medigraphic.com
ENGLISH

Archivos de Investigación Materno Infantil

ISSN 2007-3194 (Impreso)
Órgano de difusión oficial del Instituto Materno Infantil del Estado de México
  • Mostrar índice
  • Números disponibles
  • Información
    • Información general        
    • Directorio
  • Publicar
    • Instrucciones para autores        
  • medigraphic.com
    • Inicio
    • Índice de revistas            
    • Registro / Acceso
  • Mi perfil

2020, Número 2

<< Anterior Siguiente >>

Arch Inv Mat Inf 2020; 11 (2)


Colocación y posicionamiento de catéteres umbilicales

Valdés López, Alfredo1; Valdés Vázquez, Nimbe O2
Texto completo Cómo citar este artículo 10.35366/101553

DOI

DOI: 10.35366/101553
URL: https://dx.doi.org/10.35366/101553
Artículos similares

Idioma: Español
Referencias bibliográficas: 13
Paginas: 66-76
Archivo PDF: 455.50 Kb.


PALABRAS CLAVE

Catéter umbilical, neonato, acceso vascular.

RESUMEN

El recién nacido inestable requiere accesos vasculares inmediatos, los vasos umbilicales son fáciles de cateterizar para infusión de todo tipo de medicamentos; sin embargo, los catéteres mal colocados y posicionados pueden causar complicaciones tan graves que desencadenen la muerte, por lo que es indispensable conocer la técnica de colocación y posicionamiento correcto, así como una adecuada interpretación radiológica para determinar su localización y realizar las modificaciones pertinentes o incluso su retiro.



INTRODUCCIóN

La colocación de catéteres umbilicales es un procedimiento muy utilizado en las salas de partos y en la Unidad de Cuidados Intensivos Neonatales. Nos permite contar con un acceso vascular en aquellos recién nacidos que se encuentran cursando una enfermedad o una condición patológica que les impide una alimentación enteral inmediata, ya sea por causa médica o quirúrgica, durante un periodo variable de tiempo hasta reestablecer su salud. La primera reseña de cateterización umbilical la realizó Diamond LK, médico del Boston Children's Hospital en 1947. James, en 1959, realizó procedimientos por esta vía y Kitterman desde 1970 empleó catéteres umbilicales como una práctica común;1 de tal forma que se pueden administrar líquidos, medicamentos, nutrición parenteral, hemoderivados, monitorear el estado hemodinámico del paciente y la realización de procedimientos, tales como exanguinotransfusión y nos facilita la toma de muestras sanguíneas para todo tipo de análisis sin estar venopuncionando al paciente frecuentemente, reduciendo el estrés y el dolor en el recién nacido. Este procedimiento tiene establecida una técnica precisa para evitar causar daño o complicaciones al paciente por una posición incorrecta de la punta del catéter venoso o arterial (que se presenta en 20 a 37% para el catéter venoso y para el arterial es mayor), por la infusión de líquidos con alta osmolaridad a venas no centrales con consecuencias desastrosas, por fijación inadecuada de los catéteres, por un tiempo de permanencia prolongado, por no proporcionar cuidados óptimos para mantener el catéter libre de microorganismos potencialmente patógenos y por condiciones inadecuadas para su retiro. Las posiciones anómalas de los catéteres umbilicales son frecuentes, lo que puede causar complicaciones graves o incluso la muerte, por lo que es indispensable conocer la técnica de colocación y realizar una adecuada evaluación radiológica de control de los catéteres por el médico con base en el conocimiento anatómico normal y realizar las correcciones correspondientes o, incluso, de ser necesario retirarlos.1-6

INDICACIONES4,5

Catéter venoso. Sus usos son:

  • 1. Acceso inmediato para la infusión de líquidos intravenosos (cristaloides y coloides), hemoderivados y medicación durante la reanimación neonatal. Para este fin, el catéter se introduce de 2 a 4 cm por debajo de piel o cuando se obtiene un flujo libre de sangre.7
  • 2. Acceso intravenoso adicional cuando con el acceso venoso con el que se cuenta es insuficiente y se requiera la administración segura y más cantidad de líquidos, medicamentos, hemoderivados y nutrición parenteral.
  • 3. Cuando los líquidos a administrar tengan una concentración mayor de 12.5%, o bien, la osmolaridad sea muy elevada, mayor de 800 mOsm/L.8 Es bien sabido que altas concentraciones en la osmolaridad provocan inflamación del endotelio venoso y condiciona obstrucción del vaso e incluso su perforación con consecuencias muy graves.
  • 4. Para todo tipo de extracciones analíticas, evitando venopunciones repetidas, disminuyendo el estrés y el dolor del recién nacido.
  • 5. Monitoreo continuo de la presión venosa central (PVC) y condiciones hemodinámicas.
  • 6. Recién nacidos con peso extremadamente bajo al nacer, < 1.000 kg.
  • 7. Exanguinotransfusión, por esta vía se pueden extraer y/o introducir las alícuotas correspondientes.

Catéter arterial. Nunca administrar por esta vía medicamentos, nutrición parenteral ni hemoderivados. La posición alta del catéter arterial umbilical se asocia a menos complicaciones que la posición baja.9

  • 1. Monitoreo continuo de la presión arterial invasiva.
  • 2. Extracciones analíticas, incluyendo gases arteriales, evitando que el recién nacido sea puncionado en arterias periféricas repetidamente.
  • 3. Infusión de cristaloides.



CONTRAINDICACIONES

Catéter venoso. Contraindicaciones para su uso:

  • 1. Onfalocele.
  • 2. Gastrosquisis.
  • 3. Onfalitis.
  • 4. Peritonitis.

Catéter arterial. Contraindicaciones para su uso:

  • 1. Las anteriores.
  • 2. Enterocolitis necrosante: no hay relación causa-efecto comprobada.
  • 3. Compromiso vascular en extremidades inferiores.
  • 4. Nunca administrar vasopresores por la línea arterial.



CALIBRE Y LúMENES

  • Catéter venoso 4 o 5 French y 1 o 2 lúmenes.
  • Catéter arterial 3.5 French y 1 lumen.



TéCNICA DE COLOCACIóN

Catéter venoso. Para su colocación y posicionamiento correcto, primero debemos conocer la distancia hombro-ombligo, la cual es la línea perpendicular que une dos paralelas, una de ellas pasa por los hombros del recién nacido y la otra pasa a nivel del cordón umbilical (Figura 1).

Conocida la distancia hombro-ombligo, se procede a elegir el nivel en que quedará la punta del catéter venoso umbilical, siendo el lugar correcto en la intersección de la vena cava inferior y la aurícula derecha, de 0.5 a 1 cm por arriba del hemidiafragma derecho, en la aurícula (Figura 2).9 Para determinar esta posición, debemos utilizar el nomograma de Dunn venoso (basado en mediciones de los vasos umbilicales en necropsias de neonatos),10 una vez conocida la distancia hombro-ombligo en las abscisas, seleccionamos la posición correcta, que se encuentra en la parte media de las líneas que delimitan la altura de ombligo-diafragma y ombligo-aurícula izquierda, y de esta manera se obtiene en las ordenadas la distancia en centímetros a introducir del catéter. Siempre debemos sumar la longitud del muñón umbilical a la distancia obtenida (Figura 3).

El trayecto que normalmente debe recorrer el catéter venoso umbilical para que quede en la posición correcta es el siguiente: se introduce por la vena umbilical, llegando al primer receso venoso umbilical, lugar al que llegan las venas portales derecha e izquierda y donde inicia el conducto venoso de Arancio con una longitud de 1 a 2 cm y posteriormente llega al segundo receso umbilical, lugar al que llegan las venas hepáticas derecha e izquierda, y en seguida pasa a la vena cava inferior para terminar en la entrada de la aurícula derecha (Figuras 2 y 4). Generalmente, el catéter sigue el trayecto descrito; sin embargo, sucede en ocasiones que se puede desviar a múltiples lugares según la vena por la cual se deslizó y, por lo tanto, queda en posición anómala, lo que podría provocar múltiples complicaciones, por lo que idealmente se debe solicitar una radiografía toracoabdominal al término de la colocación del catéter para corroborar su posición y, de ser necesario, realizar las correcciones convenientes antes de fijarlo y de retirar el campo estéril. Una vez retirado el campo estéril, un catéter mal posicionado que se encuentre por arriba del sitio correcto sí podrá ser retirado algunos centímetros para dejarlo en posición correcta. Cuando la punta del catéter queda por debajo del hemidiafragma derecho, ya sea en el trayecto normal o en una de las venas del sistema venoso umbilical, no podrá introducirse para dejarlo en una posición correcta, ya que el riesgo de infección es alto, pero sí podrá retirarse algunos centímetros para dejarlo en alguno de los vasos del trayecto normal (Figura 5). Recordar que cuando la punta del catéter venoso queda en cualquier sitio del trayecto normal nunca se podrán manejar soluciones hiperosmolares (> de 800 mOsm/L), ante el peligro de causar daño al endotelio vascular e incluso perforación del vaso. El catéter venoso umbilical puede tener una posición baja, la cual se sitúa de 2-4 cm por debajo de piel de pared abdominal. Esta posición baja se coloca al momento del nacimiento, cuando el recién nacido se encuentra en malas condiciones y requiere de una infusión rápida de líquidos, medicamentos o hemoderivados, no se debe introducir en estos momentos de la reanimación más centímetros, porque se puede situar el catéter en una posición incorrecta y ésta podría hacer que se dirija a la vena portal derecha, infundir los productos al hígado y causar daño importante a este órgano (Figura 6).7

Tradicionalmente, esta inserción se realiza a ciegas después de haber calculado la longitud del catéter a introducir con base en ecuaciones que consideran referencias anatómicas externas (nomograma de Dunn). En 20-30% de las ocasiones, la inserción es insuficiente o excesiva, es decir, la punta queda posicionada en la aurícula derecha o aurícula izquierda, pudiendo originar trombos o arritmias. También el catéter puede quedar por abajo del hemidiafragma derecho, en el sistema venoso umbilical, pudiendo provocar daño hepático, inflamación del endotelio de las venas o incluso su perforación. Por lo que se ha propuesto la colocación guiada del catéter en la vena umbilical mediante ultrasonografía, que ha mostrado una tasa superior de inserción exitosa en intento único, asimismo, menor número de complicaciones o mayor detección temprana de las mismas.6

Catéter arterial. La punta del catéter arterial tiene dos posiciones correctas: alta y baja. La posición alta radiológicamente debe quedar entre las vértebras (dorsales o torácicas) D6-9; mientras que la baja entre las vértebras (lumbares) L3-4. De esta manera, se evita la zona peligrosa que queda en el espacio comprendido entre la vértebra dorsal 10 y la vértebra lumbar 2. Esta zona peligrosa comprende el nacimiento de grandes troncos arteriales (tronco celíaco situado en D11, arteria mesentérica superior en D12-L1, arteria renal izquierda y derecha en L1-L2, arterias vertebrales dorsales y lumbares, arteria mesentérica inferior en L3 y bifurcación de la aorta en L4) que deben ser evitados por la posibilidad de provocar la liberación de émbolos o momentos de isquemia que condicionen la aparición de daño renal, intestinal, de médula espinal o de extremidades inferiores (Figuras 7 y 8).2

Una vez conocida la distancia hombro-ombligo, recurrimos al nomograma de Dunn arterial (Figura 3), y seleccionamos en las abscisas esta distancia, enseguida determinamos la altura del catéter, alta o baja. Si seleccionamos la posición alta, situamos la punta del catéter en la mitad de las líneas que delimitan ombligo-diafragma y ombligo-válvula aórtica, y de esta manera se obtiene en las ordenadas la distancia a introducir del catéter arterial alto. Si deseamos colocar la punta del catéter arterial en posición baja, seleccionamos la distancia hombro-ombligo en las abscisas del monograma de Dunn arterial y la punta del catéter lo situamos inmediatamente por arriba de la línea ombligo-bifurcación de la aorta y, de esta manera, determinamos en las ordenadas la distancia a introducir del catéter arterial bajo. Siempre debemos sumar la longitud del muñón umbilical a la distancia obtenida. Antes de fijar y retirar campos estériles solicitamos una radiografía toracoabdominal portátil para determinar la posición de la punta del catéter y si es necesario se hacen modificaciones. Una vez terminado el procedimiento de colocación y posicionamiento del catéter arterial umbilical y de haber retirado el campo estéril no será posible introducir el catéter para tratar de dejar la punta en posición correcta, pero sí se podrá retirar algunos centímetros para posicionarlo correctamente. El trayecto que normalmente debe seguir el catéter arterial es el siguiente: se introduce por una de las arterias umbilicales, derecha o izquierda, deslizándose por la arteria hipogástrica, derecha o izquierda, llegando a la arteria iliaca interna, derecha o izquierda, continuando por la arteria iliaca, derecha o izquierda, y llegar a la arteria aorta para ascender a una posición correcta baja entre las vértebras L3-4 o alta entre las vértebras D6-9 (Figuras 4 y 9).



MéTODO DE SHUKLA Y FERRARA

Este método utiliza fórmulas de regresión aritmética basadas en el peso al nacimiento para calcular en centímetros la distancia en la que se debe introducir los catéteres arterial y venoso para que queden bien posicionados (Tablas 1 y 2).10



CóMO DIFERENCIAR UN CATéTER UMBILICAL VENOSO DE UNO ARTERIAL

Podemos diferenciar un catéter umbilical arterial de uno venoso por clínica, radiología y por gasometría:

  • 1. Al momento de cateterizar arteria umbilical al levantar el catéter por arriba del nivel del cuerpo del recién nacido, observaremos cómo pulsa o sube y baja el nivel de la sangre, además de que esta sangre es color rojo "vivo". En el caso de cateterizar vena, ésta no pulsa y la sangre es rojo "obscuro".
  • 2. Se pueden diferenciar radiológicamente por su trayecto anatómico, el catéter venoso al entrar a pared abdominal se dirige hacia dirección cefálica y se sitúa en el lado derecho de abdomen y el arterial al entrar a pared abdominal se dirige hacia dirección podálica, de tal forma que baja para entrar a la arteria iliaca interna derecha o izquierda y hace un bucle para ascender por las iliacas y llegar a la arteria aorta, situándose ligeramente por el lado izquierdo del abdomen.
  • 3. Al tomar una gasometría simultánea de los catéteres, la PaO2 más alta corresponde al catéter arterial.
  • 4. El calibre del catéter venoso siempre es mayor (4 o 5 Fr) que el del catéter arterial (3.5 Fr).
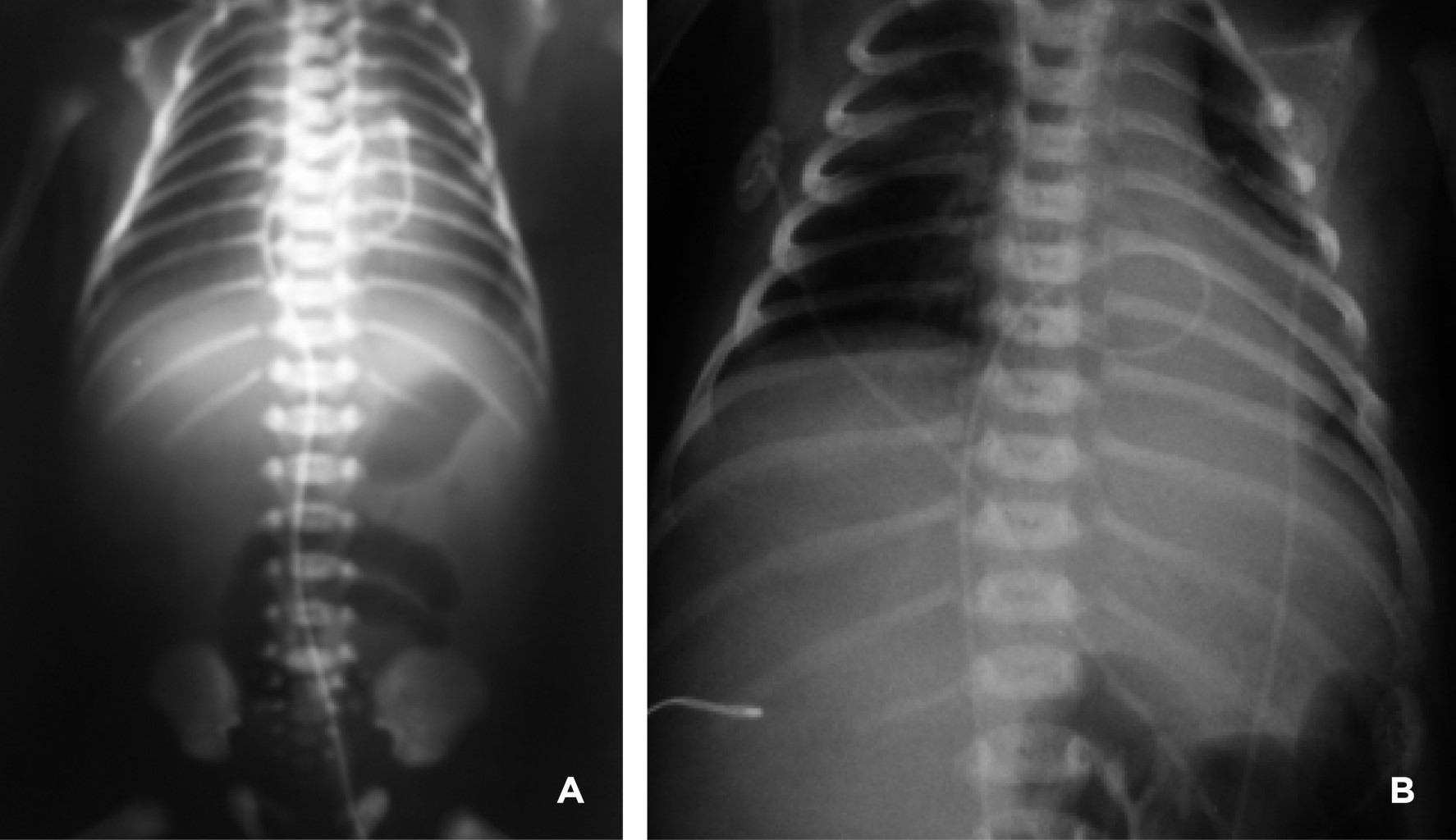
  • 5. El catéter arterial siempre se fija en el lado derecho del abdomen, entre el mesogastrio y flanco derecho; y el catéter venoso en el lado izquierdo, entre el mesogastrio y flanco izquierdo (Figuras 10 y 11).
  • 6. En una radiografía tangencial de abdomen y tórax, los catéteres tienen una distribución muy particular, el venoso se dirige siempre hacia dirección cefálica, hacia arriba por la pared abdominal anterior para pasar a un lado del hígado y llegar al corazón derecho. El catéter arterial se dirige siempre hacia dirección podálica, hacia abajo de la pared abdominal hasta alcanzar la arteria iliaca interna derecha o izquierda y de esta forma ascender para llegar a la arteria aorta, haciendo un bucle y correr por encima de los cuerpos vertebrales lumbares y dorsales (Figuras 12 y 13).



COMPLICACIONES

La duración o permanencia de los catéteres está directamente relacionado con la aparición de complicaciones, a mayor tiempo de permanencia mayor el número de complicaciones. La permanencia media de los catéteres umbilicales en arteria es de cinco días y en vena de ocho. La presentación de complicaciones asociadas con catéteres umbilicales es muy variable, de 6 a 30%. Estas complicaciones disminuyen significativamente con un buen manejo y cuidado de enfermería, con rigurosas medidas de asepsia, por lo que es muy conveniente que cada hospital cuente con una clínica de catéteres.1-5,11,12

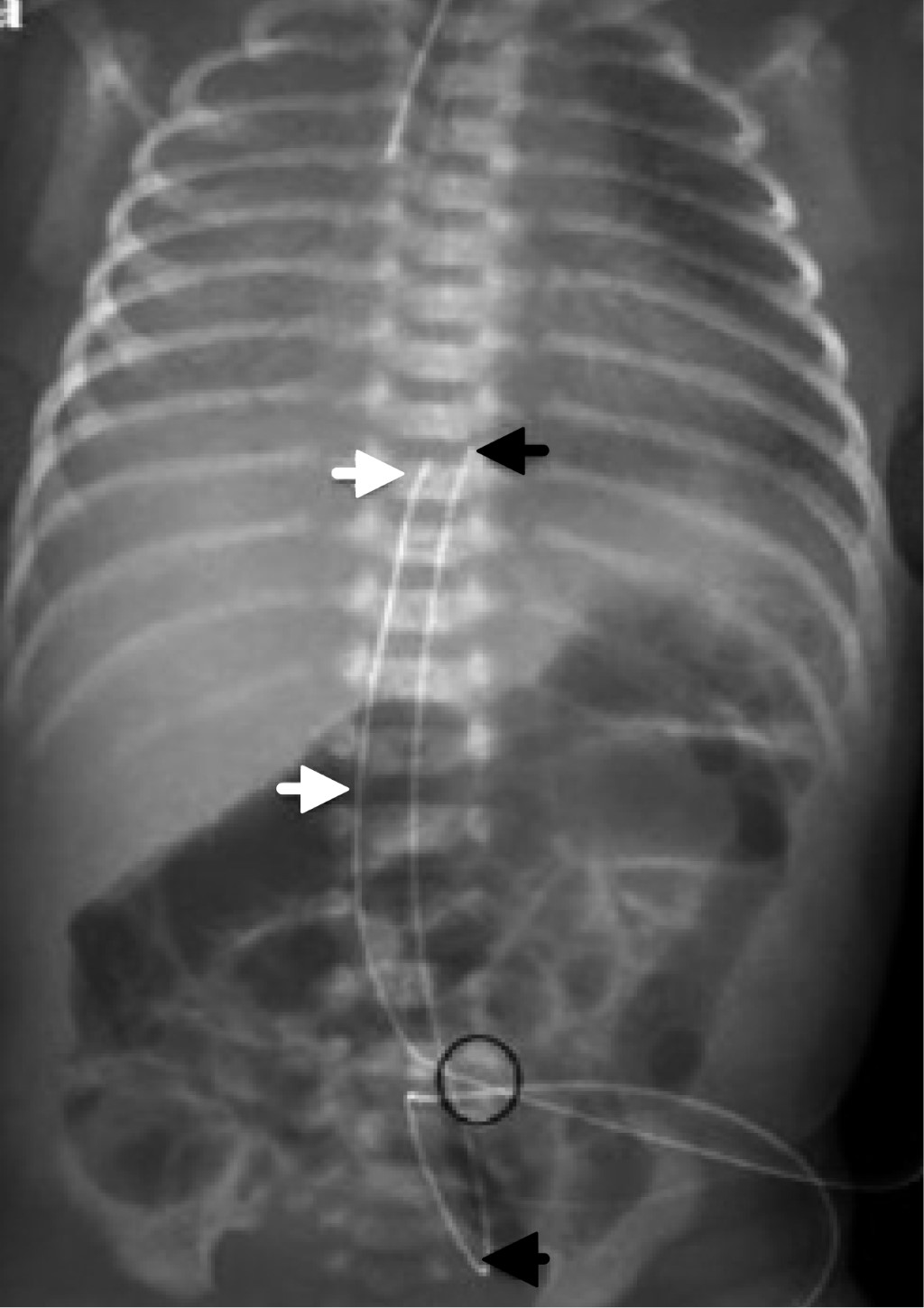
  • 1. Posición anómala: provoca complicaciones relativamente menores y otras potencialmente mortales. En muchas ocasiones es necesario solicitar otras proyecciones radiológicas para tener una interpretación correcta. Ante la duda, pedir apoyo a personal con mayor experiencia o a un experto radiólogo. El catéter umbilical venoso puede quedar enrollado en cualquiera de las cámaras del corazón e incluso por arriba de él (vena cava superior, vena yugular interna, vena innominada, venas pulmonares derechas o izquierdas, arteria pulmonar), o por debajo del hemidiafragma derecho (en el sistema venoso umbilical o en vena cava inferior) (Figura 14).
  • Cuando el catéter arterial umbilical queda mal posicionado, en una arteria periférica, puede provocar fenómenos por blanqueamiento de extremidades o perforación del vaso arterial. En las Figuras 15 y 16 se observa a un recién nacido con lesiones de hiperemia, necrosis y celulitis en la región glútea izquierda, por un catéter arterial mal posicionado y por el cual se infundió por error NPT, en la arteria glútea superior izquierda que perforó el vaso, al retirar el catéter las lesiones remitieron.
  • 2. La trombosis asociada a catéter venoso puede causar obstrucción del sistema venoso hepático, provocando trombosis portal, cuya complicación más tardía (se puede manifestar hasta 10 años después) es la hipertensión portal o síndrome de Budd-Chiari. En relación al catéter arterial la complicación más temible es la trombosis, que se presenta desde 9 a 28%, y la complicación más frecuente es la hipertensión arterial sistémica, provocada por estenosis de la arteria renal como consecuencia de la colocación incorrecta del catéter cerca de las arterias renales, pudiendo llegar a provocar en recién nacidos prematuros hemorragia intraventricular. No se ha demostrado que la posición alta o baja del catéter arterial incida sobre la frecuencia de trombosis, por lo que teniendo en cuenta este hecho, es más práctico dejar el catéter en posición alta, ya que en esta forma existe un mayor margen entre las distancias adecuadas; además, en caso de quedar en posición anómala, zona peligrosa, se puede retirar parcialmente a la posición baja. Debemos tener presente que nunca se podrá avanzar un catéter arterial o venoso que esté mal posicionado después de instalado.3,9,12
  • 3. Aneurisma y disección de la aorta.
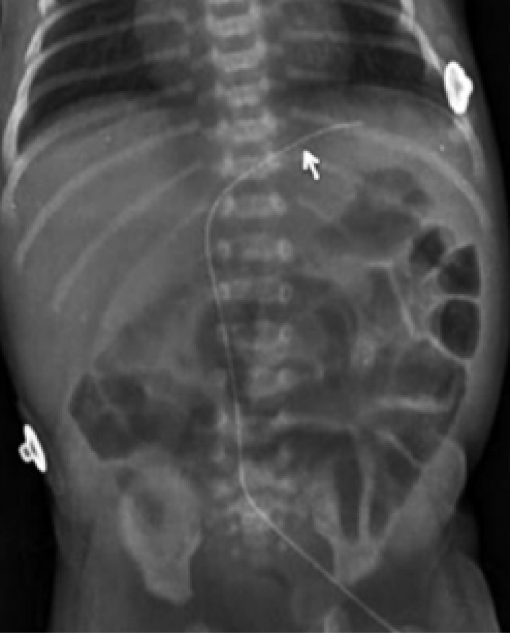
  • 4. Laceración hepática, quistes hepáticos, acumulación de líquido en el hígado, ascitis, necrosis hepática y perforación de un vaso tras la colocación (Figuras 6 y 17).4,5
  • 5. Dentro de las complicaciones descritas asociadas a catéter venoso tenemos: derrame pleural o hidrotórax, infarto hemorrágico del pulmón, perforación de colon y peritoneo, perforación del endocardio con subsecuente derrame pericárdico y taponamiento cardiaco, este último con una frecuencia de 0.5-2% y potencialmente mortal. La embolia gaseosa se puede presentar en el momento de retirar el catéter, cuando el recién nacido genera suficiente presión intratorácica negativa durante el llanto.5,12
  • 6. Perforación de venas periféricas. Cuando la concentración de dextrosa es superior a 12.5% o la solución es hipertónica, NPT > 800 mOsm/L, no se debe infundir por una vena periférica por el peligro de perforar del vaso, provocando hidrotórax, hidroperitoneo o extravasación de esa solución con lesión del tejido circundante provocando varias lesiones.
  • 7. Infecciones. Son las complicaciones más frecuentemente observadas en los recién nacidos portadores de catéteres umbilicales, por lo que debemos minimizar el riesgo de infección aplicando una técnica estrictamente estéril al momento de la colocación y en los cuidados posteriores del catéter, por lo que es conveniente que cada hospital cuente con su clínica de catéteres. Se observa sepsis relacionada con catéter hasta en 16%,5 endocarditis, absceso hepático, etc. Los factores de riesgo que influyen en esta progresión son el bajo peso al nacer, antibioticoterapia previa y perfusión de alimentación parenteral a través del catéter.4,5 Estas infecciones pueden estar condicionadas porque 90% de los vasos umbilicales ya están colonizados por bacterias al tercer día de vida procedentes de piel o adquiridas en el canal genital, porque el cateterismo umbilical, al ser un procedimiento invasivo, favorece la entrada de bacterias al torrente sanguíneo y por el tiempo de permanencia prolongada del catéter. El tiempo de permanencia promedio del catéter arterial debe ser de cinco días, mientras que para el venoso es de ocho. Se reportan cifras de contaminación de catéteres umbilicales variables desde 18.4% hasta 50%, siendo más frecuente en catéteres arteriales y en los recién nacidos menores de 1.500 kg. Los agentes etiológicos aislados en más de 70% de los casos son cocos grampositivos de procedencia cutánea, Staphylococcus epidermidis, seguidos de gramnegativos y Candida spp.4,5,12
  • 8. Vasoespasmo arterial. Cuando el catéter arterial se deja en posición baja anómala puede presentar cambios de coloración de las extremidades inferiores (Figura 18), glúteos o ambos, consistentes en general por blanqueamientos transitorios. Cuando ello ocurre la conducta es calentar la pierna contralateral, con una compresa tibia, intentando producir vasodilatación refleja y si en un plazo de 15 minutos el fenómeno persiste, el catéter debe ser retirado, ya que se reporta incluso pérdida de la extremidad. Si a pesar de retirarlo persisten datos de isquemia, utilizar fibrinolíticos, vasodilatadores o heparinización.3,5 El catéter arterial en posición alta anómala se puede asociar a hipertensión arterial, isquemia renal (insuficiencia renal), hipoglucemia refractaria (punta del catéter en arteria celiaca), isquemia mesentérica (enterocolitis necrosante), isquemia de médula espinal e isquemia de extremidades inferiores.4 Otras complicaciones del catéter arterial descritas son falsos aneurismas, embolismos aéreos y de gelatina de Wharton y rotura de la vejiga.
  • 9. Sangrado. Constituye una de las complicaciones más frecuentes, porque no se cumple con las pautas recomendadas, ni se mantienen los cuidados adecuados en la colocación y mantenimiento de los catéteres.
  • 10. Fracturas del catéter con migración del mismo o eventual salida, lo que constituye un riesgo grave para la vida, ya que presentará sangrado importante o requerirá extracción quirúrgica.
  • 11. Arritmias cardiacas, por localización intracardiaca del catéter venoso umbilical irritando el endocardio (Figura 19).
  • 12. Obstrucción del catéter. La frecuencia de obstrucción del catéter arterial aumenta después de cinco días de permanencia. Este problema disminuye significativamente al administrar heparina a dosis de 0.5-1 U/mL. Los catéteres obstruidos deben ser retirados de inmediato, pues es muy peligroso intentar reabrirlos, cuando en estos casos el catéter arterial es muy necesario se intenta introducir otro nuevo, lo que habitualmente se logra con relativa facilidad.3


REFERENCIAS (EN ESTE ARTÍCULO)

  1. Oztana MO, Ilhanb O, Abayc E, Koyluoglua G. Complicación del catéter venoso umbilical que se presentó como abdomen agudo. A propósito de un caso. Arch Argent Pediatr. 2016; 114 (6): e429-e431.

  2. Fuentealba L, Retamal A, Ortiz G, Pérez M. Evaluación radiológica de catéteres en UCI neonatal. Rev Chil Pediatr. 2014; 85 (6): 724-730.

  3. Tapia JI, Ventura-Junca P, González H, Winter A, Juez G. Cateterismo umbilical arterial. Seis años de experiencia. Rev Chil Pediatr. 1986; 57 (2): 133-137.

  4. Bernal RA, González RG. Complicación poco esperada de colocación de catéter umbilical. An Med (Mex). 2016; 61 (4): 291-295.

  5. Fernández CB, Ramos AA, López SJB, Coto CGD. Estudio prospectivo sobre el empleo de catéteres umbilicales en el recién nacido. An Esp Pediatr. 2000; 53 (5): 470-478.

  6. Guzmán-de la Garza FJ, Laredo-Flores AD, Cárdenas-del Castillo B, Cordero-Franco HF, Salinas-Martínez AM, Fernández-Garza NA et al. Cateterización venosa umbilical guiada por ultrasonografía: un análisis de coste-efectividad. An Pediatr (Barc). 2020; 92 (4): 215-221.

  7. Lección 7: Medicamentos. En: Weiner GM. Libro de texto sobre reanimación neonatal. 7a edición. Illinois: American Heart Association y American Academy of Pediatrics; 2016. 183-212.

  8. García de Lorenzo A, Ayúcar A, Sagaléz M, Zarazaga A. II Mesa de trabajo Baxter-SEMPE: nutrición parenteral periférica. Nutr Hosp. 2007; 22 (2): 213-216.

  9. Bancalari E, Claure N, Jain D. Neonatal respiratory therapy. In: Gleason CA, Juul SE (Eds). Avery's diseases of the newborn. 10th ed. Philadelphia, Pennsylvania: Elsevier; 2018. 632-652.

  10. Ramírez-Ortiz NE. Colocación de catéteres umbilicales (arterial y venoso) [Tesis]. México, DF: Facultad de Medicina, Instituto Nacional de Pediatría, UNAM; 2014.

  11. Carbajal B, Mayans E, Rufo R, Silvera F. Pauta de colocación de catéteres umbilicales. Arch Pediatr Urug. 2016; 87 (3): 263-268.

  12. Cáceres-Papadakis GU, Pérez-Villalobos HM, Ugalde-Fernández JH, Gamboa-Cáceres IA. Complicaciones asociadas a la colocación de catéteres umbilicales en neonatos. Rev Mex Pediatr. 2007; 74 (2): 70-73.

  13. Dunn PM. Localization of the umbilical catheter by post-mortem measurement. Arch Dis Child. 1966; 41 (215): 69-75.



AFILIACIONES

1 Pediatra y Neonatólogo, Jefe del Servicio de Neonatología del Hospital Para el Niño, Instituto Materno Infantil del Estado de México, 1998-2020.

2 Pediatra y Neonatóloga. Hospital Florencia, Toluca, Estado de México.



CORRESPONDENCIA

Dr. Alfredo Valdés López. E-mail: alfredval56@hotmail.com




Recibido: 18/05/2020. Aceptado: 11/08/2020.

Figura 1
Figura 2
Figura 3
Figura 4
Figura 5
Figura 6
Figura 7
Figura 8
Figura 9
Figura 10
Figura 11
Figura 12
Figura 13
Figura 14
Figura 15
Figura 16
Figura 17
Figura 18
Figura 19
Tabla 1
Tabla 2

2020     |     www.medigraphic.com

Mi perfil

C?MO CITAR (Vancouver)

Arch Inv Mat Inf. 2020;11

ARTíCULOS SIMILARES

CARGANDO ...