 2010; 304(13): 1480–1484. doi: 10.1001/jama.2010.1360.

  10. Lee S, Yin RV, Hirpara H, Lee NC, Lee A, Llanos S, et al. Increased risk for atypical fractures associated with bisphosphonate use. Fam Pract. 2015; 32(3): 276-81. doi: 10.1093/fampra/cmu088.

  11. Odvina CV, Zerwekh JE, Rao DS, Maalouf N, Gottschalk FA, Pak CY. Severely suppressed bone turnover: a potential complication of alendronate therapy. J Clin Endocrinol Metab. 2005; 90(3): 1294-301. doi: 10.1210/jc.2004-0952.

  12. Edwards BJ, Bunta AD, Lane J, Odvina C, Rao DS, Raisch DW, et al. Bisphosphonates and nonhealing femoral fractures: analysis of the FDA Adverse Event Reporting System (FAERS) and international safety efforts: a systematic review from the Research on Adverse Drug Events And Reports (RADAR) project. J Bone Joint Surg Am. 2013; 95(4): 297-307. doi: 10.2106/JBJS.K.01181.

  13. Balach T, Baldwin PC, Intravia J. Atypical femur fractures associated with diphosphonate use. J Am Acad Orthop Surg. 2015; 23(9): 550-7. doi: 10.5435/JAAOS-D-14-00024.

  14. Koh A, Guerado E, Giannoudis PV. Atypical femoral fractures related to bisphosphonate treatment: issues and controversies related to their surgical management. Bone Joint J. 2017; 99-B(3): 295-302. doi: 10.1302/0301-620X.99B3.BJJ-2016-0276.R2.

  15. Nayak S, Greenspan SL. A systematic review and meta-analysis of the effect of bisphosphonate drug holidays on bone mineral density and osteoporotic fracture risk. Osteoporos Int. 2019; 30(4): 705-720. doi: 10.1007/s00198-018-4791-3.



AFFILIATIONS

1 Centro Médico ABC. Mexico City, Mexico.

2 ORCID: 0000-0002-9678-7295

3 Universidad Autónoma Metropolitana - Xochimilco. Mexico City, Mexico. ORCID: 0000-0003-0371-0692

4 Hospital Ángeles Lomas. Mexico City, Mexico.



CORRESPONDENCE

Salomón Jasqui Remba. E-mail: drsjasqui@gmail.com




Received: 08-16-2024. Accepted: 02-04-2025.

Figure 1
Figure 2
Figure 3
Figure 4
Figure 5

2020     |     www.medigraphic.com

Mi perfil

C?MO CITAR (Vancouver)

Acta Ortop Mex. 2025 Nov-Dic;39