medigraphic.com
ENGLISH

Revista Mexicana de Ortodoncia

ISSN 2395-9215 (Impreso)
Órgano Oficial de Difusión de la Facultad de Odontología de la UNAM
  • Mostrar índice
  • Números disponibles
  • Información
    • Información general        
    • Directorio
  • Publicar
    • Instrucciones para autores        
  • medigraphic.com
    • Inicio
    • Índice de revistas            
    • Registro / Acceso
  • Mi perfil

2019, Número 4

<< Anterior Siguiente >>

Rev Mex Ortodon 2019; 7 (4)


Corrección ortodóncica de canteamiento maxilar mediante un solo dispositivo de anclaje temporal con micro-oseoperforaciones

Vázquez Valle, Mitzy Avelina1; Ortiz Sánchez, José David2
Texto completo Cómo citar este artículo Artículos similares

Idioma: Español/Inglés [English version]
Referencias bibliográficas: 12
Paginas: 258-266
Archivo PDF: 474.69 Kb.


PALABRAS CLAVE

Micro-oseoperforaciones, intrusión, microimplantes, ortodoncia acelerada, canteamiento.

RESUMEN

Introducción: Los dispositivos de anclaje temporal (TAD, por sus siglas en inglés) ofrecen estabilidad en el tratamiento para lograr diversos objetivos como la distalización, mesialización e intrusión. Brindando la ventaja de manejar la biomecánica de manera estable. Para realizar el tratamiento en menor tiempo se puede aplicar algún método que produzca un RAP (regional acceleratory phenomenon), como lo son las microperforaciones para obtener los resultados deseados. Se trata de paciente femenino de 24 años, acude a Clínica de Ortodoncia en la Escuela Nacional de Estudios Superiores Unidad León para corregir un canteamiento evidente que presenta. Clase I esquelético biprotrusiva, crecimiento neutro. Braquifacial, retroquelia, perfil recto. Asimetría vertical del plano oclusal superior. Incisivos superiores e inferiores proinclinados. Giroversiones OD 32, 31 41. Clase III molar bilateral, clase I canina bilateral. Colocación de aparatología Damon torque bajo. Posterior a la nivelación, en arcos 0.01810.025 NiTi, se realizan micro-oseoperforaciones en maxilar con microimplante. Posteriormente, se dejó como anclaje temporal en interradicular del OD 23 y 24 para intrusión del cuadrante. Activación con cadena elástica durante tres meses. Se logra la corrección del canteamiento con la aplicación de dispositivo de anclaje temporal óseo durante un periodo de tres meses. Conclusión: La intrusión con un solo microimplante fue satisfactoria al manejar fuerzas adecuadas con las biomecánicas pertinentes. El tiempo corto y los buenos resultados también son producto del procedimiento RAP aplicado en el caso, en el cual a los tres meses mejoró la curva de la sonrisa, corrigiendo el canteamiento maxilar.



INTRODUCCIóN

La estética tiene un rol importante para la sociedad y para el individuo. Una de las muchas ventajas de la ortodoncia es que ofrece soluciones a problemas estéticos del complejo facial. Se les debe brindar a los pacientes estética acompañada de funciones biológicas estables.

Herrera y colaboradores mencionan que para Posnick JC el término "deformidad dentofacial" se define como una desviación significativa de las proporciones normales del complejo maxilomandibular que afecta negativamente la relación de los dientes con su arcada y la relación de cada arcada con su antagonista.1 Estas discrepancias de tamaño, forma o posición serán tratadas según su severidad, la edad del paciente y las condiciones generales del mismo. Cuando son discrepancias mayores en pacientes adultos (donde su pico de crecimiento se ha detenido y finalizado) se determina un tratamiento ortodóncico quirúrgico. Cuando las discrepancias son menores o en edades en las que el paciente está en crecimiento, se puede optar por tratamientos que prevengan una evolución irreversible del padecimiento o incluso algunos pacientes optan por compensaciones. Todas estas decisiones son tomadas, y siempre acompañadas, por los estudios rutinarios o incluso de tomografías. En el caso de las compensaciones, hoy en día, tenemos métodos que nos ayudan a mantener una estabilidad durante el tratamiento.

Los dispositivos de anclaje temporal, conocidos por sus siglas en inglés TAD, nos brindan múltiples opciones de manejo biomecánico. En tratamientos relacionados al manejo vertical del maxilar es importante determinar el diagnóstico para poder elegir la localización adecuada para una biomecánica exitosa al momento de la intrusión. La fotografía clínica es un auxiliar importante, ya que ayudan al momento de tomar decisiones que favorezcan la estética y así poder mostrarle al paciente sus opciones. Los TAD ofrecen estabilidad en el tratamiento para lograr diversos objetivos, como pueden ser distalización, mesialización e intrusión. Brindando la ventaja de manejar la biomecánica de manera estable. Para realizar el tratamiento en menor tiempo se puede aplicar algún método que produzca un RAP, conocido por sus siglas en inglés regional acceleratory phenomenon, como lo son las microperforaciones para obtener los resultados deseados en menor tiempo. Yina Li y colaboradores mencionan que, en condiciones normales/saludables, dicho movimiento se lleva a cabo mediante una remodelación ósea altamente coordinada y eficiente, que requiere el acoplamiento de la formación ósea después de la resorción ósea.2

Para conseguir un tratamiento más corto con resultados estables se puede realizar el procedimiento RAP, en el que se busca realizar una injuria en el tejido óseo y tejido blando para que las células involucradas en la remodelación ósea se presenten y los movimientos se puedan realizar con menor fuerza y mayor rapidez. Existen métodos invasivos como lo son las intervenciones quirúrgicas de cualquier tipo y los métodos no invasivos que pueden ser métodos físicos como corrientes eléctricas directas, campos electromagnéticos pulsados, vibración de resonancia y láser de baja potencia. Otros métodos no invasivos son los fármacos como mediadores inflamatorios, por ejemplo, la inyección de prostaglandinas, la cual sigue en estudio.3

J. Cano, en el trabajo de Yani Li, dice que las técnicas quirúrgicas para acelerar el tratamiento de ortodoncia se han probado durante más de 100 años en la práctica clínica. Los enfoques iniciales involucran osteotomía alveolar sola (definida como un corte quirúrgico a través de los huesos corticales y trabeculares) o combinada con corticotomía (definida como un corte quirúrgico donde sólo está involucrado el hueso cortical).2 En la actualidad, hay técnicas más refinadas con mínima invasión a tejidos en las que no se requieren colgajos o piezoeléctrico.2



CASO CLíNICO

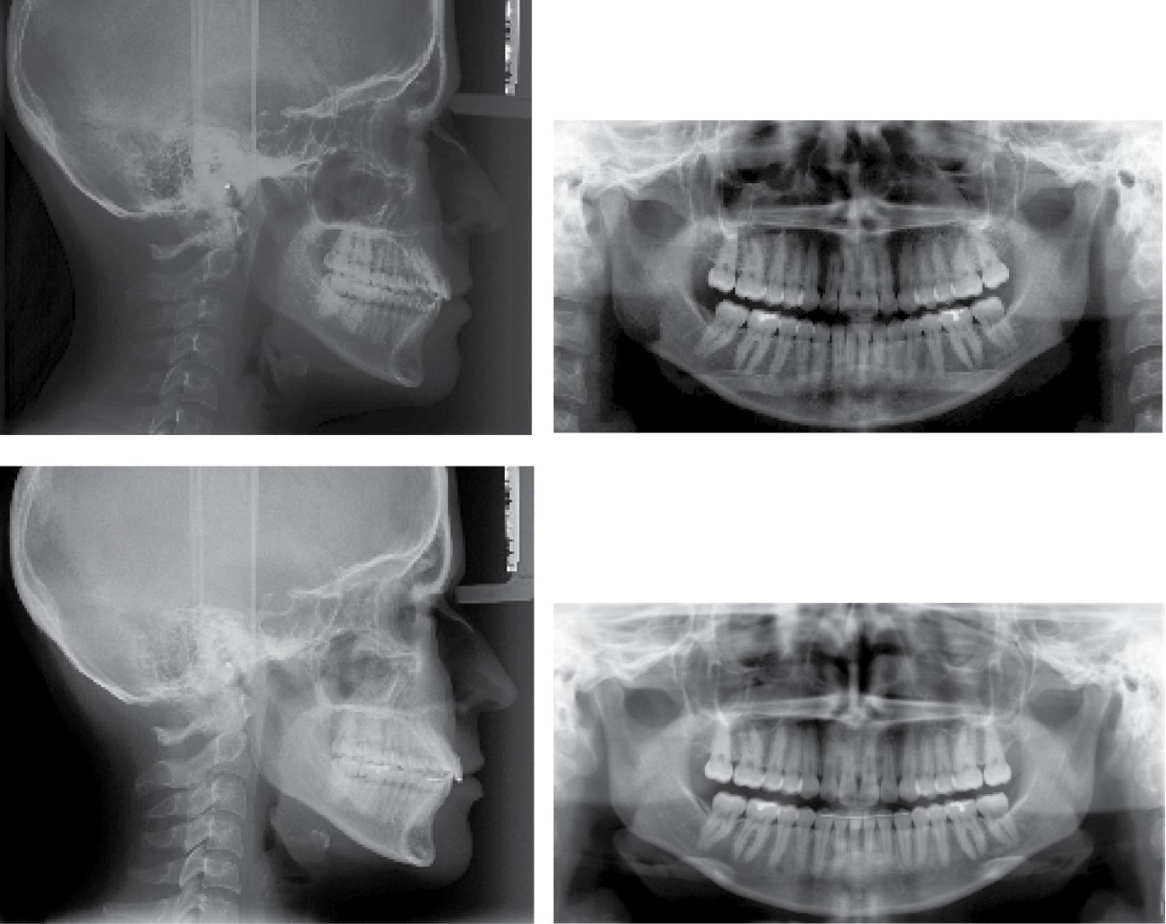
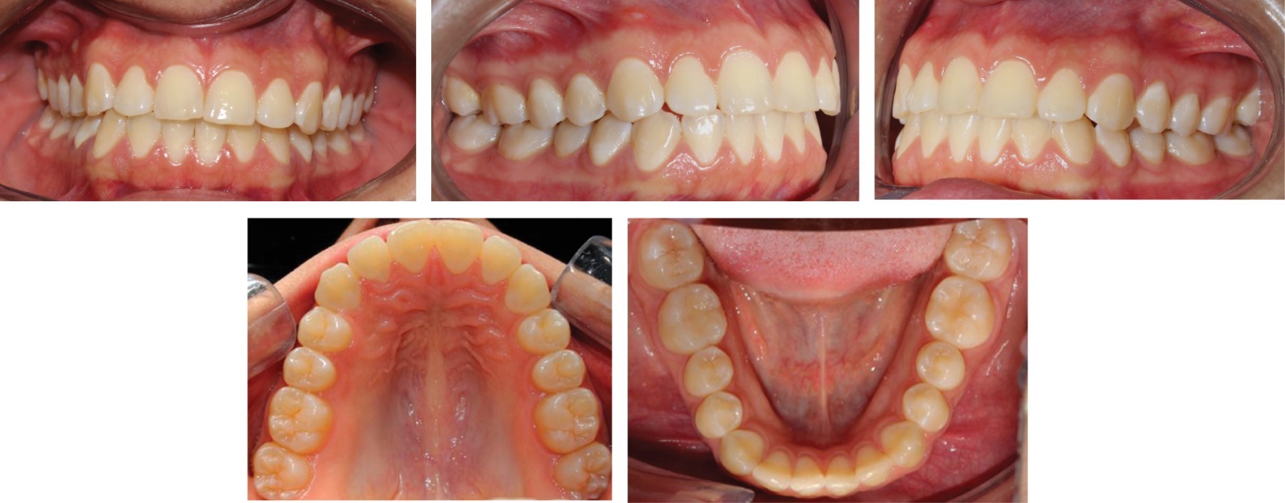
Paciente femenino de 24 años que acude a Clínica de Ortodoncia en la Escuela Nacional de Estudios Superiores Unidad León para corregir un canteamiento evidente. No presenta enfermedades crónicas ni datos patológicos que interfieran con el tratamiento. Diagnóstico: clase I esquelético biprotrusiva con crecimiento neutro, facialmente es una paciente braquifacial con perfil recto y retroquelia, se observó asimetría facial en la comparación del lado izquierdo y derecho. Incisivos superiores proinclinados, giroversiones, clase molar III derecha e izquierda, clase I canina bilateral, línea media desviada y plano maxilar canteado donde se observa que se necesita una intrusión de 5 mm para corregirlo (Figuras 1, 2 y 3).

Objetivo del tratamiento: corregir el canteamiento maxilar y asimetría del tercio inferior.

Plan de tratamiento

Full bonding, brackets Damon torque bajo en OD 13, 12, 11, 21, 22 con torque estándar en los demás dientes.

Fase 1: de arcos redondos de CuNiTi, superior e inferior 0.013" CuNiTi, seguido del 0.018" CuNiTi, elástico clase III lado izquierdo del OD 25 al 34 de 3/16 ligero.

Fase 2: de arco de canto de CuNiTi, 0.014" × 0.025" CuNiTi superior e inferior, seguido por un arco 0.018" × 0.025" CuNiTi superior e inferior y se realiza la colocación del dispositivo de anclaje temporal en el cuadrante tres para intrusión del segmento, con previas micro-oseoperforaciones interradiculares.

Fase 3: mecánica principal, arco 0.019" × 0.025" SS superior y 0.016" × 0.025" SS inferior (Figura 4).

Fase 4: final, arcos TMA 0.019" × 0.025" superior y 0.016" CuNiTi inferior y elásticos de asentamiento superior e inferior. Retención: fijo superior e inferior.

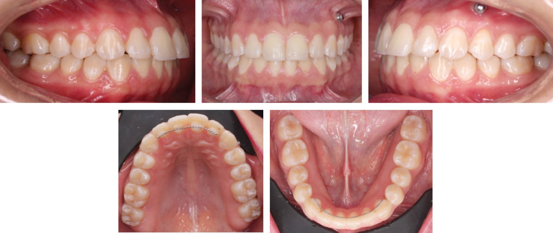
Los resultados a los tres meses de revisión fueron satisfactorios, se observa una intrusión evidente, resultados de la biomecánica tal como la mordida abierta posterior, que se fue solucionando con diferentes métodos y teniendo control de torque en todo momento (Figuras 5, 6, 7 y 8).



DISCUSIóN

Benavides y su equipo mencionan que el Dr. Robert Moyers manifestaba que uno de los inconvenientes en el éxito de un tratamiento en ortodoncia era la colaboración limitada del paciente en el uso de aditamentos para lograr el anclaje.4

Para la estabilidad de la biomecánica el anclaje es crucial para lograr el objetivo del tratamiento. Una vez que se tiene control con anclaje para realizar los movimientos, se establecen las fuerzas adecuadas para la intrusión. La cantidad de fuerza debe ser adecuada para que se efectúe el movimiento y para la estabilidad del TAD. Tortolini dice que la fuerza no debe sobrepasar los 26 g por cm2. Curiel Meza habla de que la fuerza de intrusión óptima es de 15 y 25 g.5,6

Tortolini habla en su trabajo de que al masticar alimentos blandos se aplican fuerzas de 1 a 2 kg y con alimentos más resistentes hasta 50 kg. Cuando un diente se ve sometido a sobrecarga de este tipo, la presión se transmite por el ligamento periodontal y el líquido hístico incompresible evita el rápido desplazamiento del diente en el espacio del ligamento periodontal, y la fuerza se transmite al hueso alveolar, el que se deforma en respuesta a la misma, y cada diente se desplaza ligeramente.5

Hyo-Sang Park realizó la intrusión del sector posterior utilizando un microimplante por lado, colocándolos en la zona palatina entre el primer y segundo molar, con barra palatina para controlar la inclinación que se puede presentar al momento de la intrusión, realizando la intrusión con 100 g de fuerza. Concluyó que la intrusión con microimplantes es estable y efectiva.7 Xun, Zen y Wang realizaron la intrusión con 150 g de fuerza y un solo microimplante con resortes de titanio unidos a los brazos de un arco tipo transpalatino.8 Roseberg menciona que Sugawara y Umemori colocaron miniplacas para intrusión de molares donde la intrusión duró seis meses.9 Kuroda, en Roseberg, habla de que los tratamientos realizados con microimplantes para la intrusión molar fueron tratamientos de 27.6 meses y los tratamientos con cirugía duraron 33.5 meses. Lo que sugiere que los tratamientos con microimplantes contribuyen a hacer los tratamientos complicados más cortos.9

Al momento de que se aplica la fuerza, realizar el RAP mejora el comportamiento biológico.10 Mani Alikhani y sus colegas midieron el nivel de IL-1 en el fluido crevicular gingival antes y después de las micro-oseoperforaciones y encontraron un aumento de más de dos veces en el movimiento del diente, junto con una mayor actividad de IL-1?. Mani Alikhani menciona también que en cuanto a la magnitud y rapidez del movimiento, las perforaciones no necesitan estar muy cerca del diente para moverse y para acelerar la velocidad del movimiento del mismo.11

Kuroda y su grupo realizaron un estudio en el que se compararon los resultados de tratamiento para intrusión molar con TAD y con cirugía ortognática para pacientes con mordida abierta anterior severa, y encontraron que el tratamiento con TAD no sólo podría ser eficaz para mejoras morfológicas, sino también con las funcionales, ya que los pacientes tratados tuvieron buena retención y estabilidad después de dos años de tratamiento.12



CONCLUSIóN

La intrusión con un solo TAD fue satisfactoria al manejar fuerzas adecuadas con las biomecánicas pertinentes. El tiempo corto y los buenos resultados también son producto del RAP aplicado en el caso, en el cual a los tres meses mejoró la curva de la sonrisa, corrigiendo el canteamiento maxilar.

La aceleración biológica de la respuesta al movimiento dental es una buena opción para pacientes adultos, para los movimientos dentales que usualmente se complican y para hacer los tratamientos más cortos en tiempo.

Los pacientes buscan buenos resultados en menor tiempo; poder aplicar todas las herramientas a nuestra disposición para reducir el tiempo y hacer el tratamiento con lineamientos biológicos y estables es nuestro deber como ortodoncistas. Los resultados de este caso clínico nos comprueban que las herramientas y los procedimientos a nuestro alcance nos ofrecen opciones de tratamientos estables y con buenos resultados. Al utilizar aparatología fija de autoligado pasivo, producir un fenómeno de aceleración regional que sea mínimo invasivo y con un anclaje óseo temporal, obtuvimos lo que buscábamos: un tratamiento corto y estable, controlando el torque con aditamentos, con biomecánica y respuesta biológica, encontrando la estética y función.


REFERENCIAS (EN ESTE ARTÍCULO)

  1. Herrera Méndez I, Ballesteros Lozano M. Tratamiento ortodóntico-quirúrgico en paciente clase III esquelética con asimetría facial severa. Rev Mex Ortod. 2017; 5 (2): 116-124.

  2. Li Y, Jacox LA, Little SH, Ko CC. Orthodontic tooth movement: the biology and clinical implications. Kaohsiung J Med Sci. 2018; 34 (4): 207-214.

  3. Yuhan DM, Shetty S, Nambiar S, Philip N, Ashith MV. Accelerated orthodontics-surgical, mechanical and pharmacological methods. Eur J Mol Clin Med. 2020; 7 (10): 1293-1306.

  4. Benavides Chaverri S, Cruz López P, Chang Valverde M. Microimplantes, una nueva opción en el tratamiento de Ortodoncia. Odontología Vital. 2016; 2 (25): 63-75.

  5. Dumitrescu AL, Inagaki K. Orthodontics and periodontics. In: Etiology and pathogenesis of periodontal disease. Berlin Heidelberg: Springer-Verlag; 2010. pp. 307-318.

  6. Curiel Meza BY, Rivas Gutiérrez R, Díaz Peña R. Uso de microimplantes en el tratamiento de ortodoncia. Rev Tamé. 2013; 2 (4): 126-132.

  7. Park HS, Kim JY, Kwon TG. Occlusal plane change after intrusion of maxillary posterior teeth by microimplants to avoid maxillary surgery with skeletal class III orthognathic surgery. Am J Orthod Dentofacial Orthop. 2010; 138 (5): 631-640.

  8. Xun C, Zeng X, Wang X. Microscrew anchorage in skeletal anterior open-bite treatment. Angle Orthod. 2007; 77 (1): 47-56.

  9. Rosenberg Pruzzo C. Estabilidad a largo plazo en pacientes mal crecedores tratados con intrusión molar mediante minitornillos [Tesis de especialidad]. Santiago, Chile: Facultad de Odontología, Universidad Finis Terrae; 2016.

  10. Babanouri N, Ajami S, Salehi P. Effect of mini-screw-facilitated micro-osteoperforation on the rate of orthodontic tooth movement: a single-center, split-mouth, randomized, controlled trial. Prog Orthod. 2020; 21 (1): 7.

  11. Alikhani M, Alansari S, Sangsuwon C, Alikhani M, Chou MY, Alyami B et al. Micro-osteoperforations: minimally invasive accelerated tooth movement. Semin Orthod. 2015; 21 (3): 162-169.

  12. Kuroda S, Sakai Y, Tamamura N, Deguchi T, Takano-Yamamoto T. Treatment of severe anterior open bite with skeletal anchorage in adults: comparison with orthognathic surgery outcomes. Am J Orthod Dentofacial Orthop. 2007; 132 (5): 599-605.



AFILIACIONES

1 Alumna. Posgrado de Ortodoncia, Escuela Nacional de Estudios Superiores, Unidad León.

2 Profesor. Posgrado de Ortodoncia, Escuela Nacional de Estudios Superiores, Unidad León.



CORRESPONDENCIA

Mitzy Avelina Vázquez Valle. E-mail: mitzyvazquezvalle@gmail.com




Recibido: Abril 2021. Aceptado: Mayo 2021.

Figura 1
Figura 2
Figura 3
Figura 4
Figura 5
Figura 6
Figura 7
Figura 8

2020     |     www.medigraphic.com

Mi perfil

C?MO CITAR (Vancouver)

Rev Mex Ortodon. 2019;7

ARTíCULOS SIMILARES

CARGANDO ...