medigraphic.com
ENGLISH

Revista Mexicana de Ortopedia Pediátrica

ISSN 2007-087X (Impreso)
Órgano Oficial de la Sociedad Mexicana de Ortopedia Pediátrica
  • Mostrar índice
  • Números disponibles
  • Información
    • Información general        
    • Directorio
  • Publicar
    • Instrucciones para autores        
  • medigraphic.com
    • Inicio
    • Índice de revistas            
    • Registro / Acceso
  • Mi perfil

2021, Número 1-3

<< Anterior

Rev Mex Ortop Ped 2021; 23 (1-3)


Corrección de genu valgo en síndrome de Ellis-van Creveld: reporte de dos casos

Cadena Pérez, Ana Lucía1; Velázquez Aréstegui, Daniela1; Harfush Nasser, Luis Alberto2
Texto completo Cómo citar este artículo 10.35366/102186

DOI

DOI: 10.35366/102186
URL: https://dx.doi.org/10.35366/102186
Artículos similares

Idioma: Español
Referencias bibliográficas: 8
Paginas: 45-49
Archivo PDF: 373.44 Kb.


PALABRAS CLAVE

Síndrome de Ellis-van Creveld, genu valgo, intervenciones quirúrgicas, deformidades complejas, displasia condroectodérmica.

RESUMEN

La displasia condroectodérmica o síndrome de Ellis-van Creveld es causada por una mutación en dos genes: EVC y EVC2. Debido a que se encuentran pocos estudios en la literatura sobre el tratamiento específico del genu valgo en esta patología, presentamos dos casos clínicos con genu valgo severo, los cuales requirieron múltiples procedimientos quirúrgicos como crecimiento guiado y osteotomías de alineación para lograr la corrección de las deformidades. Se logró la corrección en ambos pacientes. Se tomó en cuenta la planificación preoperatoria, la cual es elemental para obtener resultados exitosos, además del seguimiento clínico y radiográfico del paciente para determinar posibles intervenciones quirúrgicas.



INTRODUCCIóN

La displasia condroectodérmica o síndrome de Ellis-van Creveld es una enfermedad muy rara y autosómica recesiva.1-4 Esta patología es causada por una mutación en dos genes: EVC y EVC2, localizados en el cromosoma 4p16.1,3,4

Tuna y colaboradores reportan una incidencia de 1/60,000 nacidos vivos en Estados Unidos y 1/150,000 nacidos vivos en Europa.3 Otros estudios estiman 0.9 casos por 100,000 nacidos vivos.5 Sin embargo, su incidencia exacta es incierta, encontrando la mayor cantidad de casos reportados en comunidades Amish en Pensilvania, Estados Unidos.5,6

Es importante mencionar que dicha enfermedad puede ser diagnosticada incluso de manera prenatal por medio de ultrasonido o hasta el nacimiento por las características clínicas del paciente.1,4 Estas características abarcan diversos órganos y sistemas, como patologías cardiacas y pulmonares.3,4

En el sistema musculoesquelético encontramos huesos tubulares con adelgazamiento cortical,1-7 luxación patelar, torsión y depresión de superficie articular proximal de la tibia. Además de contracturas de la banda iliotibial, del vasto lateral, del retináculo lateral y cápsula articular en la rodilla.6 Otras alteraciones comunes óseas se encuentran en los cuerpos vertebrales.3,4 No podemos dejar de mencionar características como la polidactilia postaxial, displasia ectodérmica como uñas y dientes hipoplásicos.8

Debemos tomar en cuenta que el manejo de estos pacientes es multidisciplinario, la parte ortopédica involucra patologías en miembros superiores como polidactilia y sindactilia, y en miembros inferiores como genu valgo y deformidades en pies.1,4,7,8 En la literatura encontramos pocas publicaciones sobre el tratamiento específico del genu valgo,2 motivo por el cual realizamos la presentación de dos casos clínicos y la evolución de los mismos.



PRESENTACIóN DEL CASO



CASO 1

Masculino que a la edad de 14.10 años acude a nuestra unidad hospitalaria; sin recibir tratamiento previo. Paciente con una talla de 1.39 metros y un peso de 47.9 kg. A la exploración física encontramos a un paciente con marcha claudicante. Miembros torácicos con polisindactilia compleja de ambas manos. En miembros pélvicos encontramos genu valgo, rotación externa de ambas tibias con lateralización patelar bilateral. Además de una limitación de flexión de ambas rodillas a 100o. Fuerza muscular conservada siendo 5/5 en escala de Daniels. Dolor severo en ambas rodillas clasificado en una escala visual análoga de 9/10 a la exploración. No se encontró evidencia clínica de patologías en otros aparatos y sistemas que incrementaran el riesgo quirúrgico.

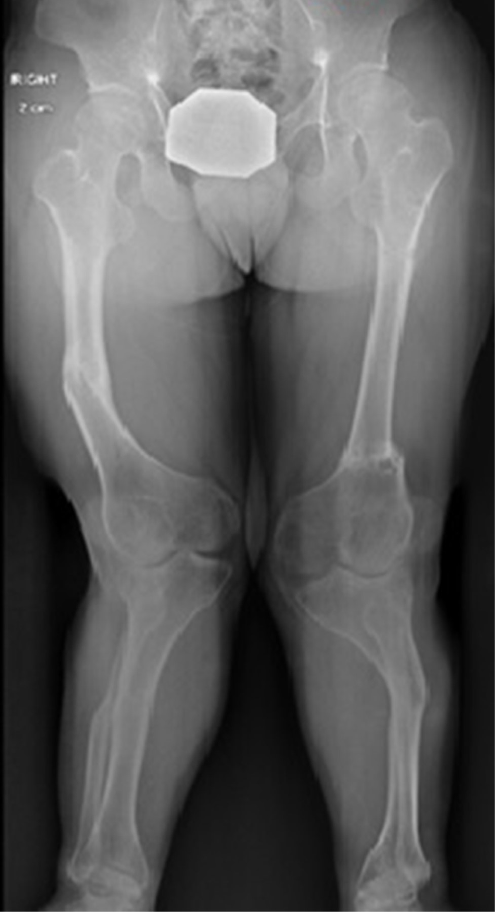
Se realizó la toma de radiografías panorámicas y segmentarias para una mejor planeación quirúrgica. Se encontró una depresión articular a nivel de plataforma tibial lateral bilateral, con valgo de rodillas de 44o derecha y 48o izquierda. Una MAD (desviación del eje mecánico) de 130 mm derecho y 122 mm izquierdo (Figura 1).

Para la planeación de la cirugía se tomó en cuenta que ambas extremidades contaban con una deformidad ósea compleja. Sin embargo, se observó mayor deformidad en miembro pélvico derecho, además de que el paciente contaba con mayor sintomatología en dicha extremidad. Se inició la primera intervención en tibia derecha a la edad de 15.4 años con una planeación preoperatoria, en la cual se realizó la medición del CORA (Center of Rotation of Angulation) con posterior osteotomía por debajo del mismo, considerando que éste se encontraba a nivel articular, se colocaron las bisagras en la cara convexa de la deformidad y con dos niveles proximales y dos distales para mantener la estabilidad del dispositivo. Se optó por una corrección progresiva con fijador circular Ilizarov para lograr una corrección gradual de la deformidad en valgo. Se realizó una cuña de apertura lateral que medializa y alinea el segmento distal, mejorando el trayecto del aparato extensor y la función de la articulación femoropatelar al lograr hacer paralelas las superficies articulares de la tibia (Figura 2).

Después de 10 meses se realizó la segunda intervención quirúrgica, realizándose una osteotomía de alineación con fijador externo articulado en fémur derecho. En este sentido el objetivo fue mejorar la alineación de la superficie articular distal del fémur; la bisagra lateral, a nivel diafisario, generó una traslación, pero mejoría del eje mecánico. Continuando a la edad de 16.9 años, es decir, seis meses de la cirugía en fémur derecho, se realizó una corrección progresiva con Ilizarov en tibia izquierda, bajo el mismo principio de colocación de bisagras que en la tibia derecha (Figura 3).

La última intervención se realizó a la edad de 17.10 años, siendo osteotomía de alineación con fijador externo articulado en fémur izquierdo, donde se optó por realizar una osteotomía más distal con una cuña de apertura lateral evitando la traslación y mejorando igualmente el eje mecánico.

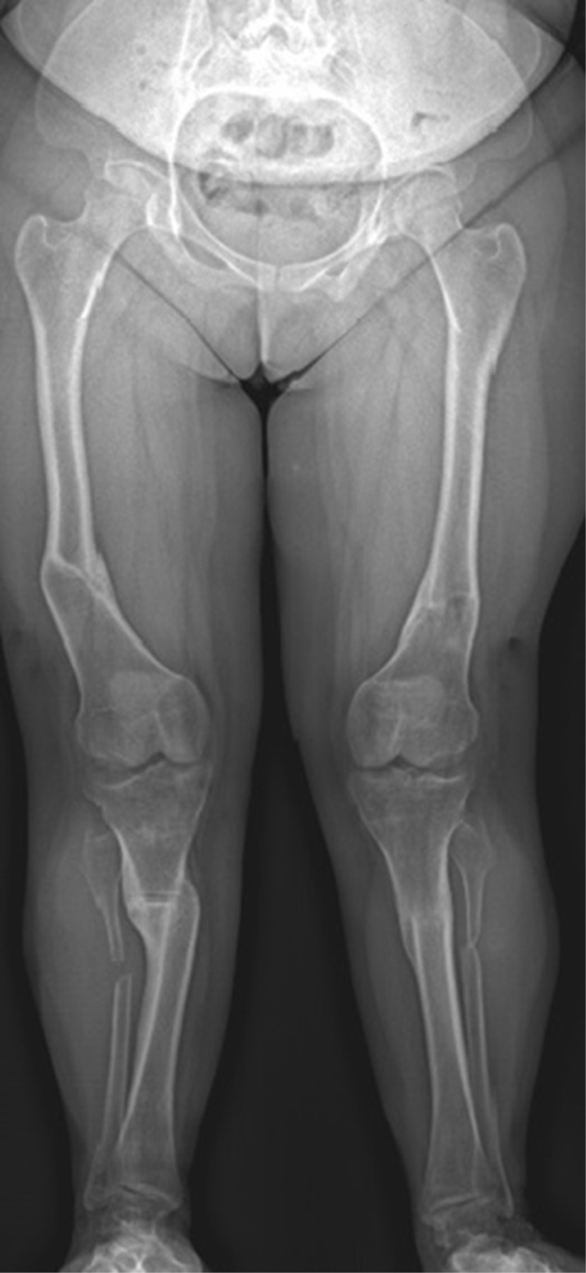
En su última valoración hospitalaria a la edad de 18.11 años, cuenta con una evolución clínica adecuada. Con últimas mediciones radiográficas: MAD de 30 mm derecho y 25 mm izquierdo (Figura 4).



CASO 2

Femenino que a la edad de 10.2 años acude a nuestra unidad hospitalaria con único antecedente quirúrgico a los 16 meses de edad, siendo resección de falanges por polidactilia en ambas manos. Paciente con una talla de 1.31 metros y un peso corporal de 43.100 kg. A la exploración física encontramos a una paciente con marcha claudicante. Miembros torácicos con disminución de primer espacio interdigital en ambas manos. En miembros pélvicos encontramos genu valgo, rotación externa de ambas tibias con lateralización patelar bilateral. Arcos de movilidad completos para caderas, rodillas y tobillos. Pie derecho con sindactilia de 3o y 4o rayo. Fuerza muscular conservada siendo 5/5 en escala de Daniels. Dolor severo en ambas rodillas clasificado en una escala visual análoga de 9/10 a la exploración.

Se realizó la toma de radiografías panorámicas y segmentarias para una mejor planeación quirúrgica. Se encontró depresión articular a nivel de plataforma tibial lateral bilateral, con deformidad en valgo de rodillas de 48o y MAD de 104 mm derecho y 198 mm izquierdo, aLDFA (ángulo anatómico distal femoral lateral) 72o/70o, aMPFA (ángulo anatómico proximal femoral medial) de 110o/110o.

En esta paciente se decidió iniciar con crecimiento guiado por la edad. Intentando lograr la mayor corrección posible, tomando en cuenta lo poco predecible del crecimiento óseo en estos pacientes. Iniciamos con su primera cirugía a la edad de 10.4 años, siendo una hemiepifisiodesis tibial proximal medial bilateral y femoral distal medial bilateral con placas en 8 (Figura 5).

Posterior a tres años, a la edad de 13.3 años, se realizó retiro de las placas en 8 de ambos fémures y de manera simultánea se realizó osteotomía de alineación de fémur bilateral con fijadores externos articulados.

Un año después se efectuó la tercera intervención, siendo el retiro de placas en 8, además de osteotomía de alineación y desrotadora de ambas tibias con fijador externo articulado.

A la edad de 15 años se realizó la última intervención por continuar con deformidad valga en tibia derecha. Por lo que se realizó nuevamente una osteotomía en la tibia derecha y la colocación de fijador externo articulado (Figura 6).

En la actualidad, con edad de 16 años, cuenta con mejoría a la marcha siendo claudicante, no dolorosa. Alineación de miembros pélvicos. Flexión de rodillas a 100 grados de manera bilateral. Con últimas mediciones radiográficas: MAD de 25 mm derecho y 25 mm izquierdo (Figura 7).

Ambos pacientes cuentan con una mejoría en la evolución clínica de acuerdo con las escalas preoperatorias. Los dos pacientes cuentan con una fuerza muscular 5/5 en la escala de Daniels en miembros pélvicos, además de clasificar el dolor con la escala visual análoga en 4/10 para el primer caso y 3/10 para el segundo caso clínico.

Podemos observar que el tratamiento de esta patología es progresivo. Necesitando múltiples procedimientos quirúrgicos para lograr la corrección de las deformidades. Igualmente, de manera radiográfica, se considera un adecuado resultado, teniendo una comparación pre- y postoperatoria con mediciones de ángulos articulares y ejes mecánicos.

Podemos resumir que los resultados de la deformidad en genu valgo con uso de fijadores externos y osteotomías de alineación son adecuados para la corrección. Agregamos que el resultado quirúrgico que se obtuvo con el uso de placas en 8 no logró mejoría de la deformidad. Se debe tomar en cuenta que este tipo de patología cuenta con una ventana de madurez esquelética diferente, pudiendo tener un resultado relativo.



DISCUSIóN

No existe un consenso establecido de cuál es el mejor tratamiento para esta patología.1 Morsy y su equipo mencionan buenos resultados para el tratamiento del genu valgo por medio de corrección progresiva con Ilizarov en un solo episodio quirúrgico para tibia y fémur. Con un promedio de uso de fijador de 100 días para ambos fémures y 190 días para las tibias. Obteniendo un eje mecánico casi normal, marcha normal no dolorosa.7 En nuestros pacientes se logró una adecuada evolución utilizando fijadores externos articulados y fijadores circulares. Sin embargo, en ninguno de los dos casos se optó por la corrección del miembro pélvico en un solo tiempo. Se prefirió la vigilancia de evolución en cada uno de los procedimientos de manera paulatina. Teniendo resultados similares con adecuada marcha no dolorosa en ambos pacientes y alineación del eje mecánico.

Igualmente, el estudio radiográfico es de gran importancia para la planeación de las cirugías. Kamada y colaboradores optaron por estudios de gabinete como tomografía de reconstrucción tridimensional para visualizar las deformidades articulares tibiales.2 En nuestros pacientes no se realizó la tomografía computarizada. Sin embargo, se realizó la toma del eje mecánico radiográfico y proyecciones laterales. No descartamos la importancia de estudios tomográficos para poder realizar planeaciones tridimensionales con deformidades tan severas como las de esta patología.

En esta patología, donde el cuadro clínico nos muestra un síndrome de talla baja, el resultado del uso de hemiepifiosidesis es limitado. La ventana de crecimiento óseo es diferente, por lo que pueden tener un efecto poco favorable. Y esperar tal vez, hasta la madurez esquelética, para las correcciones quirúrgicas con osteotomías.



CONCLUSIONES

Al ser una patología rara, no se cuenta con un protocolo de intervención quirúrgica en específico. Mostramos nuestra experiencia en el tratamiento de genu valgo severo en pacientes con Ellis-van Creveld, ya que puede ser realizado con fijadores externos (circulares o articulados), siendo así una opción quirúrgica más. Es importante tomar en cuenta que el cierre fisario temporal en edades tempranas, como lo observamos en uno de nuestros casos, puede tener un efecto poco favorable, debido a la ventana de crecimiento óseo distinta en estas patologías.

La planificación preoperatoria es elemental para obtener resultados exitosos, además del seguimiento clínico y radiográfico del paciente para determinar posibles intervenciones quirúrgicas.


REFERENCIAS (EN ESTE ARTÍCULO)

  1. Jockel JA, Reichel H, Nelitz M. Correction of knee deformity in patients with Ellis-van Creveld syndrome: a case report and review of the literature. Knee. 2012; 19(3): 218-222. Available in: http://doi.org/10.1016/j.knee.2011.03.003

  2. Kamada T, Mashima N, Imai H, Takeba J, Miura H. Successful two-step correction for severe genu valgum in Ellis-van Creveld syndrome: a case report. J Orthop Case Rep. 2017; 7(4): 13-16. Available in: http://doi.org/10.13107/jocr.2250-0685.828

  3. Tuna EB, Koruyucu M, Kurklu E, Cifter M, Gencay K, Seymen F et al. Oral and craniofacial manifestations of Ellis-van Creveld syndrome: case series. J Craniomaxillofac Surg. 2016; 44(8): 919-924. Available in: http://doi.org/10.1016/j.jcms.2016.04.025

  4. Baujat G, Le Merrer M. Ellis-van Creveld syndrome. Orphanet J Rare Dis. 2007; 2: 27. doi: 10.1186/1750-1172-2-27.

  5. Weiner DS, Jonah D, Leighley B, Dicintio MS, Holmes Morton D, Kopits S. Orthopaedic manifestations of chondroectodermal dysplasia: the Ellis-van Creveld syndrome. J Child Orthop. 2013; 7(6): 465-476. doi: 10.1007/s11832-013-0541-4.

  6. Weiner DS, Tank JC, Jonah D, Morscher MA, Krahe A, Kopits S et al. An operative approach to address severe genu valgum deformity in the Ellis-van Creveld syndrome. J Child Orthop. 2014; 8(1): 61-69. Available in: http://doi.org/10.1007/s11832-014-0552-9

  7. Morsy A, Tsuchiya H, Matsubara H, Kabata T, Tomita K. Ilizarov deformity correction of the lower limbs in Ellis-van Creveld syndrome. J Orthop Sci. 2007; 12(5): 505-509. Available in: http://doi.org/10.1007/s00776-007-1157-7

  8. Fukuda A, Kato K, Hasegawa M, Nishimura A, Sudo A, Uchida A. Recurrent knee valgus deformity in Ellis-van Creveld syndrome. J Pediatr Orthop B. 2012; 21(4): 352-355. doi: 10.1097/BPB.0b013e328345d929.



AFILIACIONES

1 Médico adscrito. Hospital Shriners para Niños México.

2 Médico adscrito. Centro Médico ABC. México.



NIVEL DE EVIDENCIA

V



CORRESPONDENCIA

Dra. Ana Lucía Cadena Pérez. E-mail: luciacpal@gmail.com




Recibido: 06/04/2021. Aceptado: 01/09/2021.

Figura 1
Figura 2
Figura 3
Figura 4
Figura 5
Figura 6
Figura 7

2020     |     www.medigraphic.com

Mi perfil

C?MO CITAR (Vancouver)

Rev Mex Ortop Ped. 2021;23

ARTíCULOS SIMILARES

CARGANDO ...