medigraphic.com
ENGLISH

Acta Ortopédica Mexicana

ISSN 2992-8036 (Digital)
ISSN 2306-4102 (Impreso)
Órgano Oficial del Colegio Mexicano de Ortopedia y Traumatología
  • Mostrar índice
  • Números disponibles
  • Información
    • Información general        
    • Directorio
  • Publicar
    • Instrucciones para autores        
  • medigraphic.com
    • Inicio
    • Índice de revistas            
    • Registro / Acceso
  • Mi perfil

2021, Número 2

<< Anterior Siguiente >>

Acta Ortop Mex 2021; 35 (2)


La lesión vascular asociada a la luxación de rodilla

Gómez-Bermúdez, SJ1; Vanegas-Isaza, D1; Herrera-Almanza, L2; Roldán-Tabares, MD2; Coronado-Magalhaes, G2; Fernández-Lopera, JF3; Martínez-Sánchez LM, 4
Texto completo Cómo citar este artículo 10.35366/101872

DOI

DOI: 10.35366/101872
URL: https://dx.doi.org/10.35366/101872
Artículos similares

Idioma: Español
Referencias bibliográficas: 80
Paginas: 226-235
Archivo PDF: 283.77 Kb.


PALABRAS CLAVE

Luxación, rodilla, diagnóstico, lesión, vascular, pronóstico.

RESUMEN

Introducción: La luxación de rodilla es una lesión poco común, pero considerada grave clínicamente, ya que puede acompañarse de lesiones vasculares y neurológicas que si no tienen un diagnóstico y tratamiento oportuno pueden llegar a la pérdida de la extremidad. Respecto a la lesión vascular es de suma importancia el método diagnóstico óptimo para la identificación de este tipo de lesiones. Objetivo: Presentar la revisión bibliográfica sobre la epidemiología, clasificación y aproximación diagnóstica de la luxación de rodilla con o sin lesión vascular asociada. Métodos: Reporte de la literatura encontrada en bases de datos y análisis basados en experiencia clínica y síntesis de estos documentos. Conclusión: La lesión vascular no es un hallazgo infrecuente en el contexto de una luxación de rodilla, tiene un riesgo elevado de complicaciones e incluso de amputación si no se realiza un diagnóstico temprano, los autores recomiendan la angio-TAC para confirmar la sospecha diagnóstica y no retrasar el tratamiento.



INTRODUCCIóN

La luxación de rodilla o lesión multiligamentaria de la rodilla, como también se le llama, es una lesión poco frecuente, pero grave debido a que se acompaña en un gran número de ocasiones de lesiones vasculares y nerviosas que requieren un diagnóstico y tratamiento oportuno.1 La luxación implica la pérdida de la congruencia de la articulación tibiofemoral (Figura 1), aunque se debe tener en cuenta que la presentación clínica más común es encontrar la rodilla anatómicamente reducida, pero con inestabilidad importante, que para su definición requiere ruptura de por lo menos dos ligamentos principales.2 Por tradición estas lesiones se han atribuido a impactos de alta energía, aunque recientemente se ha observado en situaciones asociadas a mecanismos de trauma de baja energía, en particular en personas con obesidad mórbida.3

Las luxaciones de rodilla a menudo se reducen de manera espontánea, lo que puede conducir a una elevada tasa de presentación tardía o diagnóstico fallido.3 Las luxaciones que reducen espontáneamente con frecuencia tienen radiografías simples en apariencia normales y signos clínicos sutiles, por lo cual el médico debe estar atento y tener un alto índice de sospecha para evitar pasar por alto el diagnóstico y sus complicaciones potencialmente devastadoras como las rupturas arteriales y venosas, lesión nerviosa permanente, trombosis de los vasos poplíteos, síndrome compartimental agudo que requieren fasciotomías de descompresión e incluso la amputación.4

Actualmente existe un debate importante en la literatura sobre el método de diagnóstico óptimo para detección de lesión vascular.5 La angiografía convencional ha sido catalogada como el estándar de oro para el diagnóstico y se utiliza de rutina luego de una luxación de rodilla.5 Algunos reportes recomiendan la realización de este tipo de ayuda diagnóstica para todos los pacientes con luxación de rodilla;6,7 no obstante, muchos autores actualmente recomiendan el uso de la angiografía selectiva, sugiriendo que sólo aquellos pacientes con pulsos anormales o índices tobillo brazo anormales se sometan a este procedimiento.7,8,9



EPIDEMIOLOGíA

La luxación de rodilla constituye una entidad causada por traumas de alta energía, con una incidencia muy baja que puede ser menor de 0.02% de todas las urgencias ortopédicas y menos de 0.5% del total de luxaciones articulares; esto puede representar una subestimación de esta lesión, ya que algunas luxaciones de rodilla se reducen espontáneamente antes de que el paciente reciba una valoración por parte del personal médico y con el tiempo el paciente puede sufrir otras lesiones que requieren atención médica más urgente.10,11,12

Las luxaciones de rodilla ocurren en mayor proporción en población joven; los hombres superan en número a las mujeres con una relación 4:1.4 Generalmente esta luxación es el resultado de mecanismos de trauma de alta energía relacionados con accidentes automovilísticos con más de 50% de los casos reportados por esta causa; sin embargo, se pueden presentar también en mecanismos de baja energía que representan aproximadamente 33% de los casos y por otro lado, tenemos los mecanismos de ultrabaja energía, como una caída simple desde la propia altura, que representan alrededor de 12% de todas las luxaciones de rodilla.13,14,15 Aunque la rodilla puede luxarse en cualquier dirección, las direcciones más comunes son anterior y posterior, siendo la luxación expuesta de rodilla menos frecuente que la luxación cerrada, pero asociada a mayor morbilidad.14

La luxación puede implicar lesión en múltiples estructuras dentro de la rodilla, incluidos ligamentos cruzados y colaterales, estructuras capsulares, meniscos, cartílago articular, tendones y estructuras neurovasculares.16 Dentro de las lesiones asociadas encontramos que uno de cada tres pacientes tiene lesión vascular de la arteria poplítea al momento de la presentación inicial, su diagnóstico de manera temprana es de suma importancia debido a que si no se detecta la lesión en un lapso menor de ocho horas, aproximadamente 86% de los pacientes requerirán de una amputación.11,17 Existe una importante controversia en la literatura con respecto a la tasa de lesión vascular, pues la incidencia informada varía de 7 a 48%; sin embargo, una revisión sistemática más reciente realizada por Medina y colaboradores reveló que la incidencia general de lesión vascular es de 18%. Adicionalmente, en este estudio se descubrió que la lesión vascular ocurre a una tasa de 14.4%, lo que es consistente con lo que se ha informado en estudios más recientes y no menos importante, se ha reportado que la lesión de la arteria poplítea es más común en las luxaciones posteriores de rodilla y puede estar presente hasta en 44% de los casos.1,5,18,19

El daño a las estructuras neurológicas es también una complicación común de la luxación traumática de rodilla, siendo el nervio fibular común la estructura neurológica lesionada con mayor frecuencia con una incidencia que se estima entre 25 y 40%.1,11 Debido a que es una lesión de alta energía, pueden presentarse fracturas asociadas hasta en 60% de los pacientes.14



CLASIFICACIóN DE LA LUXACIóN DE RODILLA

Se han propuesto distintas clasificaciones para la luxación de rodilla, entre ellas están incluidas las luxaciones abiertas o cerradas, según el mecanismo de la lesión en alta, baja o ultrabaja energía, en reducibles o irreducibles y según la posición de la tibia con respecto al fémur en anterior, posterior, medial, lateral o rotacional.20

Actualmente las clasificaciones más aplicadas están enfocadas en la identificación y descripción de las estructuras lesionadas y su gravedad para el manejo posterior.21 En 1963 Kennedy fue el primero en clasificar las luxaciones de rodilla según la dirección del desplazamiento tibial en relación con el fémur en anterior (Figura 2A), posterior (Figura 2B), medial, lateral y rotacional.21 Este sistema de clasificación es muy útil para el clínico, en vista de que le permite planear la maniobra de reducción de la rodilla luxada, además de poder alertarlo sobre una posible lesión neurovascular coexistente.21 La principal limitación con este sistema es la variabilidad en los ligamentos lesionados cuando sólo se tiene en cuenta la dirección de la luxación.22

La clasificación de Schenk es una clasificación anatómica basada en qué ligamento se desgarra, puesto que ayuda en la planificación preoperatoria, ya que permite determinar la necesidad y el momento de reparación o reconstrucción.20 Siendo respectivamente KD I la lesión del ligamento cruzado anterior o ligamento cruzado posterior con compromiso de los ligamentos colaterales variable, KD II lesión que compromete ambos ligamentos cruzados con los ligamentos colaterales intactos, KD III ruptura de ambos ligamentos cruzados más el compromiso de un ligamento colateral, éste a su vez tiene dos subconjuntos que pueden ser medial (M) o lateral (L) según el ligamento colateral comprometido, KD IV donde los dos ligamentos colaterales y los ligamentos cruzados están rotos y KD V cuando hay presencia de luxación y fractura periarticular asociada20 (Tabla 1). Estas clasificaciones son útiles, puesto que adicional a la luxación de rodilla, los pacientes pueden tener lesiones neurológicas y vasculares asociadas a pronósticos desfavorables que conllevan desenlaces como síndrome compartimental, amputación e incluso la muerte.23 Según Chowdhry M y su equipo, 15% de los pacientes que presentaron luxación de rodilla tuvieron lesión vascular. Dentro de éstas, 83.6% correspondían a lesión de la arteria poplítea y 7.54% a lesión de la arteria tibial anterior.23 A su vez, encontraron asociación entre la presencia de lesión del fibular común con la lesión vascular concomitante.23

En cuanto a lesión de ambos ligamentos cruzados, anterior y posterior, la incidencia de la lesión vascular en este contexto oscila entre 16 y 64%, con una media de 30%. En la mayoría de los casos en los que los pacientes presentan lesiones en ambos ligamentos cruzados, se requiere cirugía y en ésta existe la posibilidad de generar lesiones vasculares iatrogénicas, por tanto es de suma importancia tener imagenología al respecto previo al procedimiento quirúrgico.24 Según Boisrenoult y colegas, de los pacientes que presentaron lesión vascular asociada a luxación de rodilla, la mayoría correspondía a lesión KD III-L, seguida de KD III-M y KD I.24 Acorde con lo anterior, en el estudio realizado por Moatshe y colaboradores las lesiones laterales (KD III-L) se asociaron con lesión de la arteria poplítea con un OR de 9.2 (IC 2.0-85.9), es decir, la posibilidad de presentar lesión de la arteria poplítea en pacientes con luxación de rodilla KD III-L es nueve veces la observada en pacientes con otros tipos de lesiones ligamentarias.25

De acuerdo a lo reportado por Lustig y su equipo, la principal lesión vascular encontrada fue trombosis, seguida de espasmo, ruptura intimal y por último ruptura completa.26 La trombosis se da por activación del endotelio generada por la noxa, que ocasiona la activación de proceso de hemostasia.27

El examen físico constituye el paso inicial y uno de los pilares fundamentales en el diagnóstico de posibles lesiones vasculares en el contexto de una luxación de rodilla.28 Miranda y colegas en su estudio sugieren que la exploración de los pulsos distales alcanza un valor predictivo positivo (VPP) de 94% y un valor predictivo negativo (VPN) de 100%.29

En la literatura se encuentran actualmente estudios que difieren unos de otros con respecto al diagnóstico de lesión vascular a través de la exploración y el examen físico; Stannard y colaboradores por su parte proponen un esquema de exploración seriada de pulsos distales las primeras 48 horas tras la luxación de rodilla, de igual forma, la utilización de la exploración física fue predictiva de la necesidad de angiografía con una sensibilidad de 100%, especificidad de 99%, valor predictivo positivo de 90% y un valor predictivo negativo de 100% como método para discriminar los casos en que se realizará arteriografía selectiva.28,30,31 Por el contrario, otros autores reportan que la exploración física aislada no es suficiente para el diagnóstico de las lesiones vasculares.24,26,28,32,33 Adicional a esto ha habido informes de pulsos palpables distales a una oclusión arterial completa en 5 a 15% de los casos,17 por lo que los hallazgos en la exploración física se deberán complementar con otras pruebas diagnósticas no invasivas como el índice tobillo brazo (ITB) o la Eco-Doppler.28

Índice tobillo brazo: el ITB ha demostrado ser una prueba no invasiva importante para detectar las lesiones vasculares. En 1991 Johansen y su equipo definieron que un ITB > 0.9 tenía un valor predictivo negativo de hasta 99% para descartar lesiones arteriales.28,34 De la misma manera, Mills y colegas publicaron resultados en los que un ITB < 0.90 predice la lesión vascular con una sensibilidad de 87-100%, especificidad de 97-100% y valor predictivo positivo de 91-100%.7,28 Seroyer y colegas por su parte proponen el ITB como prueba útil para el diagnóstico precoz de lesiones vasculares y que además ayuda a determinar los casos en los que es útil realizar una arteriografía selectiva.28,35

Clínicamente la mayoría de las luxaciones en la rodilla son evidentes por la historia y por la clínica; sin embargo, es importante tener en cuenta los distintos hallazgos para no confundir el diagnóstico. La hemartrosis y equimosis significativas son signos clínicos que casi siempre están presentes junto con el dolor y la hinchazón que algunas veces limitan el examen físico del paciente.36 El "signo del hoyuelo" es un surco transversal que se forma en la piel a través de la línea medial de articulación de la rodilla que se produce por la invaginación parcial de la cápsula medial, lo que es muy importante en vista de que su presencia sugiere una luxación posterolateral, por lo que su reducción manual estaría contraindicada.37

Hay que tener en cuenta que el examen físico de rodilla en estos casos debe ser sistemático e integral, ya que la gran mayoría de estas lesiones se reducen de manera espontánea y la determinación de los pulsos, como ya se ha mencionado anteriormente, es la prioridad inicial.35

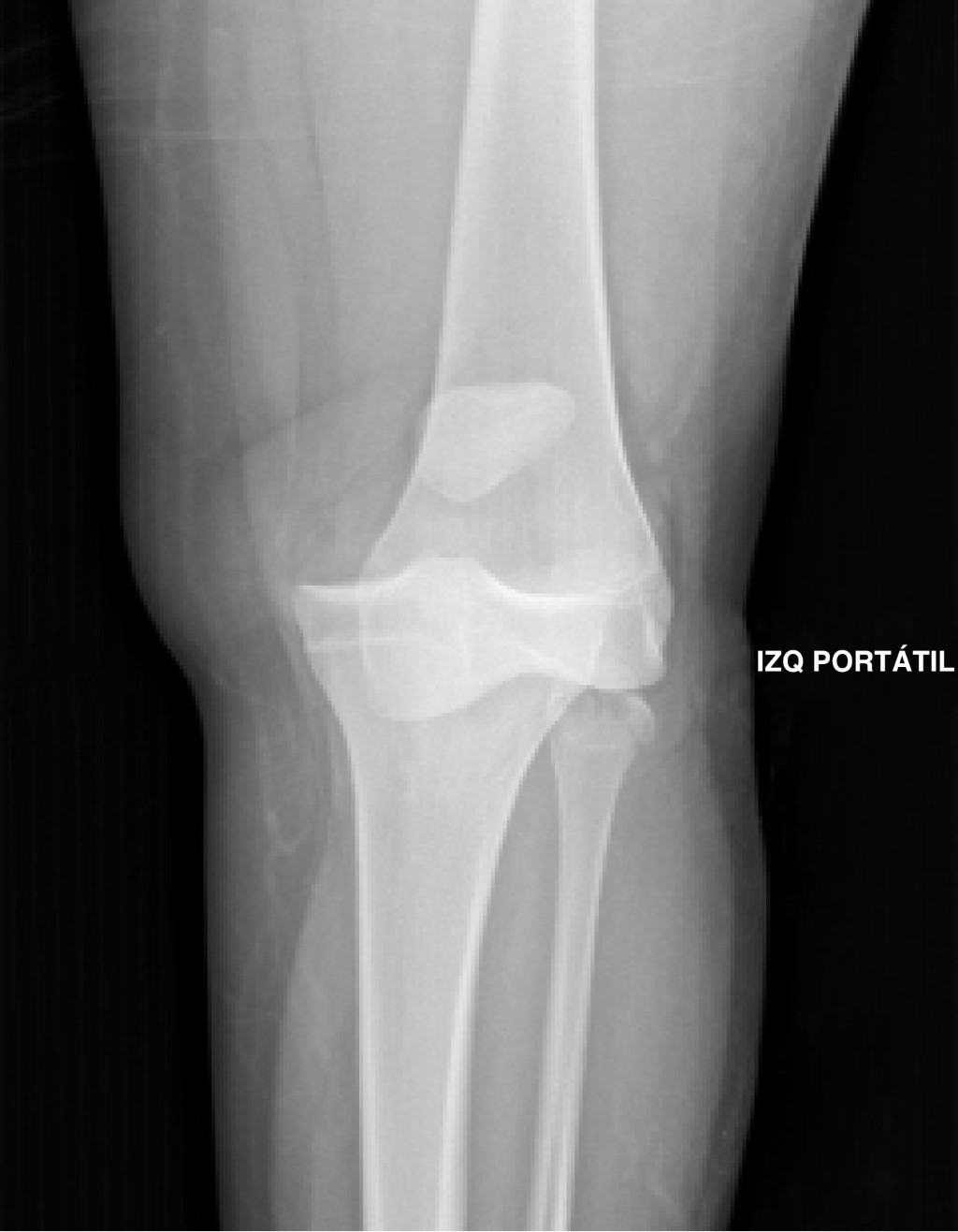
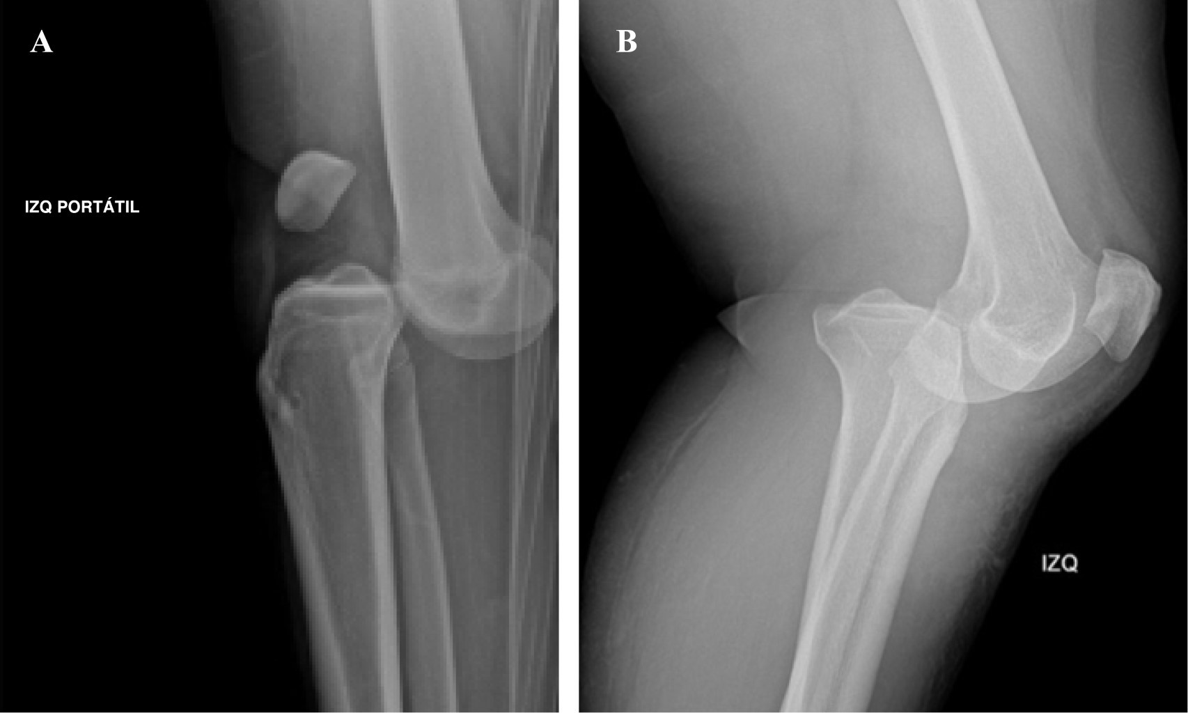
Imagenología: rayos X. El estudio con radiografía simple anteroposterior y lateral en el contexto de la luxación de rodilla se debe dividir en dos escenarios: el primero corresponde al grupo de pacientes que ingresan con una luxación evidente clínicamente, para los cuales las proyecciones AP y lateral son el estudio imagenológico inicial, permitiendo evaluar la dirección de la luxación según la clasificación de Kennedy y así definir el riesgo estimado de lesión vascular, según sea cada caso. Posterior a la realización de las maniobras de reducción es necesario efectuar nuevas proyecciones AP y lateral que permitan evaluar adecuadamente las relaciones de la articulación tibiofemoral en búsqueda de subluxaciones residuales y la presencia de lesiones asociadas (Figura 3).38,39

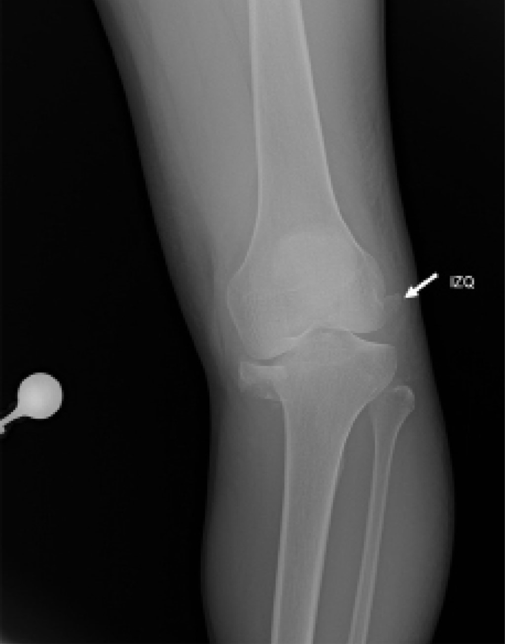
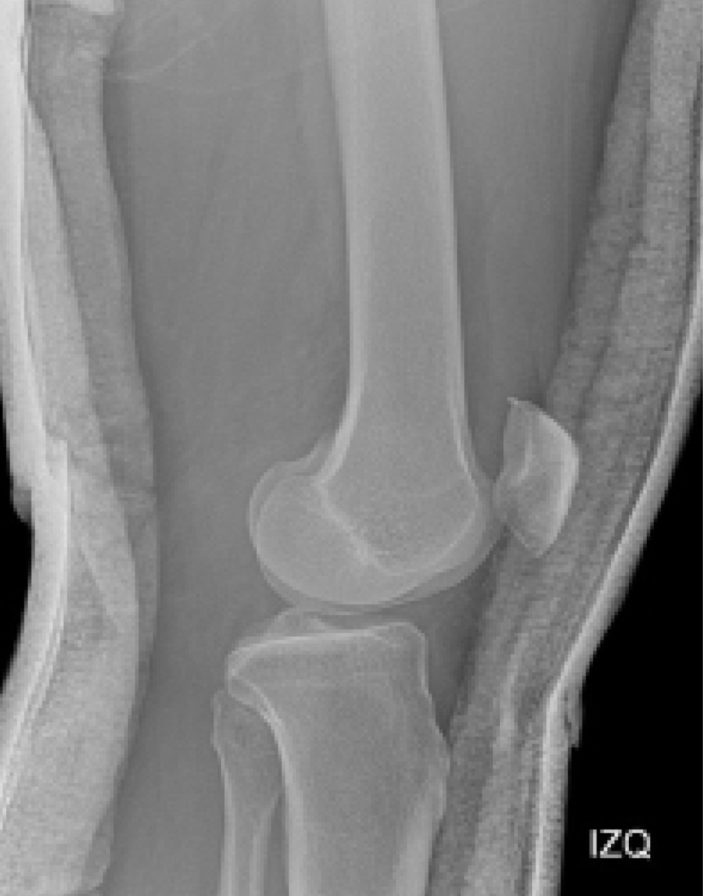
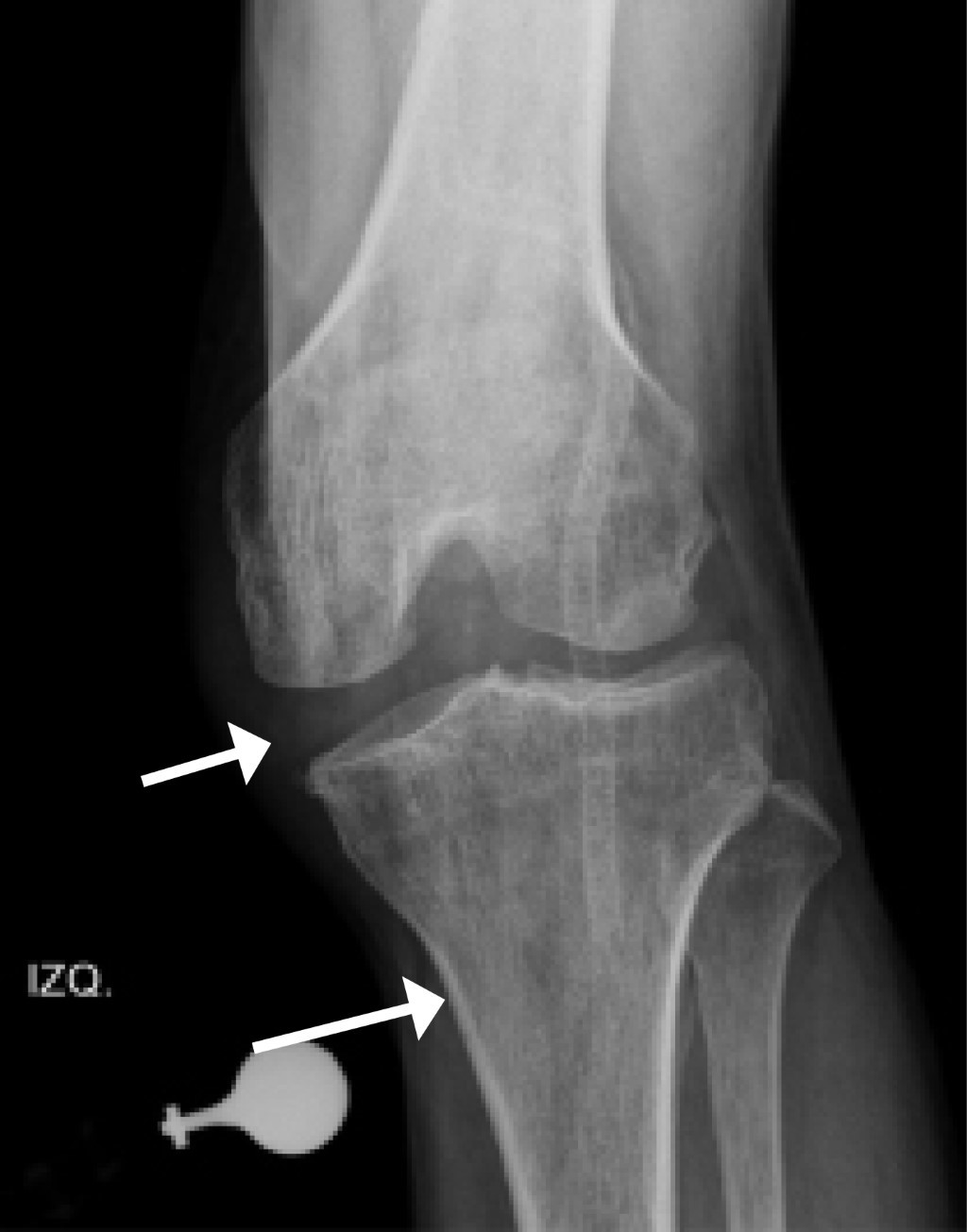
El segundo escenario es mucho más complejo de abordar, se presenta cuando el paciente ingresa al servicio de urgencias con la rodilla reducida, haciendo del diagnóstico de la luxación de rodilla un reto para el clínico, en el cual las radiografías iniciales tienen un papel valioso en la evidencia de hallazgos característicos que pueden sugerir el diagnóstico de luxación como la apertura de los espacios articulares tibiofemorales (Figura 4), fracturas del cóndilo femoral, fracturas de espinas tibiales anterior y posterior, signo del ligamento arcuato (Figura 5) o el signo de Segond (Figura 6).3

Dentro de las lesiones asociadas, 20-53% de los pacientes presentan fracturas alrededor de la rodilla, siendo la fractura de platillos tibiales la más común.40,41 En estos casos se recomienda complementar el estudio de la fractura con una tomografía computarizada.35

El "signo del arcuato" corresponde a una avulsión en la cabeza del peroné, sitio donde se inserta el complejo arcuato (ligamento arcuato, ligamento poplíteo fibular, tendón conjunto del bíceps y ligamento colateral fibular), sugestivo de lesión de la esquina posterolateral de la rodilla; hay que tener en cuenta que hasta 89% de pacientes con lesiones de esquina posterolateral presentan lesión de ligamento cruzado anterior o posterior y que debe considerarse en contexto de sospecha de luxación de rodilla.42,43

La fractura o signo de Segond es una fractura avulsiva en la región proximolateral de la tibia secundaria a traumas rotacionales de la rodilla por tensión del ligamento anterolateral. Recientemente se ha asociado esta fractura con las rupturas del ligamento cruzado anterior y con el impacto que tiene en los resultados de la reconstrucción del mismo.



ECODUPLEX

La proximidad de las estructuras vasculares a la piel en la zona poplítea hace que la ecografía dúplex pueda ser una ayuda diagnóstica ideal de lesión vascular en luxación de rodilla; no es invasiva, es segura y de bajo costo; sin embargo, es anecdótico su uso para el diagnóstico de lesión vascular en luxación de rodilla durante el evento inicial y hasta el momento no han sido publicados estudios comparativos con otras modalidades diagnósticas en el contexto de esta patología. Vale la pena resaltar que ocasionalmente se han presentado oclusiones de la arteria poplítea después de las reconstrucciones ligamentarias debido a rupturas de la íntima que no limitan el flujo vascular, que ocurren al momento de la lesión inicial y que pasan desapercibidas, las cuales pueden posteriormente progresar a lesiones que limitan el flujo o a trombosis completa después de la intervención, sobre todo cuando hay uso asociado de torniquete. Por lo anterior Nicandri y colaboradores recomiendan, dentro de su protocolo de manejo, realizar ecografía dúplex en todos los pacientes que requieren reconstrucción ligamentaria previo a este procedimiento.8,44

En la etapa inicial estudios como el de Fry y su equipo en el que evaluaron prospectivamente 200 pacientes con 225 extremidades lesionadas, mostraron una sensibilidad de 95% y especificidad de 97% para diagnóstico de lesión vascular, pero hay que tomar en cuenta que 80% de los mecanismos de trauma de los pacientes eran secundarios a heridas por proyectil de arma de fuego y que del total sólo 6.2% eran secundarios a traumas cerrados y 21.8% se localizaban en la rodilla o la pierna. Del mismo modo, Knudson y colegas mostraron que la ecografía dúplex identifica 100% de todas las lesiones arteriales, pero en pacientes con trauma penetrante.45,46

La ecografía dúplex padece una serie de desventajas que incluyen el riesgo potencial de pasar desapercibidas lesiones de la íntima, que es operador dependiente y que la falta de disponibilidad permanente para su realización termina siendo uno de sus principales impedimentos. A pesar de que algunos autores la utilizan como recurso diagnóstico cuando el índice tobillo brazo es menor de 0.9, presencia de anormalidad en los pulsos o llenado capilar lento,7,47,48 en la actualidad no se recomienda como una ayuda diagnóstica de rutina para el diagnóstico inicial de lesión vascular en el contexto de una luxación de rodilla.38



ANGIOGRAFíA

Se considera en la actualidad el estándar de oro para el diagnóstico de lesión vascular en luxación de rodilla a pesar de su alto costo, ser invasivo, con riesgo de alergia por contraste, sangrado, seudoaneurismas, fistulas y toxicidad renal.8 El debate hoy en día se encuentra enfocado básicamente en definir si todos los pacientes con luxación de rodilla deben ser sometidos a una angiografía (angiografía de rutina) apoyados en el argumento de que pequeñas rupturas de la íntima pueden evolucionar a trombosis tardías con limitación del flujo hasta en 3% de los casos y podrían no ser diagnosticadas dando lugar a complicaciones desastrosas; y por otro lado, la corriente que defiende que sólo debería realizarse en determinadas condiciones y hallazgos clínicos específicos (angiografía selectiva).8,40,48,49,50,51,52,53,54,55,56,57,58,59 Históricamente autores han recomendado el uso de angiografía de rutina en todos los casos de luxación de rodilla debido a la dificultad para la detección de forma clínica de lesiones vasculares agudas o en evolución. Varias publicaciones informan la presencia de pulso pedio en rupturas completas de la arteria poplítea, atribuyendo este fenómeno a circulación colateral suficiente que mantiene los pulsos en etapas agudas, por lo tanto, su presencia aislada se considera poco confiable para descartar lesión vascular.50,60,61 Sin embargo, el uso indiscriminado de la angiografía conlleva altos costos, riesgos adicionales del procedimiento y demoras en el tratamiento definitivo, lo que invita, según estudios más recientes, a la realización de angiografías selectivas.3,7,8,9,29,47,62,63,64 Los protocolos de angiografía selectiva utilizan el examen físico como la herramienta de detección primaria combinada con la hospitalización de los pacientes para evaluaciones seriadas y/o la realización de pruebas adicionales como el índice tobillo brazo o la ecografía dúplex y han mostrado con éxito poder descartar lesiones vasculares significativas, incluso en lesiones de la íntima varios estudios han informado que la mayoría de las que son evidenciadas en angiografías de pacientes con examen físico normal, no progresan a obstrucción de la arteria poplítea y el tratamiento con observación fue el método más comúnmente empleado para las lesiones que no tenían flujo limitado.30,40,47,57,62,65,66,67,68 Stannard y colaboradores30 realizaron uno de los estudios más importantes en torno al uso de arteriografía selectiva con la propuesta de un protocolo específico para la toma de decisiones. Tomaron como indicaciones los pacientes con cualquier disminución de los pulsos pedio o tibial posterior y cambios en el color o temperatura de la extremidad; en segundo punto, los pacientes con hematoma expansivo alrededor de la rodilla o los pacientes con historia de examen físico anormal antes del ingreso al servicio de emergencias; sin embargo, los pacientes que presentaban hallazgos clínicos normales fueron hospitalizados por 48 horas para la realización de evaluaciones seriadas neurovasculares por el personal de enfermería cada dos o cuatro horas, con evaluación documentada por el cirujano a las cuatro, seis, 24 y 48 horas desde el ingreso, teniendo en cuenta que cualquier deterioro en el estado vascular demandaba la realización inmediata de una arteriografía o la intervención quirúrgica. Evaluaron 134 luxaciones de rodilla en 126 pacientes, en las que encontraron 10 pacientes con examen físico anormal cuya arteriografía confirmó nueve lesiones arteriales y un falso positivo del examen físico. Adicionalmente, 17 pacientes con examen físico normal fueron llevados a arteriografía por decisión del cirujano y ninguno presentó lesión arterial. Este protocolo tuvo un valor predictivo positivo de 90% y un valor predictivo negativo de 100% con una sensibilidad de 100% y una especificidad de 99% para detectar lesión arterial quirúrgicamente significativa. Similar al protocolo antes expuesto, Nicandri y su equipo8 recomiendan evaluar la presencia de signos duros de lesión vascular (hematoma expansivo, ausencia de pulsos tibial posterior o pedio, hemorragia o soplo) para tomar la decisión de realizar una angiografía inmediata. En ausencia de signos duros se debe aplicar el índice tobillo brazo, según el cual los pacientes que tengan índice tobillo brazo < 0.90 se deben llevar de manera inmediata a angiografía para evaluar el compromiso vascular. Sin embargo, los pacientes con examen físico normal e índice tobillo brazo mayor o igual a 0.9 deben ser observados por 24 horas.

La mayor parte de la literatura actual avala que la arteriografía selectiva es el protocolo más apropiado para abordar al paciente con luxación de rodilla en el enfoque de la lesión vascular; sin embargo, el debate continúa vigente y con mayor frecuencia se opta por la utilización de herramientas sustitutas no invasivas prometedoras como el dúplex, la angiotomografía y la angiorresonancia, pero hasta el momento no se han estudiado adecuadamente para brindar resultados concluyentes.44



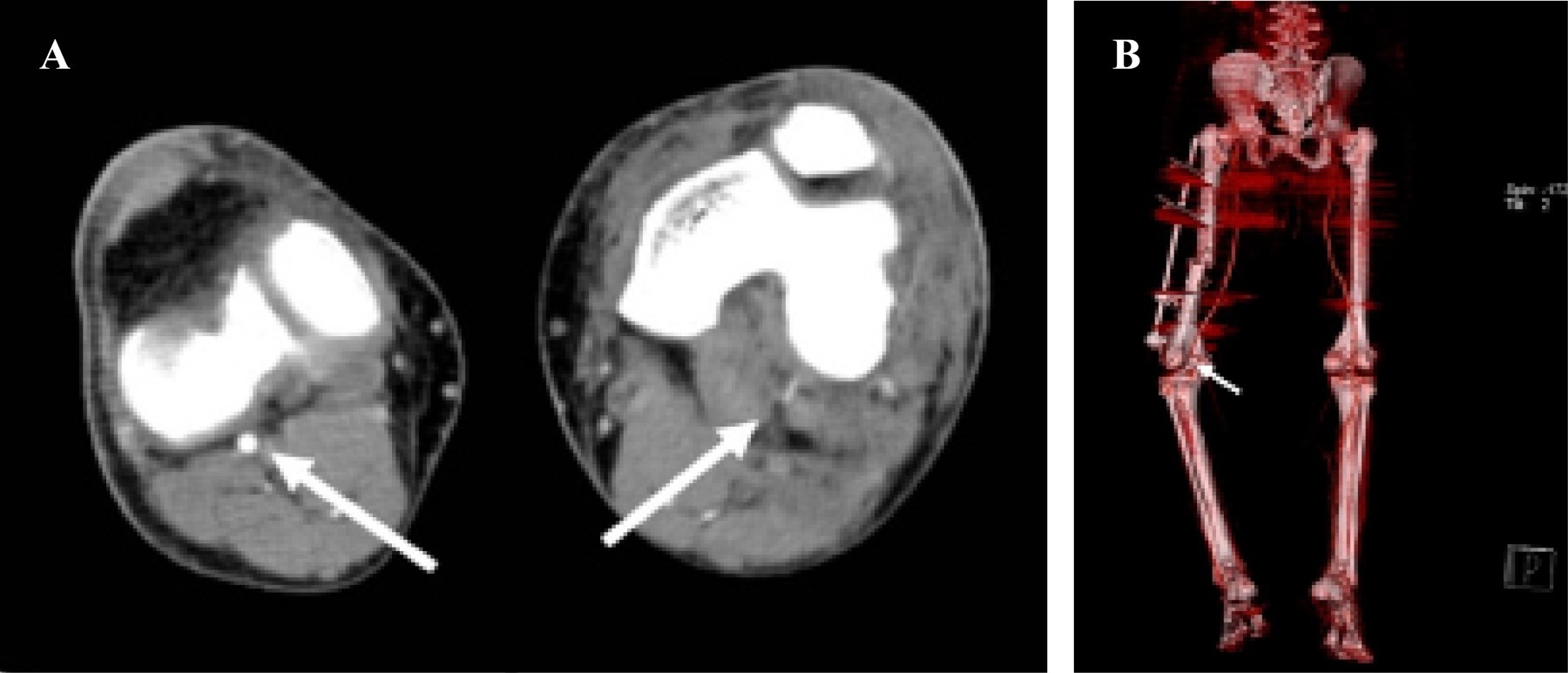
ANGIOTOMOGRAFíA (ANGIO-TAC)

La angiotomografía (Figura 7) es una alternativa a la angiografía que permite evaluar tanto el componente vascular como óseo en este tipo de lesiones y la cual se ha popularizado en los últimos años. Entre sus ventajas destacan: tener mayor disponibilidad en los centros de trauma, menor radiación e incluso menores costos.69,70

La sensibilidad y especificidad reportadas en la mayoría de los estudios que evalúan lesiones vasculares en trauma de miembros inferiores han mostrado valores similares a la angiografía.71 En un estudio de 63 pacientes, Inaba y colegas72 observaron que la angiotomografía fue diagnóstica en 62 de los casos y no diagnóstica en uno de los casos por presencia de artefactos (fragmentos de proyectil) que no permitían evaluar adecuadamente la imagen, 22 imágenes fueron positivas para lesión vascular, a 19 de éstas se les hizo manejo quirúrgico. En los 40 estudios con reporte negativo para lesión vascular se logró seguimiento en 90% de los casos sin evidencia de signos clínicos de lesión vascular, registrando al final del estudio una sensibilidad y especificidad de 100%.

En un estudio más reciente Rieger y colaboradores73 evaluaron la angiotomografía para el diagnóstico de lesiones vasculares en miembros superiores e inferiores en contexto de politrauma, encontrando una sensibilidad, especificidad y precisión de 95, 87 y 93% respectivamente. Los autores consideraron a ésta la primera ayuda imagenológica de elección en el contexto de politrauma al poder evaluar al mismo tiempo el componente óseo y vascular, incluso de vasos de pequeño calibre.



ANGIORRESONANCIA (ANGIORMN)

La angiografía por resonancia magnética ha demostrado ser una herramienta eficaz para la evaluación vascular del miembro inferior, con precisión equivalente a la angiografía con contraste.74,75 Es útil al evidenciar asimetría en el índice tobillo brazo, cuando en la extremidad comprometida es < 0.9 en el contexto de una luxación de rodilla.76 Potter y su equipo77 descubrieron una excelente correlación entre la angiografía por resonancia y hallazgos intraquirúrgicos con respecto al tamaño y localización de las rupturas arteriales e incluso pudieron identificar lesiones de la íntima que se relacionan de manera tardía con trombosis arterial. La resonancia magnética progresivamente ha venido tomando importancia, ya que de rutina el paciente con luxación de rodilla requiere la realización de este tipo de imagen para aclarar la gravedad de la lesión ligamentaria, por lo cual puede ser conveniente hacer una angiografía por resonancia de manera simultánea, ya que se ha relacionado con baja morbilidad en comparación con la angiografía convencional, teniendo en cuenta además que es de gran utilidad para el planeamiento quirúrgico.78 Sin embargo, la angiografía por resonancia en comparación con la angiografía convencional tiene algunas desventajas que incluyen la falta de visualización dinámica, una posible contraindicación en pacientes con implantes con contenido ferroso y en situaciones de trauma urgente, puesto que no es posible ingresar al paciente al imán de resonancia con los diversos dispositivos de soporte.

A diferencia de la angiografía convencional, no se puede realizar una angiografía por resonancia en salas de cirugía, por lo tanto, intentar efectuar esta última de manera preoperatoria podría retrasar la revascularización en pacientes con lesión arterial. Al igual que la angiografía convencional, la infusión de contraste en la angiografía por resonancia puede inducir reacciones alérgicas o insuficiencia renal aguda. Por último, es necesario aclarar que la selección del estudio se convierte en decisión del médico tratante, pero a medida que la angiorresonancia se vuelve más asequible podremos evaluar más fácilmente de manera simultánea la extensión del compromiso ligamentario y vascular con poca morbilidad.74



DIAGNóSTICO Y RIESGO DE AMPUTACIóN

El miembro inferior a nivel de la fosa poplítea cuenta con mala vascularización por medio de arterias colaterales, por lo cual una lesión de la arteria poplítea pone en riesgo la supervivencia de la extremidad en su región más distal. En esto radica la gran importancia de identificar a tiempo la lesión vascular en la luxación de rodilla y en caso de estar presente definir la necesidad de intervención quirúrgica.69,70

En una cohorte de 78 pacientes con luxación de rodilla y lesión vascular Green y Allen detectaron que a los pacientes a quienes se les realizaba reparación vascular luego de ocho horas del trauma, el porcentaje de amputación llegaba a ser hasta de 86% con otro 10% adicional que desarrollaron cambios isquémicos, por su parte los pacientes intervenidos antes de las ocho horas presentaron una tasa de amputación cercana a 10%.50 En una serie de 54 pacientes, de los cuales nueve requirieron amputación, Bonnevialle y colaboradores79 observaron que el tiempo de isquemia aumentaba el riesgo de amputación a pesar de la revascularización posterior (9.6 vs. 8.8 horas). Hallazgos similares han sido reportados por otros autores, quienes han detectado el tiempo de isquemia como uno de los principales factores que definen la viabilidad de la extremidad una vez revascularizada, encontrando que en casos de isquemia prolongada la tasa de amputación puede oscilar entre 60-80%.33

Teissier y su equipo80 descubrieron que adicional al tiempo de isquemia previa a la revascularización, la presencia de lesión neurológica con compromiso sensitivo y motor era un factor de riesgo de amputación; considerando que estas lesiones neurológicas se correlacionaban a traumas de mayor energía.



CONCLUSIóN

La lesión vascular no es un hallazgo infrecuente en el contexto de una luxación de rodilla, tiene un riesgo elevado de complicaciones e incluso de amputación que puede llegar hasta 86% si no se realiza el diagnóstico en las primeras ocho horas después del trauma, por lo cual es necesario el examen clínico juicioso y la utilización de las herramientas imagenológicas de manera selectiva como lo aconseja la literatura más reciente. Los autores recomiendan el uso de la angiotomografía como método de imagen de bajo costo, alta disponibilidad, fácil interpretación y pocas complicaciones para confirmar la sospecha diagnóstica y no retrasar el tratamiento.


REFERENCIAS (EN ESTE ARTÍCULO)

  1. Darcy G, Edwards E, Hau R. Epidemiology and outcomes of traumatic knee dislocations: Isolated vs multi-trauma injuries. Injury. 2018; 49(6):1183-7. doi: 10.1016/j.injury.2018.02.016.

  2. Parker S, Handa A, Deakin M, Sideso E. Knee dislocation and vascular injury: 4-year experience at a UK Major Trauma Centre and vascular hub. Injury. 2016; 47(3): 752-6. doi: 10.1016/j.injury.2015.11.014.

  3. McKee L, Ibrahim MS, Lawrence T, Pengas IP, Khan WS. Current concepts in acute knee dislocation: the missed diagnosis? Open Orthop J. 2014; 8: 162-7. doi: 10.2174/1874325001408010162.

  4. Howells NR, Brunton LR, Robinson J, Porteus AJ, Eldridge JD, Murray JR. Acute knee dislocation: an evidence based approach to the management of the multiligament injured knee. Injury. 2011; 42(11): 1198-204. doi: 10.1016/j.injury.2010.11.018.

  5. Medina O, Arom GA, Yeranosian MG, Petrigliano FA, McAllister DR. Vascular and nerve injury after knee dislocation: a systematic review. Clin Orthop Relat Res. 2014; 472(9): 2621-9. doi: 10.1007/s11999-014-3511-3.

  6. Bui KL, Ilaslan H, Parker RD, Sundaram M. Knee dislocations: a magnetic resonance imaging study correlated with clinical and operative findings. Skeletal Radiol. 2008; 37(7): 653-61. doi: 10.1007/s00256-008-0490-z.

  7. Mills WJ, Barei DP, McNair P. The value of the ankle-brachial index for diagnosing arterial injury after knee dislocation: a prospective study. J Trauma. 2004; 56(6): 1261-65.

  8. Nicandri GT, Chamberlain AM, Wahl CJ. Practical management of knee dislocations: a selective angiography protocol to detect limb-threatening vascular injuries. Clin J Sport Med. 2009; 19(2): 125-9. doi: 10.1097/JSM.0b013e31819cd37a.

  9. Hollis JD, Daley BJ. 10-year review of knee dislocations: is arteriography always necessary? J Trauma. 2005; 59(3): 672-5.

  10. Alvarez LA, Garcia LY, Casanova MC, Muñoz IA. Luxación traumática de la rodilla, diagnóstico y tratamiento. Rev Cubana Ortop Traumatol. 2007; 21(2): 1-11.

  11. Novoa Sierra B, Estrems Diaz V, Garcia Peñuela JS, Bru Pomer A. Luxaciones de rodilla: revisión de 11 casos. Revista Española de Cirugía Osteoarticular. 2015; 50(262): 123-7.

  12. Shelbourne KD, Gray T. Anterior cruciate ligament injury combined with medial collateral ligament, posterior cruciate ligament, and/or lateral collateral ligament injury. The Anterior Cruciate Ligament. 2018; 2: 393-8.

  13. Vaidya R, Roth M, Nanavati D, Prince M, Sethi A. Low-velocity knee dislocations in obese and morbidly obese patients. Orthop J Sports Med. 2015; 3(4): 2325967115575719. doi: 10.1177/2325967115575719.

  14. Carral RLE, Frías GH, Diego BD. Luxación de rodilla. Presentación de un caso clínico y revisión de la literatura. An Med Asoc Med Hosp ABC. 1999; 44(2): 86-90.

  15. Liow RY, McNicholas MJ, Keating JF, Nutton RW. Ligament repair and reconstruction in traumatic dislocation of the knee. J Bone Joint Surg Br. 2003; 85(6): 845-51.

  16. Berkson EM, Nolan D, Fleming K, Spang R, Wong J, Asnis P, et al. Knee: ligamentous and patellar tendon injuries. Pathol Interv Musculoskelet Rehabil. 2016; 2: 713-73.

  17. McDonough EB Jr, Wojtys EM. Multiligamentous injuries of the knee and associated vascular injuries. Am J Sports Med. 2009; 37(1): 156-9. doi: 10.1177/0363546508324313.

  18. Skendzel JG, Sekiya JK, Wojtys EM. Diagnosis and management of the multiligament-injured knee. J Orthop Sports Phys Ther. 2012; 42(3): 234-42. doi: 10.2519/jospt.2012.3678.

  19. Piper D, Howells NR. Acute knee dislocation. Trauma. 2014; 16(2): 70-8.

  20. Watson J, Schreiber V, Harner, Musahl V. The dislocated knee. In: Atchabahian A, Baer GS, Bedi A, et al. Insall & scott surgery of the knee. Sixth ed. Spain; Elsevier 2018; 63: 819-32.e2.

  21. Fitzgerald J, Richter D, Waschery D, Schenck R. Classification of knee dislocations. In: Sue D. Barber-Westin, BS, Director, clinical and applied research. Noyes' knee disorders: surgery, rehabilitation. Clinical outcomes. 2nd ed. Cincinnati, Ohio, Elsevier; 2017.21, 654-62.

  22. Mascioli AA. Acute dislocations. In: Daugherty K. Linda Jones editor. Campbell's operative orthopaedics. 13th ed. Philadelphia. Elsevier. 2017 Chapter 60, 3117-136.e4.

  23. Chowdhry M, Burchette D, Whelan D, Nathens A, Marks P, Wasserstein D. Knee dislocation and associated injuries: an analysis of the American College of Surgeons National Trauma Data Bank. Knee Surg Sports Traumatol Arthrosc. 2019 doi: 10.1007/s00167-019-05712-y.

  24. Boisrenoult P, Lustig S, Bonneviale P, Leray E, Versier G, Neyret P, et al. Vascular lesions associated with bicruciate and knee dislocation ligamentous injury. Orthop Traumatol Surg Res. 2009; 95(8): 621-6. doi: 10.1016/j.otsr.2009.10.002.

  25. Moatshe G, Dornan GJ, Løken S, Ludvigsen TC, LaPrade RF, Engebretsen L. Demographics and injuries associated with knee dislocation: a prospective review of 303 patients. Orthop J Sports Med. 2017; 5(5): 2325967117706521. doi: 10.1177/2325967117706521.

  26. Lustig S, Leray E, Boisrenoult P, Trojani C, Laffargue P, Saragaglia D, et al. Dislocation and bicruciate lesions of the knee: epidemiology and acute stage assessment in a prospective series. Orthop Traumatol Surg Res. 2009; 95(8): 614-20. doi: 10.1016/j.otsr.2009.10.005.

  27. Cvetkovic S, Jakovljevic N, Simic D, Sladojevic M, Djurasic L, Davidovic L. Popliteal artery injury following traumatic knee joint dislocation in a 14-year-old boy: a case report and review of the literature. Vojnosanit Pregl. 2014; 71(1): 87-90.

  28. López-Hualda A, Valencia-García H, Martínez-Martín J. Vascular injuries associated with dislocation of the knee: diagnosis protocol. Rev Esp Cir Ortop Traumatol. 2012; 56(4): 260-6. doi: 10.1016/j.recot.2011.12.005.

  29. Miranda FE, Dennis JW, Veldenz HC, Dovgan PS, Frykberg ER. Confirmation of the safety and accuracy of physical examination in the evaluation of the knee dislocation for injury of the popliteal artery: a prospective study. J Trauma. 2002; 52(2): 247-52.

  30. Stannard JP, Sheils TM, López-Ben RR, McGwin G, Robinson JT, Volgas DA. Vascular injuries in knee dislocations: the role of physical examination in determining the need for arteriography. J Bone Joint Surg Am. 2004; 86(5): 910-5.

  31. Georgiadis AG, Mohammad FH, Mizerik KT, Nypaver TJ, Shepard AD. Changing presentation of knee dislocation and vascular injury from high-energy trauma to low-energy falls in the morbidly obese. J Vasc Surg. 2013; 57(5): 1196-203. doi: 10.1016/j.jvs.2012.11.067.

  32. Barnes CJ, Pietrobon R, Higgins LD. Does the pulse examination in patients with traumatic knee dislocation predict a surgical arterial injury? A meta-analysis. J Trauma. 2002; 53: 1109-14.

  33. Witz M, Witz S, Tobi E, Shnaker A, Lehmann J. Isolated complete popliteal artery rupture associated with knee dislocation. Case reports. Knee Surg Sports Traumatol Arthrosc. 2004; 12: 3-6.

  34. Johansen K, Lynch K, Paun M, Copass M. Non-invasive vascular tests reliably exclude occult arterial trauma in injured extremities. J Trauma. 1991; 31(4): 515-9.

  35. Seroyer ST, Musahl V, Harner CD. Management of the acute knee dislocation: the Pittsburgh experience. Injury. 2008; 39(7): 710-8. doi: 10.1016/j.injury.2007.11.022.

  36. Urgüden M, Bilbasar H, Ozenci AM, Akyildiz FF, Gür S. Irreducible posterolateral knee dislocation resulting from a low-energy trauma. Arthroscopy. 2004; 20 Suppl 2: 50-3.

  37. Harb A, Lincoln D, Michaelson J. The MR dimple sign in irreducible posterolateral knee dislocations. Skeletal Radiol. 2009; 38(11): 1111-4. doi: 10.1007/s00256-009-0729-3.

  38. Boyce RH, Singh K, Obremskey WT. Acute management of traumatic knee dislocations for the generalist. J Am Acad Orthop Surg. 2015; 23(12): 761-8. doi: 10.5435/JAAOS-D-14-00349.

  39. Pardiwala DN, Rao NN, Anand K, Raut A. Knee dislocations in sports injuries. Indian J Orthop. 2017; 51: 552-62.

  40. Treiman GS, Yellin AE, Weaver FA, Wang S, Ghalambor N, Barlow W, et al. Pentecost MJ. Examination of the patient with a knee dislocation. The case for selective arteriography. Arch Surg. 1992; 127(9): 1056-62.

  41. Harner CD, Harner CD. The multiple ligament injured knee. Clin Sports Med. 1999; 18(1): 241-62.

  42. Juhng SK, Lee JK, Choi SS, Yoon KH, Roh BS, Won JJ. MR Evaluation of the "arcuate" sign of posterolateral knee instability. AJR Am J Roentgenol. 2002; 178(3): 583-8.

  43. Crimmins JT, Wissman RD. The Arcuate sign: a marker of potential knee dislocation? A report of two cases. Radiol Case Rep. 2015; 3(2): 160. doi: 10.2484/rcr.v3i2.160.

  44. Gray JL, Cindric M. Management of arterial and venous injuries in the dislocated knee. Sports Med Arthrosc Rev. 2011; 19(2): 131-8. doi: 10.1097/JSA.0b013e3182191a9c.

  45. Fry WR, Smith RS, Sayers DV, Henderson VJ, Morabito DJ, Tsoi EK, et al. The success of duplex ultrasonographic scanning in diagnosis of extremity vascular proximity trauma. Arch Surg. 1993; 128(12): 1368-72. doi: 10.1001/archsurg.1993.01420240076015.

  46. Knudson MM, Lewis FR, Atkinson K, Neuhaus A. The role of duplex ultrasound arterial imaging in patients with penetrating extremity trauma. Arch Surg. 1993; 128(9): 1033-7; discussion 1037-8. doi: 10.1001/archsurg.1993.01420210097013.

  47. Wascher DC, Dvirnak PC, DeCoster TA. Knee dislocation: initial assessment and implications for treatment. J Orthop Trauma. 1997; 11(7): 525-9. doi: 10.1097/00005131-199710000-00011.

  48. Khakha RS, Day AC, Gibbs J, Allen S, Hill P, Hull J, et al. Acute surgical management of traumatic knee dislocations. Average follow-up of 10 years. Knee. 2016; 23(2): 267-75. doi: 10.1016/j.knee.2015.09.019.

  49. Kennedy JC. Complete dislocation of the knee joint. J Bone Joint Surg Am. 1963; 45: 889-904.

  50. Green NE, Allen BL. Vascular injuries associated with dislocation of the knee. J Bone Joint Surg Am. 1977; 59(2): 236-9.

  51. Gable DR, Allen JW, Richardson JD. Blunt popliteal artery injury: is physical examination alone enough for evaluation? J Trauma. 1997; 43(3): 541-4.

  52. McCutchan JD, Gillham NR. Injury to the popliteal artery associated with dislocation of the knee: palpable distal pulses do not negate the requirement for arteriography. Injury. 1989; 20(5): 307-10. doi: 10.1016/0020-1383(89)90180-0.

  53. Bryan T, Merritt P, Hack B. Popliteal arterial injuries associated with fractures or dislocations about the knee as a result of blunt trauma. Orthop Rev. 1991; 20(6): 525-30.

  54. Melton SM, Croce MA, Patton JH Jr, Pritchard FE, Minard G, Kudsk KA, Fabian TC. Popliteal artery trauma. Systemic anticoagulation and intraoperative thrombolysis improves limb salvage. Ann Surg. 1997; 225(5): 518-27; discussion 527-9. doi: 10.1097/00000658-199705000-00009.

  55. Rihn JA, Groff YJ, Harner CD, Cha PS. The acutely dislocated knee: evaluation and management. J Am Acad Orthop Surg. 2004; 12(5): 334-46.

  56. Rose SC, Moore EE. Trauma angiography: the use of clinical findings to improve patient selection and case preparation. J Trauma. 1988; 28(2): 240-5.

  57. Welling RE, Kakkasseril J, Cranley JJ. Complete dislocations of the knee with popliteal vascular injury. J Trauma. 1981; 21(6): 450-3.

  58. Lefrak EA. Knee dislocation. An illusive cause of critical arterial occlusion. Arch Surg. 1976; 111(9): 1021-4. doi: 10.1001/archsurg.1976.01360270093018.

  59. Collins HA, Jacobs JK. Acute arterial injuries due to blunt trauma. J Bone Joint Surg Am. 1961; 43-A: 193-7.

  60. Jones RE, Smith EC, Bone GE. Vascular and orthopedic complications of knee dislocation. Surg Gynecol Obstet. 1979; 149(4): 554-8.

  61. Alberty RE, Goodfried G, Boyden AM. Popliteal artery injury with fractural dislocation of the knee. Am J Surg. 1981; 142(1): 36-40.

  62. Wascher DC. High-velocity knee dislocation with vascular injury. Treatment principles. Clin Sports Med. 2000; 19(3): 457-77.

  63. Klineberg EO, Crites BM, Flinn WR, Archibald JD, Moorman CT 3rd. The role of arteriography in assessing popliteal artery injury in knee dislocations. J Trauma. 2004; 56(4): 786-90. doi: 10.1097/01.ta.0000075346.05460.d6.

  64. Applebaum R, Yellin AE, Weaver FA, Oberg J, Pentecost M. Role of routine arteriography in blunt lower-extremity trauma. Am J Surg. 1990; 160(2): 221-5.

  65. Abou-Sayed H, Berger DL. Blunt lower-extremity trauma and popliteal artery injuries: revisiting the case for selective arteriography. Arch Surg. 2002; 137(5): 585-9. doi: 10.1001/archsurg.137.5.585.

  66. Stain SC, Yellin AE, Weaver FA, Pentecost MJ. Selective management of nonocclusive arterial injuries. Arch Surg. 1989; 124(10): 1136-40; discussion 1140-1.

  67. Kaufman SL, Martin LG. Arterial injuries associated with complete dislocation of the knee. Radiology. 1992; 184(1): 153-5. doi: 10.1148/radiology.184.1.1609074.

  68. Dennis JW, Jagger C, Butcher JL, Menawat SS, Neel M, Frykberg ER. Reassessing the role of arteriograms in the management of posterior knee dislocations. J Trauma. 1993; 35(5): 692-5; discussion 695-7. doi: 10.1097/00005373-199311000-00007.

  69. Walker RE, McDougall D, Patel S, Grant JA, Longino PD, Mohtadi NG. Radiologic review of knee dislocation: from diagnosis to repair. AJR Am J Roentgenol. 2013; 201(3): 483-95. doi: 10.2214/AJR.12.10221.

  70. Vinyard TR, Boyd J, MacDonald PB. Initial evaluation of the acute and chronic multiple ligament injured knee. J Knee Surg. 2012; 25(4): 275-86. doi: 10.1055/s-0032-1322598.

  71. Gakhal MS, Sartip KA. CT angiography signs of lower extremity vascular trauma. AJR Am J Roentgenol. 2009; 193(1): 49-57. doi: 10.2214/AJR.08.2011.

  72. Inaba K, Potzman J, Munera F, McKenney M, Munoz R, Rivas L, et al. Multi-slice CT angiography for arterial evaluation in the injured lower extremity. J Trauma. 2006; 60(3): 502-6.

  73. Rieger M, Mallouhi A, Tauscher T, Lutz M, Jaschke WR. Traumatic arterial injuries of the extremities: initial evaluation with MDCT angiography. AJR Am J Roentgenol. 2006; 186(3): 656-64. doi: 10.2214/AJR.04.0756.

  74. Tocci SL, Heard WM, Fadale PD, Brody JM, Born C. Magnetic resonance angiography for the evaluation of vascular injury in knee dislocations. J Knee Surg. 2010; 23(4): 201-7.

  75. Baum RA, Rutter CM, Sunshine JH, Blebea JS, Blebea J, Carpenter JP, et al. Multicenter trial to evaluate vascular magnetic resonance angiography of the lower extremity. American College of Radiology Rapid Technology Assessment Group. JAMA. 1995; 274(11): 875-80.

  76. Lachman JR, Rehman S, Pipitone PS. Traumatic knee dislocations: evaluation, management, and surgical treatment. Orthop Clin North Am. 2015; 46(4): 479-93. doi: 10.1016/j.ocl.2015.06.004.

  77. Potter HG, Weinstein M, Allen AA, Wickiewicz TL, Helfet DL. Magnetic resonance imaging of the multiple-ligament injured knee. J Orthop Trauma. 2002; 16(5): 330-9. doi: 10.1097/00005131-200205000-00007.

  78. Köhler C, Weishaupt D, Guggenheim M, Künzi W, Wedler V. Magnet resonance angiography versus conventional angiography for the planning of reconstructive surgeries. Eur J Trauma Emerg Surg. 2007; 33(1): 40-5. doi: 10.1007/s00068-007-5130-0.

  79. Bonnevialle P, Pidhorz L; Membres du Groupe d'Etude en Traumatologie Ostéoarticulaire (GETRAUM). Dislocation and fractures around the knee with popliteal artery injury: A retrospective analysis of 54 cases]. Rev Chir Orthop Reparatrice Appar Mot. 2006; 92(5): 508-16. doi: 10.1016/s0035-1040(06)75840-8.

  80. Teissier V, Tresson P, Gaudric J, Davaine JM, Scemama C, Raux M, et al. Importance of early diagnosis and care in knee dislocations associated with vascular injuries. Ann Vasc Surg. 2019; pii: S0890-5096(19)30469-8. doi: 10.1016/j.avsg.2019.04.016.



AFILIACIONES

1 Médico, residente de tercer año de Ortopedia y Traumatología, Universidad Pontificia Bolivariana.

2 Estudiante de Medicina. Universidad Pontificia Bolivariana.

3 Especialista en Ortopedia y Traumatología, Subespecialista en Cirugía de Rodilla, Hospital Pablo Tobón Uribe.

4 Bacterióloga, Especialista en Hematología, Magister en Educación Universidad Pontificia Bolivariana.



Conflicto de intereses: No se declara ningún conflicto.



CORRESPONDENCIA

Dr. Salvador Gómez-Bermúdez. E-mail: salva273@yahoo.com




Recibido: 22-04-2020. Aceptado: 17-01-2021.

Figura 1
Figura 2
Figura 3
Figura 4
Figura 5
Figura 6
Figura 7
Tabla 1

2020     |     www.medigraphic.com

Mi perfil

C?MO CITAR (Vancouver)

Acta Ortop Mex. 2021 Mar-Abr;35

ARTíCULOS SIMILARES

CARGANDO ...