medigraphic.com
ENGLISH

Revista Mexicana de Ortodoncia

ISSN 2395-9215 (Impreso)
Órgano Oficial de Difusión de la Facultad de Odontología de la UNAM
  • Mostrar índice
  • Números disponibles
  • Información
    • Información general        
    • Directorio
  • Publicar
    • Instrucciones para autores        
  • medigraphic.com
    • Inicio
    • Índice de revistas            
    • Registro / Acceso
  • Mi perfil

2019, Número 3

<< Anterior Siguiente >>

Rev Mex Ortodon 2019; 7 (3)


Aplasia de seno maxilar. Reporte de un caso

Carrasco Rueda, Carlos Alberto1; Vinitzky Brener, Ilan2; Rodríguez Colín, Eduardo3; Ornelas Zárate, Alejandra3
Texto completo Cómo citar este artículo Artículos similares

Idioma: Español/Inglés [English version]
Referencias bibliográficas: 9
Paginas: 159-162
Archivo PDF: 122.91 Kb.


PALABRAS CLAVE

Seno maxilar, aplasia, diagnóstico.

RESUMEN

La aplasia del seno maxilar es una entidad poco frecuente que generalmente se diagnostica como hallazgo en estudios de imagen solicitados para el tratamiento de otras entidades. La etiología es incierta, aunque se ha sugerido una posible relación con antecedentes específicos como anormalidades en el desarrollo intrauterino, reducción en la ventilación nasal debido a sinusitis en el primer año de vida, traumatismos, cirugía, enfermedad sistémica o neoplasia. Defectos y anomalías anatómicas como la posición, o ausencia de la concha bullosa, así como de la apófisis unciforme, puede representar otro factor que contribuye al desarrollo de hipoplasia-agenesia de seno maxilar. El desarrollo del seno maxilar juega un papel importante en el crecimiento y desarrollo de estructuras adyacentes como los huesos y músculos faciales. Se presenta el caso de un hombre de 18 años con asimetría facial secundaria a una aplasia de seno maxilar.



INTRODUCCIóN

El seno maxilar inicia su crecimiento en la pared lateral de la zona etmoidal en la cápsula nasal en el tercer mes de vida intrauterina, el cual es el primero de los senos paranasales en aparecer. La cavidad maxilar es identificable en la semana 16 de gestación.1

El seno maxilar es normalmente el mayor de los senos paranasales, con un volumen aproximado de 6-8 cm3 aunque su tamaño varía dependiendo del individuo y su edad. Este ocupa la mayor parte del cuerpo maxilar.2

La aplasia del seno maxilar (ASM) se puede definir como una falla en el desarrollo del seno, lo cual representa una condición extremadamente rara.2

La etiología precisa es incierta aunque se ha sugerido que esté relacionada con anormalidades en el desarrollo intrauterino o reducción en la ventilación nasal debido a sinusitis en el primer año de vida. También se podría ver asociado con traumatismos, cirugía, enfermedad sistémica o neoplasia.3 El antro ausente puede condicionar un crecimiento maxilar anormal, con consecuencias estéticas como el aplanamiento en la región nasomaxilar.4

En las radiografías simples se observa únicamente opacidad en el seno afectado, lo cual puede confundir con otras entidades, para un diagnóstico adecuado se requiere de una tomografía computarizada (CBCT por sus siglas en inglés) utilizando cortes finos y ventana para hueso donde se confirmará la ausencia completa del seno maxilar y se pueden delinear las anomalías estructurales de la fosa nasal. Es importante no confundir esta entidad con la hipoplasia severa del seno maxilar.2,5



CASO CLíNICO

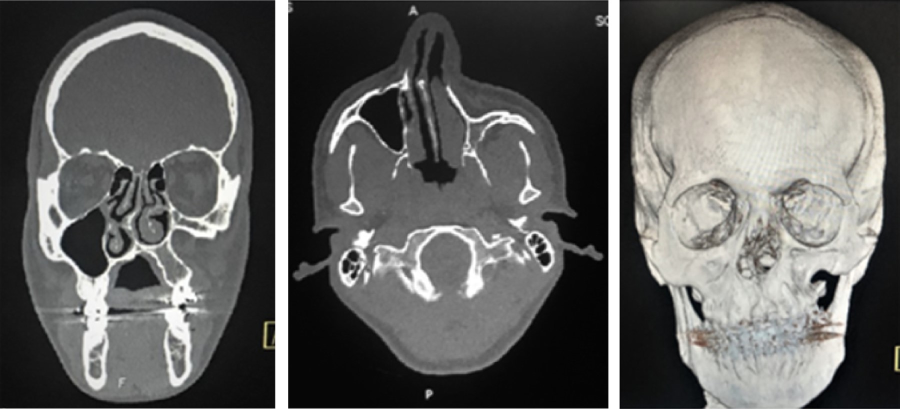
Se trata de un hombre de 18, el cual es remitido al Servicio de Cirugía Maxilofacial del Instituto Nacional de Enfermedades Respiratorias por Departamento de Ortodoncia de Clínica Dental Universitaria para valoración por asimetría facial. Se encuentra en su cuarto año de tratamiento ortodóntico con el objetivo de realizar ortodoncia camuflaje. No refiere antecedentes médicos de relevancia, incluidos antecedentes quirúrgicos o traumáticos. A la exploración física observamos paciente neurológicamente íntegro, cráneo normocefálico, adecuada inserción del cabello, presenta distopia a expensas de enoftalmos ojo izquierdo, hipoplasia fosa nasal y pabellón auricular izquierdo, depresión en región infraorbitaria ipsilateral (Figura 1) perfil cóncavo clase III, canteamiento maxilar, sin alteraciones en región de ATM con adecuados movimientos mandibulares, intraoralmente con mal oclusión clase III de Angle, sobremordida negativa y mala posición dental. Se solicita tomografía computarizada con cortes finos y ventana para hueso, observando en los cortes coronales un aumento en el volumen de la órbita izquierda, así como ausencia completa del seno maxilar izquierdo, desviación del septum nasal e hiperplasia de cornete inferior izquierdo, en los cortes axiales se corrobora aplasia de seno maxilar izquierdo y en reconstrucción 3d se observa en la vista anterior una depresión de la pared anterior del hueso maxilar (Figura 2). El plan de tratamiento propuesto es la toma y aplicación de injerto autólogo de cresta iliaca anterior para corregir la pérdida de volumen en la región anterior del maxilar y cirugía ortognática para corregir la discrepancia dentoesqueletal.



DISCUSIóN

El examen tomográfico es eficaz para detectar hallazgos incidentales en el Área Maxilofacial,5 siendo el seno maxilar uno de los lugares más frecuentes.6 La mayoría de los casos de ASM reportados son encontrados como hallazgo al realizar estudios de imagen por otros motivos. En el caso reportado, las características clínicas sugerían una alteración esqueletal evidente, lo cual se corroboró con los estudios de imagen.

El tamaño, la localización y la unibilateralidad de la concha bullosa se correlacionan con la existencia de hipoplasia maxilar, especialmente en cuanto a la existencia, medialización o lateralización de la apófisis unciforme.7

La apófisis unciforme puede estar desplazada lateralmente en algunos casos de hipoplasia del seno maxilar. Cuando esto ocurre, la pared lateral nasal tiende a lateralizarse por debajo del cornete medio.7 Cuando el bloqueo de seno maxilar tiene lugar en la infancia, antes de los 10 años, suele existir una ausencia de apófisis unciforme y un mínimo vestigio de seno maxilar, permitiendo a la órbita crecer.8 Cuando el seno maxilar queda bloqueado durante la adolescencia, por lo general se relaciona con patología nasosinusal inflamatoria u obstructiva, como una desviación septal o una sinusitis crónica.8

Bolger y colaboradores clasifican las alteraciones estructurales de la apófisis unciforme y el infundíbulo maxilar y relaciona la severidad de la hipoplasia del seno maxilar con la falta de desarrollo del proceso unciforme y una pobre definición del pasaje del infundíbulo.9



CONCLUSIONES

El seno maxilar participa de forma importante en el desarrollo normal del maxilar y en consecuencia de otros huesos faciales. La aplasia del seno maxilar es una afectación rara; sin embargo, cuando se presenta conlleva alteraciones estéticas y funcionales para el sujeto, los odontólogos y médicos afines al área deben estar familiarizados con esta alteración para poder realizar un diagnóstico oportuno y una planificación adecuada del tratamiento.


REFERENCIAS (EN ESTE ARTÍCULO)

  1. Ramos B, Freire-Maia B. Maxillary sinus aplasia. Oral Maxillofac Surg. 2010; 14: 187-191.

  2. Steier L, Steier G, Dogramasi E, Rossi-Fedele, G. Maxillary sinus unilateral aplasia as an incidental finding following cone-beam computed (volumetric) tomography. Aust Endod. 2014; 40: 26-31.

  3. Erdem T, Aktas D, Erdem G, Miman MC, Ozturan O. Maxillary sinus hypoplasia. Rhinology. 2002; 40: 150-153.

  4. Guven DG, Yilmaz S, Ulus S, Suba?i B. Combined aplasia of esfenoid, frontal, and maxilary sinuses accompanied by ethmoid sinus hipoplasia. J Craniofac. 2010; 21: 1431-1433.

  5. Milczuk HA, Dalley RW, Wessbacher FW et al. Nasal and paranasal sinus anomalies in children with chronic sinusitis. Laryngoscope. 1993; 103: 247-252.

  6. Baykara M, Erdo?an N, Öztürk M, Erkan M. Maxillary sinus aplasia. Turk J Med Sci. 2002; 32: 273-275.

  7. Plaza G, Ferrando J, Martel J, Toledano A, De los Santos G. Maxilary sinus hipoplasy. Acta Otorrinolaringol. 2001; 52: 122-128.

  8. Bassiouny A, Newlands WJ, Ali H, Zaki Y. Maxillary sinus hipoplasia and superior orbital asymmetry. Laryngoscope. 1982; 92: 441-448.

  9. Seied MS, Seied MJM, Hamed A. Bilateraly sinus aplasia. Case report. JRMS. 2006; 12 (3): 147-149.



AFILIACIONES

1 Jefe del Departamento de Cirugía Maxilofacial. Instituto Nacional de Enfermedades Respiratorias "Ismael Cosío Villegas".

2 Adscrito al Servicio de Cirugía Maxilofacial. Instituto Nacional de Enfermedades Respiratorias "Ismael Cosío Villegas".

3 Pasante en Estomatología. Instituto Nacional de Enfermedades Respiratorias "Ismael Cosío Villegas".



CORRESPONDENCIA

Ilan Vinitzky Brener. E-mail: ilanvinitzky@hotmail.com




Recibido: Junio 2019. Aceptado: Agosto 2019.

Figura 1
Figura 2

2020     |     www.medigraphic.com

Mi perfil

C?MO CITAR (Vancouver)

Rev Mex Ortodon. 2019;7

ARTíCULOS SIMILARES

CARGANDO ...