medigraphic.com
ENGLISH

Cirujano General

ISSN 2594-1518 (Digital)
ISSN 1405-0099 (Impreso)
  • Mostrar índice
  • Números disponibles
  • Información
    • Información general        
    • Directorio
  • Publicar
    • Instrucciones para autores        
    • Envío de artículos
  • medigraphic.com
    • Inicio
    • Índice de revistas            
    • Registro / Acceso
  • Mi perfil

2020, Número 4

<< Anterior Siguiente >>

Cir Gen 2020; 42 (4)


Importancia de la antibioticoterapia ante colecciones intraabdominales complicadas en pacientes con lesión renal aguda: reporte de casos

Sánchez-Escobedo, Yeiscimin1; León-Morales, Mónica Isabel2; Ramírez-Vega, Roberto3
Texto completo Cómo citar este artículo 10.35366/101399

DOI

DOI: 10.35366/101399
URL: https://dx.doi.org/10.35366/101399
Artículos similares

Idioma: Español/Inglés [English version]
Referencias bibliográficas: 22
Paginas: 300-305
Archivo PDF: 239.52 Kb.


PALABRAS CLAVE

Sepsis, infección intraabdominal, antibioticoterapia, enfermedad renal, lesión renal aguda.

RESUMEN

Introducción: Las infecciones intraabdominales (IIA), cuando se asocian a lesión renal aguda, requieren modificaciones en la terapia antimicrobiana a emplear, tanto como iniciar de manera temprana y apropiada el antibiótico que cubra el espectro de gérmenes implicados. La importancia del control de la fuente repercute en el descenso de la tasa de mortalidad. Descripción de casos clínicos: Cinco pacientes con IIA complicada, cuyo valor medio de edad fue 55.6 años; 60% de esta población fueron hombres y 66% presentó comorbilidades como diabetes mellitus tipo 2, además de hipertensión arterial sistémica. En la mayoría de dichos sujetos, la presentación clínica fue dolor localizado y fiebre (75%) y las escalas de gravedad de disfunción orgánica (un promedio de SOFA de 15.8 puntos y AKIN 80% con LRA tipo III). El antibiótico profiláctico prehospitalario más empleado fue la ceftriaxona y, de acuerdo al antibiograma, se decidió cambiar por alguno del grupo de carbapenémicos. En días, la duración media de esa terapia antimicrobiana fue de 23.4, sin embargo, la media del lapso de estancia intrahospitalaria fue de 18.2, lo cual sugiere un periodo de tiempo prolongado. Conclusión: La sepsis tiene incidencia y mortalidad elevadas. Por ello, la antibioticoterapia debe ser elegida de acuerdo con la gravedad y estado clínico, de laboratorio y de la disponibilidad de los fármacos, permitiendo que la decisión médica sea basada en evidencia.



ABREVIATURAS:

  • IIA = Infección intraabdominal.
  • LRA = Lesión renal aguda.
  • BLEE = β-lactamasa de espectro extendido.
  • AKIN = Acute Kidney Injury Network.
  • SOFA = Sequential Organ Failure Assessments.
  • qSOFA = Quick SOFA.



INTRODUCCIóN

Una infección intraabdominal (IIA) se considera complicada cuando se presenta de manera difusa o localizada dentro de la cavidad abdominal y tiene repercusión sistémica.1,2 Se produce a consecuencia de la perforación o inflamación de la pared intestinal, y por lo tanto son contaminaciones propiciadas por muchos microorganismos, incluso llegan a ser mixtas (fúngicas o parasitarias), sin embargo, muestran un predominio causal de bacterias anaerobias.3,4

La presencia de sepsis predispone el desarrollo de lesión renal aguda (LRA), elevando aún más la tasa de mortalidad.5 Por ello, la importancia de elegir la terapia antibiótica adecuada en pacientes con LRA radica en que los antimicrobianos deben ajustarse a dosis capaces de alcanzar niveles séricos adecuados, evitando la sobredosis y la toxicidad de estos medicamentos, al igual que el riesgo de resistencia.4,5 Se han realizado diversos ensayos clínicos, los cuales concluyen que, de acuerdo a la tasa de filtración glomerular, se deben ajustar las dosis a fin de que sean efectivas, para que las drogas alcancen la concentración mínima inhibitoria y así logren su efecto bacteriostático o bactericida, según sea el caso, sin causar daño a los riñones.6,7

En la IIA complicada existen estrategias, como el control de la fuente mediante tratamiento quirúrgico y la elección de antimicrobianos, que se acompañan de índices de fracaso bajos y un descenso en la tasa de mortalidad. En México, un estudio multicéntrico acerca de sepsis reportó una mortandad de 30.4%, siendo la etiología abdominal la más frecuente con 47%, por ende, es de vital importancia contextualizar el caso de un paciente séptico con LRA, debido a que la evaluación de gravedad y la adopción de medidas terapéuticas urgentes conducen a una disminución del número de defunciones, de tal modo que cuando se controla con eficacia el origen y se utilizan antibióticos apropiados la tasa de respuesta favorable se ha registrado en 70 a 90%.8,9



PRESENTACIóN DE CASOS CLíNICOS

En el grupo bajo investigación se incluyeron cinco enfermos, quienes presentaron choque séptico de origen abdominal evidenciado mediante algún estudio de radiología asociado a LRA en cualquier estadio según la clasificación AKIN (Tabla 1). La edad media de presentación fue de 55.6 años, siendo relativamente más frecuente en hombres con 60%. Las principales comorbilidades asociadas a una IIA complicada fueron: hipertensión arterial sistémica y diabetes tipo dos (ambas en 33%), seguido de alcoholismo (22.5%) y, por último, insuficiencia cardiaca (11.5%). La presentación clínica más habitual fue la asociación de dolor localizado y fiebre. En el abordaje diagnóstico para determinar el estado hemodinámico e identificar la disfunción orgánica se utilizó la escala SOFA/qSOFA con promedios de 15.8 y 2.6 puntos respectivamente; la tensión arterial media fue 56.33 mmHg en todos los días de estancia hospitalaria. Los parámetros de laboratorio se elevaron en la totalidad de los pacientes y la mediana reportada fue: leucocitos (26,040 cel/mm3), procalcitonina (87.6 pg/ml), velocidad de sedimentación globular (31.56 μg/ml).

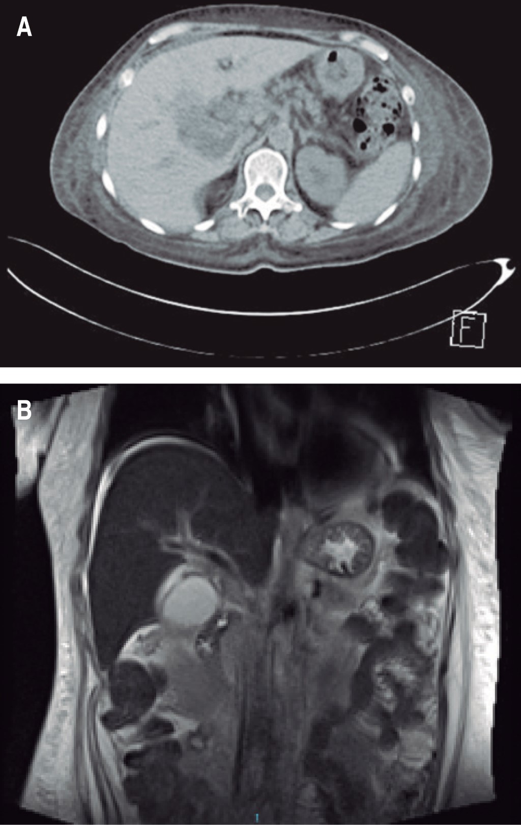
Se identificó y clasificó el grado de daño renal de acuerdo a los valores de creatinina en los primeros laboratorios, los de seguimiento y a su egreso, el resultado fue que 80% de los individuos se clasificaron en estadio III, según AKIN (Tabla 2). El estudio de imagen para iniciar el abordaje es el ultrasonido abdominal y a fin de valorar la evolución del paciente se solicitó TAC abdominopélvica (Figura 1).

El tratamiento médico se focalizó en dos puntos: el apoyo mediante fármacos vasopresores y la terapia antibiótica. El 60% requirió aminas y respecto al empleo de medicamentos antimicrobianos el principal antibiótico empírico empleado fue la ceftriaxona (35.7%) a modo de monoterapia iniciada como esquema prehospitalario. En la etapa de hospitalización, se cambió a un fármaco de mayor dispersión siguiendo las recomendaciones de guías internacionales; en esta serie el antibiótico iniciado fue imipenem (21.4%) (Figura 2). En días, la duración media de terapia antimicrobiana fue de 23.4, sin embargo la media del lapso de estancia intrahospitalaria fue de 18.2, lo cual representa un periodo largo de tiempo. Finalmente, en la resolución quirúrgica, el 60% precisó drenaje percutáneo y sólo un 40% fue candidato a laparoscopia.

El reporte del antibiograma demostró más de dos cepas multirresistentes, y el germen aislado con mayor frecuencia fue Escherichia coli BLEE (40%) seguido de una infección polimicrobiana (40%) (Tabla 3).



DISCUSIóN

La severidad de la LRA aumenta en la disfunción multiorgánica y se correlaciona con el estado de choque. En los factores pronósticos de mala evolución se encuentra como mayor predictor la edad del enfermo con sus comorbilidades, dado que en estudios multicéntricos y experimentales se ha demostrado la fuerte asociación que hay entre distintas enfermedades que tienen por fisiopatología estados hipoglucémicos, desarreglo endotelial e inmunosupresión, habida cuenta de que aumentan la vulnerabilidad del paciente ante algún proceso infeccioso y eventualmente sepsis. Por otra parte, dentro de los elementos protectores se halla un descenso rápido en las primeras 24 horas de hospitalización.10-14

Para valorar la gravedad, existen escalas empleadas dentro del abordaje inicial que han sido estudiadas, validadas con alta sensibilidad, y de fácil y rápida obtención buscando que los afectados puedan beneficiarse precozmente del diagnóstico y por supuesto del tratamiento antibiótico más adecuado.15 Entre ellas están SOFA y qSOFA, las cuales han demostrado ser útiles para brindar un pronóstico y son utilizadas frecuentemente en la valoración de los pacientes quirúrgicos.

En la casuística que aquí se presenta, la mayoría de los enfermos ingresados tuvieron criterios de choque séptico severo y por tanto esto explica la alta proporción de afectados, quienes requirieron reanimación hídrica, apoyo farmacológico usando vasopresores e indicación precoz de antibioticoterapia de amplio espectro.16 Las más actuales recomendaciones de uso de antibióticos se basan en gravedad leve, moderada y severa. En los dolientes quienes proceden de la comunidad, con signos clínicos de peritonitis, pero que no reúnen pautas de sepsis grave y aún no han recibido terapia antibiótica, debe ofrecerse la asociación de una cefalosporina de tercera generación utilizando metronidazol; si son alérgicos a los β-lactámicos puede asociarse una quinolona.17

En aquellos quienes proceden de la comunidad, sin infección severa pero que ya recibieron antibióticos, debe sospecharse la presencia de enterobacterias BLEE. Si no hay riesgo de contaminación por Pseudomona aeruginosa, puede administrarse ertapenem como monoterapia. Y finalmente, los sujetos con criterios de condición séptica grave serán quienes deban recibir una combinación antibiótica de amplio espectro.18

En cuanto al rango microbiológico reportado acerca de las IIA complicadas, en la bibliografía internacional se informa sobre el predominio de bacilos gramnegativos, por ejemplo Escherichia coli (25-30%), seguido de Klebsiella spp y Pseudomona aeruginosa (3-6%). En relación con los cocos grampositivos destacan: Streptococcus spp (16%), Staphylococcus spp (5.2%) y en menor medida, Enterococcus spp (4.7%).19,20 Es importante ya que, en el estudio realizado, la mayoría de las IAC son multidrogorresistentes y polimicrobianas, lo cual arroja un diagnóstico bacteriológico amplio y difícil de erradicar con un tratamiento con periodos de terapia estandarizados de pocos días, se tiene que hacer todo lo contrario: ampliar y siempre tener en cuenta el hecho de la farmacocinética y dinámica de aquellos antibióticos prescritos, para no causar mayor daño que beneficio al paciente.21 Después de la recuperación de la sepsis, los enfermos aún son susceptibles al deterioro de la salud, el 40% es internado dentro de los siguientes 90 días.19,22

La atención hospitalaria precoz de la infección se centra en el reconocimiento rápido, el tratamiento utilizando antibióticos de amplio espectro, la eliminación de las fuentes de contaminación, todas estas estrategias mejoran la calidad de egreso del paciente y en general de la función orgánica comprometida por la infección.



CONCLUSIóN

En el contexto de un enfermo con IIA complicada con sepsis grave y además LRA, se vuelven imprescindibles la evaluación de la severidad y la adopción de medidas que conducen a una disminución de la mortandad y los costos asociados con el tratamiento y la hospitalización.

La condición séptica tiene incidencia y mortalidad elevadas, por ello, la antibioticoterapia debe ser elegida de acuerdo a la gravedad y estado clínico, de laboratorio y de la disponibilidad de los fármacos, permitiendo que la decisión médica sea basada en evidencia.


REFERENCIAS (EN ESTE ARTÍCULO)

  1. Bulander RE, Dunn DL, Beilman GJ. Schwartz's principles of surgery 2. Chapter 6. Surgical infections. McGraw Hill; 2019. pp. 113-130.

  2. Rattan R, Allen CJ, Sawyer RG, Askari R, Banton KL, Claridge JA, et al. Patients with complicated intra-abdominal infection presenting with sepsis do not require longer duration of antimicrobial therapy. J Am Coll Surg. 2016; 222: 440-446.

  3. Sartelli M, Catena F, Ansaloni L, Coccolini F, Di Saverio S, Griffiths EA. Duration of antimicrobial therapy in treating complicated intra-abdominal infections: a comprehensive review. Surg Infect. 2016; 17: 9-12.

  4. Sood MM, Shafer LA, Ho J, Reslerova M, Martinka G, Keenan S, et al. Early reversible acute kidney injury is associated with improved survival in septic shock. J Crit Care. 2014; 29: 711-717.

  5. Thijs A, Thijs LG. Pathogenesis of renal failure in sepsis. Kidney Int Suppl. 1998; 66: S34-37.

  6. Zamoner W, De Freitas FM, Garms DSS, Gobo OM, Balbi AL, Ponce D. Pharmacokinetics and pharmacodynamics of antibiotics in critically ill acute kidney injury patients. Pharma Res Per. 2016; 4: 1-7.

  7. Sartelli M, Catena F, Ansaloni L, Coccolini F, Corbella D, Moore EE, et al. Complicated intra-abdominal infections worldwide: the definitive data of the CIAOW Study. World J Emerg Surg. 2014; 9: 37.

  8. Sartelli M, Chichom-Mefire A, Labricciosa FM, Hardcastle T, Abu-Zidan FM, Adesunkanmi AK, et al. The management of intra-abdominal infections from a global perspective: 2017 WSES guidelines for management of intra-abdominal infections. World J Emerg Surg. 2017; 12: 29.

  9. Carrillo R, Carrillo JR, Carrillo LD. Epidemiologic study of sepsis in Mexican intensive care units. Cir Ciruj. 2009; 77: 301-308.

  10. Bernato AE, Alexander SL, Linde ZWT, Angus DC. Racial variation in the incidence care and outcomes of severe sepsis. Analysis of population patient and hospital characteristics. Am J Respir Crit Care Med. 2008; 177: 279-284.

  11. Venot M, Weis L, Clec'h C, Darmon M, Allaouchiche B, Goldgran-Tolédano D, et al. Acute kidney injury in severe sepsis and septic shock in patients with and without diabetes mellitus: a multicenter study. PLoS One. 2015; 10: e0127411. doi: 10.1371/journal.pone.0127411.

  12. Spiller F, Carlos D, Souto FO, de Freitas A, Soares FS, Vieira SM, et al. α1-acid glycoprotein decreases neutrophil migration and increases susceptibility to sepsis in diabetic mice. Diabetes. 2012; 61: 1584-1591.

  13. Korbel L, Spencer JD. Diabetes mellitus and infection: an evaluation of hospital utilization and management costs in the United States. J Diabetes Complications. 2015; 29: 192-195.

  14. Machado-Villarroel L, Montano-Candia M, Dimakis-Ramírez DA. Diabetes mellitus and its impact on the etiopathogenesis of sepsis. Acta Méd Grupo Ángeles. 2017; 15: 207-215.

  15. Godínez-Vidal AR, García-Vivanco DM, Montero-García PJ, Martínez-Martínez AR, Gutiérrez-Banda CA, Gracida-Mancilla NI. Usefulness of the SOFA index in abdominal sepsis due to secondary peritonitis. Rev Hosp Jua Mex. 2018; 85: 195-200.

  16. Sartelli M, Catena F, di Saverio S, Ansaloni L, Coccolini F, Trana C, et al. The challenge of antimicrobial resistance in managing intra-abdominal infections. Surg Infect. 2015; 16: 213-220.

  17. Guirao X, Arias J, Badía JM, García-Rodríguez JA, Mensa JJ, Álvarez-Lerma JJ, et al. Recommendations in the empirical antibiotic treatment of intra-abdominal infection. Cir Esp. 2010; 87: 63-81.

  18. Montravers P, Lepape A, Dubreuil L, Gauzit R, Pean Y, Benchimol D, et al. Clinical and microbiolocal profiles and community-acquired and nosocomial intra-abdominal infections: results of the French prospective, observational EBIIA study. J Antimicrob Chemother. 2009; 63: 785-794.

  19. Liñán-Ponce JI, Véliz-Vilcapoma F. Clinical characteristics of the admitted patients with severe sepsis to an Intensive Care Unit. Rev Soc Peru Med. 2008; 21: 121-127.

  20. Bisso AA. Antibiotic therapy in severe infections. Acta Méd Peruana. 2011; 28: 27-38.

  21. Meregalli A, Oliveira RP, Friedman G. Occult hypoperfusion is associated with increased mortality in hemodynamically stable, high-risk surgical patients. Crit Care. 2004; 8: R60-R65.

  22. Regueira T, Andresen M, Mercado M, Downey P. Pathophysiology of acute renal failure during sepsis. Intensive Med. 2011; 35: 424-432.



AFILIACIONES

1 Médico pasante del Servicio Social en Investigación. Facultad de Medicina. Benemérita Universidad Autónoma de Puebla.

2 Médico Cirujano y Partero. Benemérita Universidad Autónoma de Puebla.

3 Residente de Cirugía General. Hospital Universitario de Puebla.



Consideraciones éticas: Los procedimientos en humanos deben ajustarse a los principios establecidos en la Declaración de Helsinski de la Asociación Médica Mundial (AMM) y con lo establecido en la Ley General de Salud Título Quinto y Reglamento de la Ley General de Salud en Materia de Investigación para la Salud, y NOM-012-SSA3-2012, que establecen los criterios para la ejecución de proyectos de investigación para la salud en seres humanos, así como con las normas del Comité de Ética en Investigación de la institución donde se efectúen.



CORRESPONDENCIA

Yeiscimin Sánchez Escobedo. E-mail: yeiscimin@gmail.com




Recibido: 08/08/2019. Aceptado: 15/02/2021

Figura 1
Figura 2
Tabla 1
Tabla 2
Tabla 3

2020     |     www.medigraphic.com

Mi perfil

C?MO CITAR (Vancouver)

Cir Gen. 2020;42

ARTíCULOS SIMILARES

CARGANDO ...