medigraphic.com
SPANISH

Orthotips AMOT

ISSN 2007-8560 (Print)
Órgano Oficial de Difusión Científica de la Federación Mexicana de Colegios de Ortopedia y Traumatología, A.C. (FEMECOT)
  • Contents
  • View Archive
  • Information
    • General Information        
    • Directory
  • Publish
    • Instructions for authors        
  • medigraphic.com
    • Home
    • Journals index            
    • Register / Login
  • Mi perfil

2021, Number 2

<< Back Next >>

Ortho-tips 2021; 17 (2)

Clinical radiological evaluation of the use of a new device for the closed reduction of distal radio fractures

Sáyago RF, García TGS
Full text How to cite this article 10.35366/99904

DOI

DOI: 10.35366/99904
URL: https://dx.doi.org/10.35366/99904

Language: Spanish
References: 26
Page: 98-107
PDF size: 372.38 Kb.


Key words:

Device, distal radius fracture, edema, empirical, closed reduction, shooting.

ABSTRACT

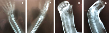
Distal radius fractures are frequent and represent 55% of the total in children and adults as well as 1.5% of the total emergency room visits. In children, 90% are managed with closed reduction and application of plaster; in adults, treatment varies according to type, experience of the doctor and general condition of the patient. In this setting, it is common for primary care to be delayed due to empirical events, causing significant inflammation and edema, which makes the closed reduction of the fracture difficult, causing the need for open reduction. The present work shows a steel device, designed for the closed reduction of distal radius fractures that was used in public hospitals in Navojoa, Sonora, Mexico. Thirty patients with displaced distal radius fracture with an evolution between one and seven days, from 2017 to 2019, were documented. Standard radiological measurements were performed before and after reduction, obtaining results of 96.66% of the cases with satisfactory alignment, and statistically significant difference between pre and post indices (p < 0.05). One case required surgical treatment for poor correction, no distal neurovascular complications caused by the reduction mechanism were documented. Biomechanical tests were performed on the device that showed advantages over the traditional thumb reduction technique. It is concluded that this device for the closed reduction of distal radius fractures is an effective tool and that it is possible to favor its use.


REFERENCES

  1. Nellans KW, Kowalsaky E, Chung KC. The epidemiology of distal radius fractures. Hand Clin. 2012; 28 (2): 113-125.

  2. Wood AM, Robertson GA, Renie L, et al. The epidemiology of sport-related fractures in adolescent. Injury. 2010; 41 (8): 834-838.

  3. Pountos I, Clegg J, Siddiqui A. Diagnosis and treatment of greenstik and tours fractures of the distal radius in children: A prospective randomized single blind study. J Child Orthop. 2010; 4 (4): 321-326.

  4. Colles A. On the fracture of the carpal extremity of the radius. Edinb Med Surg J, 1814; 10: 181.

  5. Chung KC, Shauver MJ, Birkmeyer JD. Trends in the United Estates in the treatment of distal radial fractures in the ederly. J Bone Joint Surg Am. 2009; 91 (8): 1868-1873.

  6. Pedersen J, Oksbjerre MS, Duedal RJ, et al. A protocol for a single-center, single-blinded randomized-controlled trial investigating volar plating versus conservative treatment of unestable distal radius fractures in patients older than 65 years. BMC Muskuloskelet Disord. 2019; 20 (1): 309.

  7. Martinez-Mendez D, Lizaur-Utrilla A, de-Juan-Herrera J. Intra-articular distal radius fracturesin elderly: a randomized prospective study casting versus volar plating. J Hand Surgery. 2018; 43 (2): 142-147.

  8. Aparicio P, Izquierdo O, Castellanos J. Conservative treatment of distal radius fractures: a prospoctive descriptive study. Hand (NY). 2018; 13 (4): 448-454.

  9. Rangel RR, Duran MN, Matuz JJ. Evaluacion clínico-radiológico de fracturas distales de radio tratadas con técnica percutánea. Acta Ortop Mex. 2010; 24 (3): 169-176.

  10. Walenkamp MM, Carel GJ, Beumer A, et al. Surgery versus conservative treatment in patients with type A distal radius fractures, a randomized controlled trial. BMC Musculoskelet Disord. 2014; 15 (1): 90.

  11. Serrano CM. Fracturas distales de radio clasificación y tratamiento conservador. Revista Española Cirugía Osteoarticular. 2008; 46 (236): 141-154.

  12. Chung KC, Shauver MJ, Yin H, et al. Variations in the use of internal fixation for distal radial fracture in the United States medicare population. J Bone Joint Surg Am. 2011; 93 (23): 2154-2162.

  13. Seely MA, Fabricant PD, Lawrence JT. Teaching the basics: development and validation of a distal radius reduction an casting model. Clin Orthop Relat Res. 2017; 475 (9): 2298-2305.

  14. Clayton RA, Gaston MS, Ralston SH, et al. Association between decreased bone mineral density and severity of distal radial fractures. J Bone Joint Surg Am. 2009; 91 (3): 613-619.

  15. Yao Sen Wu, Jie Yang, Lin Zhen, et al. Factors associated with the decision for operative versus conservative treatment of displaced distal radius fractures in the elderly. Anz J Surg. 2019; (89): E428-E432.

  16. Waljee JF, Zhong L, Shauver MJ, et al The influence of surgeron age on distal radius fracture treatment in the United States a population-based study. J Hand Surg Am. 2014; 39 (5): 844-851.

  17. Dialey SK, Miller AR, Kakasu R, Wyrick JD, Stern PJ. The effectiveness of mini-C-arm fluoroscopy for the closed reduction of distal radius fractures in adults: A randomized controlled trial. J Hand Surg. 2018; 43 (10): 927-931.

  18. Marie-Jeanne DC. Protección y Cura Medicina Tradicional en comunidades negras de la costa chica Oax. México D.F. Programa Universitario de Estudios de la Diversidad cultural y la interculturalidad. 2017; 1 (9): 35-53.

  19. Anderson R. The treatment of musculoskeletal disorders by a Mexican bonesetter (SOBADOR). Soc Sci Med. 1987; 24 (1): 43-46.

  20. Huber BR, Anderson R. Bonesetters and curers in a Mexican community: Conceptual models, status, and gender. Med Anthropol. 1996; 17 (1): 23-38.

  21. Liles R, Fierson JN, Wolf CI, et al. Reduction of Colles' fracture by weight traction under local anesthesia. South Med J. 1969; 62 (1): 45-48.

  22. Earnshaw SA, Aladin A, Surendran S, et al. Closed reduction of Colles fractures: comparison of manual manipulation and finger-trap traction: a prospective, randomized study. J Bone Joint Surg Am. 2002; 84 A: 354-358.

  23. Eichinger JK, Aguchukwu U, Franklin J, et al. A new reduction technique for completly displaced forearm and wrist fractures in children: a boimechanical assesment and 4-year clinical evaluation. J Pediatr Orthp. 2001; 31 (7): e73-e79.

  24. Gartland JJ Jr, Werley CW. Evaluation of healed Colles' fractures. J Bone Surg Am. 1951; 33-A(4): 895-907.

  25. Solongo T, Audige L, Clavert JM, et al. The AO comprehensive classification of pediatric long-bone fractures: a web-based multicenter agreement study. J Pediatr Orthop. 2007; 27: 171-180.

  26. Salter K, Harris WR. Injuries involving the epiphyseal plate. J Bone Joint Surg Am. 1963; 45 (45): 587-622.




Figure 1
Figure 2
Figure 3
Figure 4
Figure 5
Figure 6
Figure 7
Figure 8
Figure 9
Table 1
Table 2

2020     |     www.medigraphic.com

Mi perfil

C?MO CITAR (Vancouver)

Ortho-tips. 2021;17