medigraphic.com
SPANISH

Cirujano General

ISSN 2594-1518 (Electronic)
ISSN 1405-0099 (Print)
  • Contents
  • View Archive
  • Information
    • General Information        
    • Directory
  • Publish
    • Instructions for authors        
    • Send manuscript
  • medigraphic.com
    • Home
    • Journals index            
    • Register / Login
  • Mi perfil

2019, Number 4

<< Back Next >>

Cir Gen 2019; 41 (4)

Sarcomatoid hepatocellular carcinoma. A case report and literature review

Molina-Tabárez, Karla Belén1; Vargas-Ávila, Arcenio Luis2; Salgado-Arzate, Silvia Jacqueline3; Beltrán-Ortega, Carlos4; Nagore-Ancona, Jesús Fernando5; Jiménez-Leyva, Amador6
Full text How to cite this article

Language: English/Spanish [Versi?n en espa?ol]
References: 28
Page: 276-283
PDF size: 355.5 Kb.


Key words:

Hepatocellular carcinoma, malignant liver neoplasm, sarcomatoid change, histologic subtype, liver biopsy.

ABSTRACT

Introduction: Carcinoma with liver sarcomatoid transformation is infrequent, represents 3.9% from 350 autopsies performed on patients with hepatocelular carcinoma. Because of its low frequence, published data in literature are limited. The mecanism of degeneration, necrosis and regeneration of carcinoma cells due to antineoplastic drugs or arterial chemoembolization are postulated as possible inductors. Objective: Report a case of hepatocelular carcinoma with sarcomatoide component in the Hospital Regional "General Ignacio Zaragoza". Results: The present case is about a 73 years old male patient with atypical presentation, compatible with clinic symptomatology of chronic lithiasic acute cholecystitis, that represents the heterogeneity of the clinical presentation of this neoplasia in advanced clinical stage, and also the laboratory and imaging studies that contributed to the diagnosis. Conclusion: It requires a high index of suspicion of sarcomatoid hepatocellular carcinoma to get a final diagnosis, because of its atypical presentation as in the described case.



INTRODUCTION

In Mexico, an increase in the incidence of hepatocellular carcinoma (HCC) has been observed for several decades. The National Health Information System (Sistema Nacional de Información en Salud) in an analysis of the causes of death from 1979 to 2008 in the Mexican population, corroborated an increase in mortality from HCC, from 0.4% in the 1980s to 1.3% in 2008.1

Sarcomatoid HCC is one of the rare subtypes, exhibiting characteristics of epithelial and mesenchymal tumors. It accounts for about 1.8 to 3.9% of HCC. Because of its rarity, data are limited regarding the outcomes of patients, and few studies focus on the radiologic and histopathologic features of the disease.2-5

Carcinomas of the liver with a sarcomatous transformation are also known as spindle cell carcinomas, sarcomatoid carcinoma, or pseudocarcinomas. Some liver tumors present with fever and leukocytosis simulating liver abscesses; the mechanism of degeneration, necrosis, and regeneration of the carcinoma cells points antineoplastic drugs or chemoembolization as possible inducers.2,6-8

The pathogenesis of HCC is multifactorial, with a high association to chronic viral hepatitis B or C, alcohol consumption, exposure to aflatoxins, autoimmune hepatitis, benign neoplasms such as hepatocellular adenoma, and genetic alterations.9-11 In patients without cirrhosis, the first explanation for the etiology of HCC is type 2 diabetes combined with a BMI > 30 kg/m2. In contrast, antineoplastic drugs or transarterial chemoembolization are mentioned as possible inducers in the origin of HCC degeneration, necrosis, and regeneration.2,12,13



DIAGNOSIS

The most widely used screening study is transabdominal ultrasound. It is simple, relatively inexpensive, minimally invasive, and with a sensitivity of approximately 65-80% and a specificity greater than 90%. Despite being operator-dependent, in the absence of a more effective biomarker it is recommended as a screening study by current international guidelines. The addition of alpha-fetoprotein to this screening strategy represents a minimal benefit and increases costs, according to a recent meta-analysis by Singal et al.1

Surveillance is indicated in high-risk groups, specifically in patients with liver cirrhosis, of any etiology, with good liver reserve and adequate functional capacity (Child-Pugh stages A and B). In contrast, screening for HCC is not recommended in patients with Child-Pugh C liver cirrhosis, except in those considered for a waiting list for liver transplantation.1

If risk groups with a nodule smaller than one centimeter are identified during surveillance by abdominal ultrasound, follow-up is recommended every three to four months for up to 18-24 months. If during this follow-up period there is a growth of the image, a dynamic study may be done by multiphase CT scan or nuclear magnetic resonance.1

CT scan is essential for accurate diagnosis, as it provides a detailed assessment of the lesions according to the location, shape, size of the tumor, as well as the relationship with adjacent structures and reveals other neoplastic lesions.14-16

The anatomopathological study guarantees the definitive diagnosis, it distinguishes dysplastic lesions from hepatocellular carcinoma, particularly in case of atypical lesions.3,8,9,17

The primary liver sarcoma cell is characterized by a spindle shape with a clear nucleolus. No disease-specific biomarkers have been confirmed, and their use remains controversial. The terminology used for sarcomatoid carcinoma includes spindle cell carcinoma, metaplastic carcinoma, pleomorphic carcinoma, and carcinosarcoma.2,4

In 2000, the World Health Organization published guidelines for the histological classification of HCC to include sarcomatoid hepatocellular carcinoma, which accounted for 3.9% of the 350 autopsies performed on HCC patients. It is now understood to be a carcinoma that has undergone a similar differentiation from sarcoma.4,8,17



TREATMENT

Surgical excision is accepted as the most effective treatment of sarcomatoid HCC. However, patients are likely to develop local recurrences and distant metastases, due to the high degree of malignancy and rapid progression. The choice of therapy should always be based on the tumor staging at diagnosis and the degree of deterioration of liver function.5,17,18 Fifteen to 20% of patients will be candidates for radical therapeutic options, while the remaining cases will be allocated palliative or symptomatic therapy.2,18,19

There are various scales regarding the staging of HCC. However, the BCLC (Barcelona Clinic Liver Cancer) classification, as described in an article published in Gastroenterolgía Latinoamericana by Díaz and Barrera (Figure 1), has the greatest predictive power, independent of survival, since it includes variables related to the tumor, plus the functional classification of the liver and the functional capacity of the individual who presents with both cirrhosis and cancer, and the effectiveness of the treatment administered.20



PROGNOSIS

It is poor, with three-year survival rates as low as 18.2% after hepatectomy. The effectiveness of alternative treatments such as radiation therapy, chemotherapy, and targeted therapy remains unclear.2,5 Sarcomatous HCC is a very rare variant associated with more advanced disease and larger tumor size at presentation. Patients with sarcomatous HCC have shorter long-term survival compared to patients diagnosed with conventional HCC. Unfortunately, surgery does not provide improved survival for patients with intermediate to advanced sarcomatous HCC, and most patients die within 2 years.2,11,12,16



CLINICAL CASE

A 73-year-old male with type-2 diabetes and systemic arterial hypertension was admitted to the Emergency Department of the Regional Hospital "General Ignacio Zaragoza" with a two-week history of epigastric and right hypochondrium pain irradiated to the right flank, plus asthenia, adynamia, nausea, emesis, abdominal distension, fever of 39.1 oC, and deterioration of the general state. He also had history of left iliofemoral deep vein thrombosis six months previously, which required the placement of a vena cava filter and catheter assisted thrombolysis (EKOS™) system with alteplase as thrombolytic, which required one month's hospitalization in the ICU.

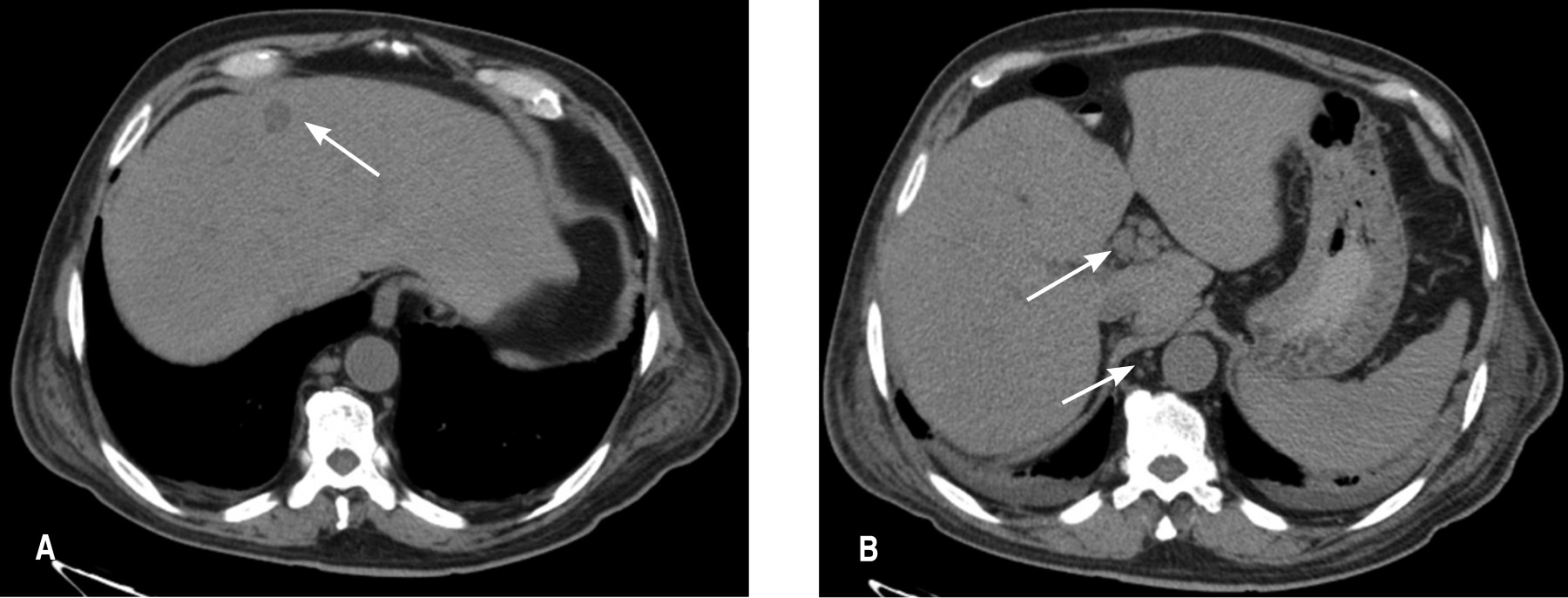
He was clinically stable, with a distended abdomen, painful in the right hypochondrium and right iliac fossa. Laboratory studies reported leukocytes 2.8 × 103/µl, total neutrophils 87.8%, hemoglobin 6.7 g/dl, hematocrit 20.2%, platelets 67 × 103/µl, total bilirubin 3.04 mg/dl, direct bilirubin 2.16 mg/dl, indirect bilirubin 0.88 mg/dl, and negative viral panel. Ultrasound of the liver and bile ducts reported chronic lithiasic cholecystitis with hepatomegaly. An abdominal CT scan reported lymph node growth at the hepatic hilum. Also, peripancreatic, phrenic, paracolic, and paraintestinal, as well as precaval, retrocaval, interaortocaval, and para-aortic nodes were found. The liver had images of possible metastatic implants in segments IV and VI. The gallbladder had a 6.3 mm wall, with hypodense content, changes due to cholecystitis and scarce perihepatic fluid (Figure 2).

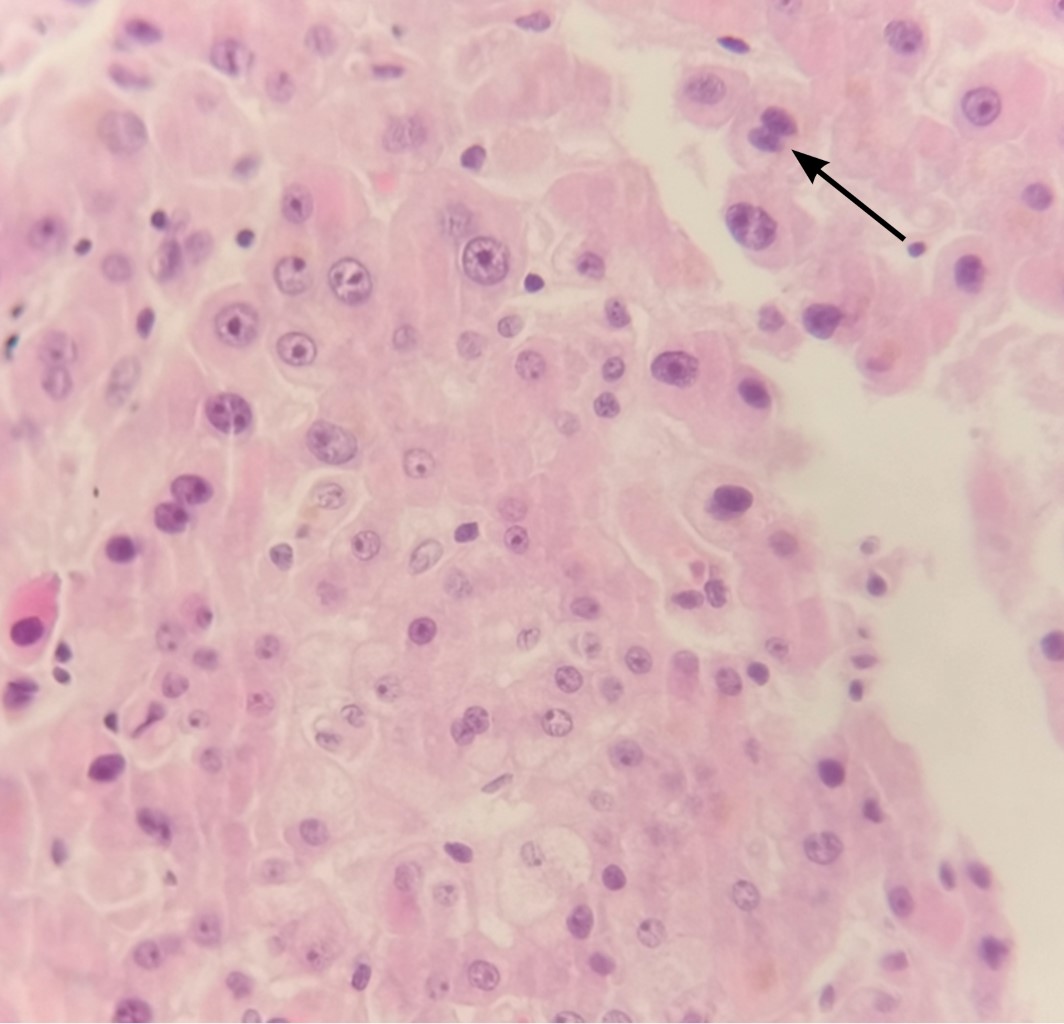
Diagnostic laparoscopy showed liver implants of an unknown primary tumor, hepatomegaly, ascites, a thin-walled gallbladder, without inflammatory changes. A peritoneal fluid sample was taken for cytological study and biopsy of one of the liver implants (Figure 3).

As part of the protocol in search of a primary tumor, panendoscopy, and colonoscopy were done, reported without alterations. The cytological report of the peritoneal fluid showed chronic inflammation changes. During clinical evolution, he had febrile peaks, leukopenia of 1.5 103/µl, anemia of 7.6 g/dl, and thrombocytopenia (32,000). Total bilirubin 4.87. Albumin 1.47 g/dl. Coagulation profile with PT 88.4 sec. INR 7.9, PTT 92.0 sec. Tumor markers were within normal parameters: HCG 0.39 mUI/ml, CA 15.3 4.7 mUI/ml, CA 19.9 12.5 mUI/ml, AFP 0.4 ng/ml, CEA 0.5 ng/ml.

There were no blasts on peripheral blood smears. A bone biopsy was done which showed no alterations, thus ruling out hematological neoplasm as the primary cause of the metastatic tumor.

Histopathological report of the liver implant showed a moderately differentiated malignancy, consistent with sarcomatoid hepatocellular carcinoma (Figures 4 and 5).

The case was classified as ECOG (Eastern Cooperative Oncology Group) 4-5, so he was discarded as a candidate for systemic management and referred for evaluation to the Palliative Care Unit. The total in-hospital stay was 21 days.



DISCUSSION

Sarcomatoid hepatocellular carcinoma is more common in males with a history of a cirrhotic liver. This case is presented as an example of a different behavior of sarcomatous HCC, with an advanced stage in a patient with limited autonomy, ECOG 4-5, and multiple base conditions. As mentioned by Wu L et al.12 in their population analysis, the association of type 2 diabetes in conjunction with a BMI > 30 kg/m2, in our case, the patient weighed 89 kg and was 1.65 meters tall, with a body mass index of 32.7 kg/m2. The history of antineoplastic drugs or transarterial chemoembolization represents a risk factor, since in the present case no viral hepatic disease was identified.

Venous thromboembolic disease (VTD) is one of the oldest known complications of cancer patients. As early as 1865, Armand Trousseau made two major observations: the existence of extensive venous thrombosis in patients with neoplastic processes and venous thrombosis as a paraneoplastic sign. Patients with cancer represent 20% of all patients with venous thromboembolic disease.21 Hepatocellular carcinomas in advanced stages have a tendency to invade the hepatic veins, as well as the portal vein. The incidence of thrombosis is much more frequent (13%) in cases of hepatocarcinoma than in metastatic tumors (5%) or cirrhosis (5%).22

The history of pharmaco-mechanical thrombolysis with the EKOS™ system and alteplase, associated with a vena cava filter, stands out. However, in our review of the literature, there is no association of thrombolytic agents as a risk factor for the appearance of this pathology.

On the other hand, in study protocols, some authors14-16 mention the role of imaging as a preoperative diagnostic tool during research on liver neoplasms. However, in our case, the results oriented to the diagnosis of cholecystitis with hepatomegaly, and obstructive process of the bile ducts, based on hyperbilirubinemia with a predominance of direct pattern and negative tumor markers, which made surgery necessary to establish a definitive diagnosis.

In their respective reports, Hu B et al.23 and Shin HP et al.24 describe leukemoid reactions in patients with sarcomatous HCC, an elevated leukocyte count and appearance of young myeloid cell lines in peripheral blood smears. In contrast, in our case we observed pancytopenia and prolongation of the coagulation profile, leading to suspect a hematological neoplasm, later ruled out. Watanabe et al.25 describe a case of spontaneous intraperitoneal bleeding with death despite urgent abdominal angiography, probably related to acute liver failure, also described by Li Z et al.26 after surgery, without clarifying the pathophysiological basis for this phenomenon.

Yu et al.2 describe surgical excision as the treatment of choice for sarcomatous HCC, as well as radiofrequency ablative techniques and/or embolization in patients with healthy livers. However, in national and international management guidelines, HCC, whether conventional or unconventional, has been found chemoresistant, with low tumor response and no evidence of improved survival. Therefore, in patients with end-stage cancer, with a life expectancy of less than 3 months, and physical performance ECOG 3-4, a multidisciplinary management aimed at improving quality of life, palliative symptomatic management, including pain management, nutrition, and psychological management is recommended.1,27,28



CONCLUSION

There are limited cases of sarcomatoid HCC reported in the literature, it is a pathology little known by physicians in general. Thrombotic events sometimes underlie a neoplastic process, so it is important to protocol groups with risk factors. The diagnosis of a sarcomatoid HCC with an atypical clinical presentation of acute lithiasic chronic cholecystitis requires a high index of suspicion, and thorough clinical history, besides the radiological studies.


REFERENCES

  1. González M, Sánchez J. Consenso Mexicano de diagnóstico y manejo del carcinoma hepatocelular. Revista de Gastroenterología de México. 2014; 79: 250-262.

  2. Yu Y, Zhong Y, Wang J, Wu D. Sarcomatoid hepatocellular carcinoma (SHC): a case report. World J Surg Oncol. 2017; 15: 219.

  3. Wang QB, Cui BK, Weng JM, Wu QL, Qiu JL, Lin XJ. Clinicopathological characteristics and outcome of primary sarcomatoid carcinoma and carcinosarcoma of the liver. J Gastrointest Surg. 2012; 16: 1715-1726.

  4. Liao SH, Su TH, Jeng YM, Liang PC, Chen DS, Chen CH, et al. Clinical manifestations and outcomes of patients with sarcomatoid hepatocellular carcinoma. Hepatology. 2019; 69: 209-221.

  5. Lu J, Zhang J, Xiong XZ, Li FY, Ye H, Cheng Y, et al. Primary hepatic sarcomatoid carcinoma: clinical features and prognosis of 28 resected cases. J Cancer Res Clin Oncol. 2014; 140: 1027-1035.

  6. Losada MH, Roa JC, García MD, Araya JC, Burgos SJL, Silva AJ. Hepatocarcinoma con componente sarcomatoide: Caso clínico. Rev Méd Chile. 2007; 135: 768-772.

  7. Lei WY, Hsiung SC, Wen SH, Hsieh CH, Chen CL, Wallace CG, et al. Total HLA class i antigen loss with the downregulation of antigen-processing machinery components in two newly established sarcomatoid hepatocellular carcinoma cell lines. J Immunol Res. 2018; 2018: 8363265.

  8. Shafizadeh N, Kakar S. Hepatocellular carcinoma: histologic subtypes. Surg Pathol Clin. 2013; 6: 367-384.

  9. López-Panqueva RP. Neoplasias hepáticas malignas: 1.a parte. Hepatocarcinoma: papel de la biopsia hepática, estudios de inmunohistoquímica y otros aspectos importantes. Rev Col Gastroenterol. 2015; 30: 232-242.

  10. Nishi H, Taguchi K, Asayama Y, Aishima S, Sugimachi K, Nawata H, et al. Sarcomatous hepatocellular carcinoma: a special reference to ordinary hepatocellular carcinoma. J Gastroenterol Hepatol. 2003; 18: 415-423.

  11. López-Vázquez NM, González-Pérez S, López-Vázquez H. Carcinoma hepatocelular. Presentación de dos casos interesantes. Rev Ciencias Médicas. 2008; 12: 186-194.

  12. Wu L, Tsilimigras DI, Farooq A, Hyer JM, Merath K, Paredes AZ, et al. Management and outcomes among patients with sarcomatoid hepatocellular carcinoma: A population-based analysis. Cancer. 2019. doi: 10.1002/cncr.32396.

  13. Parodi-Pita A. Factores epidemiolo?gicos relacionados al carcinoma hepatocelular. Oncol (Guayaquil). 2017; 27: 115-124.

  14. Fonte-Griñán E, Misas-Menéndez M, González-Santana I. Caracterización clínica, imagenológica y anatomopatológica de las lesiones hepáticas focales. Medisur. 2014; 12: 390-397.

  15. Hung Y, Hsieh TY, Gao HW, Chang WC, Chang WK. Unusual computed tomography features of ruptured sarcomatous hepatocellular carcinoma. J Chin Med Assoc. 2014; 77: 265-268.

  16. Shi D, Ma L, Zhao D, Chang J, Shao C, Qi S, et al. Imaging and clinical features of primary hepatic sarcomatous carcinoma. Cancer Imaging. 2018; 18: 36.

  17. Gu Q, Yu X, Chen H, Chen G. Clinicopathological features of combined hepatocellular-cholangiocarcinoma with sarcomatous change: Case report and literature review. Medicine (Baltimore). 2018; 97: e9640.

  18. Kan A, Guo RP. The prognosis of subsequent surgical treatment in patients with sarcomatoid carcinoma in the liver: A retrospective study. Int J Surg. 2018; 55: 145-151.

  19. Del Val-Antoñana A, Ortíz-Polo I, López-Serrano A, Moreno-Osset E. Tratamiento del carcinoma hepatocelular. An Med Interna (Madrid). 2002; 19: 533-538.

  20. Díaz PLA, Barrera MF. Clasificación Barcelona Clinic Liver Cancer (BCLC) de carcinoma hepatocelular. Gastroenterol Latinoam. 2015; 26: 63-68.

  21. Salama P. Trombosis y cáncer. Anales Sis San Navarra. 2004; 27: 45-51.

  22. Carnero-Fernández M, Morano-Amado LE, Bodenlle-Bello P, Calvo-Iglesias F. Trombosis venosa masiva con invasión cardiaca como primera manifestación de un hepatocarcinoma. An Med Interna (Madrid). 2003; 20: 45-47.

  23. Hu B, Sang XT, Yang XB. Paraneoplastic leukemoid reaction in a patient with sarcomatoid hepatocellular carcinoma: A case report. World J Clin Cases. 2019; 7: 1330-1336.

  24. Shin HP, Jeon JW, Park JJ, Cha JM, Joo KR, Lee JI, et al. A case of leukemoid reaction in a patient with sarcomatous hepatocellular carcinoma. Korean J Hepatol. 2011; 17: 226-228.

  25. Watanabe Y, Matsumoto N, Ogawa M, Moriyama M, Sugitani M. Sarcomatoid hepatocellular carcinoma with spontaneous intraperitoneal bleeding. Intern Med. 2015; 54: 1613-1617.

  26. Li Z, Wu X, Bi X, Zhang Y, Huang Z, Lu H, et al. Clinicopathological features and surgical outcomes of four rare subtypes of primary liver carcinoma. Chin J Cancer Res. 2018; 30: 364-372.

  27. Heimbach JK, Kulik LM, Finn RS, Sirlin CB, Abecassis MM, Roberts LR, et al. AASLD guidelines for the treatment of hepatocellular carcinoma. Hepatology. 2018; 67: 358-380.

  28. European Association for the Study of the Liver. EASL Clinical Practice Guidelines: Management of hepatocellular carcinoma. J Hepatol. 2018; 69: 182-236.



AFFILIATIONS

1 Fourth year Resident in General Surgery. Hospital Regional "Gral. Ignacio Zaragoza", ISSSTE, CDMX, México.

2 Adjunct Professor in General Surgery. Hospital Regional "Gral. Ignacio Zaragoza", ISSSTE, CDMX, México.

3 Attending Physician in General Surgery. Hospital Regional "Gral. Ignacio Zaragoza", ISSSTE, CDMX, México.

4 Chair. Department of Pathology. Hospital Regional "Gral. Ignacio Zaragoza", ISSSTE, CDMX, México.

5 Third year resident in General Surgery. Hospital Regional "Gral. Ignacio Zaragoza", ISSSTE, CDMX, México.

6 Second year Resident in General Surgery. Hospital Regional "Gral. Ignacio Zaragoza", ISSSTE, CDMX, México.



Considerations and ethical responsibility: Data privacy. According to the protocols established in the authors\' workplace, they declare to have followed the protocols on the privacy of patient data while preserving his anonymity.
The informed consent of the patient referred to in the article is held by the author.

Funding: No financial support was received for this work.

Conflict of interest: The authors declare that there was no conflict of interest.



CORRESPONDENCE

Dr. Karla Belén Molina Tabárez. E-mail: karlamolinatabarez@gmail.com




Received: 17/07/2019. Accepted: 16/08/2019

Figure 1
Figure 2
Figure 3
Figure 4
Figure 5

2020     |     www.medigraphic.com

Mi perfil

C?MO CITAR (Vancouver)

Cir Gen. 2019;41