medigraphic.com
SPANISH

Cirujano General

ISSN 2594-1518 (Electronic)
ISSN 1405-0099 (Print)
  • Contents
  • View Archive
  • Information
    • General Information        
    • Directory
  • Publish
    • Instructions for authors        
    • Send manuscript
  • medigraphic.com
    • Home
    • Journals index            
    • Register / Login
  • Mi perfil

2020, Number 1

<< Back Next >>

Cir Gen 2020; 42 (1)

Hereditary colorectal cancer: synchronous presentation of colorectal cancer and cholangiocarcinoma in a patient with familial adenomatous polyposis

Chapa-Lobo, Alberto Félix1; Salgado-Cruz, Luis Enrique1; Garza-Cantú, Alan Alejandro1; Castaño-Eguía, Mauricio David1; Rodríguez-Sotelo, Fernando1; Villafranca-Andino, Roy Ismael1
Full text How to cite this article 10.35366/92712

DOI

DOI: 10.35366/92712
URL: https://dx.doi.org/10.35366/92712

Language: English/Spanish [Versi?n en espa?ol]
References: 22
Page: 50-56
PDF size: 333.73 Kb.


Key words:

Adenomatose polyposis, Lynch syndrome, hereditary colorectal cancer.

ABSTRACT

The gastrointestinal polyposis syndromes are characterized by the presence of multiple polyps in the digestive tract, affecting the colon and rectum in the most cases. Recognized family syndromes represent around 5% of colorectal cancers, the most common being familial adenomatose polyposis (FAP) and hereditary nonpolyposis colon cancer (Lynch syndrome). They are a group of diseases of low incidence with very varied characteristics, which require a correct individualization for their most appropriate treatment. Within the genetic syndromes, there are presentations with typical molecular variations that typecast the most frequent groups, however there is the possibility that these syndromes present genetic similarities whose predominance will determine the evolution and presentation of the disease.



INTRODUCTION

Worldwide, colorectal cancer (CRC) represents the third most common malignancy and the fourth leading cause of cancer-related mortality, with recognized familial syndromes accounting for about 5% of cases.1,2 There are two broad classes of hereditary colorectal cancer, depending on the predominant location of the cancer: distal and proximal. Familial adenomatous polyposis (FAP) and most sporadic cases can be considered a paradigm for the distal class, whereas hereditary nonpolyposis colorectal cancer (Lynch syndrome) more clearly represents the proximal class.3,4

PAF is an autosomal dominant syndrome caused by a germline mutation of the adenomatous polyposis coli gene.5 It affects 1:10,000 people and accounts for approximately 1% of colorectal cancer. Its main characteristic is the appearance of more than 100 colorectal adenomatous polyps, which can number in the thousands, starting at a young age, with a cancer risk close to 100% if not treated promptly. Most cases begin as benign adenomatous colonic adenomatous polyps.2,6,7

The complexity of the possible clinical presentations of these syndromes includes, in addition to severe or attenuated colorectal disorders, various extracolonic manifestations such as gastric and duodenal polyposis and desmoid tumors, which may require additional endoscopic or surgical treatment that complicates the therapeutic process and imposes continuous surveillance even when the colorectal disease is eradicated.8



CASE PRESENTATION

The patient is a 56-year-old man under medical treatment for long-standing arterial hypertension and ischemic heart disease treated with coronary stent placement two years ago, with a hereditary family history of colon cancer in two first-degree relatives under 50 years of age. He came for external evaluation due to a history of three months of evolution with lower gastrointestinal tract bleeding (LGITB) accompanied by anemic syndrome; a colonoscopy was performed, and multiple polyposis was observed (more than 200 polyps), with neoplastic lesions in the sigmoid colon and transverse colon (Figure 1). No abnormal skin or bone lesions were found, nor was the presence of hypertrophy of the retinal epithelium pigment identified.

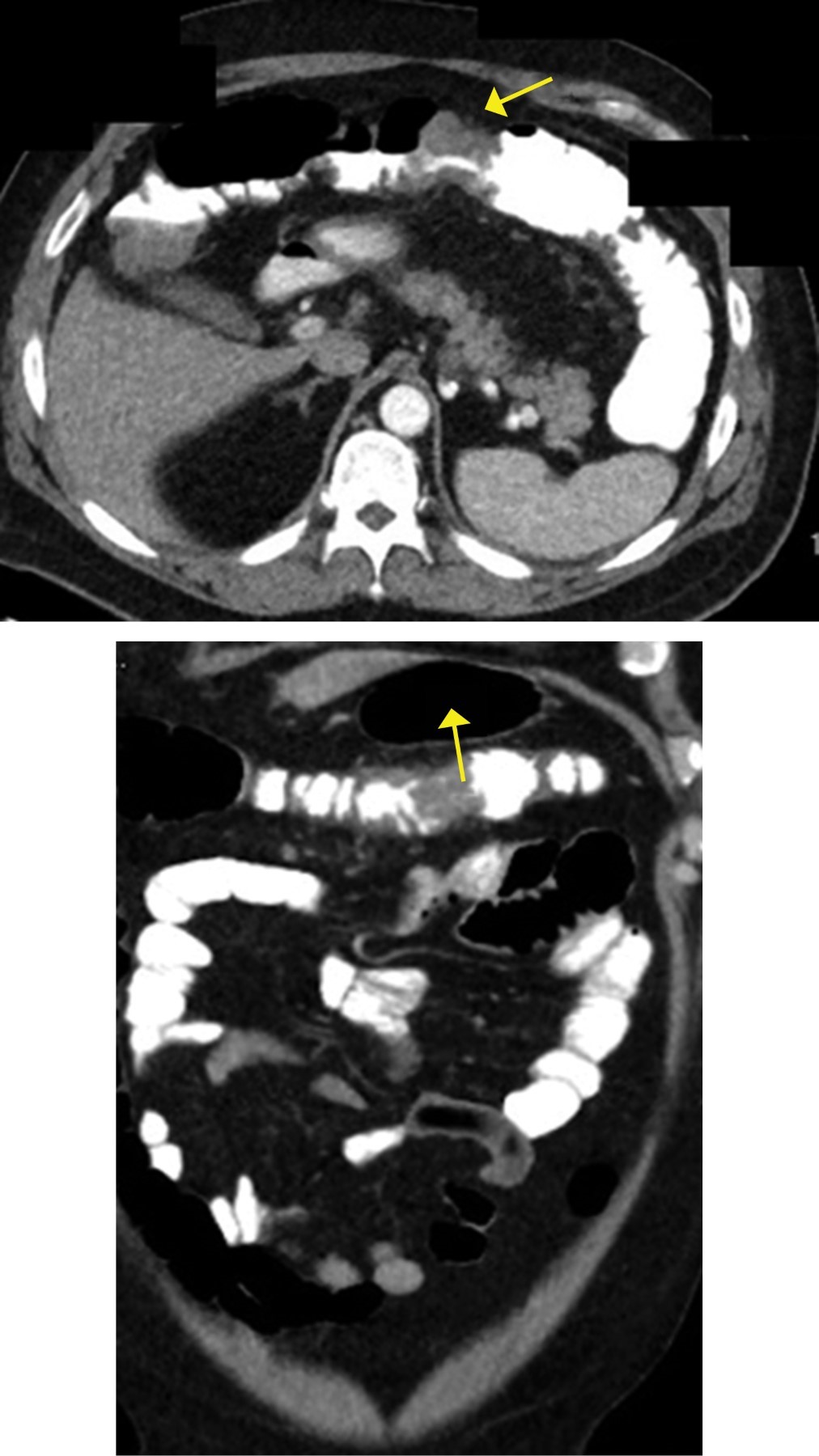
The study was complemented with an endoscopy of the upper gastrointestinal tract showing a diffuse micronodular surface in the upper portion of the body of the stomach, without duodenal polyps (Figure 2), and a thoracoabdominal computerized tomography (CT) scab with IV contrast revealed a transverse colon tumor with peri-colonic fat infiltration conditioning partial obstruction, as well as the presence of para-aortic lymphadenopathies (Figure 3). Laboratory studies showed hemoglobin: 9.0 g/dl, total protein: 5.8 g/dl, albumin: 3.0 g/dl and carcinoembryonic antigen: 131 ng/ml.

During the second day of hospitalization, the LGITB persisted with a decrease in hemoglobin to 7.0 g/dl. An intestinal occlusion was diagnosed, so it was decided to schedule surgery.

Total colectomy with terminal ileostomy was performed by hand-assisted four-port laparoscopy, finding multiple peritoneal and hepatic implants, of which biopsies were taken. Postoperatively, the patient developed adynamic ileus that resolved after 18 days with parenteral nutrition. Later, the patient tolerated the oral route. He was discharged with a functional ileostomy, after placement of a Port-a-Cath catheter.

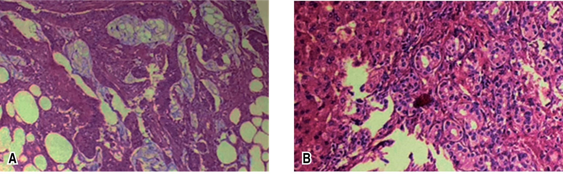
The pathology department reported more than 200 tubular adenomatous polyps with low-grade dysplasia, as well as the presence of intestinal adenocarcinoma with mucinous component in the transverse and sigmoid colon. Liver biopsy revealed type I cholangiocarcinoma (CCA). Immunohistochemistry panel was performed for microsatellite instability with the following findings: MLHI, MSH2, MSH6 and PMS2 with conserved nuclear expression, and loss of nuclear expression of the APC gene, negative molecular test for identification of KRAS gene mutation, with CK7 (+), CK9 (+) and CK20 (-) in liver biopsy, suggesting FAP associated with primary cholangiocarcinoma (Figure 4).

The patient was readmitted for adjuvant FOLFOX + bevacizumab-based chemotherapy administration in six cycles, with good tolerance. He is currently asymptomatic.



DISCUSSION

Most CRCs develop from benign preneoplastic lesions: adenomatous polyps or adenomas. Vogelstein proposed a multistep model of carcinogenesis for the development of CRC that describes the progression from a benign adenoma to a malignant carcinoma through a series of well-defined histological stages, known as the adenoma-carcinoma sequence model. Accordingly, it is understood that the etiology of CRC is multifactorial and is likely to involve the actions of genes at multiple levels, among which p53, APC, transforming growth factor (TGF)-β, SMAD, MLH1, MSH2, MSH6, PMS2, AXIN, STK11, PTEN, DCC and KRAS have been implicated.9

In 1991 the gene responsible for FAP, called Adenomatous Polyposis Coli or APC gene, was discovered.10 More than 300 different mutations have been discovered in this gene that can cause this type of polyposis (Annex 1). It was been shown that the risk of developing specific manifestations of FAP, as well as the severity of the disease in the large intestine are related to the type of genetic mutation. The most severe are most frequently observed in mutations between codons 1250 and 1464. This implies an early onset with symptoms (abdominal pain, diarrhea, blood in the stool) even before the age of 20 years, a high number of polyps in the colon and rectum, and an early progression to malignancy. Although clinically proven, FAP has no recognizable genetic mutation. There are many extracolonic manifestations of FAP, including osteomas, epidermoid cysts, desmoid tumors, gastroduodenal involvement, congenital hypertrophy of the pigmented epithelium of the retina, among others.11

The management of this type of hereditary diseases or syndromes should start with genetic counseling to inform about the type of pathology, the best therapy, and the necessary follow-up, thus reducing the morbimortality attributable to these syndromes. Prevention will be aided by specific identification of the causative germline mutation in the patient's family, which classifies the risk and sets the tone for the therapeutic and surveillance plan. Currently, prophylactic surgery is mandatory; however, the type of surgical technique will depend on the severity of the manifestations and the genotype presented.12,13

CCA is a malignant tumor arising from the biliary epithelium anywhere in the bile duct system, from the bile ducts to the ampulla of Vater. It is often associated with inactivation of tumor suppressor genes, e.g., p53, SMAD4, Bcl-2 and p16. Mutations in oncogenes, including KRAS, p53, c-ErbB-2 and c-Neu, have also been described. Although mutations may lead to detectable phenotypic changes, molecular profiles in biliary cytology currently have no established diagnostic or prognostic role.14

Distinguishing intrahepatic CCA from metastatic adenocarcinoma and other primary liver tumors can be difficult. Differentiation requires gastrointestinal tract metastases that often cannot be performed by histology. Other modalities, especially imaging, are essential. Immunohistochemistry panels including CK7, CK19, CK20, CDX-2, TTF-1, estrogen/progesterone receptors and prostatic specific antigen (PSA) may be useful, depending on the clinical context. CCAs are usually CK7 positive and CK20 negative,15,16 as was found in our patient.

Currently there are no specific serum markers for bile duct neoplasms in healthy patients or carriers of genetic polymorphisms. There are promising studies of markers such as different mucins, interleukin-6, sialic acid, and matrix metalloproteinases used in combination, but more research is needed.17

The ideal gold standard for preventing complications or delaying the development of colorectal cancer would be a genetic technique that allows the deletion of the diseased gene and the implantation of a disease-free gene. Currently, this remains pure speculation. Most of the research deals with systems for screening for germline mutations in the adenomatous polyposis coli gene that predispose to susceptibility and disease in familial adenomatous polyposis. Today there are technical systems that detect mutations in the APC gene, which could be useful in the molecular diagnosis of pre-symptomatic cases in families with FAP;18 however, there are other interesting ways to approach the problem of pre-symptomatic carrier risk assessment in familial adenomatous polyposis such as the combined use of molecular markers and biomarkers, with a detailed understanding of the process of carcinogenesis being necessary.19



CONCLUSION

Familial adenomatous polyposis may not be considered a single disease entity with standard guidelines for surgical treatment. However, prophylactic colectomy after the manifestation of polyps, but before the development of colorectal cancer, remains the most effective preventive measure. Nowadays, refinement genetic analysis techniques and new targeted therapies with the possibility of identifying the mutation carried by the patient (whether it is related to a severe phenotype or not) have assumed a fundamental role in the indication of the type of surgical treatment in terms of radicality. Some bioinformatics tools aim to predict the sensitivity of the tumor to drugs based on its molecular characteristic, as well as in the short and long-term follow-up of both the patient and his first-degree relatives, have been developed.20,21

Surgical options are proctocolectomy with end ileostomy, subtotal colectomy with ileorectal anastomosis and restorative proctocolectomy with ileoanal reservoir. The decision should be based on the estimation of the risk of colorectal cancer, so that patients at high risk such as those with more than 20 adenomas in the rectum, more than 1,000 adenomas in the colon, rectal adenomas larger than 3 cm in diameter or with severe dysplasia, or in patients with a confirmed diagnosis of colon or rectal cancer, restorative proctocolectomy with ileoanal pouch could be the procedure of choice.22

The application of various intermediate biomarkers to chemoprevention studies increases the ability of investigators to analyze the effects of new chemo-preventive agents in the colon and other organs.


REFERENCES

  1. Hnatyszyn A, Hryhorowicz S, Kaczmarek-Ry? M, Li E, S?omski R, Scott RJ, et al. Colorectal carcinoma in the course of inflammatory bowel diseases. Hered Cancer Clin Pract. 2019; 17: 18.

  2. Byrne RM, Tsikitis VL. Colorectal polyposis and inherited colorectal cancer syndromes. Ann Gastroenterol. 2018; 31: 24-34.

  3. Leoz ML, Carballal S, Moreira L, Ocaña T, Balaguer F. The genetic basis of familial adenomatous polyposis and its implications for clinical practice and risk management. Appl Clin Genet. 2015; 8: 95-107.

  4. Argillander TE, Koornstra JJ, van Kouwen M, Langers AM, Nagengast FM, Vecht J, et al. Features of incident colorectal cancer in Lynch syndrome. United European Gastroenterol J. 2018; 6: 1215-1222.

  5. Talseth-Palmer BA. The genetic basis of colonic adenomatous polyposis syndromes. Hered Cancer Clin Pract. 2017; 15: 5.

  6. Hyer W, Cohen S, Attard T, Vila-Miravet V, Pienar C, Auth M, et al. Management of familial adenomatous polyposis in children and adolescents: position paper from the ESPGHAN polyposis working group. JPGN. 2019; 68: 428-441.

  7. Oncolink.org [Internet] Philadelphia: OncoLink Team. [actualizado 13 jun 2017; citado 16 abr 2018]. Disponible en: https://www.oncolink.org/cancers/gastrointestinal/colon-cancer/risk-prevention-and-screening/familial-colorectal-cancers-familial-adenomatous-polyposis-fap.

  8. Ricker CH. De las familias con síndromes a los genes. Las primeras caracterizaciones clínicas y genéticas de dos síndromes hereditarios con predisposición a cáncer: ¿Cuál fue el comienzo? Rev Med Condes. 2017; 28: 491-499.

  9. Stoffel EM, Koeppe E, Everett J, Ulintz P, Kiel M, Osborne J, et al. Germline genetic features of young individuals with colorectal cancer. Gastroenterology. 2018; 154: 897-905.e1.

  10. Russo A, Catania VE, Cavallaro A, Ficili B, Lanteri E, Tralongo P, et al. Molecular analysis of the APC gene in sicilinan patients with familial adenomatous polyposis (F.A.P.). Int J Surg. 2014; 12: 125-129.

  11. Mishra N, Hall J. Identification of patients at risk for hereditary colorectal cancer. Clin Colon Rectal Surg. 2012; 25: 67-82.

  12. Mork ME, You YN, Ying J, Bannon SA, Lynch PM, Rodriguez MA, et al. High prevalence of hereditary cancer syndromes in adolescents and young adults with colorectal cancer. J Clin Oncol. 2015; 33: 3544-3549.

  13. Stoffel EM, Mangu PB, Gruber SB, Hamilton SR, Kalady MF, Lau MW, et al. Hereditary colorectal cancer syndromes: American Society of Clinical Oncology clinical practice guideline endorsement of the familial risk–colorectal cancer: European Society for Medical Oncology Clinical. Practice Guidelines. J Clin Oncol. 2015; 33: 209-217.

  14. Khan SA, Davidson BR, Goldin RD, Heaton N, Karani J. Guidelines for the diagnosis and treatment of cholangiocarcinoma: an update. Gut. 2012; 61: 1657-1669.

  15. Songserm N, Promthet S, Pientong C, Ekalaksananan T, Chopjitt P, Wiangnon S. Gene–environment interaction involved in cholangiocarcinoma in the Thai population: polymorphisms of DNA repair genes, smoking and use of alcohol. BMJ Open. 2014; 4: 1-8.

  16. Cardinale V, Semeraro R, Torrice A, Gatto M, Napoli C, Bragazzi MC, et al. Intra-hepatic and extra-hepatic cholangiocarcinoma: New insight into epidemiology and risk factors. World J Gastrointest Oncol. 2010; 2: 407-416.

  17. Grunnet M, Mau M. Serum tumor markers in bile duct cancer - a review. Biomarkers. 2014; 19: 437-443.

  18. Sameer AS. Colorectal cancer: molecular mutations and polymorphisms. Front Oncol. 2013; 3: 114.

  19. Aghagolzadeh P, Radpour R. New trends in molecular and cellular biomarker discovery for colorectal cancer. World J Gastroenterol. 2016; 22: 5678-5693.

  20. Iyevleva AG, Imyanitov EN. Cytotoxic and targeted therapy for hereditary cancers. Hered Cancer Clin Pract. 2016; 14: 1-13.

  21. Liu X, Newton RC, Scherle PA. Developing c-MET pathway inhibitors for cancer therapy: progress and challenges. Trends Mol Med. 2010; 16: 37-45.

  22. Parrilla P, Landa JI. Cirugía AEC: manual de la Asociación Española de Cirujanos. 3a edición. Madrid: Editorial Médica Panamericana; 2010, 47: 509-510.



AFFILIATIONS

1 Department of General Surgery, High-Specialty Hospital Christus Muguerza, Monterrey, Nuevo León, Mexico.



Ethical considerations and responsibility: Data privacy. In accordance with the protocols established at the authors\' work SITE, the authors declare that they have followed the protocols on patient data privacy while preserving their anonymity. The informed consent of the patient referred to in the article is in the possession of the author.

Funding: No financial support was received for this study.

Disclosure: The authors declare that they do not have any conflict of interest in this study.



CORRESPONDENCE

Alan Alejandro Garza-Cantú. E-mail: alangarzacantu@hotmail.com




Received: 08/08/2018. Accepted: 08/20/2019

Figure 1
Figure 2
Figure 3
Figure 4
Table 1

2020     |     www.medigraphic.com

Mi perfil

C?MO CITAR (Vancouver)

Cir Gen. 2020;42