medigraphic.com
SPANISH

Medicina Crítica

  • Contents
  • View Archive
  • Information
    • General Information        
    • Directory
  • Publish
    • Instructions for authors        
  • Policies
  • Lineamientos
  • medigraphic.com
    • Home
    • Journals index            
    • Register / Login
  • Mi perfil

2021, Number 2

<< Back Next >>

Med Crit 2021; 35 (2)

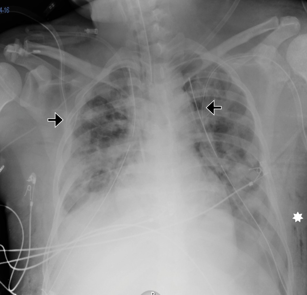
Extensive subcutaneous emphysema

Peña PCA, Carrillo ER, Meza MJM, Martínez BYI
Full text How to cite this article 10.35366/99531

DOI

DOI: 10.35366/99531
URL: https://dx.doi.org/10.35366/99531

Language: Spanish
References: 23
Page: 101-105
PDF size: 376.44 Kb.


Key words:

Subcutaneous emphysema, positive pressure ventilation, infection, classification, management.

ABSTRACT

Subcutaneous emphysema is common complication self-limited complication of tube thoracostomy. Any subcutaneous emphysema on positive pressure ventilation, causing palpable cutaneous tension, palpebral closure, dysphagia, and dysphonia or associated with pneumoperitoneum, airway compromise, "tension phenomenon" and respiratory failure is labelled extensive subcutaneous emphysema.


REFERENCES

  1. Rojas M, Rojas P, Toro C, Pinto D, Cifuentes C, Henríquez I, et al. Subcutaneous emphysema after ultrasonic treatment: a case report. Int J Odontostomal. 2009;3:67-70.

  2. Beck PL, Heltman SJ, Christopher H. Simple construction of a subcutaneous catheter for treatment of severe subcutaneous emphysema. Chest. 2002;121:647-649.

  3. Herlam DB, Landreneau RJ, Ferson PF. Massive spontaneous subcutaneous emphysema. Acute management with infraclavicular "Blow Holes". Chest. 1992;102:503-505.

  4. Nair K, Neville E, Rajesh P, Papaliya H. A simple method of pallition for gross subcutaneous surgical emphysema. J R Coll Surg Edinb. 1989;34:163-164.

  5. Terada Y, Matsunobe S, Nemoto T, Tsuda T, Shimizu Y. Palliation of severe subcutaneous emphysema with use of trocar-type chest tube as a subcutaneous drain. Chest. 1993;103:323.

  6. Rydell J, Jennings W. Emergency cervical mediastonotomy for massive mediastinal emphysema. Arch Surg. 1955;70:647-653.

  7. Abu-Omar Y, Catarino PA. Progressive subcutaneous emphysema and respiratory arrest. J R Soc Med. 2002;95:90-91.

  8. O'Reilly P, Chen HK, Wiseman R. Management of extensive subcutaneous emphysema with a subcutaneous drain. Respirol Case Rep. 2013;1:28-30.

  9. Aghajanzadeh M, Dehnado A, Ebrahimi H, Fallah-Karkan M, Khaje-Jahromi S, Amir-Maafi A, et al. Classification and Management of Subcutaneous Emphysema: a 10-year experience. Indian J Surg. 2015;77(Suppl 2):S673-S677.

  10. Johnson CH, Lang SA, Bilal H, Rammohan KS. In patients with extensive subcutaneous emphysema, which technique achieves maxima clinical resolution: infraclavicular incisions, subcutaneous drain insertion or suction on in situ chest drain? Interact Cardiovasc Thorac Surg. 2014;18:825-829.

  11. Leo F, Solli P, Veronesi G, Spaggiari L, Pastorino U. Efficacy of microdrainage in severe subcutaneous emphysema. Chest. 2002;122:1498-1499.

  12. Sherif HM, Ott DA. The use of subcutaneous drains to manage subcutaneous amphysema. Tex Heart Inst J. 1999;26:129-131.

  13. Cesaria A, Margaritora S, Porziella V, Granone P. Microdrainage via open technique in severe subcutaneous emphysema. Chest. 2003;123:2161-2162.

  14. Byun CS, Choi JH, Hwang JJ, Kim DH, Cho HM, Seok JP. Vacuum-assisted closure therapy as an alternative treatment of subcutaneous emphysema. Korean J Thorac Cardiovasc Surg. 2013;46:383-387.

  15. Cerfolio RJ, Bryant AS, Maniscalco LM. Management of subcutaneous emphysema after pulmonary resection. Ann Thorac Surg. 2008;85:1759-1765.

  16. Lloyd MS, Jankowksi MP. Treatment of life-threatening surgical emphysema with liposuction. Plast Reconstr Surg. 2009;123:77e-78e.

  17. Kelly MC, McGuigan JA, Allen RW. Relief of tension subcutaneous emphysema using a large bore subcutaneous drain. Anaesthesia. 1995;50:1077-1079.

  18. Srinivas R, Singh N, Agarwal R, Aggaewal AN. Management of extensive subcutaneous emphysema and pneumomediastinum by microdrainage: time for a rethink? Singapore Med J. 2007;48:e323.

  19. Ozdogan M, Gurer A, Gokakin AG, Gogkus S, Gomceli I, Aydin R. Treatment of severe subcutaneous emphysema bu fenestrated angiocatheter. Intensive Care Med. 2005;31:168.

  20. Matsushita T, Tuan Huynh A, Singh T, Thomson D. Management if life-threatening subcutaneous emphysema using subcutaneous Penrose drains and colostomy bags. Heart Lung Circ. 2007;16:469-471.

  21. Dumont SW, Farag A. Life threatening subcutaneous emphysema. Anaesthesia. 2008;63:212-213.

  22. Turnbull DK, Heap MJ. Subcutaneous emphysema and respiratory failure managed with infrclavicular blow holes. Acta Anaesthesiol Scand. 2002;46:227.

  23. Vijayalakshmi AM, Thinakar Vel M. Subcutaneous emphysema. Indian Pediatr. 2003;40:1092-1093.




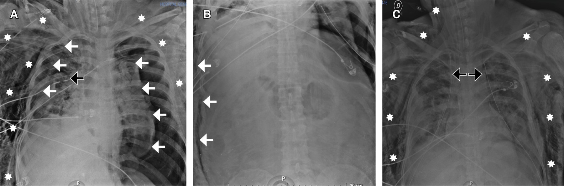
Figure 1
Figure 2
Figure 3
Figure 4

2020     |     www.medigraphic.com

Mi perfil

C?MO CITAR (Vancouver)

Med Crit. 2021;35