medigraphic.com
ENGLISH

Revista Mexicana de Ortodoncia

ISSN 2395-9215 (Impreso)
Órgano Oficial de Difusión de la Facultad de Odontología de la UNAM
  • Mostrar índice
  • Números disponibles
  • Información
    • Información general        
    • Directorio
  • Publicar
    • Instrucciones para autores        
  • medigraphic.com
    • Inicio
    • Índice de revistas            
    • Registro / Acceso
  • Mi perfil

2019, Número 4

<< Anterior Siguiente >>

Rev Mex Ortodon 2019; 7 (4)


Tratamiento de paciente clase III esquelética utilizando placas maxilares. Reporte de caso

Galindo-Espinoza, Claudia Guadalupe1; del Toro Luna, Elvia Isabel1; Huízar González, Irving Giovanni1; Rodríguez-Chávez, Jacqueline Adelina1; Abitia Hawley, Daniel2; Meléndez Ruíz, José Luis1; García López, José de Jesús1
Texto completo Cómo citar este artículo Artículos similares

Idioma: Español/Inglés [English version]
Referencias bibliográficas: 13
Paginas: 202-213
Archivo PDF: 470.85 Kb.


PALABRAS CLAVE

Clase III esquelética, placas de anclaje esqueletal, tratamiento ortopédico, hipoplasia maxilar.

RESUMEN

Introducción: La clase III esquelética es una de las maloclusiones más difíciles de tratar en los pacientes, porque el patrón de crecimiento es imprevisible. Su asociación puede estar dada por una hipoplasia del maxilar, una hiperplasia mandibular o una combinación de ambas. Se presenta un caso clínico de corrección de la relación clase III por medio de la colocación de placas de anclaje esqueletal en el maxilar. Reporte de caso clínico: paciente masculino de 12 años de edad, sin presencia de datos patológicos, cuyo motivo de consulta refiere "mi mandíbula está crecida". Se diagnostica clase III esquelética por hipoplasia maxilar con un tipo de crecimiento hipodivergente y un biotipo braquifacial. El paciente presenta clase III molar bilateral, clase canina no establecida e incompetencia labial. Se decidió realizar el tratamiento en dos fases: la primera fase ortopédica, en la que se pretende la corrección de la relación de clase III por medio de la colocación de placas de anclaje esqueletal, con uso de elásticos clase III y secuencia progresiva. La segunda fase ortodóncica, en la cual se realizaron las etapas de tratamiento, alineación, nivelación, cierre de espacios, consolidación, detallado y retención. Se obtuvo éxito en la clase I esqueletal, con buenos resultados estéticos, dentales y funcionales. Conclusión: Hacer un buen diagnóstico es la clave para obtener los objetivos planteados en un tratamiento ortodóncico. En pacientes clase III en edades tempranas, el tratamiento ortopédico con uso de placas intermaxilares combinado con el tratamiento ortodóncico favorece la corrección esquelética y dental.



INTRODUCCIóN

Zere y colaboradores1 hacen referencia a la clasificación de Edward H. Angle, quien en 1899 clasificó las maloclusiones en clase I, II y III basada en la relación del primer molar permanente maxilar y mandibular. Poco a poco, la clasificación de Angle fue modificada, respecto al patrón de crecimiento y la relación maxilomandibular. Por lo tanto, la relación clase III sugiere que la mandíbula ha adquirido una posición más mesial en relación con el maxilar y/o la base del cráneo. La maloclusión clase III es una de las más difíciles de tratar debido a la imprevisibilidad del patrón de crecimiento.2 Puede estar asociada con un crecimiento deficiente del maxilar, un exceso de crecimiento mandibular, o una combinación de ambos, junto con malformaciones verticales y transversales. La etiología de la maloclusión clase III es multifactorial, es el resultado de una distorsión del desarrollo normal, de la interacción entre factores genéticos hereditarios y factores ambientales.1 Meyns y colegas3 mencionan que Ellis y McNamara encontraron que de 65-67% de las maloclusiones de clase III se caracterizan por una deficiencia del maxilar. Por lo tanto, la mayoría de las modalidades de tratamiento se basan en la protracción del mismo.

La maloclusión de clase III se ha encontrado más prevalente en el continente americano con 5%, 9.1% en latinos y 8.3% en mexicoamericanos.1 Otros aspectos relevantes en relación con el diagnóstico que se deben considerar son los antecedentes familiares, el potencial y el patrón de crecimiento, además de la edad del paciente.4 Con el objetivo de un redireccionamiento del crecimiento cuando el maxilar es el factor etiológico primario, los tipos de tratamiento según la edad consisten en tres etapas fundamentales: un tratamiento preventivo de 4-7 años, un tratamiento interceptivo de 7-10 años y un tratamiento correctivo de 10-12 años.5 La opción para la corrección de la clase III en pacientes en crecimiento consisten en dos categorías principales: los aparatos intraorales como aparatos miofuncionales como el Frankel III, Bionator III, Eschler, entre otros, y los extraorales como máscara facial con o sin expansión y con anclaje dental o esquelético, corticotomía asistida para la protracción, entre otras.6 El tratamiento de pacientes jóvenes con maxilar deficiente se dirige generalmente a lograr el resalte positivo a través de una combinación de efectos esqueléticos y dentoalveolares.7 La protracción maxilar anclada a hueso ha demostrado ser una modalidad de tratamiento eficaz para la corrección de esta maloclusión.8

Esenlik y su equipo9 mencionan la introducción de una nueva perspectiva para el tratamiento ortopédico de las maloclusiones clase III empleada por Clerck y colegas,8 logrando la protracción maxilar mediante el uso de elásticos intermaxilares en miniplacas que van en las crestas cigomáticas del maxilar y en la región anterior de la mandíbula. Con este enfoque, la tracción maxilar se puede aplicar 24 horas del día. Este abordaje intraoral se hizo muy popular entre las alternativas de tratamiento ortopédicas.

El objetivo del presente artículo es presentar el caso de un paciente diagnosticado con clase III esqueletal tratado en dos fases: la primera ortopédica con anclaje esquelético y la segunda ortodóncica.



REPORTE DEL CASO

Paciente de 12 años de edad, sexo masculino, sin datos patológicos ni odontológicos, que asiste a la Clínica de la Especialidad de Ortodoncia de la Universidad de Guadalajara. Con motivo de consulta "mi mandíbula está crecida".

Análisis extraoral

Presenta crecimiento y desarrollo anormal, con un biotipo braquifacial, mentón prominente, incompetencia labial, facies adenoidea, tercio medio facial deprimido, asimetría facial de lado derecho, líneas de sonrisa coincidentes, línea media dental superior e inferior desviadas a la derecha, perfil cóncavo, crecimiento hipodivergente, cara larga y ovalada, labios gruesos y prominentes (Figura 1A).

Análisis intraoral

En las fotografías intraorales se observa una relación molar clase III bilateral, clase canina no establecida, mordida cruzada anterior, línea media desviada 3 mm a la derecha tanto superior como inferior (Figura 1B).

Análisis de modelos

El análisis de Bolton presenta un exceso mandibular de 6-6: 3.5 mm y un exceso mandibular de 3-3: 3 mm. Presenta una discrepancia de longitud de arco superior de -10.3 mm e inferior de -7 mm (Figura 2).

Análisis radiográfico

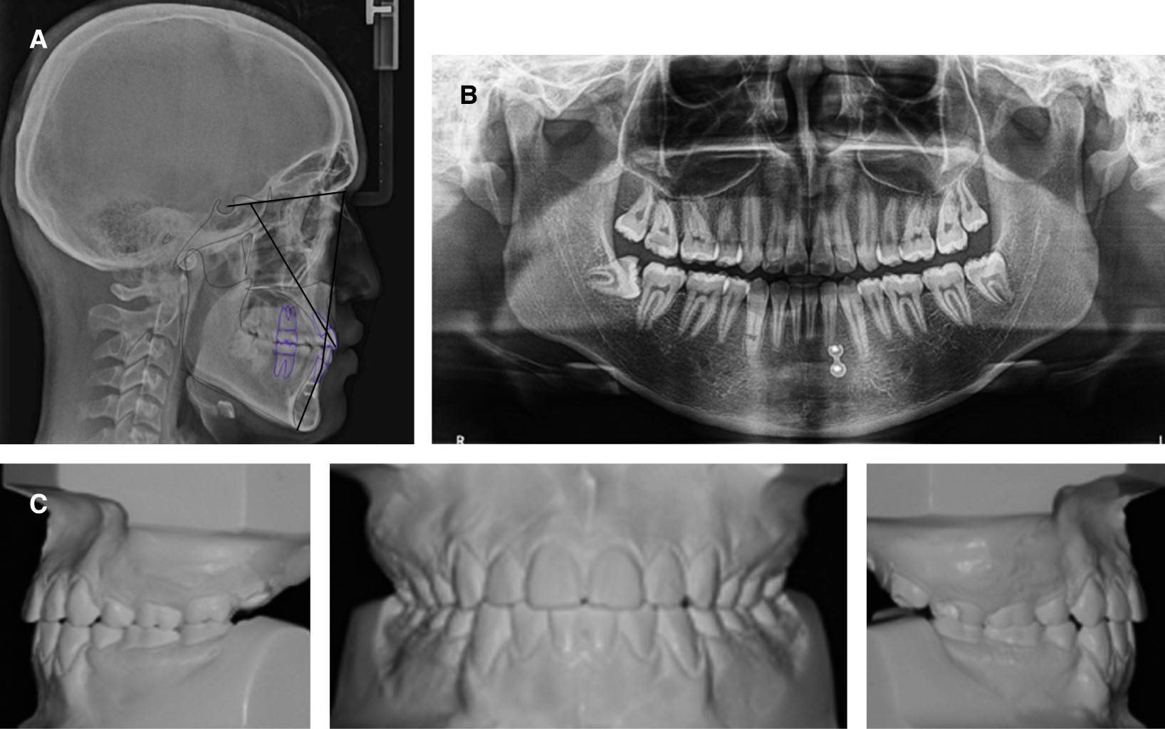
Radiografía lateral: en la cefalometría de Steiner fue trazada digitalmente en Dolphin versión 9.0 (Figura 3A), se encuentra una clase III esquelética por una hipoplasia maxilar, el ángulo mandibular se encuentra disminuido, indicando rotación hacia arriba y adelante. En los criterios dentales se encuentra una proinclinación y protrusión de los incisivos maxilares y mandibulares. En el análisis de tejidos blandos se presenta un surco mentolabial y un ángulo nasolabial disminuido y el labio inferior se encuentra ligeramente por delante de la línea E de Steiner (Tabla 1).

Radiografía panorámica: se encuentra una relación corona-raíz 1:2, un patrón de erupción dental normal, presencia de terceros molares inferiores y superiores en apicoformación, niveles de cresta ósea con altura adecuada, cóndilos simétricos, no presenta signos de enfermedad periodontal (Figura 3B).

Diagnóstico: presenta una clase III esquelética por una hipoplasia del maxilar, con un biotipo braquicefálico, clase III molar, clase canina no establecida, sobremordida horizontal: -1 mm, sobremordida vertical: 1.5 mm, DLA: superior: -10.3 mm, inferior: -7 mm, línea media inferior 3 mm a la derecha, dientes superiores e inferiores en protrusión y proinclinación.

Objetivos de tratamiento: mejorar perfil, obtener clase I canina, obtener clase I molar, corregir líneas medias dentales, obtener guía anterior adecuada, corregir el apiñamiento maxilar y mandibular, mejorar forma de arco superior e inferior.

TRATAMIENTOS ALTERNATIVOS

  • 1. La primera alternativa de tratamiento fue la cirugía ortognática para la clase III esquelética, se evaluó este proceso por la etapa de maduración en que se encontraba el paciente, por lo que podría tener una recidiva postquirúrgica.
  • 2. Otra alternativa fue el tratamiento con aparatología ortopédica miofuncional para optimizar el redireccionamiento maxilar con el uso de máscara facial para la protracción maxilar, o el uso de algún aparato miofuncional como el Bionator o el Frankel; esta opción fue considerada tardía por el proceso de maduración del paciente, lo cual se enfrentaba a un tratamiento con posibles resultados limitados.
  • 3. Una alternativa viable y conservadora fue la propuesta del tratamiento de compensaciones dentales con aparatología fija y extracciones, pero con las limitantes de no corregir la clase III esquelética y estar condicionado a obtener menos objetivos de tratamiento.
  • 4. El tratamiento aceptado por el paciente fue el proceso en dos etapas: la fase ortopédica con la colocación de placas intermaxilares y el uso de elásticos clase III para la corrección esquelética, y posteriormente la fase ortodóncica para cumplir los objetivos dentales, obteniendo el mejor resultado posible.



PROGRESO DEL TRATAMIENTO

Durante la fase ortopédica se realizó la colocación de las placas de anclaje esqueletal de 2.0 mm de titanio, cada una con dos tornillos de 2.0 × 9 mm colocados en la parte mandibular entre caninos y laterales de ambos lados y en la parte maxilar en el arco cigomático a nivel radicular del segundo molar en ambos lados, el cual es un procedimiento realizado con anestesia general, pero ambulatorio. Al mes del procedimiento quirúrgico se toma una tomografía de haz cónico (Cone Beam) para la evaluación de la osteointegración de las placas y posteriormente hacer la colocación de elásticos clase III con 150 g de fuerza (Figura 4A), en esta fase del tratamiento se colocan turbo bite en primeros molares superiores para lograr la desoclusión anterior y que la mecánica fuera más efectiva junto con los elásticos clase III que se utilizaron por 10 meses (Figura 4B), comenzando con fuerzas ligeras desde los 150 g hasta llegar a los 450 g por lado. Posterior a esto, el paciente presentó una mejor relación maxilomandibular y se continuó con la fase ortodóncica para la corrección de la oclusión (Figura 5).

En la fase ortodóncica se planificaron las extracciones de los primeros premolares superiores e inferiores por las compensaciones dentarias y el apiñamiento presente. Se continúa con la cementación de brackets Alexander, bandas en primeros molares y tubos en segundos molares superiores e inferiores con slot 0.018". En cuanto a la alineación y nivelación, como se tiene un overjet positivo y se necesita mejorar el perfil, se procede con las extracciones para liberar el apiñamiento, con una secuencia de arcos de níquel titanio 0.012", 0.016" nitinol termoactivado, 0.016" × 0.022" nitinol termoactivado y 0.016 × 0.022 de acero superior e inferior en un periodo de 10 meses. En la fase de trabajo se utilizó 0.016 × 0.022 de acero, se cierran espacios con un loop doble delta en un periodo de siete meses. En el detallado se coloca un arco 0.016 de acero con stops cortos en la parte inferior, y en la finalización se termina con el uso de elásticos para asentamiento en arcos térmicos por un periodo de ocho meses. Para la retención final se indica un circunferencial superior e inferior con la indicación de uso de 24 horas.

Se obtuvo una buena armonía facial y estética (Figura 6A), se consolidaron clase I molar y canina, se obtuvo un correcta sobremordida horizontal y vertical se finalizó el tratamiento con una forma de arco ovoide en ambas arcadas (Figura 6B). En la radiografía lateral de cráneo (Figura 7A), así como en la cefalometría de Steiner (Tabla 1) se logró clase I esquelética, normo-divergencia, adecuada guía anterior con la que finaliza el paciente, y los cambios positivos en el perfil. La radiografía panorámica final presentó un buen paralelismo radicular, 24 dientes presentes, con el OD 18 y 28 en proceso eruptivo, OD 38 retenido, OD 48 impactado. Por lo que se remite al paciente al Departamento de Cirugía Oral para la extracción de los terceros molares. Se observó la placa inferior izquierda entre OD 32 y 33, al momento del abordaje quirúrgico para retirarla se encontró osteointegrada, y puesto que su remoción implicaba la eliminación de una cantidad considerable de tejido óseo se decidió dejarla (Figura 7B). En los modelos de estudio se encuentra una línea media dental coincidente, un buen asentamiento posterior y una relación anteroposterior adecuada (Figura 7C). En la superimposición de los trazados cefalométricos se analiza el posicionamiento maxilar y mandibular determinando una adecuada corrección esqueletal lograda postratamiento en referencia con los puntos anatómicos estables en la etapa de maduración y una adecuada posición dental (Figura 8).



DISCUSIóN

El principal factor que determina un resultado óptimo y a largo plazo de la protracción maxilar y el redireccionamiento mandibular va a depender de la cantidad del avance, la dirección del crecimiento y la etapa de desarrollo en la que se encuentre. Lin y su equipo10 mencionan que la protracción maxilar en una etapa temprana puede exhibir una respuesta al tratamiento más eficaz, pero también se puede tener una mayor tendencia a la recidiva debido al potencial de crecimiento mandibular en este tipo de pacientes; en el reporte de caso se estableció como criterio importante tener una valoración periódica al finalizar el tratamiento para analizar la tendencia de crecimiento mandibular y así evitar tener una recidiva. Es de suma importancia tener una adecuada oclusión, ya que determina la buena posición condilar y, por lo tanto, una mejor estabilidad postratamiento.

Meyns y su grupo3 refieren que al utilizar un anclaje esquelético se obtienen varias ventajas, entre ellas mejorar el cumplimiento del paciente por el uso de elásticos intraorales y obtener una mejor respuesta de tracción continua en lugar de fuerzas pesadas e interrumpidas durante el día; en nuestro paciente encontramos una buena cooperación del uso de elásticos sin referir molestia al utilizarlos. Heymann y colegas11 y Almuzian y su equipo12 mencionan que el uso de elásticos intermaxilares por medio de dispositivos de anclaje mejoran las relaciones esqueléticas en pacientes con deficiencia maxilar con un mínimo cambio dentoalveolar, al igual que eliminan el uso de aparatos extraorales, corroborando esto con la superimposición cefalométrica donde se comprueba el resultado obtenido esquelético y con mínimos cambios en inclinaciones dentales, favoreciendo a la estabilidad a largo plazo del tratamiento. En el caso reportado se encontró un aumento en el plano mandibular, una rotación del plano palatino en sentido antihorario, así como una posterorrotación mandibular, por lo cual se atribuye a la corrección de la clase III esquelética, un cambio favorable en ANB, así como la sobremordida horizontal y vertical adecuada. Este resultado fue similar al estudio realizado por Fakharian y colaboradores,13 quienes mencionan que después de la fase ortopédica y ortodóncica existe una inclinación de los incisivos mandibulares, por lo que se le atribuye a la presión de la lengua después de la eliminación de la mordida cruzada anterior y el aumento de la distancia entre los incisivos superiores e inferiores. En el caso clínico reportado se difiere del autor mencionado, ya que los reportes cefalométricos y la superimposición muestran una relación adecuada de los incisivos inferiores en sus bases óseas, debido a que en la protracción se manipuló tanto el maxilar como la mandíbula para la corrección de la clase III y se realizaron las extracciones para cumplir con la estabilidad dental.



CONCLUSIóN

El tratamiento ortopédico mediante placas intermaxilares en conjunto con el ortodóncico es una buena alternativa en pacientes clase III esqueletal que se encuentran en una etapa de maduración consolidada, pero aún considerados jóvenes para un proceso de cirugía ortognática por el alto índice de recidiva postquirúrgica. Por este método se puede conseguir una clase I esqueletal, así como una oclusión estable sin tener cambios desfavorables en las compensaciones dentales y al mismo tiempo obtener una armonía facial. Obtuvimos con éxito la clase I esqueletal, clase canina y molar I, guía anterior adecuada, así como buenos resultados estéticos y funcionales.


REFERENCIAS (EN ESTE ARTÍCULO)

  1. Zere E, Chaudhari PK, Sharan J, Dhingra K, Tiwari N. Developing class III malocclusions: challenges and solutions. Clin Cosmet Investig Dent. 2018; 10: 99-116.

  2. Tripathi T, Rai P, Singh N, Kalra S. A comparative evaluation of skeletal, dental, and soft tissue changes with skeletal anchored and conventional facemask protraction therapy. J Orthod Sci. 2016; 5 (3): 92-99.

  3. Meyns J, Brasil DM, Mazzi-Chaves JF, Politis C, Jacobs R. The clinical outcome of skeletal anchorage in interceptive treatment (in growing patients) for class III malocclusion. Int J Oral Maxillofac Surg. 2018; 47 (8): 1003-1010.

  4. Oltramari-Navarro PV, de Almeida RR, Conti AC, Navarro Rde L, de Almeida MR, Fernandes LS. Early treatment protocol for skeletal class III malocclusion. Braz Dent J. 2013; 24 (2): 167-173.

  5. Espinar Escalona E, Ruiz Navarro MB, Ortega Rivera H, Llamas Carreras JM, Barrera Mora JM, Solano Reina JE. Tratamiento temprano de clase III. Rev Esp Ortod. 2011; 41: 79-89.

  6. Azamian Z, Shirban F. Treatment options for class III malocclusion in growing patients with emphasis on maxillary protraction. Scientifica (Cairo). 2016; 2016: 8105163.

  7. Degala S, Bhanumathi M, Shivalinga BM. Orthopaedic protraction of the maxilla with miniplates: treatment of midface deficiency. J Maxillofac Oral Surg. 2015; 14 (1): 111-118.

  8. Nguyen T, Cevidanes L, Cornelis MA, Heymann G, de Paula LK, De Clerck H. Three-dimensional assessment of maxillary changes associated with bone anchored maxillary protraction. Am J Orthod Dentofacial Orthop. 2011; 140 (6): 790-798.

  9. Esenlik E, Aglarci C, Albayrak GE, Findik Y. Maxillary protraction using skeletal anchorage and intermaxillary elastics in skeletal class III patients. Korean J Orthod. 2015; 45 (2): 95-101.

  10. Lin HY, Yang H, Lai EH, Lin SY, Chang JZ. Three-phase treatment concept for skeletal class III growing patients with severe space deficiency: A report of three cases with skeletally anchored maxillary protraction. J Formos Med Assoc. 2020; 119 (4): 869-878.

  11. Heymann GC, Cevidanes L, Cornelis M, De Clerck HJ, Tulloch JF. Three-dimensional analysis of maxillary protraction with intermaxillary elastics to miniplates. Am J Orthod Dentofacial Orthop. 2010; 137 (2): 274-284.

  12. Almuzian M, Almukhtar A, Ulhaq A, Alharbi F, Darendeliler M. 3D effects of a bone-anchored intra-oral protraction in treating class III growing patient: a pilot study. Prog Orthod. 2019; 20 (1): 37.

  13. Fakharian M, Bardideh E, Abtahi M. Skeletal class III malocclusion treatment using mandibular and maxillary skeletal anchorage and intermaxillary elastics: a case report. Dental Press J Orthod. 2019; 24 (5): 52-59.



AFILIACIONES

1 Especialidad de Ortodoncia, Departamento de Clínicas Odontológicas Integrales, Centro Universitario de Ciencias de la Salud. Universidad de Guadalajara. México.

2 Cirujano Maxilofacial. Clínica de Cirugía Maxilofacial. Centro Médico Puerta de Hierro. Zapopan, Jalisco.



CORRESPONDENCIA

José de Jesús García López. E-mail: pepegalop@yahoo.com.mx




Recibido: Abril 2020. Aceptado: Junio 2020.

Figura 1
Figura 2
Figura 3
Figura 4
Figura 5
Figura 6
Figura 7
Figura 8
Tabla 1

2020     |     www.medigraphic.com

Mi perfil

C?MO CITAR (Vancouver)

Rev Mex Ortodon. 2019;7

ARTíCULOS SIMILARES

CARGANDO ...