medigraphic.com
ENGLISH

Acta Médica Grupo Ángeles

Órgano Oficial del Hospital Ángeles Health System
  • Mostrar índice
  • Números disponibles
  • Información
    • Información general        
    • Directorio
  • Publicar
    • Instrucciones para autores        
    • Envío de artículos
    • Políticas
    • Nombre y afiliación del Comité Editorial
  • Nosotros
    • Plan de gestión e intercambio de datos
    • Objetivos declarados y alcance
  • medigraphic.com
    • Inicio
    • Índice de revistas            
    • Registro / Acceso
  • Mi perfil

2021, Número 2

<< Anterior Siguiente >>

Acta Med 2021; 19 (2)


Bursitis gotosa: hallazgos por resonancia magnética

Castillo García, José Alejandro1; Bazaldúa Cheda, Héctor Mauricio1; Machorro Atempa, René1; Gómez Pérez, María de Guadalupe2
Texto completo Cómo citar este artículo 10.35366/100458

DOI

DOI: 10.35366/100458
URL: https://dx.doi.org/10.35366/100458

Idioma: Español
Referencias bibliográficas: 3
Paginas: 289-291
Archivo PDF: 199.29 Kb.


PALABRAS CLAVE

Sin palabras Clave



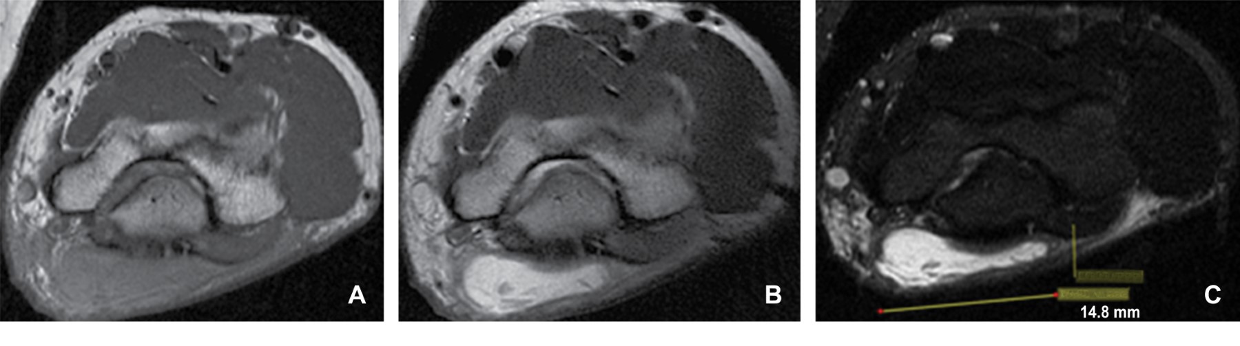
Masculino de 40 años de edad que refiere aparición de zona de enrojecimiento y pequeño abultamiento a nivel del codo izquierdo de tres semanas de evolución, inicialmente adjudicada a piquete de insecto. Acude a médico particular que le administra tratamiento antibiótico sin mejoría, por lo que acude a una segunda evaluación médica donde a la exploración física se evidencia un notable aumento de volumen en región olecraneana, de consistencia blanda con eritema, razón por la que su médico decide investigar a fondo y solicita estudios de laboratorio, los cuales revelaron una elevación de los niveles séricos de ácido úrico y se diagnosticó con gota, por tal motivo se solicita resonancia magnética de codo izquierdo. En el estudio de resonancia magnética simple se identifica una imagen sacular a nivel del olecranon, bien delimitada, heterogénea en su interior, de comportamiento isointenso heterogéneo en el T1, hiperintenso heterogéneo en el T2 e hiperintenso heterogéneo en el T2 con saturación grasa. Dicha imagen midió 39.8 × 14.8 mm en el plano axial, 18 × 46.5 mm en el plano sagital y 40.21 × 46.07 mm en el plano coronal (Figuras 1, 2 y 3), con una pared que midió 2.42 mm de grosor (Figura 2); localizada a nivel de las bursas del olécranon en específico a nivel de la bursa olecraneana superficial.

Las bursas se definen como espacios virtuales que pueden ser ocupados por líquido, delimitados por una membrana sinovial con una capa interna capilar de líquido sinovial. Provee un sistema de amortiguación entre huesos y tendones o músculos alrededor de una articulación, lo que permite reducir la fricción entre estructuras.1 Dentro de las diferentes etiologías identificamos las de sobreuso, traumatismo, infeccioso e inflamatorio tales como artritis reumatoide o gota.2

En el contexto de la enfermedad gotosa es posible observar manifestaciones articulares así como extraarticulares;2 tal es nuestro caso con afectación bursal. Las características por resonancia magnética son aumento en la cantidad de líquido sinovial articular; pueden observarse lesiones óseas en sacabocado y ocasionalmente podemos documentar bursitis olecraneanas o prepatelares. Es de importancia mencionar que los tofos se realzan tras la aplicación de gadolinio.3


REFERENCIAS (EN ESTE ARTÍCULO)

  1. Jones J. Bursa. Radiology reference article. Radiopaedia.org [Internet]. Radiopaedia.org. 2019 [cited 6 November 2019]. Available from: https://radiopaedia.org/articles/bursa

  2. Yu JS, Chung C, Recht M, Dailiana T, Jurdi R. MR imaging of tophaceous gout. AJR Am J Roentgenol. 1997; 168 (2): 523-527.

  3. Meena GL, Razak K, Gupta S. Validation of MRI in the assessment of tophaceous gout: an imaging panegyric. Rheumatol Arthritic Dis. 2017; 2 (4): 1-3.



AFILIACIONES

1 Médico Residente. Curso de Alta Especialidad en Resonancia Magnética del Sistema Músculo Esquelético, Hospital Ángeles Pedregal. Ciudad de México.

2 Profesora Titular. Curso de Alta Especialidad en Resonancia Magnética del Sistema Músculo Esquelético, Hospital Ángeles Pedregal. Ciudad de México.



CORRESPONDENCIA

José Alejandro Castillo García. E-mail: jacastillo072@gmail.com




Aceptado: 29-01-2020.

Figura 1
Figura 2
Figura 3

2020     |     www.medigraphic.com

Mi perfil

C?MO CITAR (Vancouver)

Acta Med. 2021;19

ARTíCULOS SIMILARES

CARGANDO ...