medigraphic.com
SPANISH

Cirujano General

ISSN 2594-1518 (Electronic)
ISSN 1405-0099 (Print)
  • Contents
  • View Archive
  • Information
    • General Information        
    • Directory
  • Publish
    • Instructions for authors        
    • Send manuscript
  • medigraphic.com
    • Home
    • Journals index            
    • Register / Login
  • Mi perfil

2020, Number 4

<< Back Next >>

Cir Gen 2020; 42 (4)

Importance of antibiotic therapy for complicated intra-abdominal collections in patients with acute kidney injury. A case series report

Sánchez-Escobedo, Yeiscimin1; León-Morales, Mónica Isabel2; Ramírez-Vega, Roberto3
Full text How to cite this article 10.35366/101399

DOI

DOI: 10.35366/101399
URL: https://dx.doi.org/10.35366/101399

Language: English/Spanish [Versi?n en espa?ol]
References: 22
Page: 300-305
PDF size: 239.52 Kb.


Key words:

Sepsis, intra-abdominal infection, antibiotic therapy, renal disease, acute kidney injury.

ABSTRACT

Introduction: Intra-abdominal infections (IAI), when associated with acute kidney injury, require modifications in the antimicrobial therapy to be employed, as much as initiating early and appropriately the antibiotic covering the spectrum of germs involved. The importance of source control has an impact on decreasing the mortality rate. Description of clinical cases: This is a case series report of five patients with complicated IAI with a mean age of 55.6 years; 60% were men and 66% presented comorbidities such as type 2 diabetes mellitus and systemic arterial hypertension. In most of these subjects, the clinical presentation was localized pain and fever (75%) and organ dysfunction severity scales (mean SOFA 15.8 points and AKIN 80% with LRA type III). The most used pre-hospital prophylactic antibiotic was ceftriaxone and, according to the antibiogram, it was decided to change to one of the carbapenem drug group. The mean duration of this antimicrobial therapy was 23.4 days; however, the mean length of in-hospital stay was 18.2 days, which suggests a prolonged period. Conclusion: Sepsis has a high incidence and mortality. Therefore, antibiotic therapy should be chosen according to the severity and clinical and laboratory status, and the availability of drugs, allowing the medical decision to be based on evidence.



ABBREVIATIONS:

  • IIA = Intra-abdominal infection.
  • AKI = Acute kidney injury.
  • BLEE = β-lactamase of extended spectrum.
  • AKIN = Acute Kidney Injury Network.
  • SOFA = Sequential Organ Failure Assessments.
  • qSOFA = Quick SOFA.



INTRODUCTION

An intra-abdominal infection (IAI) is considered complicated when it occurs in a diffuse or localized way within the abdominal cavity and has systemic repercussions.1,2 It occurs as a result of perforation or inflammation of the intestinal wall, and are therefore contaminations caused by many microorganisms that may be mixed (fungal or parasitic). However, there is a causal predominance of anaerobic bacteria.3,4

The presence of sepsis predisposes to the development of acute kidney injury (AKI), further increasing the mortality rate.5 Therefore, the importance of choosing the appropriate antibiotic therapy in patients with AKI lies in the fact that antimicrobials should be adjusted to doses capable of reaching adequate serum levels, avoiding overdose and toxicity of these drugs, as well as the risk of resistance.4,5 Several clinical trials have concluded that, according to the glomerular filtration rate, doses should be adjusted in order to be effective, so that the drugs reach the minimum inhibitory concentration and thus achieve their bacteriostatic or bactericidal effect, as the case may be, without causing damage to the kidneys.6,7

In complicated IAI there are strategies, such as source control by surgical treatment and choice of antimicrobials, which are accompanied by low failure rates and a decrease in the mortality rate. In Mexico, a multicenter study on sepsis reported a mortality rate of 30.4%, being the abdominal etiology the most frequent with 47%. Therefore, it is of vital importance to contextualize the case of a septic patient with AKI, since the assessment of severity and the adoption of urgent therapeutic measures lead to a decrease in the number of deaths, so that when the source is effectively controlled and appropriate antibiotics are used, the favorable response rate has been recorded in up 70 to 90% of patients.8,9



PRESENTATION OF CLINICAL CASES

The group under investigation included five patients who presented with septic shock of abdominal origin evidenced by radiology studies associated with AKI at any stage according to the AKIN classification (Table 1). The mean age at presentation was 55.6 years, being relatively more frequent in men (60%). The main comorbidities associated with complicated IAI were systemic arterial hypertension and type 2 diabetes (both in 33%), followed by alcoholism (22.5%) and, finally, heart failure (11.5%). The most common clinical presentation was the association of localized abdominal pain and fever. In the diagnostic approach to determine hemodynamic status and identify organ dysfunction, the SOFA/qSOFA scales were used, with averages of 15.8 and 2.6 points, respectively; mean blood pressure was 56.33 mmHg during all days of hospital stay. Laboratory parameters were elevated in all patients and the median reported were white blood cell counts of 26,040 cells/mm3, procalcitonin levels of 87.6 pg/ml, erythrocyte sedimentation rate of 31.56 µg/ml.

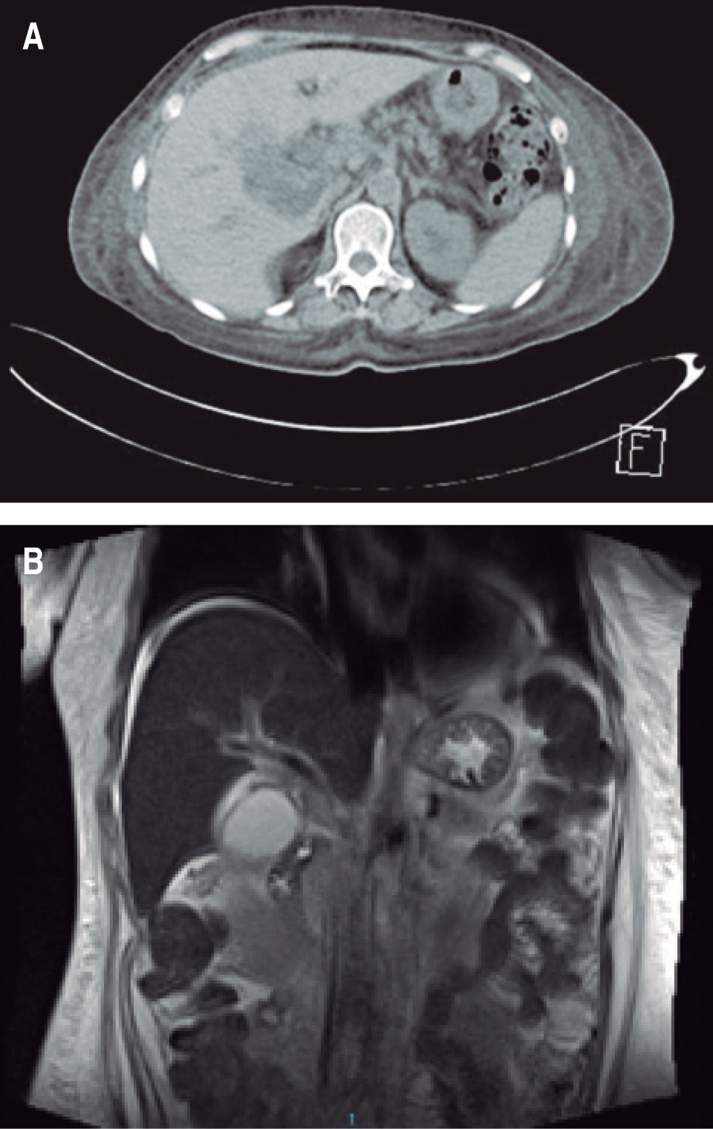
The degree of renal damage was classified according to the creatinine values in the first laboratory test, those at the follow-up and at discharge. Eighty per cent 80%) of the patients were classified in stage III, according to AKIN (Table 2). The imaging study to initiate the approach is with an abdominal ultrasonography scan and to assess the patient's evolution, and abdominopelvic CT scan was requested (Figure 1).

Medical treatment was focused on two points: support with vasopressor drugs and antibiotic therapy. The main empirical antibiotic used was ceftriaxone (35.7%) as monotherapy initiated as a pre-hospital scheme. In the hospitalization stage, a drug of greater dispersion was changed following the recommendations of international guidelines. In this series the antibiotic initiated was imipenem (21.4%) (Figure 2). The mean duration of antimicrobial therapy was 23.4 days; however, the mean length of in-hospital stay was 18.2 days, which represents a long period of time. Finally, 60% required a surgical resolution in the form of percutaneous drainage and only 40% were candidates for laparoscopy.

The antibiogram report showed more than two multidrug-resistant strains, and the most frequently isolated germ was Escherichia coli BLEE (40%) followed by polymicrobial infection (40%) (Table 3).



DISCUSSION

The severity of AKI increases in multiorgan dysfunction and correlates with the state of shock. Among the prognostic factors for poor outcome, the age of the patient with comorbidities is the greatest predictor, given that multicenter and experimental studies have demonstrated the strong association between different diseases whose pathophysiology includes hypoglycemic states, endothelial dysregulation, and immunosuppression, given that they increase the patient's vulnerability to an infectious process and eventually sepsis. On the other hand, among the protective elements is a rapid decrease in the first 24 hours of hospitalization.10-14

To assess severity, there are scales used in the initial approach that have been studied, validated with high sensitivity, and are easy and quick to obtain so that those affected can benefit early from the diagnosis and, of course, the most appropriate antibiotic treatment.15 Among them are SOFA and qSOFA, which have proven to be useful in providing a prognosis and are frequently used in the evaluation of surgical patients.

In the case series presented here, most of the patients had severe septic shock criteria and therefore this explains the high proportion of those affected, who required hydric resuscitation, pharmacological support using vasopressors, and an early indication for broad-spectrum antibiotic therapy.16 The most current recommendations for antibiotic use are based on mild, moderate, and severe severity. In patients coming from the community, with clinical signs of peritonitis, but who do not meet guidelines for severe sepsis and have not yet received antibiotic therapy, the association of a third-generation cephalosporin plus metronidazole should be offered; if they are allergic to β-lactams, a quinolone drug can be added.17

In those who come from the community without a severe infection but who have already received antibiotics, the presence of BLEE enterobacteria should be suspected. If there is no risk of contamination by Pseudomonas aeruginosa, ertapenem may be administered as monotherapy. And finally, subjects with criteria of severe septic condition will be those who should receive a broad-spectrum antibiotic combination.18

Regarding the microbiological range reported for complicated IAI, the international literature reports a predominance of Gram-negative bacilli, for example Escherichia coli (25-30%), followed by Klebsiella spp and Pseudomonas aeruginosa (3-6%). In relation to Gram-positive cocci, the following stand out: Streptococcus spp (16%), Staphylococcus spp (5.2%) and to a lesser extent, Enterococcus spp (4.7%).19,20 This is important since, in the present report, most IAIs were caused by multidrug-resistant organisms and polymicrobial, which results in a broad bacteriological diagnosis and difficult to eradicate with standard treatments and for usual periods of a few days. In such cases, the opposite must be done and always consider the pharmacokinetics and dynamics of those antibiotics prescribed, so as not to cause more harm than benefit to the patient.21 After recovery from sepsis, patients are still susceptible to deterioration of health, of which 40% were hospitalized within 90 days.19,22

Early hospital care of infection focuses on rapid recognition, treatment using broad-spectrum antibiotics, elimination of sources of contamination, all as strategies that improve the quality of patient discharge and all the organ functions that were compromised by infection.



CONCLUSION

In the setting of a patient with IAI complicated by severe sepsis and AKI, it becomes imperative to assess severity and adopt measures that lead to both decrease mortality and costs associated with treatment and hospitalization.

The septic condition has a high incidence and mortality. Therefore, the antibiotic therapy should be chosen according to the severity and clinical status, laboratory results and drug availability, allowing the medical decision to be based on evidence.


REFERENCES

  1. Bulander RE, Dunn DL, Beilman GJ. Schwartz's principles of surgery 2. Chapter 6. Surgical infections. McGraw Hill; 2019. pp. 113-130.

  2. Rattan R, Allen CJ, Sawyer RG, Askari R, Banton KL, Claridge JA, et al. Patients with complicated intra-abdominal infection presenting with sepsis do not require longer duration of antimicrobial therapy. J Am Coll Surg. 2016; 222: 440-446.

  3. Sartelli M, Catena F, Ansaloni L, Coccolini F, Di Saverio S, Griffiths EA. Duration of antimicrobial therapy in treating complicated intra-abdominal infections: a comprehensive review. Surg Infect. 2016; 17: 9-12.

  4. Sood MM, Shafer LA, Ho J, Reslerova M, Martinka G, Keenan S, et al. Early reversible acute kidney injury is associated with improved survival in septic shock. J Crit Care. 2014; 29: 711-717.

  5. Thijs A, Thijs LG. Pathogenesis of renal failure in sepsis. Kidney Int Suppl. 1998; 66: S34-37.

  6. Zamoner W, De Freitas FM, Garms DSS, Gobo OM, Balbi AL, Ponce D. Pharmacokinetics and pharmacodynamics of antibiotics in critically ill acute kidney injury patients. Pharma Res Per. 2016; 4: 1-7.

  7. Sartelli M, Catena F, Ansaloni L, Coccolini F, Corbella D, Moore EE, et al. Complicated intra-abdominal infections worldwide: the definitive data of the CIAOW Study. World J Emerg Surg. 2014; 9: 37.

  8. Sartelli M, Chichom-Mefire A, Labricciosa FM, Hardcastle T, Abu-Zidan FM, Adesunkanmi AK, et al. The management of intra-abdominal infections from a global perspective: 2017 WSES guidelines for management of intra-abdominal infections. World J Emerg Surg. 2017; 12: 29.

  9. Carrillo R, Carrillo JR, Carrillo LD. Epidemiologic study of sepsis in Mexican intensive care units. Cir Ciruj. 2009; 77: 301-308.

  10. Bernato AE, Alexander SL, Linde ZWT, Angus DC. Racial variation in the incidence care and outcomes of severe sepsis. Analysis of population patient and hospital characteristics. Am J Respir Crit Care Med. 2008; 177: 279-284.

  11. Venot M, Weis L, Clec'h C, Darmon M, Allaouchiche B, Goldgran-Tolédano D, et al. Acute kidney injury in severe sepsis and septic shock in patients with and without diabetes mellitus: a multicenter study. PLoS One. 2015; 10: e0127411. doi: 10.1371/journal.pone.0127411.

  12. Spiller F, Carlos D, Souto FO, de Freitas A, Soares FS, Vieira SM, et al. α1-acid glycoprotein decreases neutrophil migration and increases susceptibility to sepsis in diabetic mice. Diabetes. 2012; 61: 1584-1591.

  13. Korbel L, Spencer JD. Diabetes mellitus and infection: an evaluation of hospital utilization and management costs in the United States. J Diabetes Complications. 2015; 29: 192-195.

  14. Machado-Villarroel L, Montano-Candia M, Dimakis-Ramírez DA. Diabetes mellitus and its impact on the etiopathogenesis of sepsis. Acta Méd Grupo Ángeles. 2017; 15: 207-215.

  15. Godínez-Vidal AR, García-Vivanco DM, Montero-García PJ, Martínez-Martínez AR, Gutiérrez-Banda CA, Gracida-Mancilla NI. Usefulness of the SOFA index in abdominal sepsis due to secondary peritonitis. Rev Hosp Jua Mex. 2018; 85: 195-200.

  16. Sartelli M, Catena F, di Saverio S, Ansaloni L, Coccolini F, Trana C, et al. The challenge of antimicrobial resistance in managing intra-abdominal infections. Surg Infect. 2015; 16: 213-220.

  17. Guirao X, Arias J, Badía JM, García-Rodríguez JA, Mensa JJ, Álvarez-Lerma JJ, et al. Recommendations in the empirical antibiotic treatment of intra-abdominal infection. Cir Esp. 2010; 87: 63-81.

  18. Montravers P, Lepape A, Dubreuil L, Gauzit R, Pean Y, Benchimol D, et al. Clinical and microbiolocal profiles and community-acquired and nosocomial intra-abdominal infections: results of the French prospective, observational EBIIA study. J Antimicrob Chemother. 2009; 63: 785-794.

  19. Liñán-Ponce JI, Véliz-Vilcapoma F. Clinical characteristics of the admitted patients with severe sepsis to an Intensive Care Unit. Rev Soc Peru Med. 2008; 21: 121-127.

  20. Bisso AA. Antibiotic therapy in severe infections. Acta Méd Peruana. 2011; 28: 27-38.

  21. Meregalli A, Oliveira RP, Friedman G. Occult hypoperfusion is associated with increased mortality in hemodynamically stable, high-risk surgical patients. Crit Care. 2004; 8: R60-R65.

  22. Regueira T, Andresen M, Mercado M, Downey P. Pathophysiology of acute renal failure during sepsis. Intensive Med. 2011; 35: 424-432.



AFFILIATIONS

1 Social Service Intern in Research. School of Medicine. Benemérita Universidad Autónoma de Puebla.

2 Surgeon and Midwife. Benemérita Universidad Autónoma de Puebla.

3 Resident, General Surgery. Hospital Universitario de Puebla.



Ethical considerations: Procedures in humans must conform to the principles established in the Declaration of Helsinki of the World Medical Association (WMA) and with the provisions of the General Health Law Title Five and Regulations of the General Health Law on Research for Health, and to NOM-012-SSA3-2012, which establish the criteria for the execution of research projects for health in humans, as well as with the rules of the Research Ethics Committee of the institution where they are carried out.



CORRESPONDENCE

Yeiscimin Sánchez-Escobedo. E-mail: yeiscimin@gmail.com




Received: 08/08/2019. Accepted: 02/15/2021

Figure 1
Figure 2
Table 1
Table 2
Table 3

2020     |     www.medigraphic.com

Mi perfil

C?MO CITAR (Vancouver)

Cir Gen. 2020;42