Casos Clínicos
Neumología.
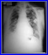
CASO 1
Masculino de 84 años de edad, sin antecedentes heredo-familiares
de importancia, tabaquismo por 15 años durante su juventud
con un índice tabáquico de 9 paquetes/año.
Antecedente laboral de perforista en una mina de oro y plata
por 23 años sin uso de equipo de protección
personal. Inicia su padecimiento hace 20 años caracterizado
por tos con expectoración escasa de predominio matutino
que ha evolucionado con disnea progresiva hasta los medianos
esfuerzos; además refiere hiporexia, astenia y adinamia.
A la exploración física eutérmico, sin
datos de cianosis, campos pulmonares hipoventilados con estertores
crepitantes escasos.
Observe cuidadosamente la placa y de acuerdo a la descripción
del caso opine:

a) Cáncer broncogénico
b) Neumonía basal derecha
c) Derrame pleural
d) Neumoconiosis
e) Bronquitis crónica
Observe los resultados de la mecánica pulmonar y elija
las posibles opciones:
Peso: 65 Kg. Talla: 1.69 mts IMC: 22.8
| |
PRED |
BASAL |
% |
POSBRO |
% |
| FVC |
4.16 |
2.60 |
62 |
2.74 |
66 |
| FEV1 |
2.84 |
1.70 |
60 |
1.75 |
62 |
| REL |
68 |
65 |
-2 |
64 |
-4 |
| PEF |
7.61 |
4.50 |
59 |
4.50 |
59 |
| FEF25-75 |
4.27 |
1.00 |
23 |
1.00 |
23 |
| FEF75-85 |
1.52 |
0.30 |
20 |
0.30 |
20 |
| Gasometría |
PaO2 |
PaCO2 |
pH |
HbO2 |
| 54 |
31 |
7.40 |
82 |
a) Obstrucción general de grado moderado con pobre
respuesta al broncodilatador
b) Patrón mixto de grado moderado a severo con paupérrima
respuesta al broncodilatador sólo a nivel central
c) Restricción de grado moderado
d) Insuficiencia respiratoria simple
e) Insuficiencia respiratoria mixta
Las neumoconiosis son enfermedades fibrosas
crónicas por inhalación de polvos inorgánicos.
La inhalación considerable o prolongada de partículas
libres de sílice (dióxido de silicio) en el
limite respirable (0.3 a 5um) causa la formación de
pequeñas opacidades redondas (nódulos silicóticos)
en todo el pulmón. La calcificación de la periferia
de los ganglios hiliares (cascarón de huevo) sugiere
firmemente silicosis. Suelen ser asintomáticas y únicamente
se presentan síntomas cuando se complican. Cuando el
padecimiento se encuentra en fases avanzadas el síntoma
preponderante es la disnea, con datos funcionales de obstrucción
de vías aéreas centrales hasta patrones restrictivos
con hipoxemias importantes. La frecuencia de tuberculosis
es mayor en pacientes con silicosis crónica por lo
que se recomienda hacer pruebas cutáneas de tuberculina.
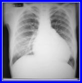
CASO 2
Femenino de 27 años de edad, sin antecedentes heredo
familiares de importancia. Tabaquismo positivo desde los 20
años con un índice tabáquico de 3 paquetes/año.
Tiene diagnóstico de esclerodermia desde hace 5 años,
tratada a base de prednisona. Inicia su vida laboral a los
18 años de edad como ayudante general en una empresa
de aparatos electrónicos (armado de teléfonos);
desde su ingreso ha estado en el área de soldadura
de circuitos. Refiere iniciar su padecimiento con fiebre,
malestar general y disnea progresiva a los medianos esfuerzos.
A la exploración física: femenina de edad aparente
mayor a la cronológica, inexpresiva, arcos de movilidad
en manos limitada a expensas de acartonamiento de piel, tórax,
rectilíneo, con presencia de estertores crepitantes
bilaterales bibasales.
Observe cuidadosamente la placa y sugiera de acuerdo al caso
descrito:

a) Fibrosis pulmonar difusa (E.S.P)
b) Neumonía
c) Bronquitis crónica
d) Pericarditis
e) Bronquiolitis obliterante
Observe cuidadosamente los resultados de la mecánica
pulmonar e interprete:
Peso: 37.5 Kg. Talla: 1.59 mts. IMC: 14.8
| |
PRED |
BASAL |
% |
POSBRO |
% |
| FVC |
3.91 |
2.56 |
65 |
2.56 |
65 |
| FEV1 |
3.30 |
1.98 |
60 |
1.98 |
60 |
| REL |
85 |
77 |
-7 |
77 |
-7 |
| PEF |
8.54 |
5.00 |
59 |
5.00 |
59 |
| FEF25-75 |
3.98 |
1.80 |
45 |
1.80 |
45 |
| FEF75-85 |
1.83 |
0.73 |
40 |
0.73 |
40 |
| Gasometría |
PaO2 |
PaCO2 |
pH |
HbO2 |
| 54 |
31 |
7.40 |
82 |
a) Restricción mínima de vías centrales
b) Restricción de grado moderado con hipocapnia mínima
c) Patrón mixto de grado moderado, con hipoxemia moderada
d) Insuficiencia respiratoria simple
e) Insuficiencia respiratoria mixta
La fibrosis pulmonar agrupa padecimientos
respiratorios subagudos y crónicos que afectan primaria
y difusamente al parénquima pulmonar, intersticio y
espacios alveolares, algunas variantes afectan las vías
aéreas periféricas. Estas enfermedades se clasifican
en primarias (idiopáticas), secundarias (enfermedades
colagenovasculares, transplante, y por agresores conocidos
como: radiaciones, partículas orgánicas e inorgánicas).
Clínicamente puede acompañarse de cianosis generalizada,
taquipnea, acropaquia, estertores crepitantes y subcrepitantes
así como ataque al estado general. Los Rx de tórax
muestran imagen en vidrio despulido, infiltrado micronodular,
con patrón reticular o reticulonodular. Funcionalmente
el patrón espirométrico típico es el
restrictivo y dependiendo de la evolución o etapa del
padecimiento, puede ser mixto. En la etapa inicial podemos
encontrar mínima a moderada restricción con
diferentes grados de hipoxemia.
CASO 3
Masculino de 59 años de edad, con carga materna de
asma. Tabaquismo negativo. Inicia vida laboral a los 18 años
de edad, al ingresar a una empresa de detergentes como ayudante
general. Refiere asma desde los 16 años de edad controlado
con broncodilatadores y esteroides inhalados de dosis medida.
Inicia su padecimiento al notar exacerbaciones y remisiones
de tos seca, sibilancias y disnea sobre todos al estar en
contacto con polvos en centro de trabajo. A la exploración
física, masculino sin datos de insuficiencia cardio-respiratoria,
campos pulmonares con buena entrada y salida de aire.
Observe cuidadosamente la placa y opine:

a) Alveolitos alérgica extrínseca
b) Asma
c) Hiperreactividad bronquial
d) Enfisema pulmonar
e) Bronquiolitis
Observe los resultados de la mecánica pulmonar y opine:
Peso: 64.5 Kg. Talla: 1.72 mts IMC: 21
| |
PRED |
BASAL |
% |
POSBRO |
% |
| FVC |
4.81 |
3.04 |
63 |
4.41 |
92 |
| FEV1 |
3.64 |
1.94 |
53 |
3.27 |
90 |
| REL |
74 |
64 |
-10 |
74 |
0 |
| PEF |
9.39 |
4.70 |
50 |
9.70 |
103 |
| FEF25-75 |
5.04 |
1.40 |
28 |
2.40 |
48 |
| FEF75-85 |
1.80 |
0.50 |
28 |
0.70 |
39 |
|
Gasometría
|
PaO2 |
PaCO2 |
pH |
HbO2 |
| 67 |
32 |
7.40 |
92 |
a)Obstrucción general de grado severo con pobre respuesta
al broncodilatador
b) Patrón mixto de grado moderado a severo sin respuesta
al broncodilatador
c) Restricción de grado moderado, con hipoxemia de
grado mínimo
d) Obstrucción general de grado moderado a severo
e) Restrictivo de grado moderado y obstrucción periférica
de grado severo con excelente respuesta al broncodilatador
de todo el árbol bronquial
A nivel internacional, se estima que 2 a 15% del total de
casos de asma se relacionan con el trabajo.
Entre los agentes capaces de producirla se incluyen: polvos
de grano, tabaco, pólenes, enzimas, colorantes sintéticos,
isocianatos, rosina, níquel, platino, cromo, anhidrotrimetílico,
anhídrido ftálico, formaldehído y diversos
agentes farmacológicos. El asma es una enfermedad inflamatoria
crónica de las vías aéreas que cursa
con episodios recurrentes de obstrucción reversible,
hipertrofia del músculo liso e hiperreactividad bronquial.
Los episodios recurrentes condicionan la remodelación
de las vías aéreas que va desde el engrosamiento
de la pared, fibrosis subepitelial, metaplasia de la mucuosa,
etc. Para identificarla funcionalmente tenemos aumento del
FEV1 > 12% (con broncodilatadores b2), y en los flujos
periféricos una respuesta de 20%. En la gasometría
la PaO2 suele estar normal o disminuida. Los Rx de tórax
revelan hiperinflación. Es posible que los síntomas
persistan durante años después de suprimir la
exposición en el trabajo. Después que se ha
demostrado que el asma está presente y se ha asumido
que los datos de la historia clínica implican una reactividad
temporal ante un inmunógeno industrial conocido, el
paso siguiente es probar que hay una relación causal
entre ambos. Los métodos que podrían explorar
objetivamente esta relación son costosos, pero el paciente,
a modo de medida inicial de estudio puede ser usado un flujómetro
de acuerdo al siguiente esquema: Cada 2 horas por 1 semana,
en el trabajo, luego cada 2 horas por 1 semana, fuera del
trabajo, y finalmente cada 2 horas por 2 semanas, en el trabajo.
Se tomará la mejor medida luego de tres intentos cada
vez, sin que haya variación de más de 20 L/min.
entre ellos. Esta prueba deberá contar con supervisión
de personal entrenado para otorgarle validez a los datos obtenidos
* Casos Cortesía de la Dra. Patricia
Pérez Martínez
Los
valores espirométricos fueron calculados con las ecuaciones
del Cruz Mérida y cols. Archives
of Medical Research 2004, 35 (5): 446-49
|