medigraphic.com
ENGLISH

Revista Mexicana de Ortodoncia

ISSN 2395-9215 (Impreso)
Órgano Oficial de Difusión de la Facultad de Odontología de la UNAM
  • Mostrar índice
  • Números disponibles
  • Información
    • Información general        
    • Directorio
  • Publicar
    • Instrucciones para autores        
  • medigraphic.com
    • Inicio
    • Índice de revistas            
    • Registro / Acceso
  • Mi perfil

2019, Número 4

<< Anterior Siguiente >>

Rev Mex Ortodon 2019; 7 (4)


Paciente con secuela de labio y paladar hendido. Tratamiento ortodóncico y quirúrgico

García Salinas, Ana Rosa1; Guzmán Valdivia, Isaac†,2; López Noriega, Juan Carlos3; Mosqueda Maza, Pamela Socorro4; Pérez Sánchez, Carlos Francisco4; Medina Madera, Viannelly5; Solís Olvera, Marlene1; Rodríguez Álvarez, Mariana6
Texto completo Cómo citar este artículo Artículos similares

Idioma: Español/Inglés [English version]
Referencias bibliográficas: 9
Paginas: 247-257
Archivo PDF: 475.96 Kb.


PALABRAS CLAVE

Labio y paladar hendido, comunicación oronasal, tratamiento quirúrgico, tratamiento ortodóntico.

RESUMEN

Se reporta un caso clínico de paciente femenino de 23 años, con secuela de labio y paladar hendido, clase III esqueletal, dolicofacial, crecimiento hiperdivergente, perfil cóncavo, plano oclusal canteado, laterognasia mandibular, mordida cruzada anterior y posterior, comunicación oronasal a nivel del canino superior izquierdo, lado derecho con clase I molar y clase I canina, lado izquierdo clase I molar, clase canina no valorable. Fase prequirúrgica: se le colocó sistema Roth 0.022", se realizaron extracciones de los órganos dentales 12 y 22, objetivo visual de tratamiento (VTO) y trazado de predicción quirúrgica (TPQ) inicial. Se descompensó y se preparó para la cirugía ortognática. Fase quirúrgica: avance e impactación maxilar, retroposición mandibular y estética del labio superior. Fase postquirúrgica: consolidación y estabilización del caso. Asentamiento oclusal, rehabilitación protésica y retención. Se obtuvieron resultados dentoesqueletales satisfactorios que mejoraron sus características faciales.



INTRODUCCIóN

La fisura labio palatina (FLP) es una de las malformaciones congénitas más frecuentes y se produce por una falla en la fusión de los tejidos que darán origen al labio superior y al paladar. Durante el desarrollo embrionario la boca primitiva inicia su formación entre los 28 y 30 días de gestación con la migración de células desde la cresta neural hacia la región anterior de la cara. Entre la quinta y la sexta semana los procesos frontonasales y mandibulares derivados del primer arco faríngeo forman la boca primitiva. Posteriormente, los procesos palatinos se fusionan con el tabique nasal medio formando el paladar y la úvula entre los 50 y los 60 días del desarrollo embrionario.1

Las fisuras labio palatinas son el resultado de la no unión de los procesos centrales y laterales de la cara durante el desarrollo embrionario. Pueden presentarse en el labio o en el paladar o combinadas y su causa es multifactorial. Sin embargo, este tipo de alteración no sólo afecta la apariencia física facial, también ocasiona problemas para la alimentación, la dentición, la audición, el lenguaje, la autoestima y la autoimagen, asimismo surgen enfermedades respiratorias altas y bajas.2

Las áreas afectadas por las fisuras faciales por lo regular son el labio superior, el reborde alveolar, el paladar duro y el paladar blando. Poco más de 50% son fisuras combinadas del labio y el paladar y aproximadamente la cuarta parte de ellas es bilateral. Las frecuencias que se dan para estas malformaciones son variables, desde una en 500 nacimientos en poblaciones asiáticas, a una en 2,500 en afrodescendientes y una en 1,000 entre caucásicos, hispanos y latinos. Para México tienen una incidencia de alrededor de 1.1 a 1.39 por cada 1,000 nacidos vivos registrados.3

El origen de la FLP es multifactorial, y se pueden dividir en genéticas y ambientales. Las causas de índole ambiental pueden agruparse en tres clases: físicas, químicas y biológicas. Por modificar el desarrollo embriológico y producir deformaciones, a los factores ambientales se les ha llamado teratógenos. Las investigaciones sobre factores de riesgo de FLP han demostrado, por ejemplo, que la frecuencia de niños con tales anomalías es más común en madres epilépticas que ingieren anticonvulsivantes durante el primer trimestre de embarazo. Se les ha relacionado con enfermedades agudas, en particular influenza.3 En diversos estudios se ha concluido que este tipo de anomalía se debe probablemente a la interacción con fármacos o cualquier otra droga, el consumo de alcohol, tabaquismo materno, edad materna, diabetes en el embarazo, abortos anteriores, aspectos genéticos y nutricionales, el uso de pesticidas en agricultura, radiación ionizante, agentes infecciosos, estrés, antecedentes familiares y presencia de otra malformación craneofacial.3

Las fisuras de labio son más frecuentes en el género masculino, mientras que las fisuras aisladas del paladar son más comunes en el género femenino. La incidencia del labio fisurado es más usual del lado izquierdo que en el derecho.3

La incidencia de labio y paladar hendido en México, de acuerdo con Armendares y Lisker (2003), está reportada en 1.39 casos por cada 1,000 nacimientos vivos.4

González-Osorio CA realizó un estudio de 2003 a 2009 y presentaron 10,573 nuevos casos de FLP (promedio de 1,510.43 por año). Los estados con mayor tasa de FLP (× 1,000 nacidos) fueron: en 2003 Ciudad de México (1.76), en 2004 Jalisco (2.62), en 2005 Oaxaca (1.66), en 2006 Estado de México (1.29), en 2007, 2008 y 2009 Jalisco (2.17, 2.92 y 1.99, respectivamente). Los varones fueron los más afectados (p < 0.05).3

A mediados de los años 90 el Servicio de Ortodoncia del Instituto Nacional de Pediatría implementó el tratamiento ortopédico temprano en los pacientes con labio y paladar hendidos, fundamentado en los conceptos de matriz funcional y en los principios de crecimiento y desarrollo facial. Debido a la observación y seguimiento de los pacientes, se llegó al manejo actual de la ortopedia tridimensional y de tejidos blandos, que inducen un adecuado crecimiento facial y un mejor desarrollo psicosocial.5

Antes de desarrollar los conceptos y técnicas en que se basa la filosofía actual del tratamiento ortopédico de los pacientes con labio y paladar hendidos (FLP), es necesario conocer los antecedentes que le dieron origen. En 1880, Kingsley reportó el tratamiento de pacientes con FLP, pero fue hasta después de la Segunda Guerra Mundial que se consolidó en Europa la escuela de la ortopedia funcional de los maxilares bajo los principios descritos por Roux, referentes a la adaptación funcional, dando inicio a un sinnúmero de aparatos remodeladores del crecimiento facial.5 Durante los años 60, Moss dio a conocer su teoría de la matriz funcional que estimuló a innumerables servicios a presentar sus experiencias, destacándose entre otros, los trabajos de Bjork y Broadbent. En los años 70, Enlow publica sus trabajos de crecimiento y desarrollo facial por el principio de partes y contrapartes. Estos principios, en el caso de las fisuras bilaterales, dieron origen al primer tratamiento ortopédico prequirúrgico reconocido, con los intentos de retroposición de la premaxila inducidos por fuerzas provenientes de un resorte de tracción adaptado a un gorro, o por medio de un aparato denominado bigotera, que seguía los principios del arco extraoral, donde el fin pretendido era llevar a la premaxila a una posición posterior hasta hacer contacto con los segmentos laterales, o mejor dicho, reposicionada entre ellos. La resultante de esa mecánica de tratamiento fue la retrusión maxilar en la mayoría de los casos, hecho que obligaba a utilizar máscaras faciales en etapas posteriores del crecimiento para traccionar el maxilar. Otra situación a considerar fue que, en muchas ocasiones, la premaxila no se retroponía en cuerpo, produciendo únicamente una anómala inclinación de ésta.5

Es sabido que existe una deformación de los cartílagos nasales por las malas inserciones musculares y la falta de soporte en el piso nasal. El crecimiento facial tiende a ser complejo, donde ninguna estructura funciona de manera aislada. Por lo que, para lograr un excelente resultado en la estética facial se tienen que rehabilitar los tejidos blandos, lo que se logra con aparatos miofuncionales.

Se debe enfatizar que el tratamiento de los pacientes con FLP debe ser integral, multidisciplinario e interdisciplinario y que gracias a la aplicación diaria de esos conceptos, con discusión individualizada para cada paciente, es que los resultados que actualmente se tienen son muy satisfactorios, tanto funcionales como estéticos.5 Los procedimientos quirúrgicos habituales pueden llegar a ser más de 15 en cada caso como queiloplastia, colgajo vomeriano, plastia primaria de la punta nasal, miringotomía, palatoplastia, faringoplastia, colgajo retrofaríngeo, cierre de fístula, plastia de fondo de saco, osteotomías, ortodoncia quirúrgica, injertos óseos alveolares, rinoseptumplastia secundaria, implantes dentales y otras correcciones secundarias. Muchos de ellos se combinan en un solo acto quirúrgico. En el primer tiempo quirúrgico, después de la ortopedia prequirúrgica, habitualmente se realiza el tratamiento integral del paladar primario con procedimientos como queilorinoplastia primaria, colgajo vomeriano o tratamiento del piso nasal y miringotomía. De acuerdo con las variables fenotípicas y del enfoque, de preferencia de cada cirujano, en el segundo tiempo por lo regular se efectúan procedimientos como palatoplastia y ocasionalmente cierre de fístulas anteriores o plastias alveolares, revisión de fondo de saco del labio superior y posible retoque de la primera cirugía, sea en labio o nariz. Como tercer tiempo, en general, después de valorar el crecimiento y desarrollo de las estructuras del tercio medio facial y el desarrollo y evolución del lenguaje se formaliza la programación para corregir la posible insuficiencia velofaríngea secundaria y estabilizar la arcada dentaria, sea con unión mucoperióstica del alveolo, o con injerto óseo alveolar. Un posible cuarto tiempo quirúrgico se destina con frecuencia a rinoseptumplastia secundaria, osteotomías diversas, o correcciones secundarias menores.4

La función muscular puede verse reducida a causa de la abertura del techo de la boca y del labio, lo que origina un retardo en el habla o habla anormal. Es una alteración que puede causar neumonías. Debido a la gran relación entre el orificio interno de la trompa de Eustaquio y la orofaringe, el caso de los labios hendidos con fisura palatina, se producen frecuentes infecciones del oído medio. El factor mecánico lo constituye la irritación que provocan los alimentos al entrar fácilmente en contacto con el orificio faríngeo de la trompa de Eustaquio, lo que produce inflamaciones que cierran la luz del conducto y facilitan la infección. Se ha observado que en la mayoría de estos pacientes con labio hendido completo y fisura palatina tienen una pérdida de audición superior a los 10 decibeles, misma que parece crecer conforme aumenta la edad en la que se realiza la reconstrucción del paladar anterior y posterior. Motivo por el cual es necesario tratar lo más pronto posible a este tipo de pacientes.6

En algunas ocasiones una operación a temprana edad, como es el cierre quirúrgico del paladar duro, genera una fibrosis durante la cicatrización impidiendo un normal desarrollo del maxilar superior, lo que produce una oclusión clase III de Angle y desarrolla un perfil con pseudoprognatismo.7-9



CASO CLíNICO

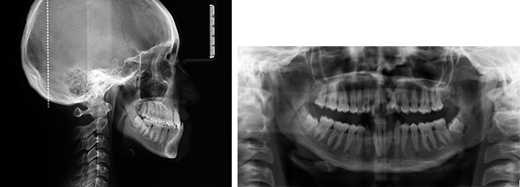
Se reporta un caso clínico de paciente femenino de 23 años con secuela de labio y paladar hendido, clase III dentoesqueletal, dolicofacial, crecimiento hiperdivergente, perfil cóncavo, plano oclusal canteado, laterognasia mandibular, mordida cruzada anterior y posterior, comunicación oronasal a nivel del canino superior izquierdo, lado derecho con clase I molar y clase I canina, lado izquierdo clase I molar, clase canina no valorable (Figuras 1 y 2).

En la fase prequirúrgica se le colocó sistema Roth 0.022", se realizaron extracciones de OD 12 y 22, VTO y TPQ inicial. Se descompensó y se preparó para la cirugía ortognática (Figuras 3 y 4).

La fase quirúrgica consistió en avance e impactación maxilar, retroposición mandibular y verificación de la estética del labio superior (Figura 5).

En la fase postquirúrgica los objetivos fueron la consolidación y estabilización del caso así como el asentamiento oclusal y retención.

Se obtuvieron resultados dentoesqueletales satisfactorios que mejoraron sus características faciales (Figuras 6, 7, 8 y 9).



DISCUSIóN

El tratamiento es complejo y se requiere de un equipo multidisciplinario formado por profesionales para obtener una armonía facial, dental y neuromuscular. En algunos casos en necesario colocar un injerto óseo alveolar que estabilice definitivamente el arco alveolar, en este caso sí se realizó durante la infancia y al efectuar la cirugía ortognática se observó una cicatrización adecuada.

La motivación principal de los pacientes con labio y paladar hendido no sólo es restablecer la función masticatoria, sino tener una mejor estética. Considerando que esta malformación causa problemas cosméticos, fonéticos, auditivos, maloclusiones, anomalías y ausencias dentarias, colapso trasversal del maxilar, emocionales y psicológicos es necesaria la intervención quirúrgica para su corrección. Se cumplieron los objetivos considerados al inicio del tratamiento, especialmente el balance facial que era de vital importancia para la paciente, logrando un tratamiento exitoso.



CONCLUSIONES

Es muy importante realizar un diagnóstico detallado para poder determinar el tratamiento adecuado para cada paciente y cubrir sus expectativas, dejando siempre una función dental adecuada en armonía con su estética facial.

En muchas ocasiones se necesita una relación interdisciplinaria con otras especialidades dentales para poder llegar a un tratamiento exitoso.


REFERENCIAS (EN ESTE ARTÍCULO)

  1. Patrón G, Torres H, Yezioro S, Benavides B. Guía de manejo de paciente con labio y/o paladar hendido. Bogotá: Universidad Nacional de Colombia; 2009. pp. 1039-1046.

  2. Melloni Magnelli L, Martínez Elizondo M, Elizondo Dueñas R, Rodríguez Velásquez R, Colin Gorraez M. Labio y paladar hendido: manejo multidisciplinario. Avances. 2006; 3 (9): 11-14.

  3. González-Osorio CA, Medina-Solís CE, Pontigo-Loyola AP, Casanova-Rosado JF, Escoffié-Ramírez M, Corona-Tabares MG. Estudio ecológico en México (2003-2009) sobre labio y/o paladar hendido y factores sociodemográficos, socioeconómicos y de contaminación asociados. An Pediatr (Barc). 2011; 74 (6): 377-387.

  4. Trigos-Micoló I, Guzmán LFME. Análisis de la incidencia, prevalencia y atención del labio y paladar hendido en México. Cir Plast. 2003; 13 (1): 35-39.

  5. Muñoz PA, Castro LL. Ortopedia tridimensional y manejo preoperatorio de tejidos blandos en labio y paladar hendidos. Cir Plast. 2006; 16 (1): 6-12.

  6. Viloria Bracho JM, Gurrola Martínez B, Casasa Araujo A. Paciente con compromiso de labio y paladar hendido, tratamiento ortodóntico. Revista Latinoamericana de Ortodoncia y Odontopediatría. 2013. Disponible en: https://www.ortodoncia.ws/publicaciones/2013/art-10/

  7. Monserat Soto ER, Baez RR, Ghanem AA, Cedeño MJA, Maza W. Labio y paladar hendidos. Acta Odontol Venez. 2000; 38 (3): 15-20.

  8. Figueroa AA, Polley JW, Friede H, Ko EW. Long-term skeletal stability after maxillary advancement with distraction osteogenesis using a rigid external distraction device in cleft maxillary deformities. Plast Reconstr Surg. 2004; 114 (6): 1382-1392.

  9. Wang XX, Wang X, Li ZL, Yi B, Liang C, Jia YL et al. Anterior maxillary segmental distraction for correction of maxillary hypoplasia and dental crowding in cleft palate patients: a preliminary report. Int J Oral Maxillofac Surg. 2009; 38 (12): 1237-1243.



AFILIACIONES

1 Especialista en Ortodoncia y Ortopedia.

2 Académico en la División de Estudios de Posgrado e Investigación (DEPeI) de la UNAM. México.

3 Especialista en Cirugía Maxilofacial. Académico en la DEPeI de la UNAM. México.

4 Especialista en Cirugía Maxilofacial.

5 Especialista en Prótesis Bucal e Implantología.

6 Especialista en Periodoncia e Implantología.



CORRESPONDENCIA

Ana Rosa García Salinas. E-mail: anarosags2010@hotmail.com




Recibido: Agosto 2020. Aceptado: Noviembre 2020.

Figura 1
Figura 2
Figura 3
Figura 4
Figura 5
Figura 6
Figura 7
Figura 8
Figura 9

2020     |     www.medigraphic.com

Mi perfil

C?MO CITAR (Vancouver)

Rev Mex Ortodon. 2019;7

ARTíCULOS SIMILARES

CARGANDO ...