medigraphic.com
ENGLISH

Acta Ortopédica Mexicana

ISSN 2992-8036 (Digital)
ISSN 2306-4102 (Impreso)
Órgano Oficial del Colegio Mexicano de Ortopedia y Traumatología
  • Mostrar índice
  • Números disponibles
  • Información
    • Información general        
    • Directorio
  • Publicar
    • Instrucciones para autores        
  • medigraphic.com
    • Inicio
    • Índice de revistas            
    • Registro / Acceso
  • Mi perfil

2021, Número 2

<< Anterior Siguiente >>

Acta Ortop Mex 2021; 35 (2)


Síndrome de Mazabraud

Martínez-Peniche, JL1; Harfush-Nasser, LA2; Fernández de Lara-Barrera, Y3; Cuesta-Mejías, TC4; Molinar-Flores, G5
Texto completo Cómo citar este artículo 10.35366/101871

DOI

DOI: 10.35366/101871
URL: https://dx.doi.org/10.35366/101871
Artículos similares

Idioma: Español
Referencias bibliográficas: 14
Paginas: 221-225
Archivo PDF: 201.42 Kb.


PALABRAS CLAVE

Fibrodisplasia, mixoma, músculo, tratamiento, Mazabraud.

RESUMEN

El síndrome de Mazabraud fue descrito inicialmente en 1926 por Henschen, consiste en la asociación entre fibrodisplasia ósea y uno o más mixomas intramusculares. El documento de estudio realizado por Mazabraud y colaboradores en 1967 describió una asociación entre las dos patologías. Literatura posterior se refirió a esta relación con el epónimo antes descrito. En este reporte, presentamos el caso de una mujer de 43 años, con diagnóstico conocido de fibrodisplasia ósea y posterior desarrollo de una masa en fosa antecubital derecha, la cual fue confirmada histológicamente como mixoma intramuscular. Después de la extracción de la tumoración, se revisó la literatura para encontrar una posible relación entre mixomas y displasia ósea fibrosa, encontrando positiva la asociación, denominada en los documentos revisados como síndrome de Mazabraud.



INTRODUCCIóN

Las displasias óseas son patologías congénitas que tienen repercusiones en el desarrollo de tejido óseo y cartilaginoso. Se han denominado también, por los efectos que tienen en el tejido, osteocondrodisplasias.1,2,3 No son patologías comunes, la incidencia reportada en seguimientos a 15 años de una serie de más de 126,000 pacientes es de 2.14 por cada 10,000 nacimientos.4 La novena edición de la clasificación de desórdenes genéticos del sistema esquelético5 lista 436 variedades de estas patologías, distribuidas en 42 grupos. Los grupos consisten en la alteración genética o fenotípica que presenta cada uno de los síndromes. Se agrupa en este documento a la fibrodisplasia ósea poliostótica junto con el síndrome de McCune-Albright en el conglomerado 29 (grupo de crecimiento desorganizado de componentes esqueléticos), citando una mutación del gen GNAS. Histológicamente, su principal diagnóstico diferencial es la displasia osteofibrosa, la cual es frecuentemente confundida debido a la similitud en los componentes de las lesiones. Se han descrito diferencias estructurales de las lesiones que pueden distinguir histológicamente entre las dos. El tratamiento de la misma es individualizado, debido a que es guiado por los síntomas del paciente y la extensión de la enfermedad.6

El caso cobra relevancia por ser una patología rara, con menos de 100 reportes en la literatura desde su descripción original. En la revisión de los autores, es el primer caso reportado en pacientes mexicanos.



CASO CLíNICO

Mujer de 43 años al momento del examen clínico. Fue diagnosticada clínicamente con fibrodisplasia ósea a los 14 años debido a una fractura de radio proximal derecho. Cambios óseos compatibles con fibrodisplasia se encontraron en el examen radiográfico. La fractura fue tratada de manera conservadora y consolidó sin eventualidades. Inicia su padecimiento actual meses previos a su ingreso. Presentó aumento de volumen no doloroso en antebrazo derecho, específicamente sobre fosa antecubital. Persiste durante meses previos a valoración con aumento de volumen. Al cuadro se agrega dolor en fosa antecubital derecha y limitación a los arcos de movimiento del codo; acude a valoración médica donde se inicia abordaje diagnóstico.

Se encuentra a la exploración física con discreto aumento de volumen en región de fosa antecubital derecha. Arcometría con limitación a la pronosupinación por dolor. Exploramos con debilidad para la extensión del pulgar y con discretas parestesias en la región dorsal del primer espacio de la mano derecha; se valoraron los datos anteriores como compresión del nervio radial. Se palpa en fosa antecubital derecha masa redondeada, firme, no móvil, de aproximadamente 3 × 3 × 2 centímetros de dimensiones. Dolor discreto a la palpación profunda. Sensibilidad conservada en regiones específicas de nervio cubital y mediano. Hipoestesia en región de nervio radial. Fuerza 4/5 para extensión de pulgar, resto 5/5, llenado capilar dos segundos.



IMAGEN

Como parte del abordaje diagnóstico, solicitamos tomografía computada simple y resonancia magnética nuclear simple y contrastada. Por su relevancia, incluimos a continuación las imágenes obtenidas por resonancia magnética nuclear.

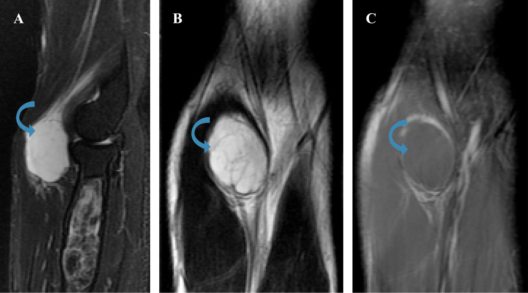
Se observa una lesión ovoidea, bien delimitada, localizada en la región anterior del codo, entre el músculo braquiorradial y los tendones del braquialis y bíceps, homogénea con respecto a los músculos en T1, hiperintensa en STIR y sin realce tras la administración del medio de contraste (flecha curveada) en relación con mixoma. Asimismo, se observa otra lesión en la región metafisiodiafisaria proximal del radio, la cual es de localización central, zona de transición estrecha con bordes esclerosos, heterogénea de predominio isointenso con respecto al músculo en T1, heterogénea predominantemente hiperintensa en STIR, con realce heterogéneo tras la administración de medio de contraste (flecha) compatible con displasia fibrosa (Figura 1).

En el plano sagital (flecha curveada) se identifica lesión ovoidea, bien delimitada, localizada en los planos musculares de la región anterior del codo, homogénea hiperintensa en STIR. Se observa otra lesión en la región metafisiodiafisaria proximal del radio, la cual es de localización central, zona de transición estrecha con bordes esclerosos, de contenido heterogéneo y predominantemente hiperintensa en STIR (a). En el plano coronal, se observa la lesión de tejidos blandos, la cual es predominantemente hiperintensa con algunas hipointensidades irregulares centrales en T2 (b) y que no presenta realce tras la administración de medio de contraste en la secuencia T1 con saturación grasa (c) (Figura 2).

Se decide tratamiento quirúrgico mediante resección de tumor en antebrazo derecho. A la exploración quirúrgica encontramos una masa única, lisa, móvil, por debajo de masa muscular flexopronadora, de 4 × 4 × 3 cm de dimensiones.

Durante la disección, se encontró adherida a la masa (flecha sólida) el nervio radial y una de sus ramas (punta de flecha). La masa se encontraba adherida firmemente, por lo que fue difícil su separación del mismo (Figura 3). Se logró disecar en su totalidad, respetando nervio radial y su rama (flecha sólida). Examinamos el lecho quirúrgico posterior a la escisión, no se encontró pedículo o evidencia de invasión local del tumor (Figura 4).

La muestra se rotula y se envía íntegra a su estudio histopatológico etiquetado como "masa de antebrazo derecho". Se realizó cierre por planos, sin eventualidades. Inmediatamente después de la cirugía, paciente reportó mejoría en las parestesias antes reportadas.

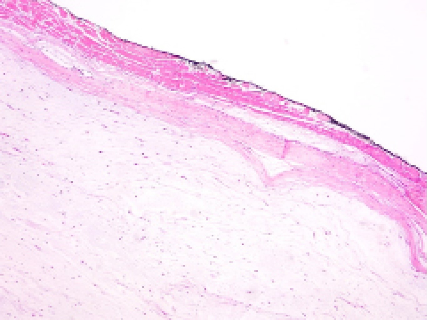
El reporte histopatológico mostró una masa uniforme, al corte muestra superficie blanquecina transparente de aspecto mixoide y de consistencia gelatinosa (Figura 5). En múltiples cortes teñidos con hematoxilina-eosina se reconoce neoplasia hipocelular, hipovascular, de aspecto homogéneo con abundante matriz mixoide. No se registra actividad mitósica ni necrosis tumoral. Se observa quistificación focal (Figura 6).

El inmunofenotipo positivo difuso para CD34 y negativo para S100 y SOX10, resultados que apoyan mixoma intramuscular y descartan mixoma de vaina nerviosa. No se observa invasión linfovascular ni perineural.



DISCUSIóN

A la evaluación inicial, no se sospechó que la masa en el antebrazo fuera un mixoma. Dentro de las posibilidades diagnósticas se consideró en primer lugar la aparición de un lipoma profundo. Lo anterior debido a la frecuencia del mismo. Se integró este diagnóstico por las características de masa firme y profunda de crecimiento lento. No concordaba con el diagnóstico de lipoma por los síntomas compresivos del nervio radial y por la localización atípica del mismo.

La sospecha diagnóstica cambió después de la solicitud del primer estudio de imagen a la paciente: tomografía axial computarizada, la cual evidenciaba masa en región antecubital y cambios óseos consistentes con displasia ósea. Solicitamos la resonancia magnética nuclear simple y contrastada al evidenciar la masa de tejidos blandos. Después de los resultados, nuestro diagnóstico diferencial se redujo a masas sólidas de bordes redondeados, sin realce al contraste en tejidos blandos, ocupando el primer lugar el mixoma, específicamente mixoma intramuscular.

No se sospechó malignidad en un inicio, al encontrarse masa de bordes redondeados, sin invasión a tejidos adyacentes, con poco realce al contraste. Como se discutirá más adelante, se consideró la posible, aunque remota, malignidad de la lesión, ya que se ha asociado en menos de 1% de los casos la fibrodisplasia ósea a osteosarcoma.7

Gracias a las tinciones especiales y el inmunofenotipo realizado del Departamento de Patología, se demostró que el mixoma tenía diferenciación miofibroblástica por la positividad para actina encontrada en la periferia del tumor y la negatividad de S-100, característica inmunológica de mixomas del tipo muscular.8

Se discutieron las opciones diagnósticas con la paciente y se decidió la escisión de la lesión como procedimiento diagnóstico y terapéutico. Al recibir los resultados de patología, se informó a la paciente la benignidad de la lesión y el excelente pronóstico de la misma y nos dimos a la tarea de buscar una asociación entre el mixoma y la fibrodisplasia ósea.

La asociación entre fibrodisplasia ósea y mixomas intramusculares es rara, pero bien descrita en la literatura desde el año de 1967.2 Los primeros reportes hablaban vagamente sobre su asociación, mediante reportes de caso, pero no denominó síndrome de Mazabraud hasta que el antes mencionado publicara su serie de casos relacionando ambas patologías.

La fibrodisplasia ósea es una patología no hereditaria, caracterizada por proliferación intraósea de estroma fibroso, dentro de la cual trabéculas o hueso inmaduro se identifican. Esta proliferación puede ser solitaria o multifocal. No existe predominancia de raza, pero existe una discreta preferencia hacia el sexo masculino, en proporción 1.2 a 1. Usualmente son asintomáticos, pero pueden llegar a presentar fracturas y deformidades de los huesos craniofaciales en su forma monostótica y efectos de hiperplasia endocrina en su forma poliostótica.9

El mixoma, tumor benigno de tejidos blandos, constituye neoplasias formadas por células similares a fibroblastos en el ámbito ultraestructural, con muy escasa vasculatura y casi nula actividad mitótica. Es casi exclusivo de la edad adulta y tiene predilección por el género femenino. Es importante diferenciar el mixoma de neoplasias histológicamente similares como liposarcoma, mixofibrosarcoma, condrosarcoma, leiomiosarcoma, rabdomiosacroma embrionario y mixoma de vaina nerviosa.8

En el síndrome de Mazabraud, la recurrencia de los mixomas no ha sido reportada y se han encontrado en localizaciones atípicas, como lesiones intraóseas. La cirugía está indicada cuando los tumores crean compresión sobre estructuras neurovasculares o son sintomáticos por el efecto de masa.10 Se encuentra indicada la cirugía también como un auxiliar para el diagnóstico histopatológico.11

Siendo la fibrodisplasia ósea y los mixomas intramusculares dos entidades discretas, puede ocultarse el diagnóstico de Mazabraud. Se ha reportado que la presencia de displasia ósea puede preceder a la aparición de mixomas, por lo que el diagnóstico del síndrome ocurre generalmente al presentarse el tumor.12

Los hallazgos de imagen típicos de la displasia fibrosa en radiografía simple se observan usualmente centrados sobre el canal medular, se describe su apariencia como en "vidrio despulido" y pueden presentar deformidades, especialmente en huesos largos de carga.9

En el entendimiento de los autores, se han reportado en la literatura reciente menos de 100 casos de síndrome de Mazabraud.10,13 Debido a la heterogeneidad de localización de los mixomas, constituye un reto diagnóstico. Puede llegar a considerarse el diagnóstico en pacientes con aparición de mixomas musculares y hallazgos de imagen compatibles con estroma fibroso intraóseo.



CONCLUSIONES

En la literatura mexicana, hay reportes publicados del síndrome. Este reporte es originario de España, tratándose de una paciente del mismo país con múltiples mixomas en glúteo medio y menor derecho, los cuales fueron tratados mediante resección amplia.14 Como se mencionó al inicio de este documento, el presente es el primer reporte de caso de un paciente mexicano con síndrome de Mazabraud.


REFERENCIAS (EN ESTE ARTÍCULO)

  1. Henschen F. Fall von ostitis fibrosa mit multiplen tumoren in der umgebenden muskulatur. Verh Dtsch Ges Pathol. 1926; 21: 93-7.

  2. Mazabraud A, Semat P, Roze R. Apropos of the association of fibromyxomas of the soft tissues with fibrous dysplasia of the bones. Presse Med. 1967; 75: 2223-8.

  3. Tiller GE, Bellus GA. Avery. Enfermedades del recién nacido. Décima edición. Capítulo 102: displasias óseas y enfermedades hereditarias del tejido conectivo. Elsevier 2018.

  4. Rasmussen SA, Bieber FR, Benacerraf BR, et al. Epidemiology of osteochondrodysplasias: changing trends due to advances in prenatal diagnosis. Am J Med Genet. 1996; 61: 49-58.

  5. Bonafe L, Cormier-Daire V, Hall C, et al. Nosology and classification of genetic skeletal disorders: 2015 revision. Am J Med Genet Part A. 2015; 167A: 2015; 167A(12): 2869-92.

  6. Bonar SF. Bone and soft tissue pathology. Chapter 23, Elsevier, 2010, 419-45.

  7. Perez SP, González LJ. Síndrome de Mazabraud. Asociación poco frecuente de mixoma intramuscular y displasia fibrosa. Radiología. 2014; 56(3): 281-3.

  8. Rosai J, Ackerman LV, Goldblum JR. Rosai and ackermans surgical pathology. Chapter 41 - Soft Tissues, Edinburgh: Mosby Elsevier, 2018.

  9. Folpe AL, Inwards CY. Bone and soft tissue pathology: a volume of the series foundations in diagnostic pathology. Chapter 23, Philadelphia, PA: Saunders/Elsevier; 2010, 419-45.

  10. Mejía ARR, Casado MJM, Pavez NRA, Soldado MAR: Síndrome de Mazabraud. Nuevo caso clínico y revisión de los hallazgos. Reumatol Clin. 2016; 12(6): 336-8.

  11. Alhujayri AK, Alshomer F, Alalola R, Alqahtani M, Alshanawani B. Mazabrauds syndrome: Report of its first incidence in the Middle East and a literature review. Annals of Medicine and Surgery. 2015; 4(4): 361-5.

  12. Fitzpatrick KA, Taljanovic MS, Speer DP, et al. Imaging findings of fibrous dysplasia with histopathologic and intraoperative correlation. AJR Am J Roentgenol. 2004; 182: 1389-98.

  13. Mejía ARR, Casado MJM, Pavez NRA, Soldado MÁR. Síndrome de Mazabraud. Nuevo caso clínico y revisión de los hallazgos. Reumatología Clínica. 2016; 12(6): 336-8. doi: 10.1016/j.reuma.2015.11.012.

  14. Granel-Villach L, Alcalde-Sánchez M, Salvador-Marín M, et al. Diagnóstico diferencial y manejo de mixomas intramusculares: revisión de nuestra experiencia. Cirugía y Cirujanos. 2017; 85(4): 356-60.



AFILIACIONES

1 Médico residente tercer año, Ortopedia y Traumatología. Centro Médico ABC.

2 Médico adscrito Ortopedia y Traumatología, Staff Médico. Centro Médico ABC.

3 Médico adscrito, Imagenología. Centro Médico ABC.

4 Médico adscrito, Anatomía Patológica. Centro Médico ABC.

5 Médico residente segundo año, Anatomía Patológica. Centro Médico ABC.



CORRESPONDENCIA

Jorge Luis Martínez-Peniche. E-mail: jorchmartinez@gmail.com




Recibido: 16-07-2019. Aceptado: 01-02-2021.

Figura 1
Figura 2
Figura 3
Figura 4
Figura 5
Figura 6

2020     |     www.medigraphic.com

Mi perfil

C?MO CITAR (Vancouver)

Acta Ortop Mex. 2021 Mar-Abr;35

ARTíCULOS SIMILARES

CARGANDO ...