medigraphic.com
ENGLISH

Revista Mexicana de Cirugía Torácica General

Sociedad Mexicana de Cirujanos Torácicos Genrales S.C.
  • Mostrar índice
  • Números disponibles
  • Información
    • Información general        
    • Directorio
  • Publicar
    • Instrucciones para autores        
    • Envío de artículos
  • medigraphic.com
    • Inicio
    • Índice de revistas            
    • Registro / Acceso
  • Mi perfil

2020, Número 3

<< Anterior

Rev Mex Cir Torac Gen 2020; 1 (3)


Leiomiosarcoma pulmonar

Sastre, Ignacio1; España, Manuel1; Ceballos, Roberto1; Bustos, Mario1
Texto completo Cómo citar este artículo 10.35366/101480

DOI

DOI: 10.35366/101480
URL: https://dx.doi.org/10.35366/101480
Artículos similares

Idioma: Español
Referencias bibliográficas: 3
Paginas: 105-107
Archivo PDF: 195.40 Kb.


PALABRAS CLAVE

Neoplasia, leiomiosarcoma.

RESUMEN

El leiomiosarcoma pulmonar es una neoplasia que se incluye dentro del grupo de sarcomas de pulmón, los cuales constituyen de 0.2-0.5% de todos los tumores pulmonares. Se origina del músculo liso bronquial, intersticial o vascular. El mejor tratamiento es la resección quirúrgica completa, cuando es factible, lo cual logra una mayor supervivencia. Presentamos el caso de una paciente de 78 años que consulta por disnea progresiva, de dos meses de evolución, con hallazgo imagenológico de una masa pulmonar gigante derecha que comprime y desplaza estructuras anatómicas adyacentes: parénquima pulmonar, mediastino y diafragma. Se realiza tratamiento quirúrgico logrando resección total.



CASO

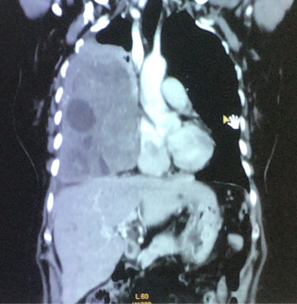
Paciente femenina de 78 años, con antecedente de artritis reumatoide, consulta por disnea progresiva de dos meses de evolución asociado con astenia. Al examen físico se objetiva abolición de murmullo vesicular en campo pulmonar inferior, medio y parte del superior; además de tener espirometría con patrón restrictivo severo. Se solicita tomografía computarizada de tórax (TC) (Figura 1), en la cual se observa masa voluminosa heterogénea, con áreas quísticas, en pulmón derecho, de 126 × 166 mm de tamaño, en íntimo contacto con pared torácica, diafragma y estructuras mediastinales.

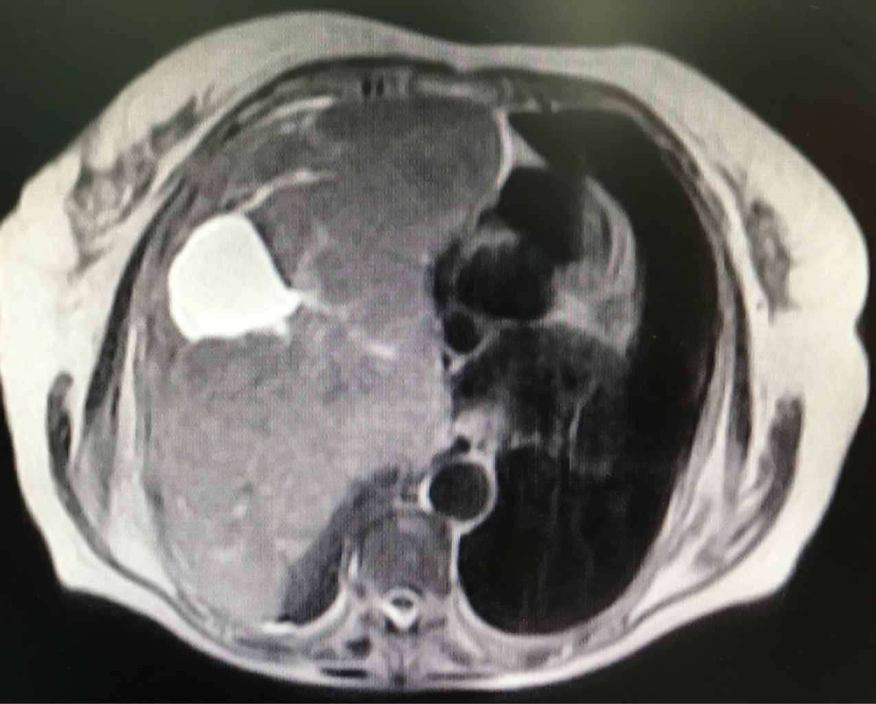
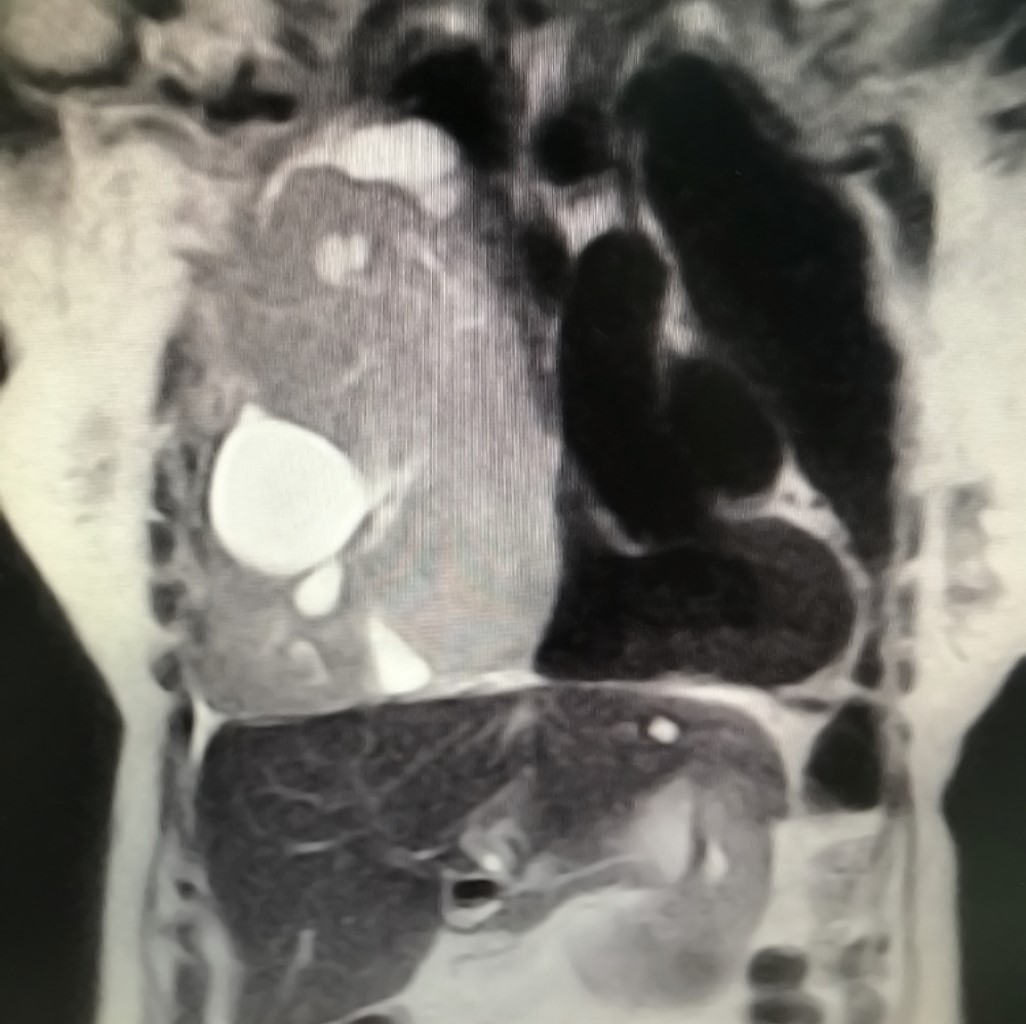
Se efectúa biopsia por punción. El informe de anatomía patológica es: tumor fusocelular, DC 34 negativo, ASMA positivo, S 100 negativo, NSE negativo, Ki67 2% que sugiere como diagnóstico leiomiosarcoma de bajo grado. Se solicita resonancia magnética para visualizar la presencia de infiltración, principalmente de grandes vasos (Figura 2), y estudios para enfermedad a distancia, sin encontrar imágenes compatibles (Figura 3) con metástasis. Se decide, junto con la paciente, familiares y Servicio de Oncología, la conducta quirúrgica para lograr extirpación completa o la mayor resección posible.

Se realiza primero videofibrobroncoscopia, sin evidenciar lesiones endobronquiales. Se continúa con toracotomía derecha amplia. Se logra resección completa del tumor, junto con fragmento de diafragma y parénquima pulmonar. Tumor de aproximadamente 1.5 kg, compatible con leiomiosarcoma de bajo grado, con márgenes de resección libres de lesión (Figura 4). La paciente logra buena expansión pulmonar en el posoperatorio inmediato. Se recupera en la Unidad de Cuidados Intensivos al inicio y después continúa en sala general, con buena evolución (Figura 5).



DISCUSIóN

Los sarcomas de pulmón son neoplasias raras que representan de 0.2-0.5% de todos los tumores pulmonares, siendo el leiomiosarcoma el más frecuente.1,2 Hasta el año 2015 fueron reportados 127 casos aproximadamente, lo que demuestra su baja frecuencia. Es más frecuente en hombres.3 Tiene origen en el músculo liso de las paredes vasculares, de los bronquios o del intersticio que rodea las paredes alveolares. Al ser la mayoría de las veces metastásico es necesario descartar otras localizaciones.

Clínicamente se presenta de forma inespecífica, puede manifestarse con tos, disnea, dolor torácico, astenia, hemoptisis. El diagnóstico precoz es fundamental, ya que mientras más tardío, más posibilidades de encontrar metástasis. La tomografía computarizada y la resonancia magnética son los estudios de elección para valorar la morfología de la lesión, la extensión local y la distancia en este tipo de sarcoma.1,2 El diagnóstico se confirma a través de punción biopsia, biopsia incisional o escisional, según el tamaño y la localización del tumor.2

El diagnóstico histológico del leiomiosarcoma se sospecha al identificar una proliferación fascicular de células fusiformes que muestran intersecciones en ángulos rectos.1,3 La utilización de marcadores como anticuerpo antimúsculo liso ayudan al diagnóstico.

Las modalidades terapéuticas aplicables son la resección quirúrgica, radioterapia o quimioterapia. La extirpación total de la lesión es el tratamiento ideal, puesto que la radioterapia y la quimioterapia no han demostrado mejorar la supervivencia a largo plazo. Esta última dependerá del grado del tumor, el tamaño y el tipo de resección a realizar (si es factible la cirugía).1-3

En nuestro caso, a pesar del gran tamaño de la lesión, se logró la resección quirúrgica completa con márgenes libres, logrando preservar buena parte del parénquima pulmonar.

Como conclusión, creemos que una valoración preoperatoria precisa puede llevar a un tratamiento quirúrgico curativo, apartando el paradigma de que las lesiones de gran tamaño no son factibles de resección en primer lugar. A su vez, aportamos nuestro caso a la escasa casuística revisada en la literatura.


REFERENCIAS (EN ESTE ARTÍCULO)

  1. Luthra M, Khan H, Suhail MF, Avadhani V. Leiomiosarcoma pulmonar primario: presentación de un caso. Arch Bronconeumol. 2012; 48(12): 476-478.

  2. Xie X, Chen Y, Ding C et al. Primary pulmonary leiomyosarcoma: a case report. Oncol Lett. 2016; 11(3): 1807-1810.

  3. Nath D, Arava S, Joshi P, Madan K, Mathur S. Primary pulmonary leiomyosarcoma of lung: an unusual entity with brief review. Indian J Pathol Microbiol. 2015; 58(3): 338-340.



AFILIACIONES

1 Servicio de Cirugía Torácica del Hospital Privado Universitario de Córdoba. Córdoba, Argentina.



Conflicto de intereses: Ninguno.



CORRESPONDENCIA

Ignacio Sastre. E-mail: ignaciosastrecirugia@gmail.com




Recibido: 04/07/2019. Aceptado: 19/09/2019

Figura 1
Figura 2
Figura 3
Figura 4
Figura 5

2020     |     www.medigraphic.com

Mi perfil

C?MO CITAR (Vancouver)

Rev Mex Cir Torac Gen. 2020;1

ARTíCULOS SIMILARES

CARGANDO ...