medigraphic.com
ENGLISH

Revista Mexicana de Ortodoncia

ISSN 2395-9215 (Impreso)
Órgano Oficial de Difusión de la Facultad de Odontología de la UNAM
  • Mostrar índice
  • Números disponibles
  • Información
    • Información general        
    • Directorio
  • Publicar
    • Instrucciones para autores        
  • medigraphic.com
    • Inicio
    • Índice de revistas            
    • Registro / Acceso
  • Mi perfil

2019, Número 4

<< Anterior Siguiente >>

Rev Mex Ortodon 2019; 7 (4)


Corrección de hipoplasia maxilar con osteotomía Le Fort I. Reporte de caso clínico

Orozco-Ramírez, Carmen Julieta1; Andrade Martínez, Caribel Stacey2; Flores, Juan Eduardo3; Abitia Hawley, Daniel2; Fisher Martínez, Daniela1; Rodríguez-Chávez, Jacqueline Adelina4
Texto completo Cómo citar este artículo Artículos similares

Idioma: Español/Inglés [English version]
Referencias bibliográficas: 18
Paginas: 224-235
Archivo PDF: 534.64 Kb.


PALABRAS CLAVE

Hipoplasia maxilar, clase III esqueletal, cirugía Le Fort I.

RESUMEN

Introducción: Paciente de 13 años de edad tratada en la Clínica de Ortodoncia de la Universidad Autónoma de Guadalajara, refiriendo como motivo de consulta "No me gusta mi sonrisa y quisiera que me arreglen mis dientes". Se diagnosticó clase III esqueletal ocasionada por hipoplasia maxilar produciendo una deficiencia del tercio medio facial, mordida borde a borde, líneas medias dentales desviadas, con base en lo anterior se determinó un tratamiento ortodóntico-quirúrgico. Objetivos: Lograr clase I esqueletal, clase I canina, clase II molar funcional, estabilidad oclusal y mejorar el perfil facial. Reporte de caso clínico: Una vez aceptado el tratamiento ortodóntico-quirúrgico, el tratamiento se dividió en tres etapas; ortodoncia prequirúrgica con aparatología MBT slot 0.022" donde por medio de extracciones de primeros premolares superiores pudimos lograr la posición ideal de los incisivos superiores y la descompensación prequirúrgica. En la etapa quirúrgica se efectuó una cirugía Le Fort I de avance maxilar de 3 mm y un descenso de 4 mm con rotación a favor a las manecillas del reloj. En la etapa postquirúrgica se realizó detallado y asentamiento dental. Resultados: Se obtuvo clase I esqueletal, clase I canina, y clase II molar funcional bilateral, devolviéndole una mejor autopercepción a la paciente. Conclusiones: Logramos nuestros objetivos, la cirugía ortognática permitió la eficacia del tratamiento ortodóntico, la funcionalidad dental y la autopercepción positiva de la paciente.



INTRODUCCIóN

La maloclusión clase III puede ser asociada a un prognatismo mandibular puro o de una hipoplasia maxilar o una combinación de ambas. Esto significa que hay una posible heterogeneidad anatómica en este tipo de maloclusión, ya que cualquiera de los maxilares puede ser afectado en la longitud sagital o en la posición relativa de ambas. Estudios de agregación familiar sugieren que factores heredofamiliares y ambientales tienen un rol sustancial en la etiología de una maloclusión clase III.1 La mayoría de los investigadores concuerdan en que varias combinaciones de elementos dentales y esqueléticos pueden influir en la producción de una maloclusión clase III. De hecho, cada componente del complejo craneofacial en un tiempo u otro ha participado como un factor causante.2 En una revisión de literatura, múltiples autores reportan que las mediciones de la región craneofacial se dividen en cuatro grupos basados en diferentes criterios anteroposteriores: posición esquelética del maxilar, posición dental maxilar, posición dental mandibular y la posición esquelética mandibular.2 Baccetti y colaboradores3 reportan en cuanto a las diferencias de género de la maloclusión clase III que a los 13 años de edad las mediciones craneofaciales entre hombres y mujeres son diferentes, siendo el grupo femenino quien presenta bases craneales anteriores cortas, tercios medios y longitudes mandibulares cortas, alturas faciales anteriores superiores e inferiores cortas e incisivos superiores más proinclinados así como labios en una posición más retrusiva en relación con el plano E.3,4

La deficiencia maxilar en la región maxilar puede estar asociada con una deficiencia del tercio medio facial, esto se corrobora por el contorno del hueso malar, cresta orbitaria y el área suborbital que puede ser descrita como plana.5 Dado que la deficiencia del hueso basal es reflejada a los tejidos blandos, causa un desfavorable efecto en la estética facial que puede afectar la autoestima del paciente. La literatura describe que la clase III causada por una deficiencia del crecimiento del maxilar debe ser tratada lo más temprano posible, ya que puede tener un efecto positivo en la estética facial y redireccionar este crecimiento desfavorable en el maxilar.6-8

Mordidas cruzadas anteriores y una leve maloclusión clase III esqueletal en una dentición mixta puede ser corregida con varios enfoques de tratamiento, incluyendo aparatos removibles, aparatos fijos, mentoneras y máscaras faciales. Cuando las mordidas cruzadas anteriores no son tratadas pueden asociarse a una variedad de complicaciones como recesiones gingivales de los incisivos inferiores, desgaste incisal, y empeoramiento del patrón de crecimiento.9 En 1987 McNamara7 presentó un reporte de caso y usó un aparato de expansión fijo tipo Hyrax en conjunto con una máscara facial en pacientes con una deficiencia del maxilar. En los años 90 varios estudios científicos clarificaron los efectos de la protracción maxilar en la corrección de la maloclusión clase III esqueletal con una deficiencia maxilar.10

Cuando los problemas ortodo?ncicos del paciente son tan graves que ni siquiera la modificación del crecimiento ni el camuflaje son una buena solución, el único tratamiento posible es la realineación quirúrgica de los maxilares o la recolocación de los segmentos dentoalveolares.11 La década de los 60 fue una época de avances en la cirugía maxilar, cirujanos estadounidenses comenzaron a modificar técnicas de cirugía maxilar desarrolladas en Europa, lo que culminó en el desarrollo de la técnica Le Fort I con fractura descendente que permitió la reposición del maxilar en los tres planos del espacio.12 A continuación se presenta el caso de una paciente de 13 años de edad clase III esqueletal debido a una hipoplasia maxilar, corregida con aparatología MBT y cirugía Le Fort I.



REPORTE DE CASO CLíNICO

Diagnóstico y (etiología) plan de tratamiento: paciente femenino de 13 años de edad, que acude a la Clínica de Especialidad de Ortodoncia de la Universidad Autónoma de Guadalajara porque quiere que le arreglen los dientes. La paciente presenta un biotipo facial mesofacial con un perfil recto y un crecimiento neutro, con un tercio superior corto y un tercio medio e inferior aumentado, labios gruesos, con un ángulo nasolabial cerrado, labio superior corto, incompetencia labial, muestra una sonrisa simétrica y baja con líneas media facial y dental coincidentes, muestra seis dientes en la arcada superior, no presenta corredores bucales, los bordes incisales no coinciden con el arco de sonrisa, no muestra encía al sonreír y tiene una mordida borde a borde (Figura 1A).

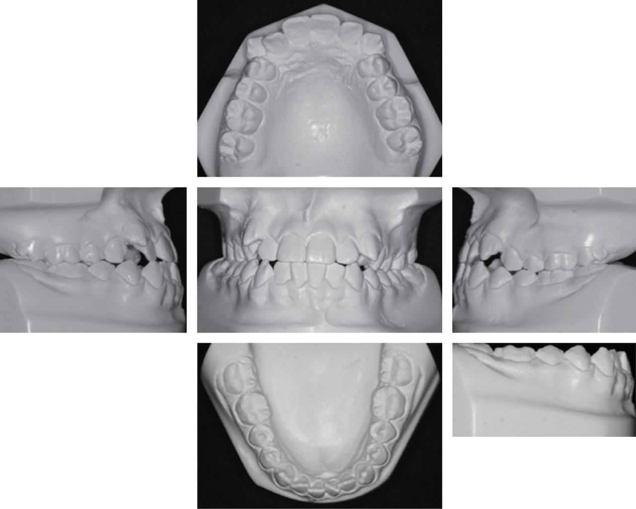
En el análisis intraoral la paciente presenta arco dentario superior cuadrangular y arco dentario inferior ovoide con órganos dentarios 13 y 23 en suboclusión y el órgano dentario 13 fuera de arco, apiñamiento anterosuperior y anteroinferior con giroversión del órgano dentario 41, mordida borde a borde, líneas medias dentales no coincidentes, clase I molar derecha e izquierda, clase canina izquierda I y clase canina derecha no establecida, overjet y overbite de 0 mm (Figura 1B), con una curva de Spee izquierda de 1.5 mm y una curva de Spee de 0 mm (Figura 2).

En la radiografía panorámica (Figura 3A) se observan órganos dentarios 18, 28, 38 y 48 incluidos y cóndilos sanos con vías aéreas permeables.

Cefalométricamente se diagnosticó como clase III esqueletal por una hipoplasia maxilar y un prognatismo mandibular, retroinclinación dentoalveolar inferior con un crecimiento neutro en la cefalometría de Steiner hecho digitalmente en Dolphin versión 9.0 (Figura 3B y Tabla 1).

Objetivos del tratamiento: mejorar el perfil del paciente. Lograr clase I canina bilateral y clase II molar funcional, aliviar apiñamiento superior e inferior, corregir overjet, overbite y línea media dental.

Alternativas de tratamiento: se consideró expansión palatina superior con un disyuntor tipo Hyrax, máscara facial con disyuntor tipo Hyrax o la compensación dentoalveolar con extracciones de segundos premolares inferiores.

Plan de tratamiento: al momento que se decidió tratar a la paciente de manera ortodóntica-quirúrgica, se estableció un protocolo de tres etapas: etapa ortodóntica prequirúrgica, etapa quirúrgica y una etapa ortodóntica postquirúrgica. Se realizó la colocación de aparatología MBT slot 0.022" × 0.028" con torque 0o en caninos, extracciones de primeros premolares superiores con la finalidad de liberar el apiñamiento, proinclinación dentoalveolar inferior para efectuar la descompensación prequirúrgica. Se llevó a cabo una cirugía Le Fort I, posteriormente se realizó la etapa ortodóntica postquirúrgica con una fase final de retención.

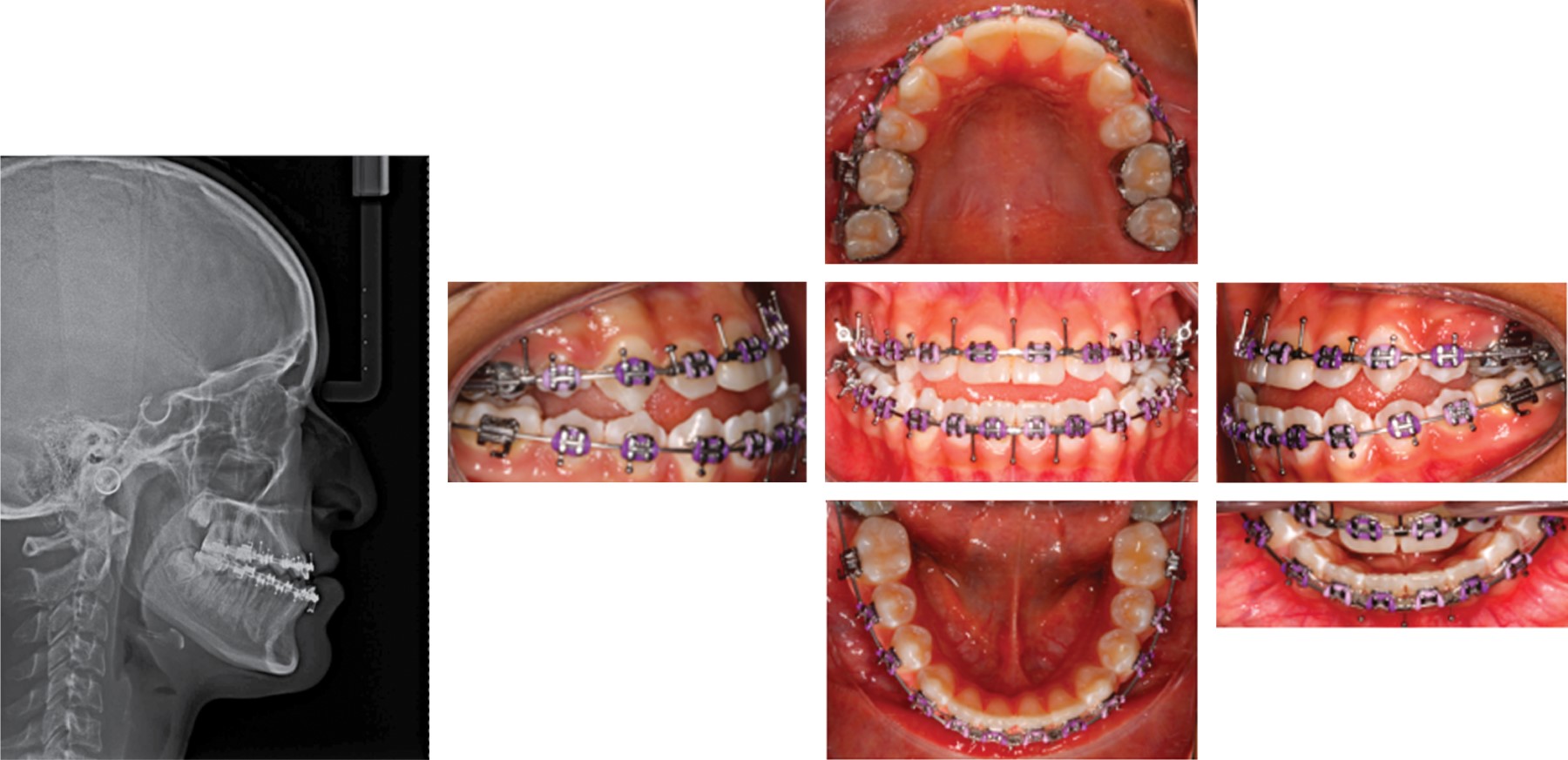
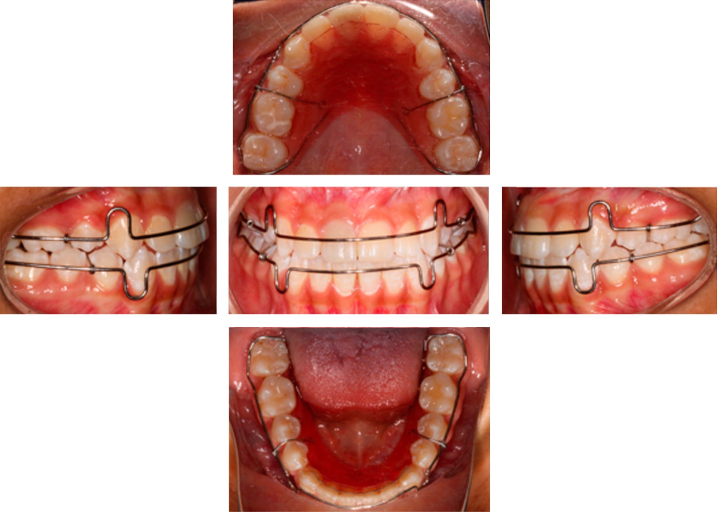
Evolución del tratamiento: el tratamiento comenzó con la colocación de aparatología MBT slot 0.022" × 0.028" superior e inferior. La fase de alineación y nivelación inició con arcos de níquel titanio (NiTi) 0.012", se extrajeron órganos dentarios 14 y 24 y se colocó arco NiTi 0.014" con activación de retroligadura en caninos superiores. Luego se colocaron arcos 0.016" de acero superior e inferior cinchados y en el arco inferior se colocó open-coil para generar espacio para el órgano dentario 41. Se continuó con una secuencia de arcos de 0.019" × 0.025" NiTi superior cinchado y 0.014" NiTi en inferior con un bypass para mantener el espacio del 41, posteriormente se incluyó el órgano dentario 41. A continuación, se colocó arco 0.016" NiTi, 0.019" × 0.025" NiTi en inferior, se continuó con arcos 0.019" × 0.025" acero (SS). Se puntearon ganchos crimpables en el arco en ambas arcadas por ocho meses para completar la fase de descompensación y se le pidió a la paciente realizarse una radiografía lateral de cráneo para confirmar la ubicación de los incisivos en sus bases óseas (Figura 4). Una vez que se encontró el incisivo inferior estable se efectuó la cirugía Le Fort I, en la cual se realizó un avance maxilar de 3 mm y un descenso del mismo de 4 mm haciendo una rotación en dirección de las manecillas del reloj. Se fijaron dos placas de titanio en forma de L con cuatro tornillos de 1.5 mm en cada sistema (Figura 5A). En postcirugía se colocaron arcos 0.019" × 0.025" trenzado superior e inferior con elásticos en triángulo de asentamiento y en caja en anteriores por dos meses (Figura 5B). Se retiraron los brackets, se colocó Essix 0.030", enseguida se hizo colocación de retenedor circunferencial superior e inferior, fijo en inferior de 5 a 5 con trenzado de ligadura 0.010" (Figura 6).

Resultados del tratamiento: se cumplieron los objetivos que se plantearon al inicio del tratamiento. Esqueléticamente se obtuvo clase I esqueletal por protrusión del maxilar superior. Facialmente se obtuvo un perfil recto con una correcta posición del labio superior y la disminución del ángulo nasolabial. Dentalmente se obtuvo clase I canina y clase II molar funcional, líneas medias centradas y un correcto overjet y overbite (Figura 7). Se remite a la paciente al servicio de cirugía maxilofacial a realizar extracciones de terceros molares. Por último, en la sobreimposición se observaron cambios importantes en perfil facial como en los valores cefalométricos (Figura 8 y Tabla 1).



DISCUSIóN

La zona estética es importante para el éxito de la armonización dentofacial. El clínico deberá ser capaz de incorporar la evaluación facial y dental en un formato conciso para identificar y después orientar al paciente a la reconstrucción facial. Un diagnóstico correcto comienza con los tejidos blandos faciales y esqueletales, seguido de una inspección intraoral, su relación con los labios y las condiciones respiratorias. La evaluación esqueletal facial puede indicar una dismorfia maxilar o mandibular, incluyendo deformidades esqueletales verticales u horizontales. Aunque la belleza facial es un concepto subjetivo, como clínicos debemos tener ciertos medios que sean objetivos para la ayuda del diagnóstico y plan de tratamiento. Panossian y colaboradores13 enfatizan la importancia de estos medios como la fotografía, cefalometría y posición individual de los dientes. Para conseguir los objetivos establecidos se siguió el mismo protocolo coincidiendo con el relevante concepto de estética, que requiere lograrse en el plan de tratamiento.

En el presente caso clínico pudimos observar cómo la paciente se motivó con el plan propuesto, asimismo después de la cirugía tuvo un cambio totalmente radical positivo como lo refieren Rizzato y su equipo14 en cuanto a que los pacientes con deformidades dentofaciales tienen una desventaja en la sociedad por su baja autoestima, bajos niveles de seguridad y problemas psicológicos asociados. Concordamos con Cadogan y colegas15 en que los pacientes que deciden continuar con este largo proceso están más motivados a hacer cambios y mejorar su calidad de vida.

La decisión entre el camuflaje ortodóntico y la cirugía ortognática sigue siendo un reto para los ortodoncistas. Los pacientes clase III que rechazan la cirugía ortognática han sido tratados agresivamente con brackets de torques diferentes, elásticos clase III, extracciones y con arcos Multiloop. El camuflaje ortodóntico consiste en una combinación de protrusión de los incisivos superiores y una retracción de los incisivos inferiores. Estos efectos adversos pueden producir proinclinaciones excesivas en los incisivos superiores, extrusión de los molares superiores e inestabilidad durante la retención. Ya que la retracción de los incisivos inferiores incrementa la relativa prominencia del mentón, esto puede empeorar el perfil en vez de mejorarlo.9 Tomando en consideración los límites faciales y esqueléticos del paciente, el camuflaje ortodóntico puede ser la mejor opción para pacientes específicos como lo realizaron Park y colaboradores16 cuyo reporte de caso, a diferencia del nuestro, presentaba un paciente con menor discrepancia sagital, mayores proinclinaciones inferiores y un perfil menos desfavorable contrario a las características de nuestra paciente. Por ello, se tomó una decisión quirúrgica en lugar de un camuflaje, al igual que Rizzato y su equipo.14

Gracias a todos los beneficios de la cirugía coincidimos con Janson y colegas17 en que el avance maxilar ayudó a mejorar el soporte del labio superior, hubo mejor proyección de los tejidos blandos del tercio medio y mejoró favorablemente el perfil de nuestra paciente. Asimismo, el avance quirúrgico del maxilar estableció una buena relación anteroposterior entre la mandíbula y el maxilar, mejorando la exposición del incisivo superior.

Respecto a todo lo mencionado, la mejor opción para la paciente fue un avance maxilar con cirugía Le Fort I, ya que ayudó a mejorar cefalométricamente su ANB, mejoró la armonía dentofacial y evitó el daño potencial al periodonto al realizar compensaciones dentoalveolares. Una vez que se decidió efectuar un avance maxilar por medio de cirugía ortognática Le Fort I, se comenzó la ortodoncia prequirúrgica debido a que coincidimos con Proffit y colaboradores18 sobre la importancia de la alineación dentaria antes de la cirugía, ya que puede ser complicado acomodar ambos maxilares en la posición ideal cuando hay irregularidades dentarias, lo cual puede provocar interferencias en la nueva posición maxilar, es por esto que nosotros comenzamos con la alineación y nivelación, dado que esta etapa es clave para el éxito de la planeación prequirúrgica. Otra pauta que tomamos en cuenta para maximizar la estabilidad de la oclusión postquirúrgica, fue llevar a todos los órganos dentarios dentro de sus bases óseas durante la fase de descompensación que a diferencia a un camuflaje ortodóntico, como lo realizaron Park y su equipo,16 una de las desventajas es que los dientes quedan fuera de sus bases óseas cuyo IMPA se observó muy disminuido.



CONCLUSIONES

El éxito del tratamiento quirúrgico de la maloclusión clase III esqueletal comienza con el diagnóstico de los tejidos blandos tomando en cuenta el perfil, la proyección de los labios y posteriormente el diagnóstico intraoral. Logramos los objetivos propuestos gracias a la cirugía ortognática que permitió la eficacia del tratamiento ortodóntico, funcionalidad, clase I esquelética, mejor armonización del perfil, y una favorable relación entre el overjet y overbite. La armonización del perfil facial contribuyó a una percepción positiva de la paciente.


REFERENCIAS (EN ESTE ARTÍCULO)

  1. Ngan. PW, Deguchi T, Roberts EW. Orthodontic treatment of class III malocclusion. Sharjah, UAE: Bentham Science Publishes Ltd; 2014.

  2. Ellis E, McNamara JA Jr. Components of adult class III malocclusion. J Oral Maxillofac Surg. 1984; 42 (5): 295-305.

  3. Baccetti T, Reyes BC, McNamara JA Jr. Gender differences in class III malocclusion. Angle Orthod. 2005; 75 (4): 510-520.

  4. Battagel JM. The aetiological factors in class III malocclusion. Eur J Orthod. 1993; 15 (5): 347-370.

  5. Arnett W, Mclaughlin R. Facial and dental planning for orthodontists and oral surgeons. Philadelphia: Mosby (Elsevier); 2004.

  6. Kapust A, Sinclair PM, Turley PK. Cephalometric effects of facemask expansion therapy in Class III children: a comparison of three age groups. Am J Orthod Dentofacial Orthop. 1998; 113 (2): 204-212.

  7. McNamara JA Jr. An orthopedic approach of the treatment Class III malocclusion in young patients. J Clin Orthod. 1987; 21 (9): 598-608.

  8. Tanne K, Sakuda M. Biomechanical and clinical changes of the craniofacial complex from orthopedic maxillary protraction. Angle Orthod. 1991; 61 (2): 145-152.

  9. Ngan P, Moon W. Evolution of class III treatment in orthodontics. Am J Orthod Dentofacial Orthop. 2015; 148 (1): 22-36.

  10. Ngan P, Hagg U, Yiu C, Merwin D, Wei SH. Treatment response to maxillary expansion and protraction. Eur J Orthod. 1996; 18 (2): 151-168.

  11. Proffit WR, Fields HW, Sarver DM. Contemporary orthodontics. 5th ed. India: Elsevier; 2012.

  12. Epker BN, Wolford LM. Middle third facial osteotomies: their use in the correction of acquired and developmental dentofacial and craniofacial deformities. J Oral Surg. 1975; 33 (7): 491-514.

  13. Panossian AJ, Block MS. Evaluation of the smile: facial and dental considerations. J Oral Maxillofac Surg. 2010; 68 (3): 547-554.

  14. Rizzato SM, Macedo LM, Cuhna JJ, Allgayer S. Conventional surgical-orthodontic approach with double-jaw surgery for a patient with a skeletal class III malocclusion: stability of results 10 years post treatment. Am J Orthod Dentofacial Orthop. 2018; 154 (1): 128-139.

  15. Cadogan J, Bennun I. Face value: an exploration of the psychological impact of orthognathic surgery. Br J Oral Maxillofac Surg. 2011; 49 (5): 376-381.

  16. Park JH, Emamy M, Lee SH. Adult skeletal class III correction with camouflage orthodontic treatment. Am J Orthod Dentofacial Orthop. 2018; 156 (6): 858-869.

  17. Janson M, Janson G, Sant'Ana E, Tibola D, Martins DR. Orthognathic treatment for a patient with class III malocclusion and surgically restricted mandible. Am J Orthod Dentofacial Orthop. 2009; 136 (2): 290-298.

  18. Proffit WR, White RP Jr. Combined surgical-orthodontic treatment: how did it evolve and what are the best practices now? Am J Orthod Dentofacial Orthop. 2015; 147 (5): S205-S215.



AFILIACIONES

1 Egresada de la Especialidad en Ortodoncia. Universidad Autónoma de Guadalajara. México.

2 Alumna de la Especialidad en Ortodoncia. Universidad Cuauhtémoc. Plantel San Luis Potosí. México.

3 Cirujano Maxilofacial. Clínica de Cirugía Maxilofacial del Centro Médico Puerta de Hierro. Zapopan, Jalisco.

4 Profesor de la Especialidad en Ortodoncia. Departamento de Clínicas Odontológicas Integrales. Centro Universitario de Ciencias de la Salud. Universidad de Guadalajara. México.



CORRESPONDENCIA

Jacqueline Adelina Rodríguez-Chávez. E-mail: jacqueline.rchavez@academicos.udg.mx




Recibido: Marzo 2020. Aceptado: Junio 2020.

Figura 1
Figura 2
Figura 3
Figura 4
Figura 5
Figura 6
Figura 7
Figura 8
Tabla 1

2020     |     www.medigraphic.com

Mi perfil

C?MO CITAR (Vancouver)

Rev Mex Ortodon. 2019;7

ARTíCULOS SIMILARES

CARGANDO ...