medigraphic.com
SPANISH

Revista Latinoamericana de Infectología Pediátrica

ISSN 2683-1678 (Print)
Órgano Oficial de la Sociedad
Latinoamericana de lnfectología Pediátrica.
Órgano de la Asociación Mexicana de
Infectología Pediátrica, A.C.
Órgano difusor de la Sociedad Española
de lnfectología
  • Contents
  • View Archive
  • Information
    • General Information        
    • Directory
  • Publish
    • Instructions for authors        
  • medigraphic.com
    • Home
    • Journals index            
    • Register / Login
  • Mi perfil

2021, Number 1

<< Back

Rev Latin Infect Pediatr 2021; 34 (1)

Paracoccidiodomycosis in pediatric population: literature review

González-Restrepo DS, Benavides I, Ramírez L, López P
Full text How to cite this article 10.35366/99828

DOI

DOI: 10.35366/99828
URL: https://dx.doi.org/10.35366/99828

Language: Spanish
References: 10
Page: 48-50
PDF size: 200.11 Kb.


Key words:

Pediatric population in paracoccidiodomycosis, paracoccidioidomycosis.

ABSTRACT

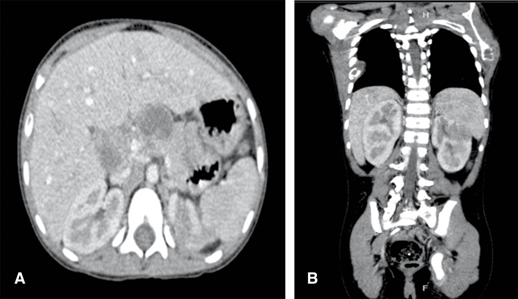
Paracoccidioidomycosis is a disease that generally occurs in adult men whose labor is associated with agricultural activities in Latin America. In this population the mycosis manifests in a chronic form. On the other hand, in the pediatric population its prevalence is lower, lung involvement is not common and it is expressed in an acute/subacute form. Next, we present the case of a 7-year-old female patient who was diagnosed with this mycosis by liver biopsy. The clinical and paraclinical findings and a literature review are described.


REFERENCES

  1. Benett JE, Dolin R, Blaser MJ. Mandell, Douglas y Bennett. Enfermedades infecciosas: principios y práctica. Capítulo 269. 8a ed. Barcelona: Elsevier; 2015. pp. 3166-3174.

  2. Martinez R. New trends in paracoccidioidomycosis epidemiology. J Fungi (Basel). 2017; 3 (1): 1.

  3. Martinez R. Epidemiology of paracoccidioidomycosis. Rev Inst Med Trop Sao Paulo. 2015; 57 (Suppl 19): 11-20.

  4. Ryan ET, Hill DR, Solomon T, Aronson N, Endy TP. Hunter's tropical medicine and emerging infectious diseases. Chapter 80. 10th edition. London: Elsevier; 2020. p. 674.

  5. Choque Barrera M, Suárez Barrientos EL, Calderón López ME. Paracoccidioidomicosis, a propósito de un caso. Gac Med Bol. 2015; 38 (1): 30-33.

  6. Cherry J, Demmler-Harrison GJ, Kaplan SL, Steinbach WJ, Hotez P. Feigin and cherry's textbook of pediatric infectious diseases. 8th ed. Philadelphia, PA: Elsevier; 2019.

  7. American Academy of Pediatrics. Paracoccidioidomycosis. In: Kimberlin DW, Brady MT, Jackson MA, Long SS, eds. Red Book: 2018 Report of the Committee on Infectious Diseases. 30th ed. Elk Grove Village, IL: American Academy of Pediatrics; 2018. p. 590.

  8. de Arruda JAA, Schuch LF, Abreu LG, Silva LVO, Mosconi C, Monteiro JLGC et al. A multicentre study of oral paracoccidioidomycosis: analysis of 320 cases and literature review. Oral Dis. 2018; 24 (8): 1492-1502. doi: 10.1111/odi.12925.

  9. Cole DC, Govender NP, Chakrabarti A, Sacarlal J, Denning DW. Improvement of fungal disease identification and management: combined health systems and public health approaches. Lancet Infect Dis. 2017; 17 (12): e412-e419.

  10. Trindade AH, Meira HC, Pereira IF, de Lacerda JCT, de Mesquita RA, Santos VR. Oral paracoccidioidomycosis: retrospective analysis of 55 Brazilian patients. Mycoses. 2017; 60 (8): 521-525.




Figure 1
Figure 2

2020     |     www.medigraphic.com

Mi perfil

C?MO CITAR (Vancouver)

Rev Latin Infect Pediatr. 2021;34