medigraphic.com
SPANISH

Revista Mexicana de Cirugía Endoscópica

ISSN 1665-2576 (Print)
  • Contents
  • View Archive
  • Information
    • General Information        
    • Directory
  • Publish
    • Instructions for authors        
    • Send manuscript
  • medigraphic.com
    • Home
    • Journals index            
    • Register / Login
  • Mi perfil

2020, Number 3

<< Back

Rev Mex Cir Endoscop 2020; 21 (3)

Hand-assisted laparoscopic splenectomy for massive esplenomegaly - volume spleen

Pérez PY, Santana PCA, Muciño PL?, Gutiérrez VJL
Full text How to cite this article 10.35366/99843

DOI

DOI: 10.35366/99843
URL: https://dx.doi.org/10.35366/99843

Language: Spanish
References: 30
Page: 166-173
PDF size: 279.40 Kb.


Key words:

Massive splenomegaly, hand-assisted laparoscopy, anemia, minimally invasive, idiopatic thrombocytopenic purpura, splenectomy.

ABSTRACT

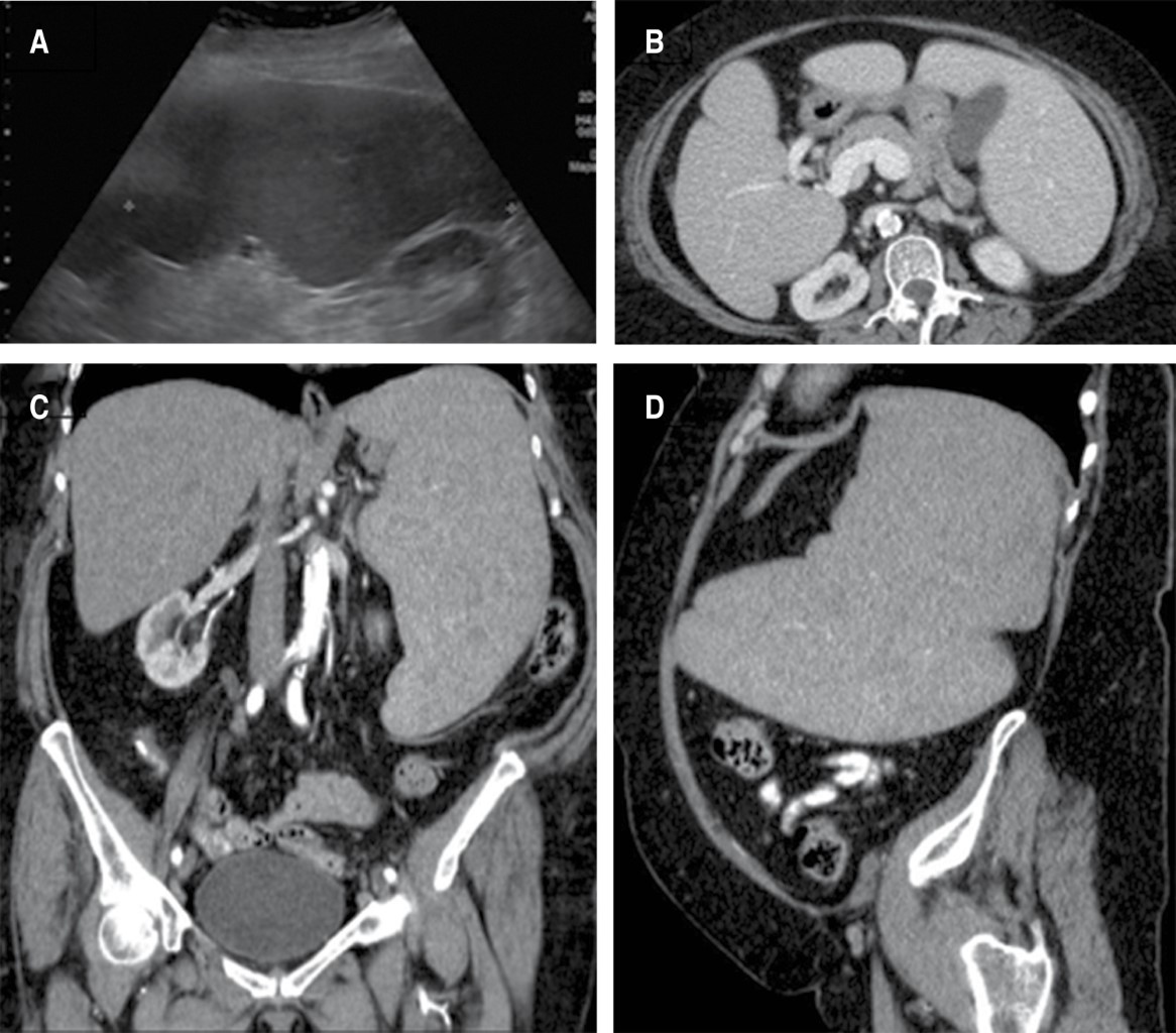
Introduction: Minimally invasive surgery has constantly evolved since the 1980's; multiple international centres have developed devices and approaches with the intention of reducing the risk of haemorrhage, postoperative pain and hospital stay, as well as improving cosmetic results. These improvements have positioned laparoscopic approach as the main option for the non – urgent splenic resection. Methods and material: The case presents a 74-year-old female with multiple comorbidities, chronic anemia and difuse abdominal pain, predominant in the upper left cuadrant; palpable splenomegaly down to the left iliac crest; US and CT shows a 20 × 17 × 8 cm spleen, with a calculated volume of 1400 cm3. Hand-assisted laparoscopic approach is performed through 3 ports; vascular control with endostapler, finding a 25 × 15 × 10 cm spleen. Results: Satisfactory postoperative evolution and patient discharge at day 4 with significant haemoglobin rise and cese of abdominal pain. Conclusion: Integral selection and meeting of criteria in patients with massive splenomegalia, improves the surgical treatment. Hand-assisted laparoscopic splenectomy (HALS) is a viable option, which allows an optimized movility of the spleen and adjacent structures and which reduce the risk of surgical convertion to open surgery, less associated morbility and still preserves the benefits of minimally invasive surgery.


REFERENCES

  1. Delaitre B, Maignien B. Splenectomy by the laparoscopic approach. Report of a case. Presse Med. 1991; 20: 2263.

  2. Habermalz B, Sauerland S, Decker G, Delaitre B, Gigot JF, Leandros E et al. Laparoscopic splenectomy: the clinical practice guidelines of the European Association for Endoscopic Surgery (EAES). Surgl Endosc. 2008; 22: 821-848. Available in: https://doi.org/10.1007/s00464-007-9735-5.

  3. Fisichella PM, Wong YM, Pappas SG, Abood GJ. Laparoscopic splenectomy: perioperative management, surgical technique, and results. Journal of Gastrointestinal Surgery. 2014; 18: 404-410. Available in: https://doi.org/10.1007/s111605-013-2366-3.

  4. Filipi CJ, Fitzgibbons RJ, Salerno GM. In: Zucker KA, (ed). Historical review, diagnostic laparoscopy to laparoscopic cholecystectomy and beyond surgical laparoscopy. Quality Medical Publishing, Inc. St Louis Missouri. 1991, pp. 12-27.

  5. Bonnet S, Guédon A, Ribeil JA, Suarez F, Tamburini J, Gaujoux S. Indications and outcome of splenectomy in hematologic disease. J Visc Surg. 2017; 154: 421-429. Available in: https://doi.org/10.1016/j.jviscsurg.2017.06.011.

  6. Romano F, Caprotti R, Franciosi C et al. Laparoscopic splenectomy using ligasure-Preliminary experience. Surg Endosc. 2002; 16: 1608-1611.38.

  7. Lavu H. The feasibility and safety of laparoscopic splenectomy for massive splenomegaly: a comparative study. J Surg Res. 2012; 178: 119-120. Available in: https://doi.org/10.1016/j.jss.2011.09.006.

  8. Kim-Koha MJ, Souza-Gallardo LM. Esplenectomía laparoscópica como tratamiento para la púrpura trombocitopénica idiopática y la esplenomegalia masiva en un hospital de segundo nivel. Revista de la Facultad de Medicina de la UNAM. 2017. doi.org/10.22201.fm.24484865e.2018.61.6.03.

  9. Weledji EP. Benefits and risks of splenectomy. Int J Surg. 2014; 12: 113-119. doi: 10.1016/j.ijsu.2013.11.017.

  10. Moris D, Dimitriou N, Griniatsos J. Laparoscopic splenectomy for benign hematological disorders in adults: a systematic review. In vivo. 2017; 31: 291-302. Available in: https://doi.org/10.21873/invivo.11058.

  11. Corcione F, Pirozzi F, Aragiusto G, Galante F, Sciuto A. Laparoscopic splenectomy: experience of a single center in a series of 300 cases. Surg Endosc. 2012; 26: 2870-2876. https://doi.org/10.1007/s00464-012-2272-x

  12. Cadili A, De Gara C. Complications of splenectomy. Am J Med. 2008; 121: 371-375. Available in: https://doi.org/10.1016/j.amjmed.2008.02.014.

  13. Keramidas D, Büyükünal C, Senyüz O, Dolatzas T. Splenic artery ligation: a ten-year experience in the treatment of selected cases of splenic injuries in children. Jpn J Surg. 1991; 21: 172-177.

  14. Palandri F, Polverelli N, Sollazzo D, Romano M, Catani L, Cavo M, Vianelli N. Have splenectomy rate and main outcomes of ITP changed after the introduction of new treatments? A monocentric study in the outpatient setting during 35 years. Am J Hematol. 2016; 91: E267-E272. Available in: https://doi.org/10.1002/ajh.24310.

  15. Somasundaram SK, Massey L, Gooch D, Reed J, Menzies D. Laparoscopic splenectomy is emerging "gold standard" treatment even for massive spleens. Ann R Coll Surg Engl. 2015; 97: 345-348. Available in: https://doi.org/10.1308/003588414X14055925060479.

  16. O'Reilly RA. Splenomegaly in 2,505 patients in a large university medical center from 1913 to 1995. 1913 to 1962: 2,056 patients. West J Med. 1998; 169: 78-87.

  17. Bellows CF, Sweeney JF. Laparoscopic splenectomy: present status and future perspective. Expert Rev Med Devices. 2006; 3: 95-104. Available in: https://doi.org/10.1586/17434440.3.1.95.

  18. Di Franco G, Gianardi D, Bianchini M, Palmeri M, Morelli L. The role of hand-assisted laparoscopic splenectomy for mega spleens in the da Vinci era. J Robot Surg. 2019; 13: 791-792. Available in: https://doi.org/10.1007/s11701-019-00985-4.

  19. Casaccia M, Sormani MP, Palombo D, Dellepiane C, Ibatici A. Laparoscopic splenectomy versus open splenectomy in massive and giant spleens: should we update the 2008 EAES Guidelines? Surg Laparosc Endosc Percutan Tech. 2019; 29: 178-181. Available in: https://doi.org/10.1097/SLE.0000000000000637.

  20. Meijer DW, Gossot D, Jakimowicz JJ, De Wit LT, Bannenberg JJ, Gouma DJ. Splenectomy revised: manually assisted splenectomy with the dexterity device--a feasibility study in 22 patients. J Laparoendosc Adv Surg Tech A. 1999; 9: 507-510. doi: 10.1089/lap.1999.9.507.

  21. Litwin DE, Darzi A, Jakimowicz J, Kelly JJ, Arvidsson D, Hansen P et al. Hand-assisted laparoscopic surgery (HALS) with the HandPort system: initial experience with 68 patients. Ann Surg. 2000; 231: 715-723. doi: 10.1097/00000658-200005000-00012.

  22. Hellman P, Arvidsson D, Rastad J. HandPort-assisted laparoscopic splenectomy in massive splenomegaly. Surg Endosc. 2000; 14 (12): 1177-1179. doi: 10.1007/s004640000210.

  23. Gkegkes ID, Mourtarakos S, Iavazzo C. Single-incision laparoscopic splenectomy. JSLS. 2014; 18: e2014.00350. doi: 10.4293/JSLS.2014.00350.

  24. Gelmini R, Romano F, Quaranta N, Caprotti R, Tazzioli G, Colombo G et al. Sutureless and stapleless laparoscopic splenectomy using radiofrequency: LigaSure device. Surg Endosc. 2006; 20: 991-994. Available in: https://doi.org/10.1007/s00464-005-0470-5.

  25. Bessoud B, Denys A. Main splenic artery embolization using coils in blunt splenic injuries: effects on the intrasplenic blood pressure. Eur Radiol. 2004; 14: 1718-1719.

  26. Sclafani SJ. The role of angiographic hemostasis in salvage of the injured spleen. Radiology. 1981; 141: 645-650.

  27. Poulin E, Thibault C, Mamazza J, Girotti M, Coté G, Renaud A. Laparoscopic splenectomy: clinical experience and the role of preoperative splenic artery embolization. Surg Laparosc Endosc. 1993; 3: 445-450.

  28. Esplenectomía. Guía de Evidencias y Recomendaciones: Guía de Práctica Clínica México. CENETEC; 2015.

  29. Tahir F, Ahmed J, Malik F. Post-splenectomy sepsis: a review of the literature. Cureus. 2020; 12: e6898. doi: 10.7759/cureus.6898.

  30. Luu S, Spelman D, Woolley IJ. Post-splenectomy sepsis: preventative strategies, challenges, and solutions. Infect Drug Resist. 2019; 12: 2839-2851. Available in: https://doi.org/10.2147/IDR.S179902.




Figure 1
Figure 2
Figure 3
Figure 4
Table 1
Table 2

2020     |     www.medigraphic.com

Mi perfil

C?MO CITAR (Vancouver)

Rev Mex Cir Endoscop. 2020;21