medigraphic.com
ENGLISH

Acta Médica Grupo Angeles

Órgano Oficial del Hospital Angeles Health System
  • Mostrar índice
  • Números disponibles
  • Información
    • Información general        
    • Directorio
  • Publicar
    • Instrucciones para autores        
    • Envío de artículos
    • Políticas
    • Nombre y afiliación del Comité Editorial
  • Nosotros
    • Plan de gestión e intercambio de datos
    • Objetivos declarados y alcance
  • medigraphic.com
    • Inicio
    • Índice de revistas            
    • Registro / Acceso
  • Mi perfil

2021, Número 2

<< Anterior Siguiente >>

Acta Med 2021; 19 (2)


Pseudoaneurisma de arteria cubital secundario a traumatismo

Molina Ortega, Jorge Eduardo1; De la Concha Tiznado, Mauricio2; Gargollo Orvañanos, Carlos3
Texto completo Cómo citar este artículo 10.35366/100459

DOI

DOI: 10.35366/100459
URL: https://dx.doi.org/10.35366/100459

Idioma: Español
Referencias bibliográficas: 4
Paginas: 292-293
Archivo PDF: 242.50 Kb.


PALABRAS CLAVE

Sin palabras Clave



Paciente femenino de 39 años sin antecedentes de importancia, presentó masa en el tercio distal cara anterior del antebrazo derecho, asociado a trauma contuso cuatro semanas previas. Se asoció edema local, parestesias de la base del cuarto y debilidad a la flexión del cuarto y quinto dedo.

En la exploración física se observó masa de 4 × 2 cm sin cambios de coloración, no pulsátil, de consistencia blanda, móvil, no adherido a planos profundos, Tinel positiva para nervio cubital y prueba de Allen con retardo de llenado de la arteria cubital, fuerza 4/5 de la escala de Daniels.

Los estudios de laboratorio no mostraron alteraciones. El ultrasonido reportó imagen nodular de 3.3 × 1.6 × 2.2 cm de morfología ovalada, bordes bien definidos, ecogenicidad heterogénea de predominio hipoecoica, desplazando en sentido caudal al nervio cubital y en sentido lateral a la arteria y vena cubital. Doppler a color muestra vascularidad periférica e interna de la lesión (Figura 1). La resonancia magnética ponderada de FAT SAT (saturación espectral) mostró imagen de aspecto sacular de contenido heterogéneo, el cual desplaza y comprime estructuras neurales y musculares adyacentes (Figura 2).

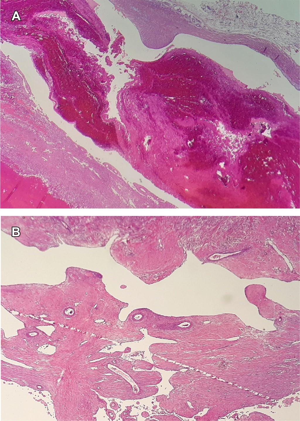
En la exploración quirúrgica se observó masa de coloración violácea con adhesiones laxas al nervio cubital y a la arteria cubital. Se ligó el cuello dependiente de la arteria, sin necesidad de resecar un segmento de la arteria o nervio cubital. El estudio histológico reportó pseudoaneurisma sacular trombosado con hiperplasia endotelial (Figura 3).

Los aneurismas y pseudoaneurismas de la extremidad superior son lesiones poco comunes y sólo 3.8% de las lesiones involucran la arteria radial y cubital. Se clasifican como aneurismas o pseudoaneurismas con base en los componentes de la pared vascular.1,2 Se asocian al síndrome de martillo hipotenar, por trauma repetitivo de la arteria cubital.2,3,4

La cirugía es el estándar de oro para el tratamiento por su riesgo de ruptura y embolización. Se puede realizar ligadura simple del vaso, resección y reconstrucción vascular con anastomosis término terminal o bypass arterial con injerto de vena.3


REFERENCIAS (EN ESTE ARTÍCULO)

  1. Seeley SF, Hughes CW, Cook FN, Elkin DC. Traumatic arteriovenous fistulas and aneurysms in war wounded. Am J Surg. 1952; 83 (3): 471-479.

  2. Kesler W, Maleszewski J, Payatakes A. Spontaneous radial artery pseudoaneurysm in an infant due to idiopathic medial hypoplasia – a case report. Case Reports Plas Surg Hand Surg. 2019; 6 (1): 69-73.

  3. Isoda S, Kimura T, Nishimura K, Yamanaka N, Nakamura S, Arino H et al. Occupational true aneurysm of the ulnar artery: a case report of hypothenar hammer syndrome. Ann Vasc Dis. 2013; 6 (3): 655-657.

  4. Conkbayir C, Emiroglu O, Birtan H, Cerit L. Ulnar artery aneurysm - a rare cause of mass on wrist. Cor et Vasa. 2017; 59 (5): e496-e498.



AFILIACIONES

1 Médico residente de Alta Especialidad en procedimientos avanzados en cirugía de mano. Facultad Mexicana de Medicina Universidad La Salle. Hospital Ángeles Pedregal. Ciudad de México, México.

2 Médico residente de Cirugía General. Facultad Mexicana de Medicina Universidad La Salle. Hospital Ángeles Pedregal. Ciudad de México, México.

3 Cirujano de mano. Hospital Ángeles Pedregal. Ciudad de México, México.



Conflicto de intereses: Los autores no tienen ningún conflicto de intereses.

Financiamiento: Ninguno.



CORRESPONDENCIA

Dr. Jorge Eduardo Molina Ortega. E-mail: jorge_molort@hotmail.com




Aceptado: 21-04-2020.

Figura 1
Figura 2
Figura 3

2020     |     www.medigraphic.com

Mi perfil

C?MO CITAR (Vancouver)

Acta Med. 2021;19

ARTíCULOS SIMILARES

CARGANDO ...