medigraphic.com
SPANISH

Acta Ortopédica Mexicana

ISSN 2992-8036 (Electronic)
ISSN 2306-4102 (Print)
Órgano Oficial del Colegio Mexicano de Ortopedia y Traumatología
  • Contents
  • View Archive
  • Information
    • General Information        
    • Directory
  • Publish
    • Instructions for authors        
  • medigraphic.com
    • Home
    • Journals index            
    • Register / Login
  • Mi perfil

2020, Number 4

<< Back Next >>

Acta Ortop Mex 2020; 34 (4)

Primary repair with bioabsorbible anchor of anterior cruciate ligament in post-traumatic tibial avulsion

Muñoz-Galguera R, Gómez-Espíndola J
Full text How to cite this article 10.35366/97558

DOI

DOI: 10.35366/97558
URL: https://dx.doi.org/10.35366/97558

Language: Spanish
References: 21
Page: 238-241
PDF size: 173.56 Kb.


Key words:

Tibial spine, avulsion, anchor, repair, primary, ligament.

ABSTRACT

Introduction: Anterior cruciate ligament injuries are common, however, tibial avulsions in adults are rare. The gold standard continues to be reconstruction either by allograft or autologous graft. Primary repairs in femoral side lesions have been reported in recent years by bioabsorbable anchors. Case report: We present the case of a primary repair of anterior cruciate ligament due to tibial avulsion in a patient 19 years after presenting direct trauma with added lesions of posterior cruciate ligament and posterolateral corner. Primary repair was performed by trans-tendon portal with suture of the anterior cruciate ligament crossed by FiberTape and FiberWire with a SwiveLock anchor (4.75 mm) in tibial footprint. Results: Twelve months after surgery is with independent gait, full range of movement, with clinical rating scales, Tegner before injury and post-injury at 6, Lysholm 91, 73.6 subjective IKDC, objective IKDC in C and EQ-5D 0.79. Conclusion: Fixation with bioabsorbable anchor is possible in the avulsion of the post-traumatic tibial spine.


REFERENCES

  1. Robson AW. VI. Ruptured crucial ligaments and their repair by operation. Ann Surg. 1903; 37(5): 716-8.

  2. van der List JP, DiFelice GS. Primary repair of the anterior cruciate ligament: a paradigm shift. Surgeon. 2017; 15(3): 161-8.

  3. Palmer I. On the injuries to the ligaments of the knee joint. Acta Chir Scand. 1938; 53.

  4. O’Donoghue DH. An analysis of end results of surgical treatment of major injuries to the ligaments of the knee. J Bone Joint Surg Am. 1955; 37-A(1): 1-13; passim.

  5. O’Donoghue DH. Surgical treatment of fresh injuries to the major ligaments of the knee. J Bone Joint Surg Am. 1950; 32 A(4): 721-38.

  6. Feagin JA Jr, Curl WW. Isolated tear of the anterior cruciate ligament: 5-year follow-up study. Am J Sports Med. 1976; 4(3): 95-100.

  7. Andersson C, Odensten M, Good L, Gillquist J. Surgical or non-surgical treatment of acute rupture of the anterior cruciate ligament. A randomized study with long-term follow-up. J Bone Joint Surg Am. 1989; 71(7): 965-74.

  8. Engebretsen L, Benum P, Fasting O, Mølster A, Strand T. A prospective, randomized study of three surgical techniques for treatment of acute ruptures of the anterior cruciate ligament. Am J Sports Med. 1990; 18(6): 585-90.

  9. Grøntvedt T, Engebretsen L, Benum P, Fasting O, Mølster A, Strand T. A prospective, randomized study of three operations for acute rupture of the anterior cruciate ligament. Five-year follow-up of one hundred and thirty-one patients. J Bone Joint Surg Am. 1996; 78(2): 159-68.

  10. Grøntvedt T, Engebretsen L. Comparison between two techniques for surgical repair of the acutely torn anterior cruciate ligament. A prospective, randomized follow-up study of 48 patients. Scand J Med Sci Sports. 1995; 5(6): 358-63.

  11. Odensten M, Hamberg P, Nordin M, Lysholm J, Gillquist J. Surgical or conservative treatment of the acutely torn anterior cruciate ligament. A randomized study with short-term follow-up observations. Clin Orthop Relat Res. 1985; (198): 87-93.

  12. Sandberg R, Balkfors B, Nilsson B, Westlin N. Operative versus non-operative treatment of recent injuries to the ligaments of the knee. A prospective randomized study. J Bone Joint Surg Am. 1987; 69(8): 1120-6.

  13. Dhillon MS, Bali K, Prabhakar S. Differences among mechanoreceptors in healthy and injured anterior cruciate ligaments and their clinical importance. Muscles Ligaments Tendons J. 2012; 2(1): 38-43.

  14. Barrett DS. Proprioception and function after anterior cruciate reconstruction. J Bone Joint Surg Br. 1991; 73(5): 833-7.

  15. Busam ML, Provencher MT, Bach BR Jr. Complications of anterior cruciate ligament reconstruction with bone-patellar tendon-bone constructs: care and prevention. Am J Sports Med. 2008; 36(2): 379-94.

  16. Aga C, Wilson KJ, Johansen S, Dornan G, La Prade RF, Engebretsen L. Tunnel widening in single- versus double-bundle anterior cruciate ligament reconstructed knees. Knee Surg Sports Traumatol Arthrosc. 2017; 25(4): 1316-27.

  17. Griffith TB, Allen BJ, Levy BA, Stuart MJ, Dahm DL. Outcomes of repeat revision anterior cruciate ligament reconstruction. Am J Sports Med. 2013; 41(6): 1296-301.

  18. Sherman MF, Lieber L, Bonamo JR, Podesta L, Reiter I. The long-term followup of primary anterior cruciate ligament repair. Defining a rationale for augmentation. Am J Sports Med. 1991; 19(3): 243-55.

  19. DiFelice GS, Villegas C, Taylor S. Anterior cruciate ligament preservation: early results of a novel arthroscopic technique for suture anchor primary anterior cruciate ligament repair. Arthroscopy. 2015; 31(11): 2162-71.

  20. Ahn JH, Han KY, Yu IS, Koh KH. Arthroscopic treatment for tibial "Peel off" tears in anterior cruciate ligament-case report. Eur J Orthop Surg Traumatol. 2013; 23 Suppl 2: S251-5.

  21. Sheth MR, Tapasvi SR, Patil SS. Primary repair of tibial-sided avulsion of the anterior cruciate ligament. Arthrosc Tech. 2016; 5(4): e901-6.




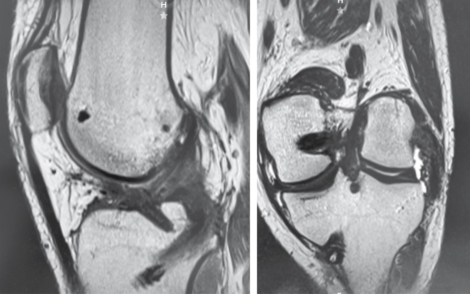
Figure 1
Figure 2
Figure 3
Figure 4
Figure 5

2020     |     www.medigraphic.com

Mi perfil

C?MO CITAR (Vancouver)

Acta Ortop Mex. 2020 Jul-Ago;34