medigraphic.com
SPANISH

Revista Mexicana de Ortopedia Pediátrica

ISSN 2007-087X (Print)
Órgano Oficial de la Sociedad Mexicana de Ortopedia Pediátrica
  • Contents
  • View Archive
  • Information
    • General Information        
    • Directory
  • Publish
    • Instructions for authors        
  • medigraphic.com
    • Home
    • Journals index            
    • Register / Login
  • Mi perfil

2020, Number 1-3

<< Back

Rev Mex Ortop Ped 2020; 22 (1-3)

Multiple fractures caused by dystonia and muscular spasms in a patient with mitochondriopathy homozygous ECHS-1 gene mutation

Martínez-Peniche JL, Vidal-Ruiz CA, Vanegas-Medellín M
Full text How to cite this article 10.35366/97455

DOI

DOI: 10.35366/97455
URL: https://dx.doi.org/10.35366/97455

Language: Spanish
References: 7
Page: 44-47
PDF size: 377.88 Kb.


Key words:

Fracture, dystonia, mitochondriopathy, ECHS-1.

ABSTRACT

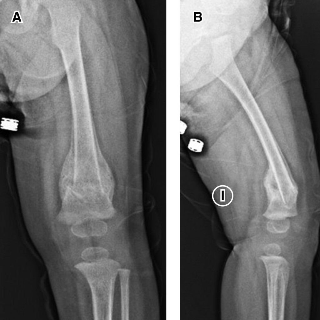
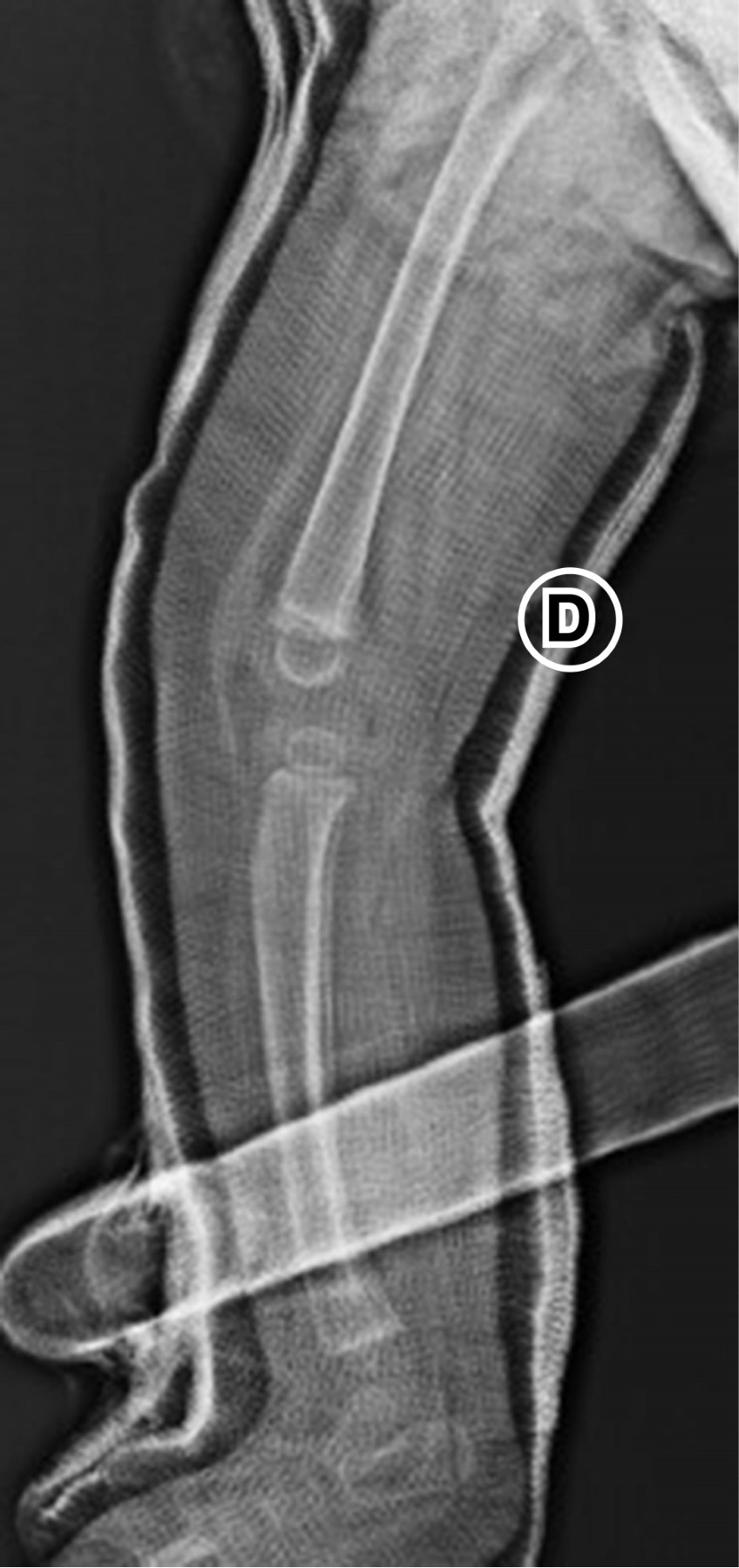
Mitochondriopathies are rare genetic mutations of mitochondrial nuclear DNA that affect primarily the respiratory chain, decreasing the production of cellular ATP. These mutations can be de novo or congenital and have a broad spectrum of clinical presentations. They were first reported in 1958 and four to five new cases are reported per 100,000 births annually. They manifest more frequently as symptoms in organs with high energetic demand and are a diagnostic challenge due to the heterogeneity of clinical manifestations. We present the case of a 16-month-old patient with homozygous deletion mutation of ECHS-1 and glucose-6-phosphate dehydrogenase deficiency. ECHS-1 deficiency has been reported in less than 30 cases worldwide. The deletion manifests in the present case as psychomotor retardation, gastroesophageal reflux, dystonia of difficult control and muscle spasms that have twice caused traction fractures in metaphysis of long leg bones.


REFERENCES

  1. Kliegman RM, St Geme JW, Blum NJ, Shah SS, Tasker RC, Wilson KM. Chapter 104. Defects in metabolism of lipids. In: Nelson textbook of pediatrics. Ed. 2. Elsevier 2020.

  2. Finsterer J. Mitochondriopathies. Eur J Neurol. 2004; 11: 163-186.

  3. Kniffin CL. Enoyl-coa hydratase, short-chain, 1, mitochondrial; ECHS1. Online mendelian inheritance in man. [05 February 2020] Recovered from: https://omim.org/entry/602292.

  4. Fitzsimons PE, Alston CL, Bonnen PE, Hughes J, Crushell E, Geraghty MT et al. Clinical, biochemical, and genetic features of four patients with short-chain enoyl-CoA hydratase (ECHS1) deficiency. Am J Med Genet. 2018; 176(5): 1115-1127.

  5. Peters H, Buck N, Wanders R, Ruiter J, Waterham H, Koster J et al. ECHS1 mutations in Leigh disease: a new inborn error of metabolism affecting valine metabolism. Brain. 2014; 137(11): 2903-2908.

  6. Ganetzky R, Stojinski C. Mitochondrial short-chain enoyl-CoA hydratase 1 deficiency. In: Adam MP, Ardinger HH, Pagon RA et al. editors. GeneReviews® [Internet]. Seattle (WA): University of Washington, Seattle; 1993-2020. [05 February 2020] Recovered from: https://www.ncbi.nlm.nih.gov/books/NBK542806/.

  7. Pajares S, Lopez RM, Gort L, Argudo-Ramirez A, Marin JL, Gonzalez de Aledo-Castillo JM et al. An incidental finding in newborn screening leading to the diagnosis of a patient with ECHS1 mutations. Mol Genet Metab. 2020; 22: 100553.



EVIDENCE LEVEL

IV




Figure 1
Figure 2
Figure 3
Figure 4

2020     |     www.medigraphic.com

Mi perfil

C?MO CITAR (Vancouver)

Rev Mex Ortop Ped. 2020;22