medigraphic.com
SPANISH

Acta Ortopédica Mexicana

ISSN 2992-8036 (Electronic)
ISSN 2306-4102 (Print)
Órgano Oficial del Colegio Mexicano de Ortopedia y Traumatología
  • Contents
  • View Archive
  • Information
    • General Information        
    • Directory
  • Publish
    • Instructions for authors        
  • medigraphic.com
    • Home
    • Journals index            
    • Register / Login
  • Mi perfil

2020, Number 4

<< Back Next >>

Acta Ortop Mex 2020; 34 (4)

Os odontoideum. Presentation in adult age

García-Ramos C, Mireles-Cano J, Rosales-Olivarez L, Alpizar-Aguirre A, Reyes-Sánchez A
Full text How to cite this article 10.35366/97557

DOI

DOI: 10.35366/97557
URL: https://dx.doi.org/10.35366/97557

Language: Spanish
References: 10
Page: 234-237
PDF size: 178.38 Kb.


Key words:

Os odontoideum, surgical treatment, internal fixation, pedicle screw, spinal fusion.

ABSTRACT

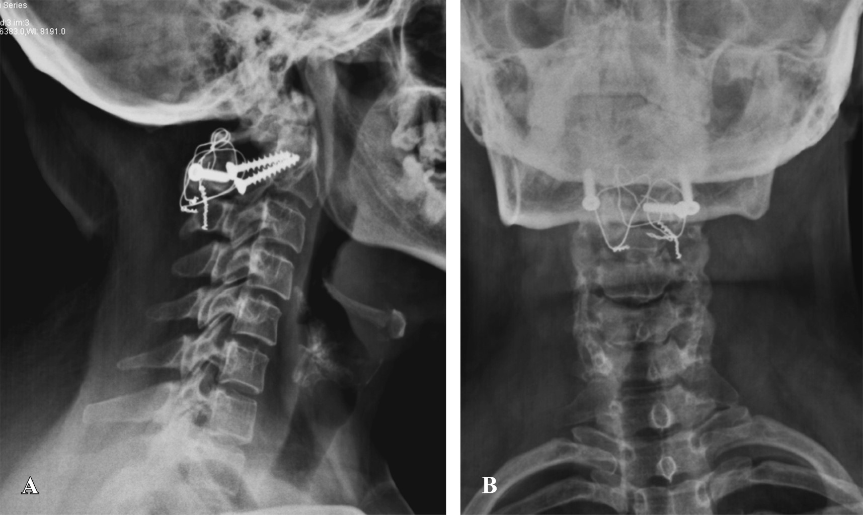
The os odontoideum is a variable oval or round ossicle with a smooth cortical border, which partially corresponds to the odontoid process, without having continuity with the rest of C2 bone. The multifactorial etiology causes instability and clinically translates into pain and compression data into neural structures. The treatment of choice is surgical and techniques have been developed that focus on preserving the stability of the segment. We present the case of a 23-year-old female patient, who begins to suffer at 8 years of age, refers to moderate to severe cervicalgia, which develops with paresthesias in the left hemisphere and later paresis of the left thoracic limb. Physical examination showed hypoaesthesia of the left hemisphere, as well as paresis of the left thoracic limb. Extension studies demonstrate chronic axonal lesion from C1 to C3, predominantly left, imaging studies showing axial instability and magnetic resonance bulbar compression. The patient receives surgical treatment consisting of posterior fixation C1-C2, evolving satisfactorily.


REFERENCES

  1. VanGilder JC, Menezes AH, Dolan KD. Embryology and development of the craniovertebral junction. In: VanGilder JC, Menezes AH, Dolan KD. The craneovertebral junction and its abnormalities. Mount Kisco, NY: Futura, 1988, 1-8.

  2. Hadley MN. Os odontoideum. Neurosurgery. 2002; 50(3): S148-S155.

  3. O’Rahilly R, Meyer DB. The timing and sequence in the development of the human vertebral column during the embryonic period proper. Anat Embryol. 1979; 157: 167-176.

  4. Fielding JW, Hensinger RN, Hawkins RJ. Os odontoideum. J Bone Joint Surg Am. 1980; 62: 376-83.

  5. Dai L, Yuan W, Ni B, et al. Os odontoideum: etiology, diagnosis, and managment. Surg Neurol. 2000; 53: 106-8.

  6. Martínez-Flores P, Chillón-Medina D, Escosa-Bage M, Manzanares-Soler R. Subluxación atloaxoidea. "Os odontoideum". Reducción y fijación posterior con alambres sublaminares en C1 anclados en tornillos pediculares de C2. Caso clínico. Neurocirugía. 2004; 15: 604-8.

  7. Stillerman CB, Roy RS, Weiss MH. Cervical spine injuries: diagnosis and managment. En: Rengachary W (ed). Neurosurgery. Cap. 285, 2nd ed. New York: McGraw-Hill, 1986, 2875-904.

  8. Dickman CA, Sonntag VKM, Papadopoulus SM, Hadley MN: The interspinous method of posterior atlantoaxial arthrodesis. J Neurosurg. 1991; 74: 190-8.

  9. Grob D, Crisco JJ, Panjabi MM, Wang P, Dvorak J. Biomechanical evaluation of four different posterior atlantoaxial fixation techniques. Spine. 1992; 17: 480-9.

  10. Wollin DG. The os odontoideum: separate odontoid process. J Bone Joint Surg Am. 1963; 45: 1459-71.




Figure 1
Figure 2
Figure 3

2020     |     www.medigraphic.com

Mi perfil

C?MO CITAR (Vancouver)

Acta Ortop Mex. 2020 Jul-Ago;34